JavaScript is disabled in your browser. Please enable JavaScript to view this website.
AB187647

Anti-Cathepsin K antibody [EP9403]

5

(1 Review)

|

(34 Publications)

Anti-Cathepsin K antibody [EP9403] (ab187647) is a rabbit monoclonal antibody detecting Cathepsin K in Western Blot, IHC-P. Suitable for Human, Mouse, Rat.

- Biophysical QC for unrivalled batch-batch consistency
- Over 10 publications

View Alternative Names

CTSO, CTSO2, CTSK, Cathepsin K, Cathepsin O, Cathepsin O2, Cathepsin X

10 Images
Immunohistochemistry (Formalin/PFA-fixed paraffin-embedded sections) - Anti-Cathepsin K antibody [EP9403] (AB187647)
  • IHC-P

Supplier Data

Immunohistochemistry (Formalin/PFA-fixed paraffin-embedded sections) - Anti-Cathepsin K antibody [EP9403] (AB187647)

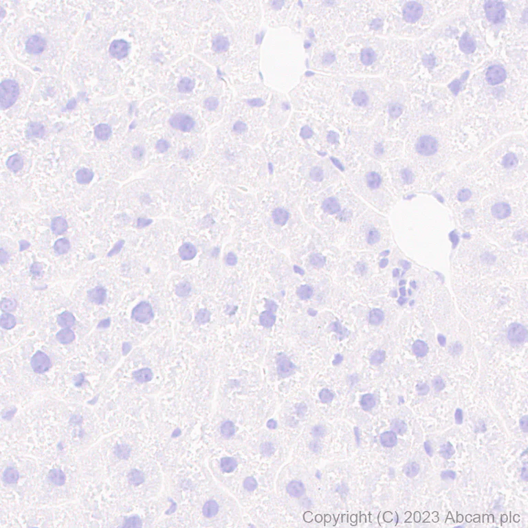
Immunohistochemical analysis of paraffin-embedded Human liver with ab187647 at 1/1000 (1.037 ug/ml) dilution, followed by a ready to use LeicaDS9800 (Bond™ Polymer Refine Detection).

Negative control : No staining on human liver.

The section was incubated with ab187647 for 30 mins at room temperature.

The immunostaining was performed on a Leica Biosystems BOND RX instrument.

Counterstained with Hematoxylin.

Heat mediated antigen retrieval was performed with Citrate buffer (pH 6.0, Epitope Retrieval Solution 1) for 20 mins.

Immunohistochemistry (Formalin/PFA-fixed paraffin-embedded sections) - Anti-Cathepsin K antibody [EP9403] (AB187647)
  • IHC-P

Supplier Data

Immunohistochemistry (Formalin/PFA-fixed paraffin-embedded sections) - Anti-Cathepsin K antibody [EP9403] (AB187647)

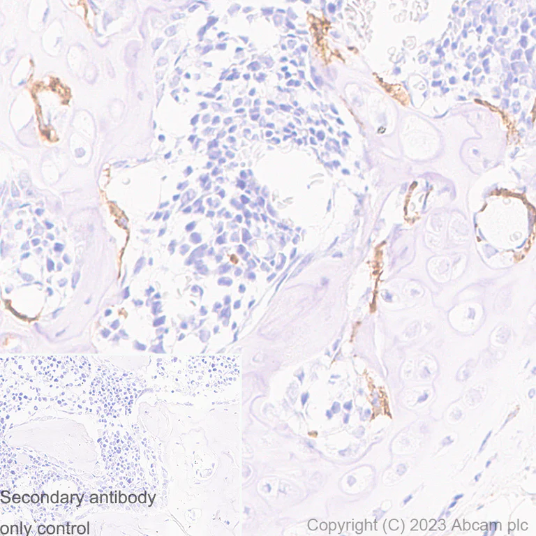
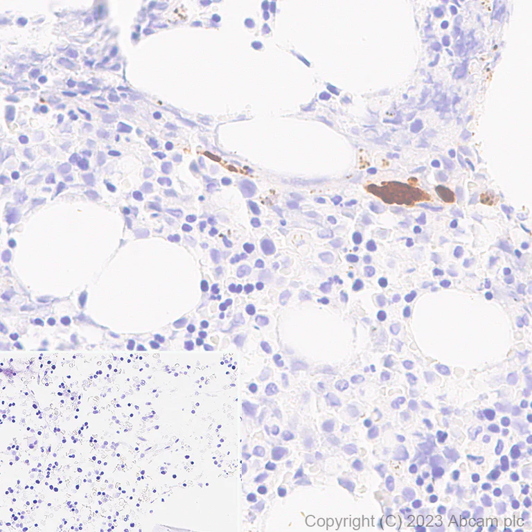
Immunohistochemical analysis of paraffin-embedded human bone labelling Cathepsin K with ab187647 at 1/1000 (1.307 ug/ml) dilution, followed by a ready to use LeicaDS9800 (Bond™ Polymer Refine Detection).

Positive staining on human bone.
The section was incubated with ab187647 for 30 mins at room temperature.
The immunostaining was performed on a Leica Biosystems BOND RX instrument.

Counterstained with Hematoxylin.

Secondary antibody only control : Secondary antibody is a ready to use LeicaDS9800 (Bond™ Polymer Refine Detection).

Heat mediated antigen retrieval was performed with Tris-EDTA buffer (pH 9.0, Epitope Retrieval Solution2) for 20 mins.

Immunohistochemistry (Formalin/PFA-fixed paraffin-embedded sections) - Anti-Cathepsin K antibody [EP9403] (AB187647)
  • IHC-P

Supplier Data

Immunohistochemistry (Formalin/PFA-fixed paraffin-embedded sections) - Anti-Cathepsin K antibody [EP9403] (AB187647)

Immunohistochemical analysis of paraffin-embedded Mouse liver with ab187647 at 1/1000 (1.037 ug/ml) dilution, followed by a ready to use LeicaDS9800 (Bond™ Polymer Refine Detection).

Negative control : No staining on Mouse liver.

The section was incubated with ab187647 for 30 mins at room temperature.

The immunostaining was performed on a Leica Biosystems BOND RX instrument.

Counterstained with Hematoxylin.

Heat mediated antigen retrieval was performed with Citrate buffer (pH 6.0, Epitope Retrieval Solution 1) for 20 mins.

Immunohistochemistry (Formalin/PFA-fixed paraffin-embedded sections) - Anti-Cathepsin K antibody [EP9403] (AB187647)
  • IHC-P

Supplier Data

Immunohistochemistry (Formalin/PFA-fixed paraffin-embedded sections) - Anti-Cathepsin K antibody [EP9403] (AB187647)

Immunohistochemical analysis of paraffin-embedded Rat liver with ab187647 at 1/1000 (1.037 ug/ml) dilution, followed by a ready to use LeicaDS9800 (Bond™ Polymer Refine Detection).

Negative control : No staining on Rat liver.

The section was incubated with ab187647 for 30 mins at room temperature.

The immunostaining was performed on a Leica Biosystems BOND RX instrument.

Counterstained with Hematoxylin.

Heat mediated antigen retrieval was performed with Citrate buffer (pH 6.0, Epitope Retrieval Solution 1) for 20 mins.

Immunohistochemistry (Formalin/PFA-fixed paraffin-embedded sections) - Anti-Cathepsin K antibody [EP9403] (AB187647)
  • IHC-P

Supplier Data

Immunohistochemistry (Formalin/PFA-fixed paraffin-embedded sections) - Anti-Cathepsin K antibody [EP9403] (AB187647)

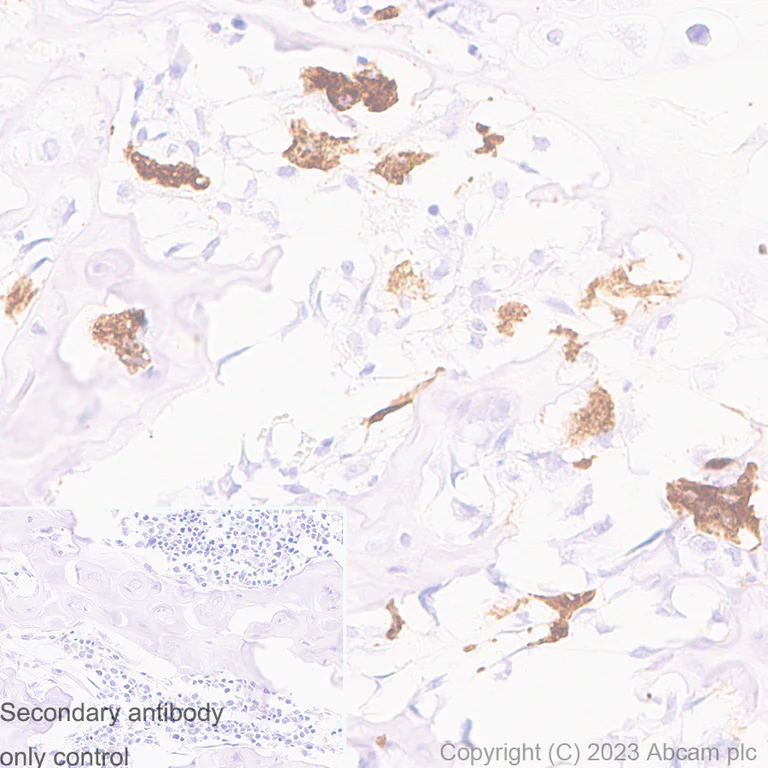
Immunohistochemical analysis of paraffin-embedded mouse bone labelling Cathepsin K with ab187647 at 1/1000 (1.307 ug/ml) dilution, followed by a ready to use LeicaDS9800 (Bond™ Polymer Refine Detection).

Positive staining on mouse bone.
The section was incubated with ab187647 for 30 mins at room temperature.
The immunostaining was performed on a Leica Biosystems BOND RX instrument.

Counterstained with Hematoxylin.

Secondary antibody only control : Secondary antibody is a ready to use LeicaDS9800 (Bond™ Polymer Refine Detection).

Heat mediated antigen retrieval was performed with Tris-EDTA buffer (pH 9.0, Epitope Retrieval Solution2) for 20 mins.

Immunohistochemistry (Formalin/PFA-fixed paraffin-embedded sections) - Anti-Cathepsin K antibody [EP9403] (AB187647)
  • IHC-P

Supplier Data

Immunohistochemistry (Formalin/PFA-fixed paraffin-embedded sections) - Anti-Cathepsin K antibody [EP9403] (AB187647)

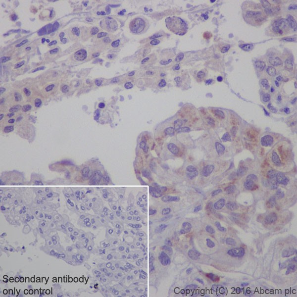
Immunohistochemical analysis of paraffin-embedded rat bone labelling Cathepsin K with ab187647 at 1/1000 (1.307 ug/ml) dilution, followed by a ready to use LeicaDS9800 (Bond™ Polymer Refine Detection).

Positive staining on rat bone.
The section was incubated with ab187647 for 30 mins at room temperature.
The immunostaining was performed on a Leica Biosystems BOND RX instrument.

Counterstained with Hematoxylin.

Secondary antibody only control : Secondary antibody is a ready to use LeicaDS9800 (Bond™ Polymer Refine Detection).

Heat mediated antigen retrieval was performed with Tris-EDTA buffer (pH 9.0, Epitope Retrieval Solution2) for 20 mins.

Western blot - Anti-Cathepsin K antibody [EP9403] (AB187647)
  • WB

Lab

Western blot - Anti-Cathepsin K antibody [EP9403] (AB187647)

All lanes:

Western blot - Anti-Cathepsin K antibody [EP9403] (ab187647) at 1/1000 dilution

Lane 1:

Human cartilage lysates at 15 µg

Lane 2:

Human skeletal muscle lysates at 15 µg

Secondary

All lanes:

Goat Anti-Rabbit IgG (HRP) with minimal cross-reactivity with human IgG at 1/2000 dilution

Predicted band size: 37 kDa

Observed band size: 39 kDa

false

Western blot - Anti-Cathepsin K antibody [EP9403] (AB187647)
  • WB

Supplier Data

Western blot - Anti-Cathepsin K antibody [EP9403] (AB187647)

All lanes:

Western blot - Anti-Cathepsin K antibody [EP9403] (ab187647) at 1/1000 dilution

All lanes:

Mouse muscle lysate at 10 µg

Secondary

All lanes:

Goat Anti-Rabbit IgG, (H+L), Peroxidase conjugated at 1/1000 dilution

Predicted band size: 37 kDa

Observed band size: 39 kDa

false

Western blot - Anti-Cathepsin K antibody [EP9403] (AB187647)
  • WB

Lab

Western blot - Anti-Cathepsin K antibody [EP9403] (AB187647)

All lanes:

Western blot - Anti-Cathepsin K antibody [EP9403] (ab187647) at 1/1000 dilution

Lane 1:

Mouse cartilage lysates at 15 µg

Lane 2:

Rat muscle lysates at 15 µg

Lane 3:

Mouse muscle lysates at 15 µg

Secondary

All lanes:

Western blot - Goat Anti-Rabbit IgG H&L (HRP) (<a href='/en-us/products/secondary-antibodies/goat-rabbit-igg-h-l-hrp-ab97051'>ab97051</a>) at 1/20000 dilution

Predicted band size: 37 kDa

Observed band size: 39 kDa

false

Western blot - Anti-Cathepsin K antibody [EP9403] (AB187647)
  • WB

Supplier Data

Western blot - Anti-Cathepsin K antibody [EP9403] (AB187647)

All lanes:

Western blot - Anti-Cathepsin K antibody [EP9403] (ab187647) at 1/5000 dilution

All lanes:

Rat cartilage lysate at 10 µg

Secondary

All lanes:

Goat Anti-Rabbit IgG, (H+L), Peroxidase conjugated at 1/1000 dilution

Predicted band size: 37 kDa

Observed band size: 39 kDa

false

  • Carrier free

    Anti-Cathepsin K antibody [EP9403] - BSA and Azide free

  • HRP

    HRP Anti-Cathepsin K antibody [EP9403]

Key facts

Host species

Rabbit

Clonality

Monoclonal

Clone number

EP9403

Isotype

IgG

Carrier free

No

Reacts with

Mouse, Rat, Human

Applications

WB, IHC-P

applications

Immunogen

The exact immunogen used to generate this antibody is proprietary information.

Reactivity data

{ "title": "Reactivity Data", "filters": { "stats": ["", "Species", "Dilution Info", "Notes"], "tabs": { "all-applications": {"fullname" : "All Applications", "shortname": "All Applications"}, "WB" : {"fullname" : "Western blot", "shortname":"WB"}, "IHCP" : {"fullname" : "Immunohistochemistry (Formalin/PFA-fixed paraffin-embedded sections)", "shortname":"IHC-P"} }, "product-promise": { "all": "all", "testedAndGuaranteed": "tested", "guaranteed": "expected", "predicted": "predicted", "notRecommended": "not-recommended" } }, "values": { "Human": { "WB-species-checked": "testedAndGuaranteed", "WB-species-dilution-info": "1/1000 - 1/10000", "WB-species-notes": "<p></p>", "IHCP-species-checked": "testedAndGuaranteed", "IHCP-species-dilution-info": "1/1000", "IHCP-species-notes": "<p></p>" }, "Mouse": { "WB-species-checked": "testedAndGuaranteed", "WB-species-dilution-info": "1/1000 - 1/10000", "WB-species-notes": "<p></p>", "IHCP-species-checked": "testedAndGuaranteed", "IHCP-species-dilution-info": "1/1000", "IHCP-species-notes": "<p></p>" }, "Rat": { "WB-species-checked": "testedAndGuaranteed", "WB-species-dilution-info": "1/1000 - 1/10000", "WB-species-notes": "<p></p>", "IHCP-species-checked": "testedAndGuaranteed", "IHCP-species-dilution-info": "1/1000", "IHCP-species-notes": "<p></p>" } } }

Product details

What is this antibody validated in?
Anti-Cathepsin K antibody [EP9403] (ab187647) is a rabbit recombinant monoclonal antibody and is validated for use in Western Blot (WB), Immunohistochemistry (IHC-P) in Human, Mouse, Rat samples.

What is the molecular weight of Cathepsin K?
Anti-Cathepsin K [EP9403] (ab187647) specifically detects a band for Cathepsin K (UniProt: P43235) at a molecular weight of 37kDa.

Trusted by the scientific community
Anti-Cathepsin K [EP9403] (ab187647) was first used in a scientific publication in 2014 and has been cited over 10 times in peer-reviewed journals.

Trial sizes available!
Test your antibody or perform pre-screening before committing to a larger quantity. Sold in 10µl. Discover our selection of trial-size antibodies.

Other related products
We have a range of other formats of antibody clone [EP9403] also available for your convenience: ab187647, Carrier free - ab240303, HRP - ab323778

Patented technology
Our RabMAb® technology is a patented hybridoma-based technology for making rabbit monoclonal antibodies. For details on our patents, please refer to RabMAb® patents.

What are the advantages of a recombinant monoclonal antibody?
This product is a recombinant monoclonal antibody, which offers several advantages including:

  • - High batch-to-batch consistency and reproducibility
  • - Improved sensitivity and specificity
  • - Long-term security of supply
  • - Animal-free batch production

For more information, read more on recombinant antibodies.

Properties and storage information

Form
Liquid
Purification technique
Affinity purification Protein A
Storage buffer
pH: 7.2 - 7.4 Preservative: 0.01% Sodium azide Constituents: PBS, 40% Glycerol (glycerin, glycerine), 0.05% BSA
Shipped at conditions
Blue Ice
Appropriate short-term storage duration
1-2 weeks
Appropriate short-term storage conditions
+4°C
Appropriate long-term storage conditions
-20°C
Aliquoting information
Upon delivery aliquot
Storage information
Avoid freeze / thaw cycle

Supplementary information

This supplementary information is collated from multiple sources and compiled automatically.

Cathepsin K also known as CTSK is a protease enzyme that belongs to the papain family of cysteine proteases. With a molecular weight of approximately 37 kDa Cathepsin K is mainly expressed in osteoclasts which are cells involved in bone resorption. This enzyme functions by cleaving collagen a vital component of bone extracellular matrix which facilitates bone remodeling and turnover. Known for its collagenolytic activity Cathepsin K is important in processes where breakdown of collagen fibers is required.
Biological function summary

Cathepsin K plays a significant role in bone metabolism. It operates within the osteoclasts where it degrades type I collagen and other matrix proteins essential for normal bone maintenance and repair. Cathepsin K does not function as part of a complex but acts independently in its enzymatic role. It is highly specific to substrates found in the bone matrix differentiating it from other cathepsins like cathepsin L or B that may have broader expression and role.

Pathways

Cathepsin K is an important player in the bone remodeling pathway. This pathway involves a series of coordinated actions between osteoclasts and osteoblasts to maintain bone health. Cathepsin K's activity is tightly regulated within this pathway to ensure proper bone density and structure. It is associated with other proteins such as osteopontin and matrix metalloproteinases which work together to modulate bone turnover. Within the RANK/RANKL pathway Cathepsin K acts as a downstream effector following osteoclast activation by RANKL.

Cathepsin K is most notably linked to osteoporosis and pycnodysostosis. Osteoporosis arises due to excessive bone resorption where elevated Cathepsin K activity leads to weakened bone structure increasing fracture risk. Pycnodysostosis is a rare genetic disorder caused by mutations in the gene coding for Cathepsin K resulting in impaired bone resorption and abnormally dense but brittle bones. In these conditions proteins such as RANKL and osteoprotegerin also play critical roles by influencing osteoclast differentiation and activity thereby modulating Cathepsin K's effects.

Product protocols

For this product, it's our understanding that no specific protocols are required. You can visit:

Target data

Thiol protease involved in osteoclastic bone resorption and may participate partially in the disorder of bone remodeling. Displays potent endoprotease activity against fibrinogen at acid pH. May play an important role in extracellular matrix degradation. Involved in the release of thyroid hormone thyroxine (T4) by limited proteolysis of TG/thyroglobulin in the thyroid follicle lumen (PubMed : 11082042).
See full target information CTSK

Publications (34)

Recent publications for all applications. Explore the full list and refine your search

Materials today. Bio 35:102311 PubMed41050091

2025

Targeting chaperone-mediated autophagy to regulate osteoclast activity as a therapeutic strategy for osteoporosis.

Applications

Unspecified application

Species

Unspecified reactive species

Yunhui Zhang,Quanfeng Li,Xiaoshuai Peng,Pengfei Ji,Yibin Zhang,Jiahao Jin,Zihao Yuan,Jianan Jiang,Guangqi Tian,Mingxi Cai,Pei Feng,Yanfeng Wu,Wenjie Liu,Peng Wang

Bioactive materials 51:293-305 PubMed40487243

2025

Tryptophan-producing bacteria to mitigate osteoporosis and intestinal dysfunction.

Applications

Unspecified application

Species

Unspecified reactive species

Bo Tian,Heng Wang,Yue Zhang,Jinmin Lv,Dongxiao Li,Chenmeng Zhou,Jialu Xu,Yichao Ni,Bingbing Wu,Mingchao Zhang,Huaxing Dai,Fang Xu,Jinyu Bai,Chao Wang,Xiaozhong Zhou

Journal of cell communication and signaling 19:e70010 PubMed40191097

2025

Transcription factor GTF2I regulates osteoclast differentiation through mediating miR-134-5p and MAT2A expressions.

Applications

Unspecified application

Species

Unspecified reactive species

Lian Tang,Yanshi Liu,Jiyuan Yan,Lin Yuan,Zhaojun Wang,Zhong Li

ACS applied materials & interfaces 17:22232-22244 PubMed40181685

2025

Targeted Dual Microdroplets for Modulating Osteoclast Differentiation and Function: A Novel Therapeutic Approach to Combat Osteoporosis.

Applications

Unspecified application

Species

Unspecified reactive species

Maobiao Shi,Jin Feng,Ping Chen,Binsong Zhu,Langlang Sun,Yaping Ma,Yi Zhang,Xin Wang

iScience 28:112107 PubMed40129707

2025

specific protein Rv1509 modulates osteoblast and osteoclast differentiation via TLR2 signaling.

Applications

Unspecified application

Species

Unspecified reactive species

Pan Liu,Jiezhong Deng,Yusheng Yang,Wenxi Bai,Shengtao Dong,Zehua Zhang

Bone research 13:20 PubMed39885145

2025

Nuclear farnesoid X receptor protects against bone loss by driving osteoblast differentiation through stabilizing RUNX2.

Applications

Unspecified application

Species

Unspecified reactive species

Qi Dong,Haoyuan Fu,Wenxiao Li,Xinyu Ji,Yingchao Yin,Yiran Zhang,Yanbo Zhu,Guoqiang Li,Huiyang Jia,Heng Zhang,Haofei Wang,Jinglue Hu,Ganggang Wang,Zhihao Wu,Yingze Zhang,Sujuan Xu,Zhiyong Hou

Regenerative biomaterials 11:rbae112 PubMed39323741

2024

Bone-targeting engineered milk-derived extracellular vesicles for MRI-assisted therapy of osteoporosis.

Applications

Unspecified application

Species

Unspecified reactive species

Qing Huang,Yang Jiang,Yang Cao,Yunchuan Ding,Jinghui Cai,Tingqian Yang,Xin Zhou,Qiang Wu,Danyang Li,Qingyu Liu,Fangping Li

Scientific reports 14:20292 PubMed39217193

2024

Bergenin protects against osteoarthritis by inhibiting STAT3, NF-κB and Jun pathways and suppressing osteoclastogenesis.

Applications

Unspecified application

Species

Unspecified reactive species

Zhiwei Zhang,Bo Li,Shuqin Wu,Yuxin Yang,Binkang Wu,Qi Lai,Fuchong Lai,Fengbo Mo,Yufei Zhong,Song Wang,Runsheng Guo,Bin Zhang

Clinical proteomics 21:29 PubMed38594611

2024

Proteomics study of primary and recurrent adamantinomatous craniopharyngiomas.

Applications

Unspecified application

Species

Unspecified reactive species

Haidong Deng,Ting Lei,Siqi Liu,Wenzhe Hao,Mengqing Hu,Xin Xiang,Ling Ye,Dongting Chen,Yan Li,Fangjun Liu

Journal of orthopaedic surgery and research 19:128 PubMed38326867

2024

circ_0029463 promotes osteoclast differentiation by mediating miR-134-5p/Rab27a axis.

Applications

Unspecified application

Species

Unspecified reactive species

Lian Tang,Lin Yuan,Jiyuan Yan,Jianhua Ge,Zhi Lian,Zhong Li
View all publications

Product promise

We are committed to supporting your work with high-quality reagents, and we're here for you every step of the way. In the unlikely event that one of our products does not perform as expected, you're protected by our Product Promise.
For full details, please see our Terms & Conditions

Please note: All products are 'FOR RESEARCH USE ONLY. NOT FOR USE IN DIAGNOSTIC OR THERAPEUTIC PROCEDURES'.

For licensing inquiries, please contact partnerships@abcam.com