JavaScript is disabled in your browser. Please enable JavaScript to view this website.
AB72915

Anti-Cathepsin D antibody

5

(1 Review)

|

(9 Publications)

Rabbit Polyclonal Cathepsin D antibody. Suitable for IHC-P, WB, ICC/IF and reacts with Human samples. Cited in 9 publications.

View Alternative Names

CPSD, CTSD, Cathepsin D

4 Images
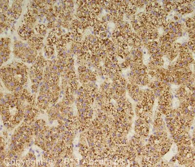
Immunohistochemistry (Formalin/PFA-fixed paraffin-embedded sections) - Anti-Cathepsin D antibody (AB72915)
  • IHC-P

Unknown

Immunohistochemistry (Formalin/PFA-fixed paraffin-embedded sections) - Anti-Cathepsin D antibody (AB72915)

IHC image of Cathepsin D staining in human adrenal gland formalin fixed paraffin embedded tissue section, performed on a Leica Bond system using the standard protocol F. The section was pre-treated using heat mediated antigen retrieval with sodium citrate buffer (pH6, epitope retrieval solution 1) for 20 mins. The section was then incubated with ab72915, 0.1μg/ml, for 15 mins at room temperature and detected using an HRP conjugated compact polymer system. DAB was used as the chromogen. The section was then counterstained with haematoxylin and mounted with DPX.

For other IHC staining systems (automated and non-automated) customers should optimize variable parameters such as antigen retrieval conditions, primary antibody concentration and antibody incubation times.

Immunocytochemistry/ Immunofluorescence - Anti-Cathepsin D antibody (AB72915)
  • ICC/IF

Lab

Immunocytochemistry/ Immunofluorescence - Anti-Cathepsin D antibody (AB72915)

ICC/IF image of ab72915 stained HepG2 cells. The cells were 100% methanol fixed (5 min) and then incubated in 1%BSA / 10% normal goat serum / 0.3M glycine in 0.1% PBS-Triton for 1h to permeabilise the cells and block non-specific protein-protein interactions. The cells were then incubated with the antibody ab72915 at 5μg/ml and ab7291 (Mouse monoclonal [DM1A] to alpha Tubulin - Loading Control) at 1/1000 dilution overnight at +4°C. and ab7291 (Mouse monoclonal [DM1A] to alpha Tubulin - Loading Control) at 1/1000 dilution overnight at +4°C. The secondary antibodies were ab150120 (pseudo-colored red) and ab150081 (colored green) used at 1 μg/ml for 1 hour at room temperature. DAPI was used to stain the cell nuclei (colored blue) at a concentration of 1.43 μM for 1hour at room temperature.

Western blot - Anti-Cathepsin D antibody (AB72915)
  • WB

Unknown

Western blot - Anti-Cathepsin D antibody (AB72915)

Cathepsin D has a predicted molecular weight of 45 kDa. The sequence contains a signal sequence and propeptide of 18 and 45 amino acids, respectively. This protein is further cleaved to produce a heavy and light chain with molecular weights of 27 kDa and 11 kDa, respectively (SwissProt). We hypothesize that the observed bands at 29 kDa represent the Cathepsin heavy chain, and the bands at 45 and 48 kDa represent the protein with and without the presence of the signal peptide.

All lanes:

Western blot - Anti-Cathepsin D antibody (ab72915) at 1 µg/mL

Lane 1:

MCF7 (Human breast adenocarcinoma cell line) Whole Cell Lysate at 10 µg

Lane 2:

A431 (Human epithelial carcinoma cell line) Whole Cell Lysate at 10 µg

Lane 3:

HepG2 (Human hepatocellular liver carcinoma cell line) Whole Cell Lysate at 10 µg

Secondary

All lanes:

Goat polyclonal to Rabbit IgG - H&L - Pre-Adsorbed (HRP) at 1/3000 dilution

Predicted band size: 44 kDa

Observed band size: 150 kDa,29 kDa,45 kDa,48 kDa,90 kDa

true

Exposure time: 4min

Western blot - Anti-Cathepsin D antibody (AB72915)
  • WB

Lab

Western blot - Anti-Cathepsin D antibody (AB72915)

Lanes 1 - 4 : Merged signal (red and green). Green - ab72915 observed at 28, 43, 46 kDa. Red - loading control, ab8245, observed at 37 kDa.

ab72915 was shown to specifically react with CTSD in wild-type A431 cells as signal was lost in CTSD knockout cells. Wild-type and CTSD knockout samples were subjected to SDS-PAGE. The membrane was blocked with 3% Milk. ab72915 and ab8245 (Mouse anti-GAPDH loading control) were incubated overnight at 4°C at 1 μg/ml and 1/20000 dilution respectively. Blots were developed with Goat anti-Rabbit IgG H&L (IRDye® 800CW) preabsorbed ab216773 and Goat anti-Mouse IgG H&L (IRDye® 680RD) preabsorbed ab216776 secondary antibodies at 1/20000 dilution for 1 hour at room temperature before imaging.

All lanes:

Western blot - Anti-Cathepsin D antibody (ab72915) at 1 µg/mL

Lane 1:

Wild-type A-431 (Human epidermoid carcinoma cell line) whole cell lysate at 20 µg

Lane 2:

CTSD knockout A-431 (Human epidermoid carcinoma cell line) whole cell lysate at 20 µg

Lane 2:

Western blot - Human CTSD knockout A-431 cell line (<a href='/en-us/products/cell-lines/human-ctsd-knockout-a-431-cell-line-ab261891'>ab261891</a>)

Lane 3:

MCF7 (Human breast adenocarcinoma cell line) whole cell lysate at 20 µg

Lane 4:

Hep G2 (Human liver hepatocellular carcinoma cell line) whole cell lysate at 20 µg

Predicted band size: 44 kDa

false

Key facts

Host species

Rabbit

Clonality

Polyclonal

Isotype

IgG

Carrier free

No

Reacts with

Human

Applications

WB, IHC-P, ICC/IF

applications

Immunogen

The exact immunogen used to generate this antibody is proprietary information.

Reactivity data

{ "title": "Reactivity Data", "filters": { "stats": ["", "Species", "Dilution Info", "Notes"], "tabs": { "all-applications": {"fullname" : "All Applications", "shortname": "All Applications"}, "IHCP" : {"fullname" : "Immunohistochemistry (Formalin/PFA-fixed paraffin-embedded sections)", "shortname":"IHC-P"}, "WB" : {"fullname" : "Western blot", "shortname":"WB"}, "ICCIF" : {"fullname" : "Immunocytochemistry/ Immunofluorescence", "shortname":"ICC/IF"} }, "product-promise": { "all": "all", "testedAndGuaranteed": "tested", "guaranteed": "expected", "predicted": "predicted", "notRecommended": "not-recommended" } }, "values": { "Human": { "IHCP-species-checked": "testedAndGuaranteed", "IHCP-species-dilution-info": "0.1 µg/mL", "IHCP-species-notes": "<p></p>", "WB-species-checked": "testedAndGuaranteed", "WB-species-dilution-info": "1 µg/mL", "WB-species-notes": "<p></p>", "ICCIF-species-checked": "testedAndGuaranteed", "ICCIF-species-dilution-info": "5 µg/mL", "ICCIF-species-notes": "<p></p>" }, "Orangutan": { "IHCP-species-checked": "predicted", "IHCP-species-dilution-info": "", "IHCP-species-notes": "", "WB-species-checked": "predicted", "WB-species-dilution-info": "", "WB-species-notes": "", "ICCIF-species-checked": "predicted", "ICCIF-species-dilution-info": "", "ICCIF-species-notes": "" } } }

Properties and storage information

Form
Liquid
Purification technique
Affinity purification Immunogen
Storage buffer
pH: 7.4 Preservative: 0.02% Sodium azide Constituents: PBS, 1% BSA
Shipped at conditions
Blue Ice
Appropriate short-term storage duration
1-2 weeks
Appropriate short-term storage conditions
+4°C
Appropriate long-term storage conditions
-20°C
Aliquoting information
Upon delivery aliquot
Storage information
Avoid freeze / thaw cycle

Supplementary information

This supplementary information is collated from multiple sources and compiled automatically.

Cathepsin D also known as CTSD is a protein with a mass of approximately 45 kDa. It functions as an aspartyl protease and is expressed in lysosomes across various tissues including the liver and kidneys. This enzyme acts by cleaving peptide bonds within proteins which is essential for protein degradation and turnover. Cathepsin D exists as precursor forms that become activated in the acidic environment of the lysosome. It plays a critical role in normal cellular processes by maintaining protein homeostasis.
Biological function summary

The enzymatic activity of Cathepsin D is important for cellular maintenance and apoptosis. This protease does not act within larger protein complexes but contributes to the degradation of extracellular and intracellular proteins. It mediates processes like antigen processing where it deconstructs proteins into peptides that are presented on major histocompatibility complex (MHC) molecules. ELISA tests can quantify its expression levels sometimes termed as CTSD activity in various biological samples offering insights into its role within cellular environments.

Pathways

Cathepsin D involvement includes the lysosomal degradation pathway and the apoptotic signaling pathway. In the lysosomal degradation pathway Cathepsin D breaks down proteins and peptides a process important for cellular recycling and energy release. It interacts with other lysosomal enzymes such as Cathepsin B in this pathway ensuring comprehensive breakdown of cellular waste. The apoptotic signaling pathway involves the regulation of programmed cell death where Cathepsin D can influence the activation of downstream proteins like Bcl-2 and Bax which control cell survival.

The overexpression of Cathepsin D links to breast cancer and Alzheimer's disease. In breast cancer increased Cathepsin D expression correlates with tumor progression and metastasis influencing tumor behavior through interactions with other proteins involved in cell proliferation. Alzheimer's disease features the involvement of Cathepsin D in the breakdown of amyloid precursor protein which relates to amyloid beta plaque accumulation. The abnormal activity of Cathepsin D in these disorders makes it a potential target for therapeutic antibodies such as CTSD antibodies which aim to regulate its function.

Product protocols

For this product, it's our understanding that no specific protocols are required. You can visit:

Target data

Acid protease active in intracellular protein breakdown. Plays a role in APP processing following cleavage and activation by ADAM30 which leads to APP degradation (PubMed : 27333034). Involved in the pathogenesis of several diseases such as breast cancer and possibly Alzheimer disease.
See full target information CTSD

Publications (9)

Recent publications for all applications. Explore the full list and refine your search

Nature communications 16:3844 PubMed40274809

2025

Coxiella burnetii manipulates the lysosomal protease cathepsin B to facilitate intracellular success.

Applications

Unspecified application

Species

Unspecified reactive species

Lauren E Bird,Bangyan Xu,Andrew D Hobbs,Alexander R Ziegler,Nichollas E Scott,Patrice Newton,David R Thomas,Laura E Edgington-Mitchell,Hayley J Newton

Nature communications 15:8638 PubMed39366931

2024

NPC1 links cholesterol trafficking to microglial morphology via the gastrosome.

Applications

Unspecified application

Species

Unspecified reactive species

Joanna Zareba,Elena F Cattaneo,Ambra Villani,Alaa Othman,Sebastian Streb,Francesca Peri

Journal of virology 96:e0076722 PubMed35770989

2022

Endocytosed HIV-1 Envelope Glycoprotein Traffics to Rab14 Late Endosomes and Lysosomes to Regulate Surface Levels in T-Cell Lines.

Applications

Unspecified application

Species

Unspecified reactive species

Huxley K Hoffman,Rebekah S Aguilar,Austin R Clark,Nicholas S Groves,Nairi Pezeshkian,Merissa M Bruns,Schuyler B van Engelenburg

Biochimica et biophysica acta. Molecular basis of 1866:165970 PubMed32950675

2020

The anti-tumor agent, Dp44mT, promotes nuclear translocation of TFEB via inhibition of the AMPK-mTORC1 axis.

Applications

Unspecified application

Species

Unspecified reactive species

S Krishan,S Sahni,D R Richardson

Autophagy 15:1017-1030 PubMed30653408

2019

YWHA/14-3-3 proteins recognize phosphorylated TFEB by a noncanonical mode for controlling TFEB cytoplasmic localization.

Applications

Unspecified application

Species

Unspecified reactive species

Yang Xu,Jinqi Ren,Xiaolong He,Han Chen,Taotao Wei,Wei Feng

The Journal of biological chemistry 293:3562-3587 PubMed29305422

2018

Tumor stressors induce two mechanisms of intracellular P-glycoprotein-mediated resistance that are overcome by lysosomal-targeted thiosemicarbazones.

Applications

Unspecified application

Species

Unspecified reactive species

Lina Al-Akra,Dong-Hun Bae,Sumit Sahni,Michael L H Huang,Kyung Chan Park,Darius J R Lane,Patric J Jansson,Des R Richardson

Journal of Cancer 7:2388-2407 PubMed27994678

2016

The Role of BCA2 in the Endocytic Trafficking of EGFR and Significance as a Prognostic Biomarker in Cancer.

Applications

IF

Species

Unspecified reactive species

Jennifer M Wymant,Stephen Hiscox,Andrew D Westwell,Sylvie Urbé,Michael J Clague,Arwyn T Jones

The Journal of biological chemistry 290:9588-603 PubMed25720491

2015

Di-2-pyridylketone 4,4-dimethyl-3-thiosemicarbazone (Dp44mT) overcomes multidrug resistance by a novel mechanism involving the hijacking of lysosomal P-glycoprotein (Pgp).

Applications

Unspecified application

Species

Unspecified reactive species

Patric J Jansson,Tetsuo Yamagishi,Akanksha Arvind,Nicole Seebacher,Elaine Gutierrez,Alexandra Stacy,Sanaz Maleki,Danae Sharp,Sumit Sahni,Des R Richardson

The Journal of biological chemistry 289:33568-89 PubMed25301941

2014

The anticancer agent di-2-pyridylketone 4,4-dimethyl-3-thiosemicarbazone (Dp44mT) overcomes prosurvival autophagy by two mechanisms: persistent induction of autophagosome synthesis and impairment of lysosomal integrity.

Applications

Unspecified application

Species

Unspecified reactive species

Elaine Gutierrez,Des R Richardson,Patric J Jansson
View all publications

Product promise

We are committed to supporting your work with high-quality reagents, and we're here for you every step of the way. In the unlikely event that one of our products does not perform as expected, you're protected by our Product Promise.
For full details, please see our Terms & Conditions

Please note: All products are 'FOR RESEARCH USE ONLY. NOT FOR USE IN DIAGNOSTIC OR THERAPEUTIC PROCEDURES'.

For licensing inquiries, please contact partnerships@abcam.com