JavaScript is disabled in your browser. Please enable JavaScript to view this website.
AB302650

Anti-Cathepsin D [EPR3057Y] - Mouse IgG2a (Chimeric) - BSA and Azide free

Be the first to review this product! Submit a review

|

(0 Publication)

Mouse Recombinant Monoclonal Cathepsin D antibody. Carrier free. Suitable for WB, IHC-P, ICC/IF, Flow Cyt (Intra) and reacts with Human, Mouse, Rat samples.

View Alternative Names

CPSD, CTSD, Cathepsin D

8 Images
Immunohistochemistry (Formalin/PFA-fixed paraffin-embedded sections) - Anti-Cathepsin D [EPR3057Y] - Mouse IgG2a (Chimeric) - BSA and Azide free (AB302650)
  • IHC-P

Supplier Data

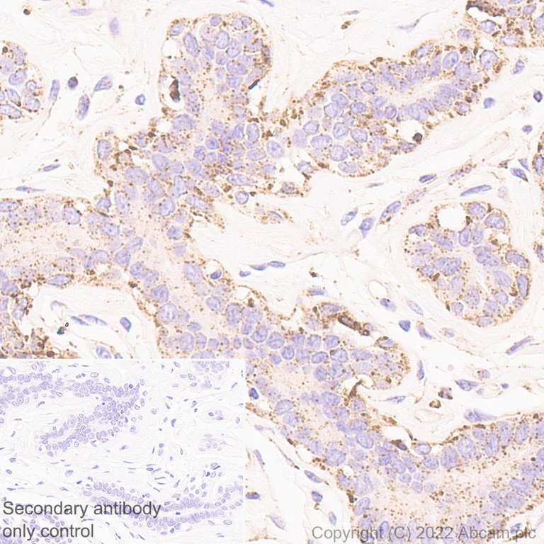
Immunohistochemistry (Formalin/PFA-fixed paraffin-embedded sections) - Anti-Cathepsin D [EPR3057Y] - Mouse IgG2a (Chimeric) - BSA and Azide free (AB302650)

This data was developed using ab302649, the same antibody clone in a different buffer formulation. Immunohistochemical analysis of paraffin-embedded Human breast tissue labeling CTSD (cathepsin D) with ab302649 at 1/10000 (0.094 ug/ml) followed by a ready to use LeicaDS9800 (Bond™ Polymer Refine Detection). Cytoplasmic with granular staining on human breast. The section was incubated with ab302649 for 30 mins at room temperature, followed by anti-mouse IgG2a antibody for 8 mins during the LeicaDS9800 kit staining procedure.The immunostaining was performed on a Leica Biosystems BOND® RX instrument Counterstained with Hematoxylin. Secondary antibody only control : Secondary antibody is a ready to use LeicaDS9800 (Bond™ Polymer Refine Detection).Heat mediated antigen retrieval with Tris-EDTA buffer (pH 9.0, epitope retrieval solution2) for 20 mins

Immunohistochemistry (Formalin/PFA-fixed paraffin-embedded sections) - Anti-Cathepsin D [EPR3057Y] - Mouse IgG2a (Chimeric) - BSA and Azide free (AB302650)
  • IHC-P

Supplier Data

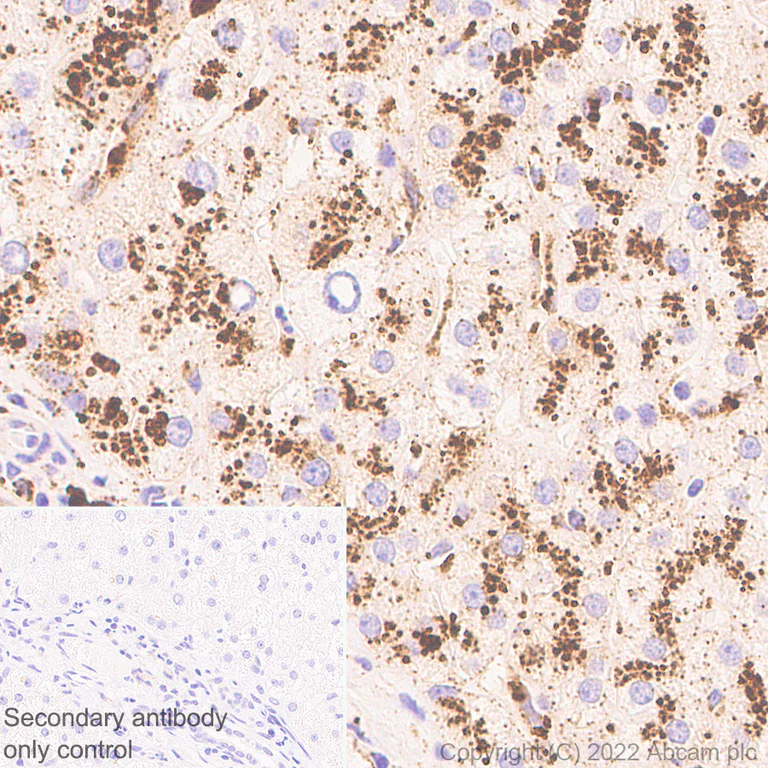
Immunohistochemistry (Formalin/PFA-fixed paraffin-embedded sections) - Anti-Cathepsin D [EPR3057Y] - Mouse IgG2a (Chimeric) - BSA and Azide free (AB302650)

This data was developed using ab302649, the same antibody clone in a different buffer formulation. Immunohistochemical analysis of paraffin-embedded Human liver tissue labeling CTSD (cathepsin D) with ab302649 at 1/10000 (0.094 ug/ml) followed by a ready to use LeicaDS9800 (Bond™ Polymer Refine Detection). Cytoplasmic with granular staining on human liver. The section was incubated with ab302649 for 30 mins at room temperature, followed by anti-mouse IgG2a antibody for 8 mins during the LeicaDS9800 kit staining procedure.The immunostaining was performed on a Leica Biosystems BOND® RX instrument Counterstained with Hematoxylin. Secondary antibody only control : Secondary antibody is a ready to use LeicaDS9800 (Bond™ Polymer Refine Detection).Heat mediated antigen retrieval with Tris-EDTA buffer (pH 9.0, epitope retrieval solution2) for 20 mins

Flow Cytometry (Intracellular) - Anti-Cathepsin D [EPR3057Y] - Mouse IgG2a (Chimeric) - BSA and Azide free (AB302650)
  • Flow Cyt (Intra)

Supplier Data

Flow Cytometry (Intracellular) - Anti-Cathepsin D [EPR3057Y] - Mouse IgG2a (Chimeric) - BSA and Azide free (AB302650)

This data was developed using ab302649, the same antibody clone in a different buffer formulation.Flow cytometric analysis of 4% paraformaldehyde fixed 90% methanol permeabilized HepG2 (human hepatocellular carcinoma epithelial cell) cells labelling CTSD (cathepsin D) with ab302649 at 1/1000 dilution (0.1ug) (Red) compared with a Mouse monoclonal IgG (Black) isotype control and an unlabelled control (cells without incubation with primary antibody and secondary antibody) (Blue). A Goat anti-Mouse IgG (Alexa Fluor® 488, ab150113) at 1/2000 dilution was used as the secondary antibody.

Flow Cytometry (Intracellular) - Anti-Cathepsin D [EPR3057Y] - Mouse IgG2a (Chimeric) - BSA and Azide free (AB302650)
  • Flow Cyt (Intra)

Supplier Data

Flow Cytometry (Intracellular) - Anti-Cathepsin D [EPR3057Y] - Mouse IgG2a (Chimeric) - BSA and Azide free (AB302650)

This data was developed using ab302649, the same antibody clone in a different buffer formulation.Flow cytometric analysis of 4% paraformaldehyde fixed 90% methanol permeabilized Neuro-2a (mouse neuroblastoma neuroblast) cells labelling CTSD (cathepsin D) with ab302649 at 1/1000 dilution (0.1ug) (Red) compared with a Mouse monoclonal IgG (Black) isotype control and an unlabelled control (cells without incubation with primary antibody and secondary antibody) (Blue). A Goat anti-Mouse IgG (Alexa Fluor® 488, ab150113) at 1/2000 dilution was used as the secondary antibody.

Western blot - Anti-Cathepsin D [EPR3057Y] - Mouse IgG2a (Chimeric) - BSA and Azide free (AB302650)
  • WB

Supplier Data

Western blot - Anti-Cathepsin D [EPR3057Y] - Mouse IgG2a (Chimeric) - BSA and Azide free (AB302650)

This data was developed using ab302649, the same antibody clone in a different buffer formulation. Blocking and diluting buffer and concentration : 5% NFDM/TBST Exposure time : Lane 1-3 : 15 seconds Lane 4, 5 : 125 seconds

All lanes:

Western blot - Anti-Cathepsin D [EPR3057Y] - Mouse IgG2a (Chimeric) (<a href='/en-us/products/primary-antibodies/cathepsin-d-epr3057y-mouse-igg2a-chimeric-ab302649'>ab302649</a>) at 1/1000 dilution

Lane 1:

Human heart tissue lysate at 20 µg

Lane 2:

Human liver tissue lysate at 20 µg

Lane 3:

Human spleen tissue lysate at 20 µg

Lane 4:

Mouse brain tissue lysate at 20 µg

Lane 5:

Rat stomach tissue lysate at 20 µg

Secondary

All lanes:

Western blot - Goat Anti-Mouse IgG Fc (HRP) preadsorbed (<a href='/en-us/products/secondary-antibodies/goat-mouse-igg-fc-hrp-preadsorbed-ab98717'>ab98717</a>) at 1/20000 dilution

Observed band size: 14 kDa,28 kDa,46 kDa

false

Exposure time: 15s

Western blot - Anti-Cathepsin D [EPR3057Y] - Mouse IgG2a (Chimeric) - BSA and Azide free (AB302650)
  • WB

Supplier Data

Western blot - Anti-Cathepsin D [EPR3057Y] - Mouse IgG2a (Chimeric) - BSA and Azide free (AB302650)

This data was developed using ab302649, the same antibody clone in a different buffer formulation. Blocking and diluting buffer and concentration : 5% NFDM/TBST Exposure time : 26 seconds

All lanes:

Western blot - Anti-Cathepsin D [EPR3057Y] - Mouse IgG2a (Chimeric) (<a href='/en-us/products/primary-antibodies/cathepsin-d-epr3057y-mouse-igg2a-chimeric-ab302649'>ab302649</a>) at 1/1000 dilution

Lane 1:

MCF7 (human breast adenocarcinoma epithelial cell), whole cell lysate at 20 µg

Lane 2:

SH-SY5Y (human neuroblastoma epithelial cell), whole cell lysate at 20 µg

Lane 3:

SK-BR-3 (human breast adenocarcinoma epithelial cell), whole cell lysate at 20 µg

Lane 4:

U937 (human histiocytic lymphoma monocyte), whole cell lysate at 20 µg

Lane 5:

A431 (human epidermoid carcinoma epithelial cell), whole cell lysate at 20 µg

Lane 6:

HepG2 (human hepatocellular carcinoma epithelial cell), whole cell lysate at 20 µg

Lane 7:

RAW264.7 (mouse Abelson murine leukemia virus-induced tumor macrophage), whole cell lysate at 20 µg

Lane 8:

Neuro-2a (mouse neuroblastoma neuroblast), whole cell lysate at 20 µg

Secondary

All lanes:

Western blot - Goat Anti-Mouse IgG Fc (HRP) preadsorbed (<a href='/en-us/products/secondary-antibodies/goat-mouse-igg-fc-hrp-preadsorbed-ab98717'>ab98717</a>) at 1/20000 dilution

Observed band size: 28 kDa,14 kDa,46 kDa

false

Exposure time: 26s

Immunocytochemistry/ Immunofluorescence - Anti-Cathepsin D [EPR3057Y] - Mouse IgG2a (Chimeric) - BSA and Azide free (AB302650)
  • ICC/IF

Supplier Data

Immunocytochemistry/ Immunofluorescence - Anti-Cathepsin D [EPR3057Y] - Mouse IgG2a (Chimeric) - BSA and Azide free (AB302650)

This data was developed using ab302649, the same antibody clone in a different buffer formulation.Immunofluorescent analysis of 100% methanol-fixed, 0.1% TritonX-100 permeabilized HepG2 (human hepatocellular carcinoma epithelial cell) cells labelling CTSD (cathepsin D) with ab302649 at 1/50 (18.84 ug/ml) dilution, followed by ab98736 Goat F(ab')2 Anti-Mouse IgG - Fc (DyLight® 488) pre-adsorbed antibody at 1/1000 2 ug/ml dilution (Green). Confocal image showing cytoplasmic staining in HepG2 cell line is observed. ab179513 Anti-beta Tubulin rabbit monoclonal antibody was used to counterstain tubulin at 1/200 10ug/ml dilution (Red). The Nuclear counterstain was DAPI (Blue). Secondary antibody only control : Secondary antibody is ab98736 Goat F(ab')2 Anti-Mouse IgG - Fc (DyLight® 488) pre-adsorbed at 1/1000 2 ug/ml dilution.

Immunocytochemistry/ Immunofluorescence - Anti-Cathepsin D [EPR3057Y] - Mouse IgG2a (Chimeric) - BSA and Azide free (AB302650)
  • ICC/IF

Supplier Data

Immunocytochemistry/ Immunofluorescence - Anti-Cathepsin D [EPR3057Y] - Mouse IgG2a (Chimeric) - BSA and Azide free (AB302650)

This data was developed using ab302649, the same antibody clone in a different buffer formulation.Immunofluorescent analysis of 100% methanol-fixed, 0.1% TritonX-100 permeabilized Neuro-2a (mouse neuroblastoma neuroblast) cells labelling CTSD (cathepsin D) with ab302649 at 1/50 (18.84 ug/ml) dilution, followed by ab98736 Goat F(ab')2 Anti-Mouse IgG - Fc (DyLight® 488) pre-adsorbed antibody at 1/1000 2 ug/ml dilution (Green). Confocal image showing cytoplasmic staining in Neuro-2a cell line is observed. ab179513 Anti-beta Tubulin rabbit monoclonal antibody was used to counterstain tubulin at 1/200 10ug/ml dilution (Red). The Nuclear counterstain was DAPI (Blue). Secondary antibody only control : Secondary antibody is ab98736 Goat F(ab')2 Anti-Mouse IgG - Fc (DyLight® 488) pre-adsorbed at 1/1000 2 ug/ml dilution.

Key facts

Host species

Mouse

Clonality

Monoclonal

Clone number

EPR3057Y-MsIgG2a

Isotype

IgG2a

Carrier free

Yes

Reacts with

Human, Mouse, Rat

Applications

ICC/IF, Flow Cyt (Intra), IHC-P, WB

applications

Immunogen

The exact immunogen used to generate this antibody is proprietary information.

Reactivity data

{ "title": "Reactivity Data", "filters": { "stats": ["", "Species", "Dilution Info", "Notes"], "tabs": { "all-applications": {"fullname" : "All Applications", "shortname": "All Applications"}, "WB" : {"fullname" : "Western blot", "shortname":"WB"}, "IHCP" : {"fullname" : "Immunohistochemistry (Formalin/PFA-fixed paraffin-embedded sections)", "shortname":"IHC-P"}, "ICCIF" : {"fullname" : "Immunocytochemistry/ Immunofluorescence", "shortname":"ICC/IF"}, "FlowCytIntra" : {"fullname" : "Flow Cytometry (Intracellular)", "shortname":"Flow Cyt (Intra)"}, "IP" : {"fullname" : "Immunoprecipitation", "shortname":"IP"} }, "product-promise": { "all": "all", "testedAndGuaranteed": "tested", "guaranteed": "expected", "predicted": "predicted", "notRecommended": "not-recommended" } }, "values": { "Human": { "WB-species-checked": "testedAndGuaranteed", "WB-species-dilution-info": "", "WB-species-notes": "<p></p>", "IHCP-species-checked": "testedAndGuaranteed", "IHCP-species-dilution-info": "", "IHCP-species-notes": "<p></p>", "ICCIF-species-checked": "testedAndGuaranteed", "ICCIF-species-dilution-info": "", "ICCIF-species-notes": "<p></p>", "FlowCytIntra-species-checked": "testedAndGuaranteed", "FlowCytIntra-species-dilution-info": "", "FlowCytIntra-species-notes": "<p></p>", "IP-species-checked": "notRecommended", "IP-species-dilution-info": "", "IP-species-notes": "<p></p>" }, "Mouse": { "WB-species-checked": "testedAndGuaranteed", "WB-species-dilution-info": "", "WB-species-notes": "<p></p>", "IHCP-species-checked": "guaranteed", "IHCP-species-dilution-info": "", "IHCP-species-notes": "", "ICCIF-species-checked": "testedAndGuaranteed", "ICCIF-species-dilution-info": "", "ICCIF-species-notes": "<p></p>", "FlowCytIntra-species-checked": "testedAndGuaranteed", "FlowCytIntra-species-dilution-info": "", "FlowCytIntra-species-notes": "<p></p>", "IP-species-checked": "notRecommended", "IP-species-dilution-info": "", "IP-species-notes": "" }, "Rat": { "WB-species-checked": "testedAndGuaranteed", "WB-species-dilution-info": "", "WB-species-notes": "<p></p>", "IHCP-species-checked": "guaranteed", "IHCP-species-dilution-info": "", "IHCP-species-notes": "", "ICCIF-species-checked": "guaranteed", "ICCIF-species-dilution-info": "", "ICCIF-species-notes": "", "FlowCytIntra-species-checked": "guaranteed", "FlowCytIntra-species-dilution-info": "", "FlowCytIntra-species-notes": "", "IP-species-checked": "notRecommended", "IP-species-dilution-info": "", "IP-species-notes": "" } } }

You may be interested in:

AB65302

Cathepsin D Activity Assay Kit (Fluorometric)

4

3 Reviews

View product

We recommend this product because it’s often used in the same experiment or related research.

We advise that you always check the datasheet to ensure it fits your experiments, or contact ourtechnical teamfor help.

Product details

Properties and storage information

Form
Liquid
Purification technique
Affinity purification Protein A
Storage buffer
pH: 7.2 - 7.4 Constituents: 100% PBS
Shipped at conditions
Blue Ice
Appropriate short-term storage conditions
+4°C
Appropriate long-term storage conditions
+4°C
Storage information
Do Not Freeze

Supplementary information

This supplementary information is collated from multiple sources and compiled automatically.

Cathepsin D also known as CTSD is a protein with a mass of approximately 45 kDa. It functions as an aspartyl protease and is expressed in lysosomes across various tissues including the liver and kidneys. This enzyme acts by cleaving peptide bonds within proteins which is essential for protein degradation and turnover. Cathepsin D exists as precursor forms that become activated in the acidic environment of the lysosome. It plays a critical role in normal cellular processes by maintaining protein homeostasis.
Biological function summary

The enzymatic activity of Cathepsin D is important for cellular maintenance and apoptosis. This protease does not act within larger protein complexes but contributes to the degradation of extracellular and intracellular proteins. It mediates processes like antigen processing where it deconstructs proteins into peptides that are presented on major histocompatibility complex (MHC) molecules. ELISA tests can quantify its expression levels sometimes termed as CTSD activity in various biological samples offering insights into its role within cellular environments.

Pathways

Cathepsin D involvement includes the lysosomal degradation pathway and the apoptotic signaling pathway. In the lysosomal degradation pathway Cathepsin D breaks down proteins and peptides a process important for cellular recycling and energy release. It interacts with other lysosomal enzymes such as Cathepsin B in this pathway ensuring comprehensive breakdown of cellular waste. The apoptotic signaling pathway involves the regulation of programmed cell death where Cathepsin D can influence the activation of downstream proteins like Bcl-2 and Bax which control cell survival.

The overexpression of Cathepsin D links to breast cancer and Alzheimer's disease. In breast cancer increased Cathepsin D expression correlates with tumor progression and metastasis influencing tumor behavior through interactions with other proteins involved in cell proliferation. Alzheimer's disease features the involvement of Cathepsin D in the breakdown of amyloid precursor protein which relates to amyloid beta plaque accumulation. The abnormal activity of Cathepsin D in these disorders makes it a potential target for therapeutic antibodies such as CTSD antibodies which aim to regulate its function.

Product protocols

For this product, it's our understanding that no specific protocols are required. You can visit:

Target data

Acid protease active in intracellular protein breakdown. Plays a role in APP processing following cleavage and activation by ADAM30 which leads to APP degradation (PubMed : 27333034). Involved in the pathogenesis of several diseases such as breast cancer and possibly Alzheimer disease.
See full target information CTSD

Product promise

We are committed to supporting your work with high-quality reagents, and we're here for you every step of the way. In the unlikely event that one of our products does not perform as expected, you're protected by our Product Promise.
For full details, please see our Terms & Conditions

Associated Products

Select an associated product type
Alternative Version
Primary Antibodies

AB302649

Anti-Cathepsin D [EPR3057Y] - Mouse IgG2a (Chimeric)

primary-antibodies

cathepsin-d-epr3057y-mouse-igg2a-chimeric-ab302649

0

(0 reviews)

Alternative Version
Primary Antibodies

AB312170

Alexa Fluor® 555 Anti-Cathepsin D antibody [EPR3057Y]

primary-antibodies

alexa-fluor-555-cathepsin-d-antibody-epr3057y-ab312170

0

(0 reviews)

Alternative Version
Primary Antibodies

AB312657

Alexa Fluor® 568 Anti-Cathepsin D antibody [EPR3057Y]

primary-antibodies

alexa-fluor-568-cathepsin-d-antibody-epr3057y-ab312657

0

(0 reviews)

Please note: All products are 'FOR RESEARCH USE ONLY. NOT FOR USE IN DIAGNOSTIC OR THERAPEUTIC PROCEDURES'.

For licensing inquiries, please contact partnerships@abcam.com