JavaScript is disabled in your browser. Please enable JavaScript to view this website.
AB300570

Anti-Cathepsin K antibody [EPR24829-101] (BSA and Azide free)

Be the first to review this product! Submit a review

|

(0 Publication)

Rabbit Recombinant Monoclonal Cathepsin K antibody. Carrier free. Suitable for IHC-P, IHC-Fr and reacts with Mouse, Rat samples.

View Alternative Names

CTSO, CTSO2, CTSK, Cathepsin K, Cathepsin O, Cathepsin O2, Cathepsin X

5 Images
Immunohistochemistry (Formalin/PFA-fixed paraffin-embedded sections) - Anti-Cathepsin K antibody [EPR24829-101] (BSA and Azide free) (AB300570)
  • IHC-P

Supplier Data

Immunohistochemistry (Formalin/PFA-fixed paraffin-embedded sections) - Anti-Cathepsin K antibody [EPR24829-101] (BSA and Azide free) (AB300570)

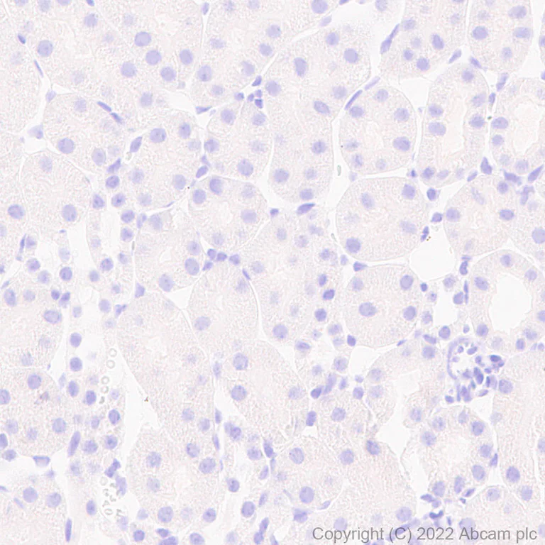
This data was developed using ab300569, the same antibody clone in a different buffer formulation. Immunohistochemical analysis of paraffin-embedded Mouse kidney tissue labeling Cathepsin K with ab300569 at 1/1000 (0.529 ug/ml) followed by a ready to use LeicaDS9800 (Bond™ Polymer Refine Detection) was used. Negative control : no staining on mouse kidney (PMID : 8647859). The section was incubated with ab300569 for 30 mins at room temperature.The immunostaining was performed on a Leica Biosystems BOND® RX instrument Counterstained with Hematoxylin. Secondary antibody only control : Secondary antibody is a ready to use LeicaDS9800 (Bond™ Polymer Refine Detection) was used. Heat mediated antigen retrieval with Tris-EDTA buffer (pH 9.0, epitope retrieval solution2) for 20 mins

Immunohistochemistry (Formalin/PFA-fixed paraffin-embedded sections) - Anti-Cathepsin K antibody [EPR24829-101] (BSA and Azide free) (AB300570)
  • IHC-P

Supplier Data

Immunohistochemistry (Formalin/PFA-fixed paraffin-embedded sections) - Anti-Cathepsin K antibody [EPR24829-101] (BSA and Azide free) (AB300570)

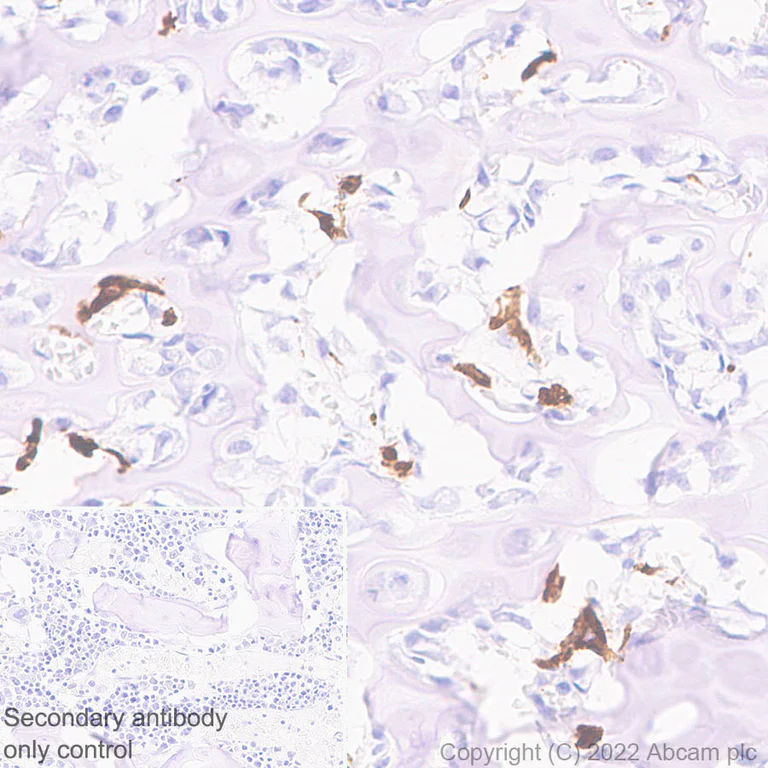
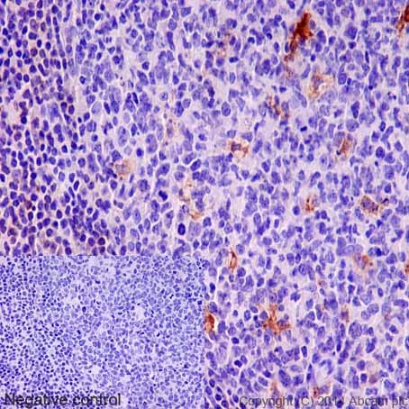
This data was developed using ab300569, the same antibody clone in a different buffer formulation. Immunohistochemical analysis of paraffin-embedded Mouse bone tissue labeling Cathepsin K with ab300569 at 1/1000 (0.529 ug/ml) followed by a ready to use LeicaDS9800 (Bond™ Polymer Refine Detection) was used. Positive staining on osteoclasts in mouse bone (PMID : 29322325). The section was incubated with ab300569 for 30 mins at room temperature.The immunostaining was performed on a Leica Biosystems BOND® RX instrument Counterstained with Hematoxylin. Secondary antibody only control : Secondary antibody is a ready to use LeicaDS9800 (Bond™ Polymer Refine Detection) was used. Heat mediated antigen retrieval with Tris-EDTA buffer (pH 9.0, epitope retrieval solution2) for 20 mins

Immunohistochemistry (Formalin/PFA-fixed paraffin-embedded sections) - Anti-Cathepsin K antibody [EPR24829-101] (BSA and Azide free) (AB300570)
  • IHC-P

Supplier Data

Immunohistochemistry (Formalin/PFA-fixed paraffin-embedded sections) - Anti-Cathepsin K antibody [EPR24829-101] (BSA and Azide free) (AB300570)

This data was developed using ab300569, the same antibody clone in a different buffer formulation. Immunohistochemical analysis of paraffin-embedded Rat bone tissue labeling Cathepsin K with ab300569 at 1/1000 (0.529 ug/ml) followed by a ready to use LeicaDS9800 (Bond™ Polymer Refine Detection) was used. Positive staining on osteoclasts in rat bone (PMID : 29322325). The section was incubated with ab300569 for 30 mins at room temperature.The immunostaining was performed on a Leica Biosystems BOND® RX instrument Counterstained with Hematoxylin. Secondary antibody only control : Secondary antibody is a ready to use LeicaDS9800 (Bond™ Polymer Refine Detection) was used. Heat mediated antigen retrieval with Tris-EDTA buffer (pH 9.0, epitope retrieval solution2) for 20 mins

Immunohistochemistry (Frozen sections) - Anti-Cathepsin K antibody [EPR24829-101] (BSA and Azide free) (AB300570)
  • IHC-Fr

Supplier Data

Immunohistochemistry (Frozen sections) - Anti-Cathepsin K antibody [EPR24829-101] (BSA and Azide free) (AB300570)

This data was developed using ab300569, the same antibody clone in a different buffer formulation. Immunohistochemical analysis of 4% PFA-fixed, 0.2% Triton X-100 permeabilized frozen Rat liver (fresh) tissue labeling Cathepsin K with ab300569 at 1/100 (5.29 ug/ml) dilution followed by ab150081 Goat Anti-Rabbit IgG H&L (Alexa Fluor® 488) preadsorbed at 1/1000 2 ug/mL dilution (Green). Negative control : no staining on rat liver (PMID : 25356585). is observed. The nuclear counterstain was DAPI (Blue). Secondary antibody control : Secondary antibody is ab150081 Goat Anti-Rabbit IgG H&L (Alexa Fluor® 488) preadsorbedat 1/1000 2 ug/mL dilution. .

Immunohistochemistry (Frozen sections) - Anti-Cathepsin K antibody [EPR24829-101] (BSA and Azide free) (AB300570)
  • IHC-Fr

Supplier Data

Immunohistochemistry (Frozen sections) - Anti-Cathepsin K antibody [EPR24829-101] (BSA and Azide free) (AB300570)

This data was developed using ab300569, the same antibody clone in a different buffer formulation. Immunohistochemical analysis of 4% PFA-fixed, 0.2% Triton X-100 permeabilized frozen Rat P0 bone (fresh) tissue labeling Cathepsin K with ab300569 at 1/100 (5.29 ug/ml) dilution followed by ab150081 Goat Anti-Rabbit IgG H&L (Alexa Fluor® 488) preadsorbed at 1/1000 2 ug/mL dilution (Green). Positive staining on osteoclasts of rat P0 bone is observed. The nuclear counterstain was DAPI (Blue). Secondary antibody control : Secondary antibody is ab150081 Goat Anti-Rabbit IgG H&L (Alexa Fluor® 488) preadsorbedat 1/1000 2 ug/mL dilution. .

Key facts

Host species

Rabbit

Clonality

Monoclonal

Clone number

EPR24829-101

Isotype

IgG

Carrier free

Yes

Reacts with

Mouse, Rat

Applications

IHC-P, IHC-Fr

applications

Immunogen

The exact immunogen used to generate this antibody is proprietary information.

Specificity

We do not recommend this antibody for mouse IHC-Fr.

Reactivity data

{ "title": "Reactivity Data", "filters": { "stats": ["", "Species", "Dilution Info", "Notes"], "tabs": { "all-applications": {"fullname" : "All Applications", "shortname": "All Applications"}, "WB" : {"fullname" : "Western blot", "shortname":"WB"}, "IHCP" : {"fullname" : "Immunohistochemistry (Formalin/PFA-fixed paraffin-embedded sections)", "shortname":"IHC-P"}, "IHCFr" : {"fullname" : "Immunohistochemistry (Frozen sections)", "shortname":"IHC-Fr"}, "ICCIF" : {"fullname" : "Immunocytochemistry/ Immunofluorescence", "shortname":"ICC/IF"}, "FlowCytIntra" : {"fullname" : "Flow Cytometry (Intracellular)", "shortname":"Flow Cyt (Intra)"}, "IP" : {"fullname" : "Immunoprecipitation", "shortname":"IP"} }, "product-promise": { "all": "all", "testedAndGuaranteed": "tested", "guaranteed": "expected", "predicted": "predicted", "notRecommended": "not-recommended" } }, "values": { "Human": { "WB-species-checked": "notRecommended", "WB-species-dilution-info": "", "WB-species-notes": "<p></p>", "IHCP-species-checked": "notRecommended", "IHCP-species-dilution-info": "", "IHCP-species-notes": "<p></p> Perform heat-mediated antigen retrieval with Tris/EDTA buffer pH 9.0 before commencing with IHC staining protocol.", "IHCFr-species-checked": "notRecommended", "IHCFr-species-dilution-info": "", "IHCFr-species-notes": "", "ICCIF-species-checked": "notRecommended", "ICCIF-species-dilution-info": "", "ICCIF-species-notes": "<p></p>", "FlowCytIntra-species-checked": "notRecommended", "FlowCytIntra-species-dilution-info": "", "FlowCytIntra-species-notes": "<p></p>", "IP-species-checked": "notRecommended", "IP-species-dilution-info": "", "IP-species-notes": "<p></p>" }, "Mouse": { "WB-species-checked": "notRecommended", "WB-species-dilution-info": "", "WB-species-notes": "<p></p>", "IHCP-species-checked": "testedAndGuaranteed", "IHCP-species-dilution-info": "", "IHCP-species-notes": "<p></p> Perform heat-mediated antigen retrieval with Tris/EDTA buffer pH 9.0 before commencing with IHC staining protocol.", "IHCFr-species-checked": "notRecommended", "IHCFr-species-dilution-info": "", "IHCFr-species-notes": "<p></p>", "ICCIF-species-checked": "notRecommended", "ICCIF-species-dilution-info": "", "ICCIF-species-notes": "", "FlowCytIntra-species-checked": "notRecommended", "FlowCytIntra-species-dilution-info": "", "FlowCytIntra-species-notes": "", "IP-species-checked": "notRecommended", "IP-species-dilution-info": "", "IP-species-notes": "" }, "Rat": { "WB-species-checked": "notRecommended", "WB-species-dilution-info": "", "WB-species-notes": "<p></p>", "IHCP-species-checked": "testedAndGuaranteed", "IHCP-species-dilution-info": "", "IHCP-species-notes": "<p></p> Perform heat-mediated antigen retrieval with Tris/EDTA buffer pH 9.0 before commencing with IHC staining protocol.", "IHCFr-species-checked": "testedAndGuaranteed", "IHCFr-species-dilution-info": "", "IHCFr-species-notes": "<p></p>", "ICCIF-species-checked": "notRecommended", "ICCIF-species-dilution-info": "", "ICCIF-species-notes": "", "FlowCytIntra-species-checked": "notRecommended", "FlowCytIntra-species-dilution-info": "", "FlowCytIntra-species-notes": "", "IP-species-checked": "notRecommended", "IP-species-dilution-info": "", "IP-species-notes": "" } } }

Product details

Patented technology
Our RabMAb® technology is a patented hybridoma-based technology for making rabbit monoclonal antibodies. For details on our patents, please refer to RabMAb® patents.

What are the advantages of a recombinant monoclonal antibody?
This product is a recombinant monoclonal antibody, which offers several advantages including:

  • - High batch-to-batch consistency and reproducibility
  • - Improved sensitivity and specificity
  • - Long-term security of supply
  • - Animal-free batch production

For more information, read more on recombinant antibodies.

Conjugation ready
Our carrier-free antibodies are typically supplied in a PBS-only formulation, purified and free of BSA, sodium azide and glycerol. This conjugation-ready format is designed for use with fluorochromes, metal isotopes, oligonucleotides, and enzymes, which makes them ideal for antibody labelling, functional and cell-based assays, flow-based assays (e.g. mass cytometry) and Multiplex Imaging applications.

Use our conjugation kits for antibody conjugates that are ready-to-use in as little as 20 minutes with 1 minute hands-on-time and 100% antibody recovery: available for fluorescent dyes, HRP, biotin and gold.

Compatibility
This product is compatible with the Maxpar® Antibody Labeling Kit from Fluidigm, without the need for antibody preparation. Maxpar® is a trademark of Fluidigm Canada Inc.

Properties and storage information

Form
Liquid
Purification technique
Affinity purification Protein A
Storage buffer
pH: 7.2 - 7.4 Constituents: PBS
Shipped at conditions
Blue Ice
Appropriate short-term storage conditions
+4°C
Appropriate long-term storage conditions
+4°C
Storage information
Do Not Freeze

Supplementary information

This supplementary information is collated from multiple sources and compiled automatically.

Cathepsin K also known as CTSK is a protease enzyme that belongs to the papain family of cysteine proteases. With a molecular weight of approximately 37 kDa Cathepsin K is mainly expressed in osteoclasts which are cells involved in bone resorption. This enzyme functions by cleaving collagen a vital component of bone extracellular matrix which facilitates bone remodeling and turnover. Known for its collagenolytic activity Cathepsin K is important in processes where breakdown of collagen fibers is required.
Biological function summary

Cathepsin K plays a significant role in bone metabolism. It operates within the osteoclasts where it degrades type I collagen and other matrix proteins essential for normal bone maintenance and repair. Cathepsin K does not function as part of a complex but acts independently in its enzymatic role. It is highly specific to substrates found in the bone matrix differentiating it from other cathepsins like cathepsin L or B that may have broader expression and role.

Pathways

Cathepsin K is an important player in the bone remodeling pathway. This pathway involves a series of coordinated actions between osteoclasts and osteoblasts to maintain bone health. Cathepsin K's activity is tightly regulated within this pathway to ensure proper bone density and structure. It is associated with other proteins such as osteopontin and matrix metalloproteinases which work together to modulate bone turnover. Within the RANK/RANKL pathway Cathepsin K acts as a downstream effector following osteoclast activation by RANKL.

Cathepsin K is most notably linked to osteoporosis and pycnodysostosis. Osteoporosis arises due to excessive bone resorption where elevated Cathepsin K activity leads to weakened bone structure increasing fracture risk. Pycnodysostosis is a rare genetic disorder caused by mutations in the gene coding for Cathepsin K resulting in impaired bone resorption and abnormally dense but brittle bones. In these conditions proteins such as RANKL and osteoprotegerin also play critical roles by influencing osteoclast differentiation and activity thereby modulating Cathepsin K's effects.

Product protocols

For this product, it's our understanding that no specific protocols are required. You can visit:

Target data

Thiol protease involved in osteoclastic bone resorption and may participate partially in the disorder of bone remodeling. Displays potent endoprotease activity against fibrinogen at acid pH. May play an important role in extracellular matrix degradation. Involved in the release of thyroid hormone thyroxine (T4) by limited proteolysis of TG/thyroglobulin in the thyroid follicle lumen (PubMed : 11082042).
See full target information CTSK

Product promise

We are committed to supporting your work with high-quality reagents, and we're here for you every step of the way. In the unlikely event that one of our products does not perform as expected, you're protected by our Product Promise.
For full details, please see our Terms & Conditions

Please note: All products are 'FOR RESEARCH USE ONLY. NOT FOR USE IN DIAGNOSTIC OR THERAPEUTIC PROCEDURES'.

For licensing inquiries, please contact partnerships@abcam.com