JavaScript is disabled in your browser. Please enable JavaScript to view this website.
AB231590

Anti-Cathepsin K antibody

Be the first to review this product! Submit a review

|

(1 Publication)

Rabbit Polyclonal Cathepsin K antibody. Suitable for WB, IHC-P and reacts with Pig, Human samples. Cited in 1 publication. Immunogen corresponding to Recombinant Fragment Protein within Human CTSK aa 50 to C-terminus.

View Alternative Names

CTSO, CTSO2, CTSK, Cathepsin K, Cathepsin O, Cathepsin O2, Cathepsin X

6 Images
Immunohistochemistry (Formalin/PFA-fixed paraffin-embedded sections) - Anti-Cathepsin K antibody (AB231590)
  • IHC-P

Supplier Data

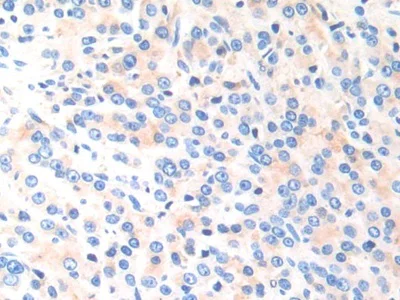
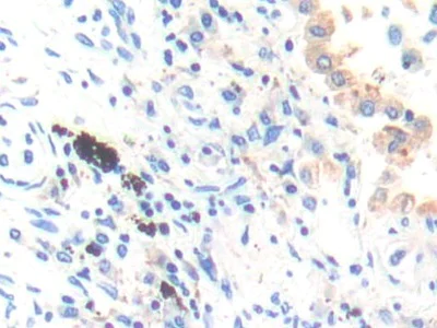
Immunohistochemistry (Formalin/PFA-fixed paraffin-embedded sections) - Anti-Cathepsin K antibody (AB231590)

Formalin-fixed, paraffin-embedded human lung cancer tissue stained for Cathepsin K using ab231590 at 20 μg/mL in immunohistochemical analysis. DAB staining.

Immunohistochemistry (Formalin/PFA-fixed paraffin-embedded sections) - Anti-Cathepsin K antibody (AB231590)
  • IHC-P

Supplier Data

Immunohistochemistry (Formalin/PFA-fixed paraffin-embedded sections) - Anti-Cathepsin K antibody (AB231590)

Formalin-fixed, paraffin-embedded human breast cancer tissue stained for Cathepsin K using ab231590 at 20 μg/mL in immunohistochemical analysis. DAB staining.

Immunohistochemistry (Formalin/PFA-fixed paraffin-embedded sections) - Anti-Cathepsin K antibody (AB231590)
  • IHC-P

Supplier Data

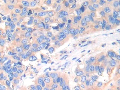
Immunohistochemistry (Formalin/PFA-fixed paraffin-embedded sections) - Anti-Cathepsin K antibody (AB231590)

Formalin-fixed, paraffin-embedded human prostate cancer tissue stained for Cathepsin K using ab231590 at 20 μg/mL in immunohistochemical analysis. DAB staining.

Immunohistochemistry (Formalin/PFA-fixed paraffin-embedded sections) - Anti-Cathepsin K antibody (AB231590)
  • IHC-P

Supplier Data

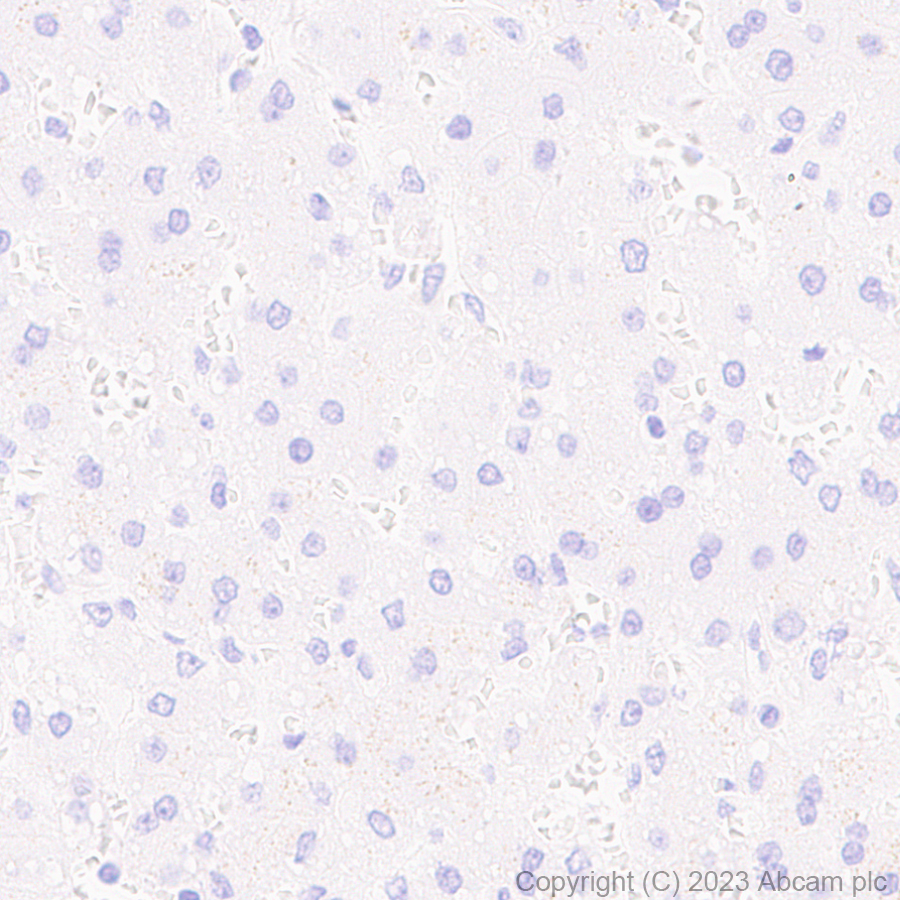
Immunohistochemistry (Formalin/PFA-fixed paraffin-embedded sections) - Anti-Cathepsin K antibody (AB231590)

Formalin-fixed, paraffin-embedded human liver tissue stained for Cathepsin K using ab231590 at 20 μg/mL in immunohistochemical analysis. DAB staining.

Western blot - Anti-Cathepsin K antibody (AB231590)
  • WB

Supplier Data

Western blot - Anti-Cathepsin K antibody (AB231590)

All lanes:

Western blot - Anti-Cathepsin K antibody (ab231590) at 3 µg/mL

All lanes:

Recombinant human Cathepsin K protein

Predicted band size: 37 kDa

false

Western blot - Anti-Cathepsin K antibody (AB231590)
  • WB

Supplier Data

Western blot - Anti-Cathepsin K antibody (AB231590)

All lanes:

Western blot - Anti-Cathepsin K antibody (ab231590) at 3 µg/mL

All lanes:

Pig heart tissue

Secondary

All lanes:

HRP-linked guinea pig anti-rabbit at 1/2000 dilution

Predicted band size: 37 kDa

false

Key facts

Host species

Rabbit

Clonality

Polyclonal

Isotype

IgG

Carrier free

No

Reacts with

Human, Pig

Applications

WB, IHC-P

applications

Immunogen

Recombinant Fragment Protein within Human CTSK aa 50 to C-terminus. The exact immunogen used to generate this antibody is proprietary information.

P43235

Reactivity data

{ "title": "Reactivity Data", "filters": { "stats": ["", "Species", "Dilution Info", "Notes"], "tabs": { "all-applications": {"fullname" : "All Applications", "shortname": "All Applications"}, "WB" : {"fullname" : "Western blot", "shortname":"WB"}, "IHCP" : {"fullname" : "Immunohistochemistry (Formalin/PFA-fixed paraffin-embedded sections)", "shortname":"IHC-P"} }, "product-promise": { "all": "all", "testedAndGuaranteed": "tested", "guaranteed": "expected", "predicted": "predicted", "notRecommended": "not-recommended" } }, "values": { "Human": { "WB-species-checked": "testedAndGuaranteed", "WB-species-dilution-info": "1-5 µg/mL", "WB-species-notes": "<p></p>", "IHCP-species-checked": "testedAndGuaranteed", "IHCP-species-dilution-info": "5-20 µg/mL", "IHCP-species-notes": "<p></p>" }, "Cow": { "WB-species-checked": "predicted", "WB-species-dilution-info": "", "WB-species-notes": "", "IHCP-species-checked": "predicted", "IHCP-species-dilution-info": "", "IHCP-species-notes": "" }, "Cynomolgus monkey": { "WB-species-checked": "predicted", "WB-species-dilution-info": "", "WB-species-notes": "", "IHCP-species-checked": "predicted", "IHCP-species-dilution-info": "", "IHCP-species-notes": "" }, "Dog": { "WB-species-checked": "predicted", "WB-species-dilution-info": "", "WB-species-notes": "", "IHCP-species-checked": "predicted", "IHCP-species-dilution-info": "", "IHCP-species-notes": "" }, "Pig": { "WB-species-checked": "testedAndGuaranteed", "WB-species-dilution-info": "1-5 µg/mL", "WB-species-notes": "<p></p>", "IHCP-species-checked": "guaranteed", "IHCP-species-dilution-info": "", "IHCP-species-notes": "" }, "Rabbit": { "WB-species-checked": "predicted", "WB-species-dilution-info": "", "WB-species-notes": "", "IHCP-species-checked": "predicted", "IHCP-species-dilution-info": "", "IHCP-species-notes": "" }, "Rhesus monkey": { "WB-species-checked": "predicted", "WB-species-dilution-info": "", "WB-species-notes": "", "IHCP-species-checked": "predicted", "IHCP-species-dilution-info": "", "IHCP-species-notes": "" } } }

Properties and storage information

Form
Liquid
Purification technique
Affinity purification Immunogen
Purification notes
Followed by Protein A affinity chromatography.
Storage buffer
pH: 7.4 Preservative: 0.011% Proclin 300 Constituents: PBS, 55.77% Glycerol (glycerin, glycerine)
Shipped at conditions
Blue Ice
Appropriate short-term storage duration
1-2 weeks
Appropriate short-term storage conditions
+4°C
Appropriate long-term storage conditions
-20°C
Aliquoting information
Upon delivery aliquot
Storage information
Avoid freeze / thaw cycle

Supplementary information

This supplementary information is collated from multiple sources and compiled automatically.

Cathepsin K also known as CTSK is a protease enzyme that belongs to the papain family of cysteine proteases. With a molecular weight of approximately 37 kDa Cathepsin K is mainly expressed in osteoclasts which are cells involved in bone resorption. This enzyme functions by cleaving collagen a vital component of bone extracellular matrix which facilitates bone remodeling and turnover. Known for its collagenolytic activity Cathepsin K is important in processes where breakdown of collagen fibers is required.
Biological function summary

Cathepsin K plays a significant role in bone metabolism. It operates within the osteoclasts where it degrades type I collagen and other matrix proteins essential for normal bone maintenance and repair. Cathepsin K does not function as part of a complex but acts independently in its enzymatic role. It is highly specific to substrates found in the bone matrix differentiating it from other cathepsins like cathepsin L or B that may have broader expression and role.

Pathways

Cathepsin K is an important player in the bone remodeling pathway. This pathway involves a series of coordinated actions between osteoclasts and osteoblasts to maintain bone health. Cathepsin K's activity is tightly regulated within this pathway to ensure proper bone density and structure. It is associated with other proteins such as osteopontin and matrix metalloproteinases which work together to modulate bone turnover. Within the RANK/RANKL pathway Cathepsin K acts as a downstream effector following osteoclast activation by RANKL.

Cathepsin K is most notably linked to osteoporosis and pycnodysostosis. Osteoporosis arises due to excessive bone resorption where elevated Cathepsin K activity leads to weakened bone structure increasing fracture risk. Pycnodysostosis is a rare genetic disorder caused by mutations in the gene coding for Cathepsin K resulting in impaired bone resorption and abnormally dense but brittle bones. In these conditions proteins such as RANKL and osteoprotegerin also play critical roles by influencing osteoclast differentiation and activity thereby modulating Cathepsin K's effects.

Product protocols

For this product, it's our understanding that no specific protocols are required. You can visit:

Target data

Thiol protease involved in osteoclastic bone resorption and may participate partially in the disorder of bone remodeling. Displays potent endoprotease activity against fibrinogen at acid pH. May play an important role in extracellular matrix degradation. Involved in the release of thyroid hormone thyroxine (T4) by limited proteolysis of TG/thyroglobulin in the thyroid follicle lumen (PubMed : 11082042).
See full target information CTSK

Publications (1)

Recent publications for all applications. Explore the full list and refine your search

Molecular metabolism 91:102069 PubMed39571901

2024

The immune checkpoint molecule B7-H4 regulates β-cell mass and insulin secretion by modulating cholesterol metabolism through Stat5 signalling.

Applications

Unspecified application

Species

Unspecified reactive species

Fangzhen Xia,Ziteng Zhang,Zhen Qian,Xiaoyu Fang,Junxue Wang,Yan Wang,Guoting Sun,Yuefeng Yu,Ninjian Wang,Junke Zhen,Yan Liu,Yingli Lu
View all publications

Product promise

We are committed to supporting your work with high-quality reagents, and we're here for you every step of the way. In the unlikely event that one of our products does not perform as expected, you're protected by our Product Promise.
For full details, please see our Terms & Conditions

Please note: All products are 'FOR RESEARCH USE ONLY. NOT FOR USE IN DIAGNOSTIC OR THERAPEUTIC PROCEDURES'.

For licensing inquiries, please contact partnerships@abcam.com