JavaScript is disabled in your browser. Please enable JavaScript to view this website.
AB6314

Anti-Cathepsin L + V antibody [33/2]

4

(5 Reviews)

|

(41 Publications)

Mouse Monoclonal Cathepsin L/MEP antibody. Suitable for WB, IHC-P and reacts with Mouse, Human samples. Cited in 41 publications.

View Alternative Names

CTSL1, CTSL, Procathepsin L, Cathepsin L1, Major excreted protein, MEP

5 Images
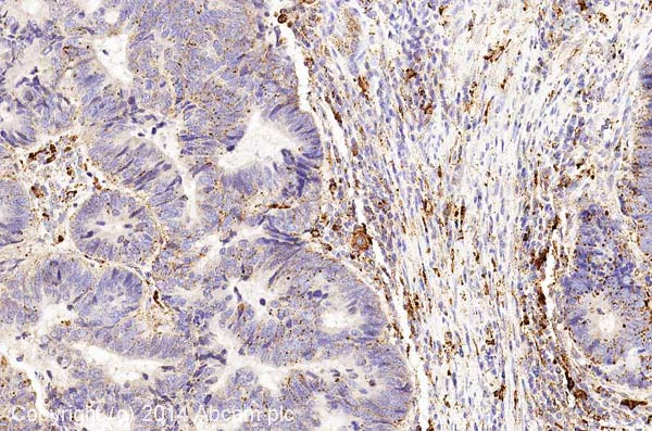
Immunohistochemistry (Formalin/PFA-fixed paraffin-embedded sections) - Anti-Cathepsin L + V antibody [33/2] (AB6314)
  • IHC-P

Unknown

Immunohistochemistry (Formalin/PFA-fixed paraffin-embedded sections) - Anti-Cathepsin L + V antibody [33/2] (AB6314)

IHC image of Cathepsin L staining in human colon adenocarcinoma formalin fixed paraffin embedded tissue section*, performed on a Leica Bond™ system using the standard protocol F. The section was pre-treated using heat mediated antigen retrieval with sodium citrate buffer (pH6, epitope retrieval solution 1) for 20 mins. The section was then incubated with ab6314, 0.5μg/ml, for 15 mins at room temperature and detected using an HRP conjugated compact polymer system. DAB was used as the chromogen. The section was then counterstained with haematoxylin and mounted with DPX.

For other IHC staining systems (automated and non-automated) customers should optimize variable parameters such as antigen retrieval conditions, primary antibody concentration and antibody incubation times.

*Tissue obtained from the Human Research Tissue Bank, supported by the NIHR Cambridge Biomedical Research Centre

Western blot - Anti-Cathepsin L + V antibody [33/2] (AB6314)
  • WB

Project

Western blot - Anti-Cathepsin L + V antibody [33/2] (AB6314)

Abcam recommends using milk as the blocking agent. Abcam welcomes customer feedback and would appreciate any comments regarding this product and the data presented above.

All lanes:

Western blot - Anti-Cathepsin L + V antibody [33/2] (ab6314) at 1/1000 dilution

Lane 1:

Lung (Human) Tissue Lysate at 20 µg

Lane 2:

Lung (Mouse) Tissue Lysate at 20 µg

Lane 3:

Human kidney tissue lysate - total protein (<a href='/en-us/products/unavailable/human-kidney-tissue-lysate-total-protein-ab30203'>ab30203</a>) at 20 µg

Lane 4:

Kidney (Mouse) Tissue Lysate at 20 µg

Lane 5:

A549 whole cell lysate at 20 µg

Secondary

All lanes:

Western blot - Goat Anti-Mouse IgG H&L (HRP) preadsorbed (<a href='/en-us/products/secondary-antibodies/goat-mouse-igg-h-l-hrp-preadsorbed-ab97040'>ab97040</a>) at 1/5000 dilution

Predicted band size: 38 kDa

Observed band size: 25 kDa,55 kDa

true

Exposure time: 20min

Western blot - Anti-Cathepsin L + V antibody [33/2] (AB6314)
  • WB

AbReview24674****

Western blot - Anti-Cathepsin L + V antibody [33/2] (AB6314)

All lanes:

Western blot - Anti-Cathepsin L + V antibody [33/2] (ab6314) at 1/750 dilution

All lanes:

whole cell lysate prepared from U87MG human glioblastoma at 50 µg

Secondary

All lanes:

Goat anti-mouse HRP at 1/2000 dilution

Predicted band size: 38 kDa

false

Image courtesy of Ratnakar Singh by Abreview.

Western blot - Anti-Cathepsin L + V antibody [33/2] (AB6314)
  • WB

Supplier Data

Western blot - Anti-Cathepsin L + V antibody [33/2] (AB6314)

Blocking buffer and concentration : 5% NFDM/TBST

Diluting buffer and concentration : 5% NFDM/TBST

Observed MW : 30

Exposure time : 3 minutes

Lane 1:

Western blot - Anti-Cathepsin L + V antibody [33/2] (ab6314) at 1/20 dilution

Lane 1:

Western blot - Anti-Cathepsin L/V/K/H antibody [EPR8011] (<a href='/en-us/products/primary-antibodies/cathepsin-l-v-k-h-antibody-epr8011-ab133641'>ab133641</a>) at 1/20 dilution

Lane 2:

Western blot - Anti-Cathepsin L/V/K/H antibody [EPR8011] (<a href='/en-us/products/primary-antibodies/cathepsin-l-v-k-h-antibody-epr8011-ab133641'>ab133641</a>) at 1/100 dilution

Lane 2:

Western blot - Anti-Cathepsin L + V antibody [33/2] (ab6314) at 1/100 dilution

Lane 3:

Anti-His tag at 1/10000 dilution

All lanes:

Human Cathepsin L recombinant protein fraction

Secondary

Lanes 1 and 3:

Peroxidase conjugated Goat Anti-Rabbit IgG, (H+L) at 1/1000 dilution

Lane 2:

Rabbit anti-Mouse IgG at 1/2000 dilution

Predicted band size: 38 kDa

false

Western blot - Anti-Cathepsin L + V antibody [33/2] (AB6314)
  • WB

Supplier Data

Western blot - Anti-Cathepsin L + V antibody [33/2] (AB6314)

Blocking buffer and concentration : 5% NFDM/TBST

Diluting buffer and concentration : 5% NFDM/TBST

Observed MW : 30

Exposure time : 3 minutes

Lane 1:

Western blot - Anti-Cathepsin L/V/K/H antibody [EPR8011] (<a href='/en-us/products/primary-antibodies/cathepsin-l-v-k-h-antibody-epr8011-ab133641'>ab133641</a>) at 1/20 dilution

Lane 1:

Western blot - Anti-Cathepsin L + V antibody [33/2] (ab6314) at 1/20 dilution

Lanes 2 and 4:

Western blot - Anti-Cathepsin L + V antibody [33/2] (ab6314) at 1/100 dilution

Lanes 2 and 4:

Western blot - Anti-Cathepsin L/V/K/H antibody [EPR8011] (<a href='/en-us/products/primary-antibodies/cathepsin-l-v-k-h-antibody-epr8011-ab133641'>ab133641</a>) at 1/100 dilution

Lane 3:

Western blot - Anti-Cathepsin L/V/K/H antibody [EPR8011] (<a href='/en-us/products/primary-antibodies/cathepsin-l-v-k-h-antibody-epr8011-ab133641'>ab133641</a>) at 1/500 dilution

Lane 3:

Western blot - Anti-Cathepsin L + V antibody [33/2] (ab6314) at 1/500 dilution

Lane 5:

Western blot - Anti-Cathepsin L/V/K/H antibody [EPR8011] (<a href='/en-us/products/primary-antibodies/cathepsin-l-v-k-h-antibody-epr8011-ab133641'>ab133641</a>) at 1/1000 dilution

Lane 5:

Western blot - Anti-Cathepsin L + V antibody [33/2] (ab6314) at 1/1000 dilution

Lane 6:

Anti-His tag at 1/10000 dilution

All lanes:

Human Cathepsin V recombinant protein fraction

Secondary

Lanes 1 - 3:

Peroxidase conjugated Goat Anti-Rabbit IgG, (H+L) at 1/1000 dilution

Lanes 4 - 5:

Rabbit Anti-Mouse secondary ab at 1/2000 dilution

Lane 6:

Goat Anti-Rabbit IgG, (H+L), Peroxidase conjugated at 1/1000 dilution

Predicted band size: 38 kDa

false

  • HRP

    HRP Anti-Cathepsin L + V antibody [33/2]

Key facts

Host species

Mouse

Clonality

Monoclonal

Clone number

33/2

Isotype

IgG1

Carrier free

No

Reacts with

Mouse, Human

Applications

IHC-P, WB

applications

Immunogen

The exact immunogen used to generate this antibody is proprietary information.

Epitope

Recognizes an epitope within amino acid residues GYGFEST (265-271 in procathepsin L and 169-175 in the mature cathepsin L molecule).

Specificity

Reacts specifically with the native and denatured forms of human cathepsin L (25kD) and procathepsin L (42 kD). Does not react with human cathepsin types B1, D1, H and S1, procathepsins B and D1 and recombinant procathepsin H, rat cathepsin B1, and mouse procathepsins B1 and D1.

Reactivity data

{ "title": "Reactivity Data", "filters": { "stats": ["", "Species", "Dilution Info", "Notes"], "tabs": { "all-applications": {"fullname" : "All Applications", "shortname": "All Applications"}, "FlowCyt" : {"fullname" : "Flow Cytometry", "shortname":"Flow Cyt"}, "WB" : {"fullname" : "Western blot", "shortname":"WB"}, "IHCP" : {"fullname" : "Immunohistochemistry (Formalin/PFA-fixed paraffin-embedded sections)", "shortname":"IHC-P"} }, "product-promise": { "all": "all", "testedAndGuaranteed": "tested", "guaranteed": "expected", "predicted": "predicted", "notRecommended": "not-recommended" } }, "values": { "Human": { "FlowCyt-species-checked": "notRecommended", "FlowCyt-species-dilution-info": "", "FlowCyt-species-notes": "<p></p>", "WB-species-checked": "testedAndGuaranteed", "WB-species-dilution-info": "1/1000", "WB-species-notes": "<p>Abcam recommends using 3% milk as the blocking agent.</p>", "IHCP-species-checked": "testedAndGuaranteed", "IHCP-species-dilution-info": "", "IHCP-species-notes": "<p></p>" }, "Mouse": { "FlowCyt-species-checked": "notRecommended", "FlowCyt-species-dilution-info": "", "FlowCyt-species-notes": "<p></p>", "WB-species-checked": "testedAndGuaranteed", "WB-species-dilution-info": "1/1000", "WB-species-notes": "<p>Abcam recommends using 3% milk as the blocking agent.</p>", "IHCP-species-checked": "guaranteed", "IHCP-species-dilution-info": "", "IHCP-species-notes": "<p></p>" }, "Rat": { "FlowCyt-species-checked": "notRecommended", "FlowCyt-species-dilution-info": "", "FlowCyt-species-notes": "", "WB-species-checked": "predicted", "WB-species-dilution-info": "", "WB-species-notes": "", "IHCP-species-checked": "predicted", "IHCP-species-dilution-info": "", "IHCP-species-notes": "" } } }

Product details

Want a custom formulation?
This antibody clone is manufactured by Abcam. If you require a custom buffer formulation or conjugation for your experiments, please contact orders@abcam.com

Properties and storage information

Form
Liquid
Purification technique
Affinity purification
Storage buffer
pH: 7.4 Preservative: 0.02% Sodium azide Constituents: PBS, 6.97% L-Arginine
Shipped at conditions
Blue Ice
Appropriate short-term storage duration
1-2 weeks
Appropriate short-term storage conditions
+4°C
Appropriate long-term storage conditions
-20°C
Aliquoting information
Upon delivery aliquot
Storage information
Avoid freeze / thaw cycle

Supplementary information

This supplementary information is collated from multiple sources and compiled automatically.

Cathepsin L also referred to as CTSL and Cathepsin V known as Cathepsin L2 or CTSV are lysosomal cysteine proteases that work in the proteolytic processing of proteins. Cathepsin L has an approximate mass of 37 kDa while Cathepsin V is slightly larger. Both enzymes localize mainly to lysosomes but they also occur in secretory vesicles and extracellular spaces under specific conditions. Expression of Cathepsin L spans various tissues including the liver spleen and kidney. Cathepsin V expression the highest in the thymus and testis and less so in other tissues.
Biological function summary

Cathepsin L and Cathepsin V play essential roles in protein degradation and turnover. They do not form stable complexes but can transiently interact with specific inhibitors to modulate their activity. These proteases maintain cellular homeostasis and assist in antigen processing facilitating immune responses. In particular Cathepsin V shows a more specialized role in extracellular matrix remodeling due to its broad substrate specificity and tissue distribution.

Pathways

Cathepsin L and Cathepsin V are active in the lysosomal degradation pathway. They collaborate with proteases such as Cathepsin B and Cathepsin S. Cathepsin L is also important for MHC class II-mediated antigen presentation affecting immune signaling. Due to its ability to process hormone precursors Cathepsin L impacts the insulin signaling pathway sharing functional relations with proteases like furin and prohormone convertases.

Cathepsin L associates with cancer progression and metastasis due to its role in matrix degradation and cell invasion. Overexpression or aberrant activity of Cathepsin L links to invasive cancer phenotypes. Cathepsin V implicates autoimmune diseases related to antigen processing defects particularly affecting thymic selection processes. Both proteases also have indirect connections to Alzheimer’s disease pathology due to their interactions with proteins such as ß-amyloid precursors.

Product protocols

For this product, it's our understanding that no specific protocols are required. You can visit:

Target data

Thiol protease important for the overall degradation of proteins in lysosomes (Probable). Plays a critical for normal cellular functions such as general protein turnover, antigen processing and bone remodeling. Involved in the solubilization of cross-linked TG/thyroglobulin and in the subsequent release of thyroid hormone thyroxine (T4) by limited proteolysis of TG/thyroglobulin in the thyroid follicle lumen (By similarity). In neuroendocrine chromaffin cells secretory vesicles, catalyzes the prohormone proenkephalin processing to the active enkephalin peptide neurotransmitter (By similarity). In thymus, regulates CD4(+) T cell positive selection by generating the major histocompatibility complex class II (MHCII) bound peptide ligands presented by cortical thymic epithelial cells. Also mediates invariant chain processing in cortical thymic epithelial cells (By similarity). Major elastin-degrading enzyme at neutral pH. Accumulates as a mature and active enzyme in the extracellular space of antigen presenting cells (APCs) to regulate degradation of the extracellular matrix in the course of inflammation (By similarity). Secreted form generates endostatin from COL18A1 (PubMed : 10716919). Critical for cardiac morphology and function. Plays an important role in hair follicle morphogenesis and cycling, as well as epidermal differentiation (By similarity). Required for maximal stimulation of steroidogenesis by TIMP1 (By similarity).. (Microbial infection) In cells lacking TMPRSS2 expression, facilitates human coronaviruses SARS-CoV and SARS-CoV-2 infections via a slow acid-activated route with the proteolysis of coronavirus spike (S) glycoproteins in lysosome for entry into host cell (PubMed : 16339146, PubMed : 18562523, PubMed : 32142651, PubMed : 32221306, PubMed : 37990007). Proteolysis within lysosomes is sufficient to activate membrane fusion by coronaviruses SARS-CoV and EMC (HCoV-EMC) S as well as Zaire ebolavirus glycoproteins (PubMed : 16081529, PubMed : 18562523, PubMed : 26953343).. Isoform 2. Functions in the regulation of cell cycle progression through proteolytic processing of the CUX1 transcription factor (PubMed : 15099520). Translation initiation at downstream start sites allows the synthesis of isoforms that are devoid of a signal peptide and localize to the nucleus where they cleave the CUX1 transcription factor and modify its DNA binding properties (PubMed : 15099520).
See full target information CTSL

Additional targets

CTSV

Publications (41)

Recent publications for all applications. Explore the full list and refine your search

Neurosciences (Riyadh, Saudi Arabia) 30:216-225 PubMed40670073

2025

Poloxamer 188 alleviates cerebral ischemia-reperfusion injury in mice by reducing mitochondrial and lysosomal membrane damage.

Applications

Unspecified application

Species

Unspecified reactive species

Hui Xu,Zhanhu Zhang,Xiaodong Tao,Ruirui Shi,Jian Xu,Xiaohua Zhang,Jinhua Gu

Molecular imaging and biology 26:1057-1067 PubMed39331316

2024

Immunohistochemical Evaluation of Cathepsin B, L, and S Expression in Breast Cancer Patients.

Applications

Unspecified application

Species

Unspecified reactive species

Daan G J Linders,Okker D Bijlstra,Laura C Fallert,N Geeske Dekker-Ensink,Taryn L March,Martin Pool,Ethan Walker,Brian Straight,James P Basilion,Matthew Bogyo,Jacobus Burggraaf,Denise E Hilling,Alexander L Vahrmeijer,Peter J K Kuppen,A Stijn L P Crobach

Genes to cells : devoted to molecular & cellular mechanisms 29:328-336 PubMed38366711

2024

Cathepsin L prevents the accumulation of alpha-synuclein fibrils in the cell.

Applications

Unspecified application

Species

Unspecified reactive species

Ayumi Matsuki,Yoshihisa Watanabe,Sho Hashimoto,Atsushi Hoshino,Satoaki Matoba

Autophagy 19:3079-3095 PubMed37464898

2023

Aging Differentially Affects Axonal Autophagosome Formation and Maturation.

Applications

Unspecified application

Species

Unspecified reactive species

Heather Tsong,Erika Lf Holzbaur,Andrea Kh Stavoe

Cancers 14: PubMed36291907

2022

Enhanced Epithelial-to-Mesenchymal Transition and Chemoresistance in Advanced Retinoblastoma Tumors Is Driven by miR-181a.

Applications

Unspecified application

Species

Unspecified reactive species

Vishnu Suresh Babu,Anadi Bisht,Ashwin Mallipatna,Deepak Sa,Gagan Dudeja,Ramaraj Kannan,Rohit Shetty,Nilanjan Guha,Stephane Heymans,Arkasubhra Ghosh

Cell death and differentiation 29:2137-2150 PubMed35462559

2022

S-Nitrosylation of cathepsin B affects autophagic flux and accumulation of protein aggregates in neurodegenerative disorders.

Applications

Unspecified application

Species

Unspecified reactive species

Ki-Ryeong Kim,Eun-Jung Cho,Jae-Won Eom,Sang-Seok Oh,Tomohiro Nakamura,Chang-Ki Oh,Stuart A Lipton,Yang-Hee Kim

Acta pharmacologica Sinica 43:850-861 PubMed34272505

2021

Long-term running exercise alleviates cognitive dysfunction in APP/PSEN1 transgenic mice via enhancing brain lysosomal function.

Applications

Unspecified application

Species

Unspecified reactive species

Xue Wang,Yu-Ting Zhu,Yi Zhu,Yan-Ling Sun,Jun Huang,Zhe Li,Yan Wang,Jun-Chao Wu,Zheng-Hong Qin,Fang Lin

Autophagy 18:320-339 PubMed34024230

2021

HMGB1 downregulation in retinal pigment epithelial cells protects against diabetic retinopathy through the autophagy-lysosome pathway.

Applications

Unspecified application

Species

Unspecified reactive species

Lujia Feng,Liang Liang,Shaochong Zhang,Jinglu Yang,Yanan Yue,Xuedong Zhang

BMC cancer 21:541 PubMed33980181

2021

Cancer-associated mutations reveal a novel role for EpCAM as an inhibitor of cathepsin-L and tumor cell invasion.

Applications

Unspecified application

Species

Unspecified reactive species

Narendra V Sankpal,Taylor C Brown,Timothy P Fleming,John M Herndon,Anusha A Amaravati,Allison N Loynd,William E Gillanders

The Journal of physiology 599:963-979 PubMed33258480

2020

The mechanisms of skeletal muscle atrophy in response to transient knockdown of the vitamin D receptor in vivo.

Applications

Unspecified application

Species

Unspecified reactive species

Joseph J Bass,Abid A Kazi,Colleen S Deane,Asif Nakhuda,Stephen P Ashcroft,Matthew S Brook,Daniel J Wilkinson,Bethan E Phillips,Andrew Philp,Janelle Tarum,Fawzi Kadi,Ditte Andersen,Amadeo Muñoz Garcia,Ken Smith,Iain J Gallagher,Nathaniel J Szewczyk,Mark E Cleasby,Philip J Atherton
View all publications

Product promise

We are committed to supporting your work with high-quality reagents, and we're here for you every step of the way. In the unlikely event that one of our products does not perform as expected, you're protected by our Product Promise.
For full details, please see our Terms & Conditions

Please note: All products are 'FOR RESEARCH USE ONLY. NOT FOR USE IN DIAGNOSTIC OR THERAPEUTIC PROCEDURES'.

For licensing inquiries, please contact partnerships@abcam.com