JavaScript is disabled in your browser. Please enable JavaScript to view this website.
AB321872

Anti-Cathepsin L/MEP antibody [EPR29413-573]

  • BOND RX™ Validated
  • 20ul selling size
  • Recombinant
  • RabMAb
  • What is this?

Be the first to review this product! Submit a review

|

(0 Publication)

Rabbit Recombinant Monoclonal Cathepsin L/MEP antibody. Suitable for WB, IHC-Fr, IHC-P and reacts with Transfected cell lysate - Mouse, Mouse, Rat samples.

View Alternative Names

Ctsl1, Ctsl, Procathepsin L, Cathepsin L1, Major excreted protein, p39 cysteine proteinase, MEP

12 Images
Immunohistochemistry (Formalin/PFA-fixed paraffin-embedded sections) - Anti-Cathepsin L/MEP antibody [EPR29413-573] (AB321872)
  • IHC-P

Supplier Data

Immunohistochemistry (Formalin/PFA-fixed paraffin-embedded sections) - Anti-Cathepsin L/MEP antibody [EPR29413-573] (AB321872)

Immunohistochemical analysis of paraffin-embedded Rat liver tissue labeling Cathepsin L/MEP with ab321872 at 1/5000 (0.099 ug/ml) dilution, followed by a ready to use LeicaDS9800 (Bond™ Polymer Refine Detection).

Positive staining on rat liver.
The section was incubated with ab321872 for 30 mins at room temperature.
The immunostaining was performed on a Leica Biosystems BOND® RX instrument
Slides were incubated with 3% Hydrogen Peroxide for 10 mins at room temperatureafter secondary antibody incubation to reduce the background.

Counterstained with Hematoxylin.

Secondary antibody only control : Secondary antibody is a ready to use LeicaDS9800 (Bond™ Polymer Refine Detection).

Heat mediated antigen retrieval was performed with Tris-EDTA buffer (pH 9.0, Epitope Retrieval Solution2) for 20 mins

Immunohistochemistry (Frozen sections) - Anti-Cathepsin L/MEP antibody [EPR29413-573] (AB321872)
  • IHC-Fr

Supplier Data

Immunohistochemistry (Frozen sections) - Anti-Cathepsin L/MEP antibody [EPR29413-573] (AB321872)

Immunohistochemical analysis of 4% PFA-fixed, 0.2% Triton X-100 permeabilized frozen Rat kidney (perfused fixed) tissue labeling Cathepsin L/MEP with ab321872 at 1/100 (4.97 ug/ml) dilution followed by ab150081 Goat Anti-Rabbit IgG H&L (Alexa Fluor® 488) preadsorbed at 1/1000 2 ug/mL dilution (Green).

Confocal image showing positive staining on rat kidney. The nuclear counterstain was DAPI (Blue). The section was incubated with ab321872 for 60 mins at room temperature. The section was then mounted using Fluoromount®.The immunostaining was performed on a Leica Biosystems BOND® RX instrument. Image was taken with a confocal microscope (Leica-Microsystems, TCS SP8).

Secondary antibody control : Secondary antibody is ab150081 Goat Anti-Rabbit IgG H&L (Alexa Fluor® 488) preadsorbed at 1/1000 2 ug/mL dilution.

Heat mediated antigen retrieval using sodium citrate buffer (10mM citrate pH 6.0 + 0.05% Tween-20)

Immunohistochemistry (Formalin/PFA-fixed paraffin-embedded sections) - Anti-Cathepsin L/MEP antibody [EPR29413-573] (AB321872)
  • IHC-P

Supplier Data

Immunohistochemistry (Formalin/PFA-fixed paraffin-embedded sections) - Anti-Cathepsin L/MEP antibody [EPR29413-573] (AB321872)

Immunohistochemical analysis of paraffin-embedded Mouse spleen tissue labeling Cathepsin L/MEP with ab321872 at 1/5000 (0.099 ug/ml) dilution, followed by a ready to use LeicaDS9800 (Bond™ Polymer Refine Detection).

Low expression tissue : weak staining on mouse spleen.
The section was incubated with ab321872 for 30 mins at room temperature.
The immunostaining was performed on a Leica Biosystems BOND® RX instrument
Slides were incubated with 3% Hydrogen Peroxide for 10 mins at room temperatureafter secondary antibody incubation to reduce the background.

Counterstained with Hematoxylin.

Secondary antibody only control : Secondary antibody is a ready to use LeicaDS9800 (Bond™ Polymer Refine Detection).

Heat mediated antigen retrieval was performed with Tris-EDTA buffer (pH 9.0, Epitope Retrieval Solution2) for 20 mins

Immunohistochemistry (Formalin/PFA-fixed paraffin-embedded sections) - Anti-Cathepsin L/MEP antibody [EPR29413-573] (AB321872)
  • IHC-P

Supplier Data

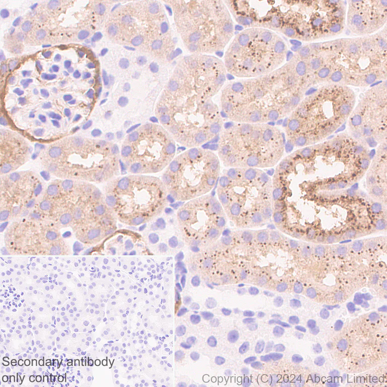
Immunohistochemistry (Formalin/PFA-fixed paraffin-embedded sections) - Anti-Cathepsin L/MEP antibody [EPR29413-573] (AB321872)

Immunohistochemical analysis of paraffin-embedded Rat kidney tissue labeling Cathepsin L/MEP with ab321872 at 1/5000 (0.099 ug/ml) dilution, followed by a ready to use LeicaDS9800 (Bond™ Polymer Refine Detection).

Positive staining on rat kidney.
The section was incubated with ab321872 for 30 mins at room temperature.
The immunostaining was performed on a Leica Biosystems BOND® RX instrument
Slides were incubated with 3% Hydrogen Peroxide for 10 mins at room temperatureafter secondary antibody incubation to reduce the background.

Counterstained with Hematoxylin.

Secondary antibody only control : Secondary antibody is a ready to use LeicaDS9800 (Bond™ Polymer Refine Detection).

Heat mediated antigen retrieval was performed with Tris-EDTA buffer (pH 9.0, Epitope Retrieval Solution2) for 20 mins

Immunohistochemistry (Formalin/PFA-fixed paraffin-embedded sections) - Anti-Cathepsin L/MEP antibody [EPR29413-573] (AB321872)
  • IHC-P

Supplier Data

Immunohistochemistry (Formalin/PFA-fixed paraffin-embedded sections) - Anti-Cathepsin L/MEP antibody [EPR29413-573] (AB321872)

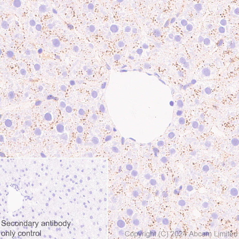
Immunohistochemical analysis of paraffin-embedded Mouse liver tissue labeling Cathepsin L/MEP with ab321872 at 1/5000 (0.099 ug/ml) dilution, followed by a ready to use LeicaDS9800 (Bond™ Polymer Refine Detection).

Positive staining on mouse liver (PMID : 9545226).
The section was incubated with ab321872 for 30 mins at room temperature.
The immunostaining was performed on a Leica Biosystems BOND® RX instrument
Slides were incubated with 3% Hydrogen Peroxide for 10 mins at room temperatureafter secondary antibody incubation to reduce the background.

Counterstained with Hematoxylin.

Secondary antibody only control : Secondary antibody is a ready to use LeicaDS9800 (Bond™ Polymer Refine Detection).

Heat mediated antigen retrieval was performed with Tris-EDTA buffer (pH 9.0, Epitope Retrieval Solution2) for 20 mins

Immunohistochemistry (Frozen sections) - Anti-Cathepsin L/MEP antibody [EPR29413-573] (AB321872)
  • IHC-Fr

Supplier Data

Immunohistochemistry (Frozen sections) - Anti-Cathepsin L/MEP antibody [EPR29413-573] (AB321872)

Immunohistochemical analysis of 4% PFA-fixed, 0.2% Triton X-100 permeabilized frozen Rat spleen (perfused fixed) tissue labeling Cathepsin L/MEP with ab321872 at 1/100 (4.97 ug/ml) dilution followed by ab150081 Goat Anti-Rabbit IgG H&L (Alexa Fluor® 488) preadsorbed at 1/1000 2 ug/mL dilution (Green).

Low expression : confocal image showing weak staining on rat spleen. The nuclear counterstain was DAPI (Blue). The section was incubated with ab321872 for 60 mins at room temperature. The section was then mounted using Fluoromount®.The immunostaining was performed on a Leica Biosystems BOND® RX instrument. Image was taken with a confocal microscope (Leica-Microsystems, TCS SP8).

Secondary antibody control : Secondary antibody is ab150081 Goat Anti-Rabbit IgG H&L (Alexa Fluor® 488) preadsorbed at 1/1000 2 ug/mL dilution.

Heat mediated antigen retrieval using sodium citrate buffer (10mM citrate pH 6.0 + 0.05% Tween-20)

Immunohistochemistry (Formalin/PFA-fixed paraffin-embedded sections) - Anti-Cathepsin L/MEP antibody [EPR29413-573] (AB321872)
  • IHC-P

Supplier Data

Immunohistochemistry (Formalin/PFA-fixed paraffin-embedded sections) - Anti-Cathepsin L/MEP antibody [EPR29413-573] (AB321872)

Immunohistochemical analysis of paraffin-embedded Rat spleen tissue labeling Cathepsin L/MEP with ab321872 at 1/5000 (0.099 ug/ml) dilution, followed by a ready to use LeicaDS9800 (Bond™ Polymer Refine Detection).

Low expression tissue : weak staining on rat spleen.
The section was incubated with ab321872 for 30 mins at room temperature.
The immunostaining was performed on a Leica Biosystems BOND® RX instrument
Slides were incubated with 3% Hydrogen Peroxide for 10 mins at room temperatureafter secondary antibody incubation to reduce the background.

Counterstained with Hematoxylin.

Secondary antibody only control : Secondary antibody is a ready to use LeicaDS9800 (Bond™ Polymer Refine Detection).

Heat mediated antigen retrieval was performed with Tris-EDTA buffer (pH 9.0, Epitope Retrieval Solution2) for 20 mins

Immunohistochemistry (Formalin/PFA-fixed paraffin-embedded sections) - Anti-Cathepsin L/MEP antibody [EPR29413-573] (AB321872)
  • IHC-P

Supplier Data

Immunohistochemistry (Formalin/PFA-fixed paraffin-embedded sections) - Anti-Cathepsin L/MEP antibody [EPR29413-573] (AB321872)

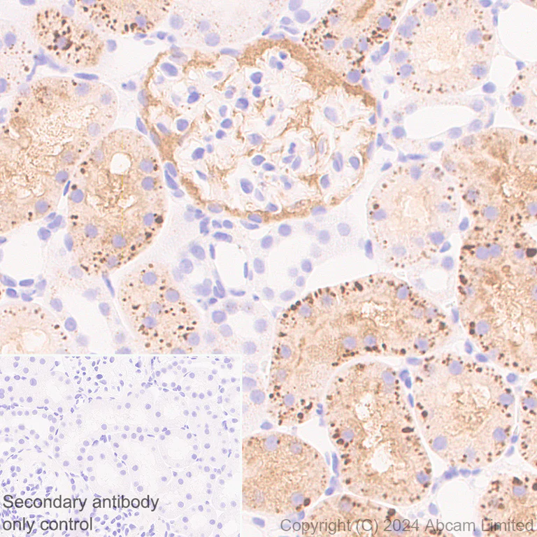
Immunohistochemical analysis of paraffin-embedded Mouse kidney tissue labeling Cathepsin L/MEP with ab321872 at 1/5000 (0.099 ug/ml) dilution, followed by a ready to use LeicaDS9800 (Bond™ Polymer Refine Detection).

Positive staining on mouse kidney (PMID : 9545226).
The section was incubated with ab321872 for 30 mins at room temperature.
The immunostaining was performed on a Leica Biosystems BOND® RX instrument
Slides were incubated with 3% Hydrogen Peroxide for 10 mins at room temperatureafter secondary antibody incubation to reduce the background.

Counterstained with Hematoxylin.

Secondary antibody only control : Secondary antibody is a ready to use LeicaDS9800 (Bond™ Polymer Refine Detection).

Heat mediated antigen retrieval was performed with Tris-EDTA buffer (pH 9.0, Epitope Retrieval Solution2) for 20 mins

Western blot - Anti-Cathepsin L/MEP antibody [EPR29413-573] (AB321872)
  • WB

Supplier Data

Western blot - Anti-Cathepsin L/MEP antibody [EPR29413-573] (AB321872)

Blocking and diluting buffer and concentration : 5% NFDM/TBST.

Low expression : A20

The molecular weight observed is consistent with what has been described in the literature (PMID : 11483509, PMID : 33483465)

In Western blot, Anti-GAPDH antibody [EPR16891] - Loading Control (ab181602) staining at 1/200000 dilution.

All lanes:

Western blot - Anti-Cathepsin L/MEP antibody [EPR29413-573] (ab321872) at 1/1000 dilution

Lane 1:

NIH/3T3 (mouse embryonic fibroblast) whole lysate at 20 µg

Lane 2:

CT26.WT (mouse colon fibroblast) whole lysate at 20 µg

Lane 3:

4T1 (mouse mammary gland carcinoma epithelial cell) whole lysate at 20 µg

Lane 4:

F9 (mouse embryonal carcinoma epithelial cell) whole lysate at 20 µg

Lane 5:

A20 (mouse reticulum sarcoma B lymphocyte) whole lysate at 20 µg

Secondary

All lanes:

Western blot - Goat Anti-Rabbit IgG H&L (HRP) (<a href='/en-us/products/secondary-antibodies/goat-rabbit-igg-h-l-hrp-ab97051'>ab97051</a>) at 1/100000 dilution

Observed band size: 20 kDa,30 kDa,38 kDa,36 kDa

false

Exposure time: 26s

Western blot - Anti-Cathepsin L/MEP antibody [EPR29413-573] (AB321872)
  • WB

Supplier Data

Western blot - Anti-Cathepsin L/MEP antibody [EPR29413-573] (AB321872)

Blocking and diluting buffer and concentration : 5% NFDM/TBST.

Low expression : spleen(PMID : 11483509)

The molecular weight observed is consistent with what has been described in the literature (PMID : 11483509, PMID : 33483465).

In Western blot, Anti-GAPDH antibody [EPR16891] - Loading Control (ab181602) staining at 1/200000 dilution.

All lanes:

Western blot - Anti-Cathepsin L/MEP antibody [EPR29413-573] (ab321872) at 1/1000 dilution

Lane 1:

Mouse liver tissue lysate at 20 µg

Lane 2:

Mouse kidney tissue lysate at 20 µg

Lane 3:

Mouse spleen tissue lysate at 20 µg

Lane 4:

Rat liver tissue lysate at 20 µg

Lane 5:

Rat kidney tissue lysate at 20 µg

Lane 6:

Rat spleen tissue lysate at 20 µg

Secondary

All lanes:

Western blot - Goat Anti-Rabbit IgG H&L (HRP) (<a href='/en-us/products/secondary-antibodies/goat-rabbit-igg-h-l-hrp-ab97051'>ab97051</a>) at 1/100000 dilution

Observed band size: 20 kDa,30 kDa,36 kDa

false

Exposure time: 37s

Western blot - Anti-Cathepsin L/MEP antibody [EPR29413-573] (AB321872)
  • WB

Supplier Data

Western blot - Anti-Cathepsin L/MEP antibody [EPR29413-573] (AB321872)

Blocking and diluting buffer and concentration : 5% NFDM/TBST.

The molecular weight observed is consistent with what has been described in the literature (PMID : 11483509, PMID : 33483465)

Exposure time : Lane1-3 : 15 seconds, lane 4 : 70 seconds

All lanes:

Western blot - Anti-Cathepsin L/MEP antibody [EPR29413-573] (ab321872) at 1/1000 dilution

Lane 1:

Mouse uterus tissue lysate at 20 µg

Lane 2:

Mouse cerebellum tissue lysate at 20 µg

Lane 3:

Mouse thymus tissue lysate at 20 µg

Lane 4:

Rat thymus tissue lysate at 20 µg

Secondary

All lanes:

Western blot - Goat Anti-Rabbit IgG H&L (HRP) (<a href='/en-us/products/secondary-antibodies/goat-rabbit-igg-h-l-hrp-ab97051'>ab97051</a>) at 1/100000 dilution

Observed band size: 20 kDa,30 kDa,38 kDa

false

Western blot - Anti-Cathepsin L/MEP antibody [EPR29413-573] (AB321872)
  • WB

Supplier Data

Western blot - Anti-Cathepsin L/MEP antibody [EPR29413-573] (AB321872)

Blocking and diluting buffer and concentration : 5% NFDM/TBST.

This antibody doesn't cross-react with mouse Ctsm, Ctsll3 and Ctsj.

In Western blot, Anti-Vinculin antibody [EPR8185] (ab129002) staining at 1/10000 dilution.

In Western blot, Anti-6X His tag® antibody [EPR20547] - ChIP Grade (ab213204) staining at 1/5000 dilution.

All lanes:

Western blot - Anti-Cathepsin L/MEP antibody [EPR29413-573] (ab321872) at 1/1000 dilution

Lane 1:

293T (human embryonic kidney epithelial cell) cells transfected with an empty vector containing a myc-His-tag® whole cell lysate at 20 µg

Lane 2:

293T cells transfected with a mouse Ctsm expression vector containing a myc-His-tag® whole cell lysate at 20 µg

Lane 3:

293T cells transfected with a mouse Ctsll3 expression vector containing a myc-His-tag® whole cell lysate at 20 µg

Lane 4:

293T cells transfected with a mouse Cathepsin L expression vector containing a myc-His-tag® whole cell lysate at 20 µg

Lane 5:

293T cells transfected with a mouse Ctsj expression vector containing a myc-His-tag® whole cell lysate at 20 µg

Secondary

All lanes:

Western blot - Goat Anti-Rabbit IgG H&L (HRP) (<a href='/en-us/products/secondary-antibodies/goat-rabbit-igg-h-l-hrp-ab97051'>ab97051</a>) at 1/100000 dilution

Observed band size: 20 kDa,30 kDa,38 kDa,124 kDa

false

Exposure time: 26s

  • Carrier free

    Anti-Cathepsin L/MEP antibody [EPR29413-573] - BSA and Azide free

  • Carrier free

    Anti-Cathepsin L/MEP antibody [EPR29413-573] - BSA and Azide free (Capture)

Key facts

Host species

Rabbit

Clonality

Monoclonal

Clone number

EPR29413-573

Isotype

IgG

Carrier free

No

Reacts with

Rat, Mouse

Applications

IHC-Fr, WB, IHC-P

applications

Immunogen

The exact immunogen used to generate this antibody is proprietary information.

Reactivity data

{ "title": "Reactivity Data", "filters": { "stats": ["", "Species", "Dilution Info", "Notes"], "tabs": { "all-applications": {"fullname" : "All Applications", "shortname": "All Applications"}, "WB" : {"fullname" : "Western blot", "shortname":"WB"}, "IHCFr" : {"fullname" : "Immunohistochemistry (Frozen sections)", "shortname":"IHC-Fr"}, "IHCP" : {"fullname" : "Immunohistochemistry (Formalin/PFA-fixed paraffin-embedded sections)", "shortname":"IHC-P"} }, "product-promise": { "all": "all", "testedAndGuaranteed": "tested", "guaranteed": "expected", "predicted": "predicted", "notRecommended": "not-recommended" } }, "values": { "Mouse": { "WB-species-checked": "testedAndGuaranteed", "WB-species-dilution-info": "1/1000", "WB-species-notes": "<p></p>", "IHCFr-species-checked": "guaranteed", "IHCFr-species-dilution-info": "", "IHCFr-species-notes": "", "IHCP-species-checked": "testedAndGuaranteed", "IHCP-species-dilution-info": "1/5000", "IHCP-species-notes": "<p></p> Perform heat-mediated antigen retrieval with Tris/EDTA buffer pH 9.0 before commencing with IHC staining protocol." }, "Rat": { "WB-species-checked": "testedAndGuaranteed", "WB-species-dilution-info": "1/1000", "WB-species-notes": "<p></p>", "IHCFr-species-checked": "testedAndGuaranteed", "IHCFr-species-dilution-info": "1/100", "IHCFr-species-notes": "<p></p>", "IHCP-species-checked": "testedAndGuaranteed", "IHCP-species-dilution-info": "1/5000", "IHCP-species-notes": "<p></p> Perform heat-mediated antigen retrieval with Tris/EDTA buffer pH 9.0 before commencing with IHC staining protocol." }, "Transfected cell lysate - Mouse": { "WB-species-checked": "testedAndGuaranteed", "WB-species-dilution-info": "1/1000", "WB-species-notes": "<p></p>", "IHCFr-species-checked": "notRecommended", "IHCFr-species-dilution-info": "", "IHCFr-species-notes": "", "IHCP-species-checked": "notRecommended", "IHCP-species-dilution-info": "", "IHCP-species-notes": "" } } }

Product details

Patented technology
Our RabMAb® technology is a patented hybridoma-based technology for making rabbit monoclonal antibodies. For details on our patents, please refer to RabMAb® patents.

What are the advantages of a recombinant monoclonal antibody?
This product is a recombinant monoclonal antibody, which offers several advantages including:

  • - High batch-to-batch consistency and reproducibility
  • - Improved sensitivity and specificity
  • - Long-term security of supply
  • - Animal-free batch production

For more information, read more on recombinant antibodies.

Properties and storage information

Form
Liquid
Purification technique
Affinity purification Protein A
Storage buffer
pH: 7.2 - 7.4 Preservative: 0.01% Sodium azide Constituents: PBS, 40% Glycerol (glycerin, glycerine), 0.05% BSA
Shipped at conditions
Blue Ice
Appropriate short-term storage duration
1-2 weeks
Appropriate short-term storage conditions
+4°C
Appropriate long-term storage conditions
-20°C
Aliquoting information
Upon delivery aliquot
Storage information
Avoid freeze / thaw cycle

Supplementary information

This supplementary information is collated from multiple sources and compiled automatically.

Cathepsin L also known as CTSL is a protease enzyme that has a mass of approximately 29-30 kDa. It originates from the peptidase C1 family and undergoes activation in acidic environments. This protein carries out proteolytic processes by breaking down proteins through cleaving peptide bonds. Cathepsin L has various forms including MEP (a common alternate name) and MEP L and it expresses itself in organs such as the liver kidney and spleen as well as in tumors and immune cells. It has a significant functional role in lysosomes where it degrades proteins.
Biological function summary

Cathepsin L links to cellular homeostasis and extracellular matrix remodeling. It often acts in protein turnover and antigen processing within endolysosomal compartments making it essential for major histocompatibility complex class II presentation. Cathepsin L forms complexes in certain conditions playing roles in interacting and modifying other proteins. It controls processes essential for cell survival differentiation and apoptosis.

Pathways

Cathepsin L plays significant roles in pathways like apoptosis and autophagy. It coordinates with other proteases and proteins such as cathepsin B and cathepsin S to regulate cell death and survival. In apoptosis cathepsin L mediates the breakdown of cellular components working alongside caspases. Its interaction with autophagy involves degradation of long-lived proteins highlighting its role in recycling amino acids during stress conditions.

Cathepsin L connects strongly to cancer and fibrotic diseases. It contributes to tumor progression and metastasis due to its ability to degrade the extracellular matrix and enable cancer cell invasion. In fibrosis cathepsin L modulates the turnover of fibrous tissue linking to the development of lung fibrotic diseases. Proteins like collagenases work in concert with cathepsin L during these pathological processes to remodel tissues underlining its implication in disease states.

Product protocols

For this product, it's our understanding that no specific protocols are required. You can visit:

Target data

Thiol protease important for the overall degradation of proteins in lysosomes (Probable). Involved in the solubilization of cross-linked TG/thyroglobulin and in the subsequent release of thyroid hormone thyroxine (T4) by limited proteolysis of TG/thyroglobulin in the thyroid follicle lumen (PubMed : 12782676). In neuroendocrine chromaffin cells secretory vesicles, catalyzes the prohormone proenkephalin processing to the active enkephalin peptide neurotransmitter (PubMed : 12869695). In thymus, regulates CD4(+) T cell positive selection by generating the major histocompatibility complex class II (MHCII) bound peptide ligands presented by cortical thymic epithelial cells (PubMed : 12021314). Also mediates invariant chain processing in cortical thymic epithelial cells (PubMed : 9545226). Major elastin-degrading enzyme at neutral pH. Accumulates as a mature and active enzyme in the extracellular space of antigen presenting cells (APCs) to regulate degradation of the extracellular matrix in the course of inflammation (PubMed : 12417635). Secreted form generates endostatin from COL18A1 (PubMed : 10716919). Critical for cardiac morphology and function (PubMed : 11972068). Plays an important role in hair follicle morphogenesis and cycling, as well as epidermal differentiation (PubMed : 12163394). Required for maximal stimulation of steroidogenesis by TIMP1 (By similarity).
See full target information Ctsl

Product promise

We are committed to supporting your work with high-quality reagents, and we're here for you every step of the way. In the unlikely event that one of our products does not perform as expected, you're protected by our Product Promise.
For full details, please see our Terms & Conditions

Please note: All products are 'FOR RESEARCH USE ONLY. NOT FOR USE IN DIAGNOSTIC OR THERAPEUTIC PROCEDURES'.

For licensing inquiries, please contact partnerships@abcam.com