JavaScript is disabled in your browser. Please enable JavaScript to view this website.
AB207549

Anti-Cathepsin D antibody [EPR3057Y] - BSA and Azide free

Be the first to review this product! Submit a review

|

(3 Publications)

Rabbit Recombinant Monoclonal Cathepsin D antibody. Carrier free. Suitable for IHC-P, IP, WB, ICC/IF, IHC-Fr, Flow Cyt (Intra) and reacts with Human, Mouse samples. Cited in 3 publications.

View Alternative Names

CPSD, CTSD, Cathepsin D

9 Images
Immunohistochemistry (Formalin/PFA-fixed paraffin-embedded sections) - Anti-Cathepsin D antibody [EPR3057Y] - BSA and Azide free (AB207549)
  • IHC-P

Lab

Immunohistochemistry (Formalin/PFA-fixed paraffin-embedded sections) - Anti-Cathepsin D antibody [EPR3057Y] - BSA and Azide free (AB207549)

This data was developed using ab75852, the same antibody clone in a different buffer formulation.

Immunohistochemical analysis of formalin fixed paraffin embedded human liver labelling Cathepsin D with ab75852 at a concentration of 0.01µg/ml. The immunostaining was performed on a Ventana DISCOVERY ULTRA (Roche Tissue Diagnostics) instrument with a OptiView DAB IHC Detection Kit. Heat mediated antigen retrieval was performed with DISCOVERY cell conditioning solution (CC1) 100°C, pH8.5 for 32mins.

ab75852 Anti-Cathepsin D antibody [EPR3057Y] was incubated for 16mins at 37°C. Sections were counterstained with Hematoxylin II. Image inset shows absence of staining in secondary antibody only control.

Customers are encouraged to optimise antigen retrieval conditions, antibody concentration, incubation times and temperature for best results in their own IHC assay workflow (automated and manual).

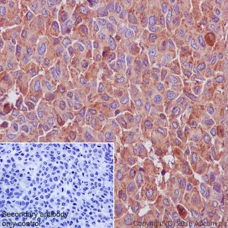
Immunohistochemistry (Formalin/PFA-fixed paraffin-embedded sections) - Anti-Cathepsin D antibody [EPR3057Y] - BSA and Azide free (AB207549)
  • IHC-P

Unknown

Immunohistochemistry (Formalin/PFA-fixed paraffin-embedded sections) - Anti-Cathepsin D antibody [EPR3057Y] - BSA and Azide free (AB207549)

Immunohistochemistry (Formalin/PFA-fixed paraffin-embedded sections) analysis of human breast carcinoma tissue labelling Cathepsin D with purified ab75852 at a dilution of 1/100. Heat mediated antigen retrieval was performed using Tris/EDTA buffer pH 9. ab97051, a HRP-conjugated goat anti-rabbit IgG (H+L) was used as the secondary antibody (1/500). Negative control using PBS instead of primary antibody. Counterstained with hematoxylin.

This data was developed using the same antibody clone in a different buffer formulation containing PBS, BSA, glycerol, and sodium azide (ab75852).

Western blot - Anti-Cathepsin D antibody [EPR3057Y] - BSA and Azide free (AB207549)
  • WB

Unknown

Western blot - Anti-Cathepsin D antibody [EPR3057Y] - BSA and Azide free (AB207549)

Blocking and dilution buffer and concentration : 5% NFDM/TBST

This antibody detects 28kDa Cathepsin D heavy chain, 43kDa intermediate form and 46kDa pro-Cathepsin D form. We are unsure of the identity of the band around 75kDa.

All lanes:

Western blot - Anti-Cathepsin D antibody [EPR3057Y] - BSA and Azide free (ab207549)

All lanes:

SK-BR-3 (human mammary gland adenocarcinoma) whole cell lysate at 10 µg

Secondary

All lanes:

Western blot - Goat Anti-Rabbit IgG H&L (HRP) (<a href='/en-us/products/secondary-antibodies/goat-rabbit-igg-h-l-hrp-ab97051'>ab97051</a>)

Predicted band size: 44 kDa

Observed band size: 28 kDa,46 kDa

false

Exposure time: 3min

Immunohistochemistry (Formalin/PFA-fixed paraffin-embedded sections) - Anti-Cathepsin D antibody [EPR3057Y] - BSA and Azide free (AB207549)
  • IHC-P

Unknown

Immunohistochemistry (Formalin/PFA-fixed paraffin-embedded sections) - Anti-Cathepsin D antibody [EPR3057Y] - BSA and Azide free (AB207549)

Immunohistochemistry (Formalin/PFA-fixed paraffin-embedded sections) analysis of human breast carcinoma tissue labelling Cathepsin D with unpurified ab75852 at a dilution of 1/500.

This data was developed using the same antibody clone in a different buffer formulation containing PBS, BSA, glycerol, and sodium azide (ab75852).

Perform heat mediated antigen retrieval before commencing with IHC staining protocol.

Immunocytochemistry/ Immunofluorescence - Anti-Cathepsin D antibody [EPR3057Y] - BSA and Azide free (AB207549)
  • ICC/IF

Unknown

Immunocytochemistry/ Immunofluorescence - Anti-Cathepsin D antibody [EPR3057Y] - BSA and Azide free (AB207549)

Immunocytochemistry/Immunofluorescence analysis of MCF-7 cells labelling Cathepsin D with purified ab75852 at 1/100. Cells were fixed with 100% methanol and permeabilized with 0.1% Triton X-100. ab150077, an Alexa Fluor® 488-conjugated goat anti-rabbit IgG (1/1000) was used as the secondary antibody. DAPI (blue) was used as the nuclear counterstain. ab7291, a mouse anti-tubulin (1/1000) and ab150120, an Alexa Fluor® 594-conjugated goat anti-mouse IgG (1/1000) were also used.

Control 1 : primary antibody (1/100) and secondary antibody, ab150120, an Alexa Fluor® 594-conjugated goat anti-mouse IgG (1/1000).

Control 2 : ab7291 (1/1000) and secondary antibody, ab150077, an Alexa Fluor® 488-conjugated goat anti-rabbit IgG (1/1000).

This data was developed using the same antibody clone in a different buffer formulation containing PBS, BSA, glycerol, and sodium azide (ab75852).

Immunohistochemistry (Formalin/PFA-fixed paraffin-embedded sections) - Anti-Cathepsin D antibody [EPR3057Y] - BSA and Azide free (AB207549)
  • IHC-P

Unknown

Immunohistochemistry (Formalin/PFA-fixed paraffin-embedded sections) - Anti-Cathepsin D antibody [EPR3057Y] - BSA and Azide free (AB207549)

Immunohistochemistry (Formalin/PFA-fixed paraffin-embedded sections) analysis of human liver tissue labelling Cathepsin D with unpurified ab75852 at a dilution of 1/500.

This data was developed using the same antibody clone in a different buffer formulation containing PBS, BSA, glycerol, and sodium azide (ab75852).

Perform heat mediated antigen retrieval before commencing with IHC staining protocol.

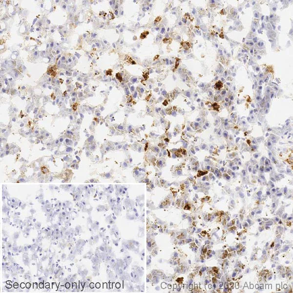
Immunohistochemistry (Frozen sections) - Anti-Cathepsin D antibody [EPR3057Y] - BSA and Azide free (AB207549)
  • IHC-Fr

Lab

Immunohistochemistry (Frozen sections) - Anti-Cathepsin D antibody [EPR3057Y] - BSA and Azide free (AB207549)

This data was developed using the same antibody clone in a different buffer formulation (ab75852).

IHC image of Cathepsin D staining in a section of frozen normal human liver performed on a Leica BONDTM system using the standard protocol. The section was fixed in 10% paraformaldehyde (10 min) prior to staining. The section was incubated with ab75852, 1/1000 dilution, for 15 mins at room temperature and detected using an HRP conjugated compact polymer system. DAB was used as the chromogen. The section was then counterstained with haematoxylin and mounted with DPX. The inset secondary-only control image is taken from an identical assay without primary antibody.

For other IHC staining systems (automated and non-automated) customers should optimize variable parameters such as antigen retrieval conditions, primary antibody concentration and antibody incubation times.

Flow Cytometry (Intracellular) - Anti-Cathepsin D antibody [EPR3057Y] - BSA and Azide free (AB207549)
  • Flow Cyt (Intra)

Unknown

Flow Cytometry (Intracellular) - Anti-Cathepsin D antibody [EPR3057Y] - BSA and Azide free (AB207549)

Intracellular Flow Cytometry analysis of HepG2 (human hepatocellular carcinoma) cells labeling Cathepsin D with purified ab75852 at 1/20 dilution (10μg/ml) (red). Cells were fixed with 4% paraformaldehyde and permeabilised with 90% methanol. A Goat anti rabbit IgG (Alexa Fluorr® 488) (1/2000 dilution) was used as the secondary antibody. Rabbit monoclonal IgG (Black) was used as the isotype control, cells without incubation with primary antibody and secondary antibody (Blue) were used as the unlabeled control.

This data was developed using the same antibody clone in a different buffer formulation containing PBS, BSA, glycerol, and sodium azide (ab75852).

Immunoprecipitation - Anti-Cathepsin D antibody [EPR3057Y] - BSA and Azide free (AB207549)
  • IP

Unknown

Immunoprecipitation - Anti-Cathepsin D antibody [EPR3057Y] - BSA and Azide free (AB207549)

ab75852 (purified) at 1/20 immunoprecipitating Cathepsin D in SK-BR-3 whole cell lysate.

Lane 1 (input) : SK-BR-3 whole cell lysate (10μg)

Lane 2 (+) : ab75852 + SK-BR-3 whole cell lysate (10μg).

Lane 3 (-) : Rabbit monoclonal IgG (ab172730) instead of ab75852 in SK-BR-3 whole cell lysate.

For western blotting, VeriBlot for IP Detection Reagent (HRP) (ab131366), was used for detection at 1/10,000 dilution.

Blocking buffer and concentration : 5% NFDM/TBST.

Diluting buffer and concentration : 5% NFDM /TBST.

This data was developed using the same antibody clone in a different buffer formulation containing PBS, BSA, glycerol, and sodium azide (ab75852).

All lanes:

Immunoprecipitation - Anti-Cathepsin D antibody [EPR3057Y] (<a href='/en-us/products/primary-antibodies/cathepsin-d-antibody-epr3057y-ab75852'>ab75852</a>)

Predicted band size: 44 kDa

Observed band size: 28 kDa,43 kDa,46 kDa

false

  • Unconjugated

    Anti-Cathepsin D antibody [EPR3057Y]

  • 775 Alexa Fluor® 750

    Alexa Fluor® 750 Anti-Cathepsin D antibody [EPR3057Y]

  • 665 Alexa Fluor® 647

    Alexa Fluor® 647 Anti-Cathepsin D antibody [EPR3057Y]

  • 519 Alexa Fluor® 488

    Alexa Fluor® 488 Anti-Cathepsin D antibody [EPR3057Y]

  • 617 Alexa Fluor® 594

    Alexa Fluor® 594 Anti-Cathepsin D antibody [EPR3057Y]

  • 421 Alexa Fluor® 405

    Alexa Fluor® 405 Anti-Cathepsin D antibody [EPR3057Y]

  • 578 PE

    PE Anti-Cathepsin D antibody [EPR3057Y]

  • HRP

    HRP Anti-Cathepsin D antibody [EPR3057Y]

  • 565 Alexa Fluor® 555

    Alexa Fluor® 555 Anti-Cathepsin D antibody [EPR3057Y]

  • 660 APC

    APC Anti-Cathepsin D antibody [EPR3057Y]

  • 603 Alexa Fluor® 568

    Alexa Fluor® 568 Anti-Cathepsin D antibody [EPR3057Y]

Key facts

Host species

Rabbit

Clonality

Monoclonal

Clone number

EPR3057Y

Isotype

IgG

Carrier free

Yes

Reacts with

Mouse, Human

Applications

IHC-P, IHC-Fr, WB, IP, ICC/IF, Flow Cyt (Intra)

applications

Immunogen

The exact immunogen used to generate this antibody is proprietary information.

Reactivity data

{ "title": "Reactivity Data", "filters": { "stats": ["", "Species", "Dilution Info", "Notes"], "tabs": { "all-applications": {"fullname" : "All Applications", "shortname": "All Applications"}, "IHCP" : {"fullname" : "Immunohistochemistry (Formalin/PFA-fixed paraffin-embedded sections)", "shortname":"IHC-P"}, "IP" : {"fullname" : "Immunoprecipitation", "shortname":"IP"}, "WB" : {"fullname" : "Western blot", "shortname":"WB"}, "ICCIF" : {"fullname" : "Immunocytochemistry/ Immunofluorescence", "shortname":"ICC/IF"}, "IHCFr" : {"fullname" : "Immunohistochemistry (Frozen sections)", "shortname":"IHC-Fr"}, "FlowCytIntra" : {"fullname" : "Flow Cytometry (Intracellular)", "shortname":"Flow Cyt (Intra)"} }, "product-promise": { "all": "all", "testedAndGuaranteed": "tested", "guaranteed": "expected", "predicted": "predicted", "notRecommended": "not-recommended" } }, "values": { "Human": { "IHCP-species-checked": "testedAndGuaranteed", "IHCP-species-dilution-info": "", "IHCP-species-notes": "<p></p>", "IP-species-checked": "testedAndGuaranteed", "IP-species-dilution-info": "", "IP-species-notes": "<p></p>", "WB-species-checked": "testedAndGuaranteed", "WB-species-dilution-info": "", "WB-species-notes": "<p>Please check the parent abID, <a href='/en-us/products/primary-antibodies/olfml2a-antibody-ab75882'>ab75882</a>, for more information on dilutions.</p>", "ICCIF-species-checked": "testedAndGuaranteed", "ICCIF-species-dilution-info": "", "ICCIF-species-notes": "<p></p>", "IHCFr-species-checked": "testedAndGuaranteed", "IHCFr-species-dilution-info": "1/1000", "IHCFr-species-notes": "<p></p>", "FlowCytIntra-species-checked": "testedAndGuaranteed", "FlowCytIntra-species-dilution-info": "", "FlowCytIntra-species-notes": "<p></p>" }, "Mouse": { "IHCP-species-checked": "guaranteed", "IHCP-species-dilution-info": "", "IHCP-species-notes": "", "IP-species-checked": "guaranteed", "IP-species-dilution-info": "", "IP-species-notes": "", "WB-species-checked": "testedAndGuaranteed", "WB-species-dilution-info": "", "WB-species-notes": "<p>Please check the parent abID, <a href='/en-us/products/primary-antibodies/olfml2a-antibody-ab75882'>ab75882</a>, for more information on dilutions.</p>", "ICCIF-species-checked": "guaranteed", "ICCIF-species-dilution-info": "", "ICCIF-species-notes": "", "IHCFr-species-checked": "guaranteed", "IHCFr-species-dilution-info": "", "IHCFr-species-notes": "", "FlowCytIntra-species-checked": "guaranteed", "FlowCytIntra-species-dilution-info": "", "FlowCytIntra-species-notes": "" } } }

You may be interested in:

AB65302

Cathepsin D Activity Assay Kit (Fluorometric)

4

3 Reviews

View product

We recommend this product because it’s often used in the same experiment or related research.

We advise that you always check the datasheet to ensure it fits your experiments, or contact ourtechnical teamfor help.

Product details

ab207549 is the carrier-free version of ab75852.

Patented technology
Our RabMAb® technology is a patented hybridoma-based technology for making rabbit monoclonal antibodies. For details on our patents, please refer to RabMAb® patents.

What are the advantages of a recombinant monoclonal antibody?
This product is a recombinant monoclonal antibody, which offers several advantages including:

  • - High batch-to-batch consistency and reproducibility
  • - Improved sensitivity and specificity
  • - Long-term security of supply
  • - Animal-free batch production

For more information, read more on recombinant antibodies.

Species reactivity
Rat: We have preliminary internal testing data to indicate this antibody may not react with this species.
Please contact us for more information.

Conjugation ready
Our carrier-free antibodies are typically supplied in a PBS-only formulation, purified and free of BSA, sodium azide and glycerol. This conjugation-ready format is designed for use with fluorochromes, metal isotopes, oligonucleotides, and enzymes, which makes them ideal for antibody labelling, functional and cell-based assays, flow-based assays (e.g. mass cytometry) and Multiplex Imaging applications.

Use our conjugation kits for antibody conjugates that are ready-to-use in as little as 20 minutes with 1 minute hands-on-time and 100% antibody recovery: available for fluorescent dyes, HRP, biotin and gold.

Compatibility
This product is compatible with the Maxpar® Antibody Labeling Kit from Fluidigm, without the need for antibody preparation. Maxpar® is a trademark of Fluidigm Canada Inc.

Properties and storage information

Form
Liquid
Purification technique
Affinity purification Protein A
Storage buffer
pH: 7.2 - 7.4 Constituents: PBS
Shipped at conditions
Blue Ice
Appropriate short-term storage conditions
+4°C
Appropriate long-term storage conditions
+4°C
Storage information
Do Not Freeze

Supplementary information

This supplementary information is collated from multiple sources and compiled automatically.

Cathepsin D also known as CTSD is a protein with a mass of approximately 45 kDa. It functions as an aspartyl protease and is expressed in lysosomes across various tissues including the liver and kidneys. This enzyme acts by cleaving peptide bonds within proteins which is essential for protein degradation and turnover. Cathepsin D exists as precursor forms that become activated in the acidic environment of the lysosome. It plays a critical role in normal cellular processes by maintaining protein homeostasis.
Biological function summary

The enzymatic activity of Cathepsin D is important for cellular maintenance and apoptosis. This protease does not act within larger protein complexes but contributes to the degradation of extracellular and intracellular proteins. It mediates processes like antigen processing where it deconstructs proteins into peptides that are presented on major histocompatibility complex (MHC) molecules. ELISA tests can quantify its expression levels sometimes termed as CTSD activity in various biological samples offering insights into its role within cellular environments.

Pathways

Cathepsin D involvement includes the lysosomal degradation pathway and the apoptotic signaling pathway. In the lysosomal degradation pathway Cathepsin D breaks down proteins and peptides a process important for cellular recycling and energy release. It interacts with other lysosomal enzymes such as Cathepsin B in this pathway ensuring comprehensive breakdown of cellular waste. The apoptotic signaling pathway involves the regulation of programmed cell death where Cathepsin D can influence the activation of downstream proteins like Bcl-2 and Bax which control cell survival.

The overexpression of Cathepsin D links to breast cancer and Alzheimer's disease. In breast cancer increased Cathepsin D expression correlates with tumor progression and metastasis influencing tumor behavior through interactions with other proteins involved in cell proliferation. Alzheimer's disease features the involvement of Cathepsin D in the breakdown of amyloid precursor protein which relates to amyloid beta plaque accumulation. The abnormal activity of Cathepsin D in these disorders makes it a potential target for therapeutic antibodies such as CTSD antibodies which aim to regulate its function.

Product protocols

For this product, it's our understanding that no specific protocols are required. You can visit:

Target data

Acid protease active in intracellular protein breakdown. Plays a role in APP processing following cleavage and activation by ADAM30 which leads to APP degradation (PubMed : 27333034). Involved in the pathogenesis of several diseases such as breast cancer and possibly Alzheimer disease.
See full target information CTSD

Publications (3)

Recent publications for all applications. Explore the full list and refine your search

Nature communications 12:4643 PubMed34330919

2021

Stress-primed secretory autophagy promotes extracellular BDNF maturation by enhancing MMP9 secretion.

Applications

Unspecified application

Species

Unspecified reactive species

Silvia Martinelli,Elmira A Anderzhanova,Thomas Bajaj,Svenja Wiechmann,Frederik Dethloff,Katja Weckmann,Daniel E Heinz,Tim Ebert,Jakob Hartmann,Thomas M Geiger,Michael Döngi,Kathrin Hafner,Max L Pöhlmann,Lee Jollans,Alexandra Philipsen,Susanne V Schmidt,Ulrike Schmidt,Giuseppina Maccarrone,Valentin Stein,Felix Hausch,Christoph W Turck,Mathias V Schmidt,Anne-Kathrin Gellner,Bernhard Kuster,Nils C Gassen

PloS one 7:e31223 PubMed22319619

2012

Persistence versus escape: Aspergillus terreus and Aspergillus fumigatus employ different strategies during interactions with macrophages.

Applications

ICC/IF

Species

Unspecified reactive species

Silvia Slesiona,Markus Gressler,Michael Mihlan,Christoph Zaehle,Martin Schaller,Dagmar Barz,Bernhard Hube,Ilse D Jacobsen,Matthias Brock

Journal of proteome research 9:4701-9 PubMed20666480

2010

Novel proteomic strategy reveal combined alpha1 antitrypsin and cathepsin D as biomarkers for colorectal cancer early screening.

Applications

WB, IHC-P

Species

Human, Human

Li-Qi Xie,Chao Zhao,San-Jun Cai,Ye Xu,Li-Yong Huang,Jia-Shen Bian,Cheng-Pin Shen,Hao-Jie Lu,Peng-Yuan Yang
View all publications

Product promise

We are committed to supporting your work with high-quality reagents, and we're here for you every step of the way. In the unlikely event that one of our products does not perform as expected, you're protected by our Product Promise.
For full details, please see our Terms & Conditions

Associated Products

Select an associated product type
Alternative Product
Primary Antibodies

AB217310

Anti-Cathepsin D antibody

primary-antibodies

cathepsin-d-antibody-ab217310

0

(0 reviews)

Alternative Product
Primary Antibodies

AB72915

Anti-Cathepsin D antibody

primary-antibodies

cathepsin-d-antibody-ab72915

5

(1 reviews)

Alternative Product
Primary Antibodies

AB134169

Anti-proCathepsin D antibody [EPR3054]

primary-antibodies

procathepsin-d-antibody-epr3054-ab134169

0

(0 reviews)

Alternative Product
Primary Antibodies

AB75811

Anti-Cathepsin D antibody [EPR3056Y]

primary-antibodies

cathepsin-d-antibody-epr3056y-ab75811

4

(1 reviews)

Alternative Product
Primary Antibodies

AB6313

Anti-Cathepsin D antibody [CTD-19]

primary-antibodies

cathepsin-d-antibody-ctd-19-ab6313

5

(16 reviews)

Alternative Version
Primary Antibodies

AB198326

Alexa Fluor® 647 Anti-Cathepsin D antibody [EPR3057Y]

primary-antibodies

alexa-fluor-647-cathepsin-d-antibody-epr3057y-ab198326

0

(0 reviews)

Alternative Version
Primary Antibodies

AB197605

Alexa Fluor® 488 Anti-Cathepsin D antibody [EPR3057Y]

primary-antibodies

alexa-fluor-488-cathepsin-d-antibody-epr3057y-ab197605

0

(0 reviews)

Alternative Version
Primary Antibodies

AB207874

Alexa Fluor® 594 Anti-Cathepsin D antibody [EPR3057Y]

primary-antibodies

alexa-fluor-594-cathepsin-d-antibody-epr3057y-ab207874

0

(0 reviews)

Alternative Version
Primary Antibodies

AB207875

Alexa Fluor® 405 Anti-Cathepsin D antibody [EPR3057Y]

primary-antibodies

alexa-fluor-405-cathepsin-d-antibody-epr3057y-ab207875

0

(0 reviews)

Alternative Version
Primary Antibodies

AB305650

PE Anti-Cathepsin D antibody [EPR3057Y]

primary-antibodies

pe-cathepsin-d-antibody-epr3057y-ab305650

0

(0 reviews)

Alternative Version
Primary Antibodies

AB305652

HRP Anti-Cathepsin D antibody [EPR3057Y]

primary-antibodies

hrp-cathepsin-d-antibody-epr3057y-ab305652

0

(0 reviews)

Alternative Version
Primary Antibodies

AB312170

Alexa Fluor® 555 Anti-Cathepsin D antibody [EPR3057Y]

primary-antibodies

alexa-fluor-555-cathepsin-d-antibody-epr3057y-ab312170

0

(0 reviews)

Alternative Version
Primary Antibodies

AB305651

APC Anti-Cathepsin D antibody [EPR3057Y]

primary-antibodies

apc-cathepsin-d-antibody-epr3057y-ab305651

0

(0 reviews)

Alternative Version
Primary Antibodies

AB312657

Alexa Fluor® 568 Anti-Cathepsin D antibody [EPR3057Y]

primary-antibodies

alexa-fluor-568-cathepsin-d-antibody-epr3057y-ab312657

0

(0 reviews)

Please note: All products are 'FOR RESEARCH USE ONLY. NOT FOR USE IN DIAGNOSTIC OR THERAPEUTIC PROCEDURES'.

For licensing inquiries, please contact partnerships@abcam.com