JavaScript is disabled in your browser. Please enable JavaScript to view this website.
AB282105

Anti-Cathepsin G antibody [EPR24170-169]

  • BOND RX™ Validated
  • 20ul selling size
  • RabMAb
  • Recombinant
  • What is this?

Be the first to review this product! Submit a review

|

(3 Publications)

Rabbit Recombinant Monoclonal Cathepsin G antibody. Suitable for WB, IHC-P and reacts with Human samples. Cited in 3 publications.

View Alternative Names

Cathepsin G, CG, CTSG

4 Images
Immunohistochemistry (Formalin/PFA-fixed paraffin-embedded sections) - Anti-Cathepsin G antibody [EPR24170-169] (AB282105)
  • IHC-P

Supplier Data

Immunohistochemistry (Formalin/PFA-fixed paraffin-embedded sections) - Anti-Cathepsin G antibody [EPR24170-169] (AB282105)

Immunohistochemical analysis of paraffin-embedded Human bone marrow tissue labelling Cathepsin G with ab282105 at 1/5000 (0.107 ug/ml) dilution followed by a ready to use LeicaDS9800 (Bond™ Polymer Refine Detection). Positive staining on human bone marrow (PMID : 25541736). The section was incubated with ab282105 for 30 minutes at room temperature. The immunostaining was performed on a Leica Biosystems BOND® RX instrument Counterstained with Hematoxylin.

Secondary antibody only control : Secondary antibody is a ready to use LeicaDS9800 (Bond™ Polymer Refine Detection).

Heat mediated antigen retrieval with Tris-EDTA buffer (pH 9.0, epitope retrieval solution2) for 20 minutes.

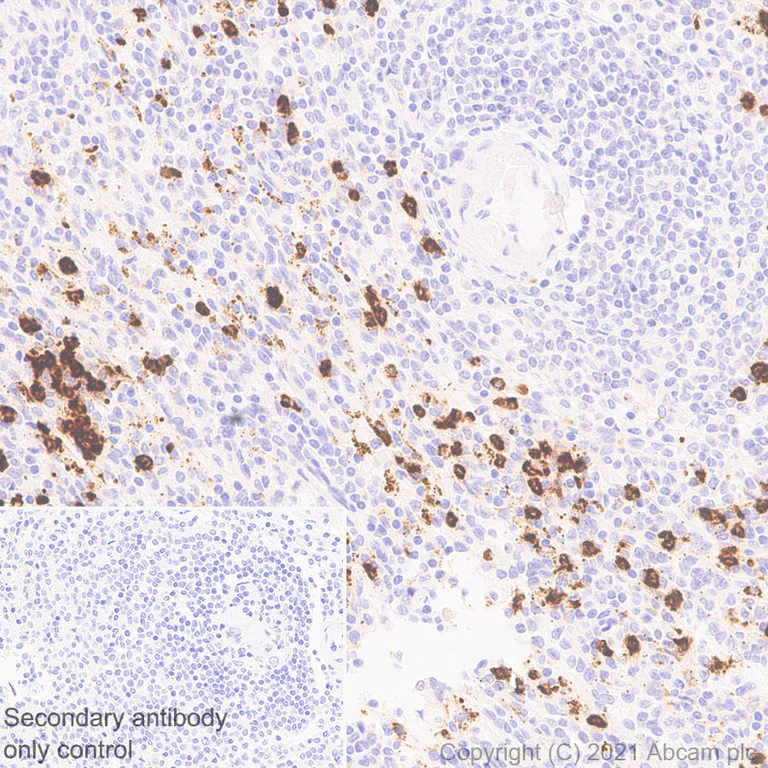
Immunohistochemistry (Formalin/PFA-fixed paraffin-embedded sections) - Anti-Cathepsin G antibody [EPR24170-169] (AB282105)
  • IHC-P

Supplier Data

Immunohistochemistry (Formalin/PFA-fixed paraffin-embedded sections) - Anti-Cathepsin G antibody [EPR24170-169] (AB282105)

Immunohistochemical analysis of paraffin-embedded Human spleen tissue labelling Cathepsin G with ab282105 at 1/5000 (0.107 ug/ml) dilution followed by a ready to use LeicaDS9800 (Bond™ Polymer Refine Detection). Positive staining on human spleen (PMID : 31727956). The section was incubated with ab282105 for 30 minutes at room temperature. The immunostaining was performed on a Leica Biosystems BOND® RX instrument Counterstained with Hematoxylin.

Secondary antibody only control : Secondary antibody is a ready to use LeicaDS9800 (Bond™ Polymer Refine Detection).

Heat mediated antigen retrieval with Tris-EDTA buffer (pH 9.0, epitope retrieval solution2) for 20 minutes.

Western blot - Anti-Cathepsin G antibody [EPR24170-169] (AB282105)
  • WB

Lab

Western blot - Anti-Cathepsin G antibody [EPR24170-169] (AB282105)

Blocking and diluting buffer and concentration : 5% NFDM/TBST

The expression profile/molecular weight observed is consistent with what has been described in the literature (PMID : 29422892, 29077095, 2116408).

Negative control : MDA-MB-231 (PMID : 29422892).

Bands of 28KDa and 18KDa represent the mature form and degradation fragment.

Exposure time : Lane 1-4 : 7.75 seconds

Lane 5 : 59 seconds.

All lanes:

Western blot - Anti-Cathepsin G antibody [EPR24170-169] (ab282105) at 1/1000 dilution

Lane 1:

HL-60 (human Acute Promyelocytic Leukemia promyeloblast), whole cell lysate at 20 µg

Lane 2:

U937 (human histiocytic lymphoma monocyte), whole cell lysate at 20 µg

Lane 3:

MDA-MB-231 (human breast adenocarcinoma epithelial cell), whole cell lysate at 20 µg

Lane 4:

Human tonsil tissue lysate whole cell lysate at 40 µg

Lane 5:

Human spleen tissue lysate whole cell lysate at 40 µg

Secondary

All lanes:

Western blot - Goat Anti-Rabbit IgG H&L (HRP) (<a href='/en-us/products/secondary-antibodies/goat-rabbit-igg-h-l-hrp-ab97051'>ab97051</a>) at 1/100000 dilution

Predicted band size: 28 kDa

Observed band size: 18 kDa,28 kDa

false

Western blot - Anti-Cathepsin G antibody [EPR24170-169] (AB282105)
  • WB

Lab

Western blot - Anti-Cathepsin G antibody [EPR24170-169] (AB282105)

Blocking and diluting buffer and concentration : 5% NFDM/TBST

Exposure time : 26 seconds

All lanes:

Western blot - Anti-Cathepsin G antibody [EPR24170-169] (ab282105) at 1/1000 dilution

Lane 1:

Native human Cathepsin G protein (<a href='/en-us/products/proteins-peptides/native-human-cathepsin-g-protein-ab91122'>ab91122</a>) at 0.01 µg

Lane 2:

His-tagged human Granzyme B recombinant protein at 0.01 µg

Secondary

All lanes:

Western blot - Goat Anti-Rabbit IgG H&L (HRP) (<a href='/en-us/products/secondary-antibodies/goat-rabbit-igg-h-l-hrp-ab97051'>ab97051</a>) at 1/100000 dilution

Predicted band size: 28 kDa

Observed band size: 18 kDa,28 kDa

false

  • Carrier free

    Anti-Cathepsin G antibody [EPR24170-169] - BSA and Azide free

Key facts

Host species

Rabbit

Clonality

Monoclonal

Clone number

EPR24170-169

Isotype

IgG

Carrier free

No

Reacts with

Human

Applications

WB, IHC-P

applications

Immunogen

The exact immunogen used to generate this antibody is proprietary information.

Reactivity data

{ "title": "Reactivity Data", "filters": { "stats": ["", "Species", "Dilution Info", "Notes"], "tabs": { "all-applications": {"fullname" : "All Applications", "shortname": "All Applications"}, "IP" : {"fullname" : "Immunoprecipitation", "shortname":"IP"}, "WB" : {"fullname" : "Western blot", "shortname":"WB"}, "IHCP" : {"fullname" : "Immunohistochemistry (Formalin/PFA-fixed paraffin-embedded sections)", "shortname":"IHC-P"}, "FlowCytIntra" : {"fullname" : "Flow Cytometry (Intracellular)", "shortname":"Flow Cyt (Intra)"}, "ICCIF" : {"fullname" : "Immunocytochemistry/ Immunofluorescence", "shortname":"ICC/IF"} }, "product-promise": { "all": "all", "testedAndGuaranteed": "tested", "guaranteed": "expected", "predicted": "predicted", "notRecommended": "not-recommended" } }, "values": { "Human": { "IP-species-checked": "notRecommended", "IP-species-dilution-info": "", "IP-species-notes": "<p></p>", "WB-species-checked": "testedAndGuaranteed", "WB-species-dilution-info": "1/1000", "WB-species-notes": "<p></p>", "IHCP-species-checked": "testedAndGuaranteed", "IHCP-species-dilution-info": "1/5000", "IHCP-species-notes": "<p></p>", "FlowCytIntra-species-checked": "notRecommended", "FlowCytIntra-species-dilution-info": "", "FlowCytIntra-species-notes": "<p></p>", "ICCIF-species-checked": "notRecommended", "ICCIF-species-dilution-info": "", "ICCIF-species-notes": "<p></p>" }, "Mouse": { "IP-species-checked": "notRecommended", "IP-species-dilution-info": "", "IP-species-notes": "", "WB-species-checked": "notRecommended", "WB-species-dilution-info": "1/1000", "WB-species-notes": "<p></p>", "IHCP-species-checked": "notRecommended", "IHCP-species-dilution-info": "1/5000", "IHCP-species-notes": "<p></p>", "FlowCytIntra-species-checked": "notRecommended", "FlowCytIntra-species-dilution-info": "", "FlowCytIntra-species-notes": "", "ICCIF-species-checked": "notRecommended", "ICCIF-species-dilution-info": "", "ICCIF-species-notes": "" }, "Rat": { "IP-species-checked": "notRecommended", "IP-species-dilution-info": "", "IP-species-notes": "", "WB-species-checked": "notRecommended", "WB-species-dilution-info": "1/1000", "WB-species-notes": "<p></p>", "IHCP-species-checked": "notRecommended", "IHCP-species-dilution-info": "1/5000", "IHCP-species-notes": "<p></p>", "FlowCytIntra-species-checked": "notRecommended", "FlowCytIntra-species-dilution-info": "", "FlowCytIntra-species-notes": "", "ICCIF-species-checked": "notRecommended", "ICCIF-species-dilution-info": "", "ICCIF-species-notes": "" } } }

Product details

Patented technology
Our RabMAb® technology is a patented hybridoma-based technology for making rabbit monoclonal antibodies. For details on our patents, please refer to RabMAb® patents.

What are the advantages of a recombinant monoclonal antibody?
This product is a recombinant monoclonal antibody, which offers several advantages including:

  • - High batch-to-batch consistency and reproducibility
  • - Improved sensitivity and specificity
  • - Long-term security of supply
  • - Animal-free batch production

For more information, read more on recombinant antibodies.

Properties and storage information

Form
Liquid
Purification technique
Affinity purification Protein A
Storage buffer
pH: 7.2 - 7.4 Preservative: 0.01% Sodium azide Constituents: PBS, 40% Glycerol (glycerin, glycerine), 0.05% BSA
Shipped at conditions
Blue Ice
Appropriate short-term storage duration
1-2 weeks
Appropriate short-term storage conditions
+4°C
Appropriate long-term storage conditions
-20°C
Aliquoting information
Upon delivery aliquot
Storage information
Avoid freeze / thaw cycle

Supplementary information

This supplementary information is collated from multiple sources and compiled automatically.

Cathepsin G also known as CTSG is a serine protease with a molecular mass of approximately 29 kDa. It is primarily located in azurophilic granules of neutrophils a type of white blood cell. Cathepsin G functions mechanically as an enzyme cleaving peptide bonds in proteins and shaping the protein components involved in various immune responses. Its enzymatic activity is important for host defense processes including bacterial degradation and immune cell signaling. Researchers easily measure and study 'G activity' using specific functional assays.
Biological function summary

Cathepsin G plays a significant role in the immune system by contributing to inflammatory responses and regulating cellular processes through its proteolytic activity. It participates in activating other proteins such as anti-bacterial serine enzymes and breaking down extracellular matrix components during immune response facilitation. While not part of a larger complex cathepsin G works alongside other proteases showing combinatory effects in innate immunity.

Pathways

Cathepsin G is involved in the immune and inflammatory pathways. It plays a part in the regulation of inflammatory responses and contributes to the activation of cytokines during infection and tissue injury. Cathepsin G connects through shared activity with other proteases like neutrophil elastase influencing processes in tissue remodeling and cytokine release. It sustains immune system homeostasis maintaining a balance between inflammation and tissue repair in these pathways.

Cathepsin G is linked to chronic inflammatory conditions and autoimmune disorders. For example rheumatoid arthritis showcases the enzyme's connection where cathepsin G contributes to tissue damage and joint inflammation. Cathepsin G's increased activity associates with neutrophil elastase aggravating symptoms of chronic obstructive pulmonary disease (COPD) as it contributes to lung tissue degradation. Understanding cathepsin G's role in these diseases aids research in therapeutic target development focusing on 'E-64d' inhibitors. These inhibitors reduce inflammatory damage by curbing excessive protease activity.

Product protocols

For this product, it's our understanding that no specific protocols are required. You can visit:

Target data

Serine protease with trypsin- and chymotrypsin-like specificity (PubMed : 29652924, PubMed : 8194606). Also displays antibacterial activity against Gram-negative and Gram-positive bacteria independent of its protease activity (PubMed : 2116408, PubMed : 2117044). Prefers Phe and Tyr residues in the P1 position of substrates but also cleaves efficiently after Trp and Leu (PubMed : 29652924). Shows a preference for negatively charged amino acids in the P2' position and for aliphatic amino acids both upstream and downstream of the cleavage site (PubMed : 29652924). Required for recruitment and activation of platelets which is mediated by the F2RL3/PAR4 platelet receptor (PubMed : 10702240, PubMed : 3390156). Binds reversibly to and stimulates B cells and CD4(+) and CD8(+) T cells (PubMed : 7842483, PubMed : 9000539). Also binds reversibly to natural killer (NK) cells and enhances NK cell cytotoxicity through its protease activity (PubMed : 9000539, PubMed : 9536127). Cleaves complement C3 (PubMed : 1861080). Cleaves vimentin (By similarity). Cleaves thrombin receptor F2R/PAR1 and acts as either an agonist or an inhibitor, depending on the F2R cleavage site (PubMed : 10702240, PubMed : 7744748). Cleavage of F2R at '41-Arg-|-Ser-42' results in receptor activation while cleavage at '55-Phe-|-Trp-56' results in inhibition of receptor activation (PubMed : 7744748). Cleaves the synovial mucin-type protein PRG4/lubricin (PubMed : 32144329). Cleaves and activates IL36G which promotes expression of chemokines CXCL1 and CXLC8 in keratinocytes (PubMed : 30804664). Cleaves IL33 into mature forms which have greater activity than the unprocessed form (PubMed : 22307629). Cleaves coagulation factor F8 to produce a partially activated form (PubMed : 18217133). Also cleaves and activates coagulation factor F10 (PubMed : 8920993). Cleaves leukocyte cell surface protein SPN/CD43 to release its extracellular domain and trigger its intramembrane proteolysis by gamma-secretase, releasing the CD43 cytoplasmic tail chain (CD43-ct) which translocates to the nucleus (PubMed : 18586676). Cleaves CCL5/RANTES to produce RANTES(4-68) lacking the N-terminal three amino acids which exhibits reduced chemotactic and antiviral activities (PubMed : 16963625). During apoptosis, cleaves SMARCA2/BRM to produce a 160 kDa cleavage product which localizes to the cytosol (PubMed : 11259672). Cleaves myelin basic protein MBP in B cell lysosomes at '224-Phe-|-Lys-225' and '248-Phe-|-Ser-249', degrading the major immunogenic MBP epitope and preventing the activation of MBP-specific autoreactive T cells (PubMed : 15100291). Cleaves annexin ANXA1 and antimicrobial peptide CAMP to produce peptides which act on neutrophil N-formyl peptide receptors to enhance the release of CXCL2 (PubMed : 22879591). Acts as a ligand for the N-formyl peptide receptor FPR1, enhancing phagocyte chemotaxis (PubMed : 15210802). Has antibacterial activity against the Gram-negative bacteria N.gonorrhoeae and P.aeruginosa (PubMed : 1937776, PubMed : 2116408). Likely to act against N.gonorrhoeae by interacting with N.gonorrhoeae penA/PBP2 (PubMed : 2126324). Exhibits potent antimicrobial activity against the Gram-positive bacterium L.monocytogenes (PubMed : 2117044). Has antibacterial activity against the Gram-positive bacterium S.aureus and degrades S.aureus biofilms, allowing polymorphonuclear leukocytes to penetrate the biofilm and phagocytose bacteria (PubMed : 2117044, PubMed : 32995850). Has antibacterial activity against M.tuberculosis (PubMed : 15385470). Mediates CASP4 activation induced by the Td92 surface protein of the periodontal pathogen T.denticola, causing production and secretion of IL1A and leading to pyroptosis of gingival fibroblasts (PubMed : 29077095). Induces platelet aggregation which is strongly potentiated in the presence of ELANE (PubMed : 25211214, PubMed : 9111081).
See full target information Cathepsin G

Publications (3)

Recent publications for all applications. Explore the full list and refine your search

Frontiers in immunology 15:1494025 PubMed39840068

2025

Single-cell transcriptomics reveals the heterogeneity and function of mast cells in human ccRCC.

Applications

Unspecified application

Species

Unspecified reactive species

Xiyu Song,Jianhua Jiao,Jiayang Qin,Wei Zhang,Weijun Qin,Shuaijun Ma

Translational oncology 49:102098 PubMed39153366

2024

Identification of a biomarker to predict doxorubicin/cisplatin chemotherapy efficacy in osteosarcoma patients using primary, recurrent and metastatic specimens.

Applications

Unspecified application

Species

Unspecified reactive species

Qiong Ma,Jin Sun,Qiao Liu,Jin Fu,Yanhua Wen,Fuqin Zhang,Yonghong Wu,Xiaoyu Zhang,Li Gong,Wei Zhang

Animals : an open access journal from MDPI 14: PubMed38540082

2024

The In Vitro Effects of Carprofen on Lipopolysaccharide-Induced Neutrophil Extracellular Trap Formation in Dairy Cows.

Applications

Unspecified application

Species

Unspecified reactive species

Jianbo Zhi,Kaixi Qiao,Lei Xie,Osvaldo Bogado Pascottini,Geert Opsomer,Qiang Dong
View all publications

Product promise

We are committed to supporting your work with high-quality reagents, and we're here for you every step of the way. In the unlikely event that one of our products does not perform as expected, you're protected by our Product Promise.
For full details, please see our Terms & Conditions

Please note: All products are 'FOR RESEARCH USE ONLY. NOT FOR USE IN DIAGNOSTIC OR THERAPEUTIC PROCEDURES'.

For licensing inquiries, please contact partnerships@abcam.com