JavaScript is disabled in your browser. Please enable JavaScript to view this website.
AB133641

Anti-Cathepsin L/V/K/H antibody [EPR8011]

5

(6 Reviews)

|

(20 Publications)

Rabbit Recombinant Monoclonal Cathepsin L/MEP antibody. Suitable for IHC-P, ELISA, WB, ICC/IF, Flow Cyt (Intra) and reacts with Human, Mouse, Rat samples. Cited in 20 publications.

View Alternative Names

CTSL1, CTSL, Procathepsin L, Cathepsin L1, Major excreted protein, MEP

15 Images
Immunocytochemistry/ Immunofluorescence - Anti-Cathepsin L/V/K/H antibody [EPR8011] (AB133641)
  • ICC/IF

AbReview36173****

Immunocytochemistry/ Immunofluorescence - Anti-Cathepsin L/V/K/H antibody [EPR8011] (AB133641)

Unpurified ab133641 staining Cathepsin L in Human HepaRG cell by ICC/IF (Immunocytochemistry/immunofluorescence). Cells were fixed with formaldehyde, permeabilized with 0.1% Triton X-100 and blocked with 1% milk for 30 minutes at room temperature. Samples were incubated with primary antibody (1/1000) for 30 minutes. An Alexa Fluor® 488-conjugated Donkey anti-rabbit IgG polyclonal (1/400) was used as the secondary antibody.

This image is courtesy of an Abreview submitted by Alina Macovei

Immunocytochemistry/ Immunofluorescence - Anti-Cathepsin L/V/K/H antibody [EPR8011] (AB133641)
  • ICC/IF

Unknown

Immunocytochemistry/ Immunofluorescence - Anti-Cathepsin L/V/K/H antibody [EPR8011] (AB133641)

Immunocytochemistry/Immunofluorescence analysis of HT-29 cells labelling Cathepsin L with purified ab133641 at 1/100. Cells were fixed with 100% methanol and permeabilized with 0.1% Triton X-100. ab150077 an Alexa Fluor® 488-conjugated goat anti-rabbit IgG (1/500) was used as the secondary antibody. DAPI (blue) was used as the nuclear counterstain. ab7291 a mouse anti-tubulin (1/500) and ab150120 an Alexa Fluor® 594-conjugated goat anti-mouse IgG (1/500) were also used.

Control 1 : primary antibody (1/100) and secondary antibody ab150120 an Alexa Fluor® 594-conjugated goat anti-mouse IgG (1/500).

Control 2 : ab7291 (1/1000) and secondary antibody ab150077 an Alexa Fluor® 488-conjugated goat anti-rabbit IgG (1/500).

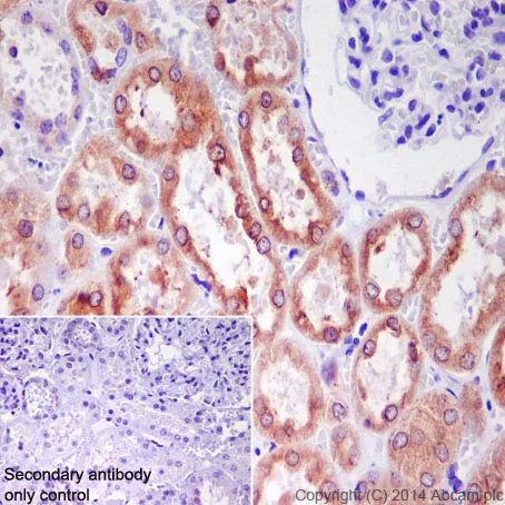
Immunohistochemistry (Formalin/PFA-fixed paraffin-embedded sections) - Anti-Cathepsin L/V/K/H antibody [EPR8011] (AB133641)
  • IHC-P

Unknown

Immunohistochemistry (Formalin/PFA-fixed paraffin-embedded sections) - Anti-Cathepsin L/V/K/H antibody [EPR8011] (AB133641)

Immunohistochemistry (Formalin/PFA-fixed paraffin-embedded sections) analysis of human kidney tissue labelling Cathepsin L with unpurified ab133641 at a 1/50 dilution.

Perform heat mediated antigen retrieval with citrate buffer pH 6 before commencing with IHC staining protocol.

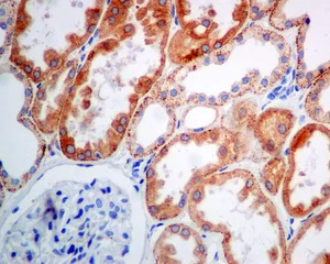
Immunohistochemistry (Formalin/PFA-fixed paraffin-embedded sections) - Anti-Cathepsin L/V/K/H antibody [EPR8011] (AB133641)
  • IHC-P

Unknown

Immunohistochemistry (Formalin/PFA-fixed paraffin-embedded sections) - Anti-Cathepsin L/V/K/H antibody [EPR8011] (AB133641)

Immunohistochemistry (Formalin/PFA-fixed paraffin-embedded sections) analysis of human kidney tissue labelling Cathepsin L with purified ab133641 at 1/100. Heat mediated antigen retrieval was performed using Tris/EDTA buffer pH 9. ab97051 a HRP-conjugated goat anti-rabbit IgG (H+L) was used as the secondary antibody (1/500). Negative control using PBS instead of primary antibody. Counterstained with hematoxylin.

Flow Cytometry (Intracellular) - Anti-Cathepsin L/V/K/H antibody [EPR8011] (AB133641)
  • Flow Cyt (Intra)

Lab

Flow Cytometry (Intracellular) - Anti-Cathepsin L/V/K/H antibody [EPR8011] (AB133641)

ab133641 staining Cathepsin Lin the human cell line HepG2 (human hepatocellular carcinoma) by intracellular flow cytometry. Cells were fixed with 4% paraformaldehyde and the sample was incubated with the primary antibody at a dilution of 1/20. A goat anti rabbit IgG (Alexa Fluor® 488) at a dilution of 1/2000 was used as the secondary antibody.

Isoytype control : Rabbit monoclonal IgG (Black)

Unlabelled control : Cell without incubation with primary antibody and secondary antibody (Blue)

ELISA - Anti-Cathepsin L/V/K/H antibody [EPR8011] (AB133641)
  • ELISA

Supplier Data

ELISA - Anti-Cathepsin L/V/K/H antibody [EPR8011] (AB133641)

Antigen : CATL_HUMAN CATV_HUMAN CATS_HUMAN CATK_HUMAN CATH_HUMAN

Antigen concentration : 1000ng/ml

Primary antibody concentration range : 0~1000ng/ml

Secondary antibody : Alkaline Phosphatase-conjugated AffiniPure Goat Anti-Rabbit IgG(H+L)

Secondary antibody concentration : 1/2500

Western blot - Anti-Cathepsin L/V/K/H antibody [EPR8011] (AB133641)
  • WB

Unknown

Western blot - Anti-Cathepsin L/V/K/H antibody [EPR8011] (AB133641)

Blocking and dilution buffer : 5% NFDM/TBST.

All lanes:

Western blot - Anti-Cathepsin L/V/K/H antibody [EPR8011] (ab133641) at 1/20000 dilution

All lanes:

HepG2 cell lysate at 20 µg

Secondary

All lanes:

Peroxidase conjugated goat anti-rabbit IgG (H+L) at 1/1000 dilution

Predicted band size: 38 kDa

Observed band size: 38 kDa

false

Western blot - Anti-Cathepsin L/V/K/H antibody [EPR8011] (AB133641)
  • WB

Unknown

Western blot - Anti-Cathepsin L/V/K/H antibody [EPR8011] (AB133641)

All lanes:

Western blot - Anti-Cathepsin L/V/K/H antibody [EPR8011] (ab133641) at 1/1000 dilution

Lane 1:

A549 cell lysate at 10 µg

Lane 2:

HCT-116 cell lysate at 10 µg

Lane 3:

NIH/3T3 cell lysate at 10 µg

Lane 4:

PC-12 cell lysate at 10 µg

Secondary

All lanes:

HRP-conjugated goat anti-rabbit IgG at 1/2000 dilution

Predicted band size: 38 kDa

false

Western blot - Anti-Cathepsin L/V/K/H antibody [EPR8011] (AB133641)
  • WB

Unknown

Western blot - Anti-Cathepsin L/V/K/H antibody [EPR8011] (AB133641)

Blocking and dilution buffer : 5% NFDM/TBST.

All lanes:

Western blot - Anti-Cathepsin L/V/K/H antibody [EPR8011] (ab133641) at 1/10000 dilution

Lane 1:

HCT-116 cell lysate at 10 µg

Lane 2:

A549 cell lysate at 10 µg

Secondary

All lanes:

Peroxidase conjugated goat anti-rabbit IgG (H+L) at 1/1000 dilution

Predicted band size: 38 kDa

Observed band size: 38 kDa

false

Western blot - Anti-Cathepsin L/V/K/H antibody [EPR8011] (AB133641)
  • WB

Unknown

Western blot - Anti-Cathepsin L/V/K/H antibody [EPR8011] (AB133641)

All lanes:

Western blot - Anti-Cathepsin L/V/K/H antibody [EPR8011] (ab133641) at 1/1000 dilution

All lanes:

HepG2 cell lysate at 10 µg

Secondary

All lanes:

HRP-conjugated goat anti-rabbit IgG at 1/2000 dilution

Predicted band size: 38 kDa

false

Western blot - Anti-Cathepsin L/V/K/H antibody [EPR8011] (AB133641)
  • WB

Unknown

Western blot - Anti-Cathepsin L/V/K/H antibody [EPR8011] (AB133641)

Blocking and dilution buffer : 5% NFDM/TBST.

All lanes:

Western blot - Anti-Cathepsin L/V/K/H antibody [EPR8011] (ab133641) at 1/20000 dilution

Lane 1:

NIH/3T3 cell lysate at 20 µg

Lane 2:

PC-12 cell lysate at 20 µg

Secondary

All lanes:

Peroxidase conjugated goat anti-rabbit IgG (H+L) at 1/1000 dilution

Predicted band size: 38 kDa

Observed band size: 38 kDa

false

ELISA - Anti-Cathepsin L/V/K/H antibody [EPR8011] (AB133641)
  • ELISA

Supplier Data

ELISA - Anti-Cathepsin L/V/K/H antibody [EPR8011] (AB133641)

Direct ELISA antigen dose-response curve using purified ab133641.Antigen concentration of 1000ng/mL.Alkaline Phosphatase conjugated AffiniPure goat anti-rabbit IgG(H+L)(1/2500) was used as the secondary antibody.

Western blot - Anti-Cathepsin L/V/K/H antibody [EPR8011] (AB133641)
  • WB

Supplier Data

Western blot - Anti-Cathepsin L/V/K/H antibody [EPR8011] (AB133641)

Blocking buffer and concentration : 5% NFDM/TBST

Diluting buffer and concentration : 5% NFDM/TBST

Observed MW : 30

Exposure time : 3 minutes

Lane 1:

Western blot - Anti-Cathepsin L + V antibody [33/2] (<a href='/en-us/products/primary-antibodies/cathepsin-l-v-antibody-33-2-ab6314'>ab6314</a>) at 1/20 dilution

Lane 1:

Western blot - Anti-Cathepsin L/V/K/H antibody [EPR8011] (ab133641) at 1/20 dilution

Lane 2:

Western blot - Anti-Cathepsin L/V/K/H antibody [EPR8011] (ab133641) at 1/100 dilution

Lane 2:

Western blot - Anti-Cathepsin L + V antibody [33/2] (<a href='/en-us/products/primary-antibodies/cathepsin-l-v-antibody-33-2-ab6314'>ab6314</a>) at 1/100 dilution

Lane 3:

Anti-His tag at 1/10000 dilution

All lanes:

Human Cathepsin L recombinant protein fraction

Secondary

Lanes 1 and 3:

Peroxidase conjugated Goat Anti-Rabbit IgG, (H+L) at 1/1000 dilution

Lane 2:

Rabbit anti-Mouse IgG at 1/2000 dilution

Predicted band size: 38 kDa

false

Western blot - Anti-Cathepsin L/V/K/H antibody [EPR8011] (AB133641)
  • WB

Supplier Data

Western blot - Anti-Cathepsin L/V/K/H antibody [EPR8011] (AB133641)

Blocking buffer and concentration : 5% NFDM/TBST

Diluting buffer and concentration : 5% NFDM/TBST

Observed MW : 30

Exposure time : 3 minutes

Lane 1:

Western blot - Anti-Cathepsin L/V/K/H antibody [EPR8011] (ab133641) at 1/20 dilution

Lane 1:

Western blot - Anti-Cathepsin L + V antibody [33/2] (<a href='/en-us/products/primary-antibodies/cathepsin-l-v-antibody-33-2-ab6314'>ab6314</a>) at 1/20 dilution

Lanes 2 and 4:

Western blot - Anti-Cathepsin L + V antibody [33/2] (<a href='/en-us/products/primary-antibodies/cathepsin-l-v-antibody-33-2-ab6314'>ab6314</a>) at 1/100 dilution

Lanes 2 and 4:

Western blot - Anti-Cathepsin L/V/K/H antibody [EPR8011] (ab133641) at 1/100 dilution

Lane 3:

Western blot - Anti-Cathepsin L/V/K/H antibody [EPR8011] (ab133641) at 1/500 dilution

Lane 3:

Western blot - Anti-Cathepsin L + V antibody [33/2] (<a href='/en-us/products/primary-antibodies/cathepsin-l-v-antibody-33-2-ab6314'>ab6314</a>) at 1/500 dilution

Lane 5:

Western blot - Anti-Cathepsin L/V/K/H antibody [EPR8011] (ab133641) at 1/1000 dilution

Lane 5:

Western blot - Anti-Cathepsin L + V antibody [33/2] (<a href='/en-us/products/primary-antibodies/cathepsin-l-v-antibody-33-2-ab6314'>ab6314</a>) at 1/1000 dilution

Lane 6:

Anti-His tag at 1/10000 dilution

All lanes:

Human Cathepsin V recombinant protein fraction

Secondary

Lanes 1 - 3:

Peroxidase conjugated Goat Anti-Rabbit IgG, (H+L) at 1/1000 dilution

Lanes 4 - 5:

Rabbit Anti-Mouse secondary ab at 1/2000 dilution

Lane 6:

Goat Anti-Rabbit IgG, (H+L), Peroxidase conjugated at 1/1000 dilution

Predicted band size: 38 kDa

false

OI-RD Scanning - Anti-Cathepsin L/V/K/H antibody [EPR8011] (AB133641)
  • OI-RD Scanning

Unknown

OI-RD Scanning - Anti-Cathepsin L/V/K/H antibody [EPR8011] (AB133641)

We have systematically measured KD (the equilibrium dissociation constant between the antibody and its antigen), of more than 840 recombinant antibodies to assess not only their individual KD values but also to see the average affinity of antibody. Based on the comparison with published literature values for mouse monoclonal antibodies, Recombinant antibodies appear to be on average 1-2 order of magnitude higher affinity.

  • 617 Alexa Fluor® 594

    Alexa Fluor® 594 Anti-Cathepsin L/V/K/H antibody [EPR8011]

  • 578 PE

    PE Anti-Cathepsin L/V/K/H antibody [EPR8011]

  • HRP

    HRP Anti-Cathepsin L/V/K/H antibody [EPR8011]

  • 665 Alexa Fluor® 647

    Alexa Fluor® 647 Anti-Cathepsin L/V/K/H antibody [EPR8011]

  • 603 Alexa Fluor® 568

    Alexa Fluor® 568 Anti-Cathepsin L/V/K/H antibody [EPR8011]

  • Carrier free

    Anti-Cathepsin L/V/K/H antibody [EPR8011] - BSA and Azide free

  • 660 APC

    APC Anti-Cathepsin L/V/K/H antibody [EPR8011]

  • 519 Alexa Fluor® 488

    Alexa Fluor® 488 Anti-Cathepsin L/V/K/H antibody [EPR8011]

  • 565 Alexa Fluor® 555

    Alexa Fluor® 555 Anti-Cathepsin L/V/K/H antibody [EPR8011]

  • 775 Alexa Fluor® 750

    Alexa Fluor® 750 Anti-Cathepsin L/V/K/H antibody [EPR8011]

Key facts

Host species

Rabbit

Clonality

Monoclonal

Clone number

EPR8011

Isotype

IgG

Carrier free

No

Reacts with

Mouse, Rat, Human

Applications

Flow Cyt (Intra), IHC-P, ELISA, WB, ICC/IF

applications

Immunogen

The exact immunogen used to generate this antibody is proprietary information.

Reactivity data

{ "title": "Reactivity Data", "filters": { "stats": ["", "Species", "Dilution Info", "Notes"], "tabs": { "all-applications": {"fullname" : "All Applications", "shortname": "All Applications"}, "IHCP" : {"fullname" : "Immunohistochemistry (Formalin/PFA-fixed paraffin-embedded sections)", "shortname":"IHC-P"}, "ELISA" : {"fullname" : "ELISA", "shortname":"ELISA"}, "WB" : {"fullname" : "Western blot", "shortname":"WB"}, "ICCIF" : {"fullname" : "Immunocytochemistry/ Immunofluorescence", "shortname":"ICC/IF"}, "FlowCytIntra" : {"fullname" : "Flow Cytometry (Intracellular)", "shortname":"Flow Cyt (Intra)"} }, "product-promise": { "all": "all", "testedAndGuaranteed": "tested", "guaranteed": "expected", "predicted": "predicted", "notRecommended": "not-recommended" } }, "values": { "Human": { "IHCP-species-checked": "testedAndGuaranteed", "IHCP-species-dilution-info": "1/50 - 1/100", "IHCP-species-notes": "<p><strong>For unpurified use at 1/50 - 1/100.</strong></p> Perform heat-mediated antigen retrieval with citrate buffer pH 6 before commencing with IHC staining protocol.", "ELISA-species-checked": "testedAndGuaranteed", "ELISA-species-dilution-info": "", "ELISA-species-notes": "<p></p>", "WB-species-checked": "testedAndGuaranteed", "WB-species-dilution-info": "1/10000", "WB-species-notes": "<p><strong>For unpurified use at 1/1000 - 1/10000.</strong></p>", "ICCIF-species-checked": "testedAndGuaranteed", "ICCIF-species-dilution-info": "1/100", "ICCIF-species-notes": "<p></p>", "FlowCytIntra-species-checked": "testedAndGuaranteed", "FlowCytIntra-species-dilution-info": "", "FlowCytIntra-species-notes": "<p></p>" }, "Mouse": { "IHCP-species-checked": "guaranteed", "IHCP-species-dilution-info": "", "IHCP-species-notes": "", "ELISA-species-checked": "guaranteed", "ELISA-species-dilution-info": "", "ELISA-species-notes": "", "WB-species-checked": "testedAndGuaranteed", "WB-species-dilution-info": "1/10000", "WB-species-notes": "<p><strong>For unpurified use at 1/1000 - 1/10000.</strong></p>", "ICCIF-species-checked": "guaranteed", "ICCIF-species-dilution-info": "", "ICCIF-species-notes": "", "FlowCytIntra-species-checked": "guaranteed", "FlowCytIntra-species-dilution-info": "", "FlowCytIntra-species-notes": "" }, "Rat": { "IHCP-species-checked": "guaranteed", "IHCP-species-dilution-info": "", "IHCP-species-notes": "", "ELISA-species-checked": "guaranteed", "ELISA-species-dilution-info": "", "ELISA-species-notes": "", "WB-species-checked": "testedAndGuaranteed", "WB-species-dilution-info": "1/10000", "WB-species-notes": "<p><strong>For unpurified use at 1/1000 - 1/10000.</strong></p>", "ICCIF-species-checked": "guaranteed", "ICCIF-species-dilution-info": "", "ICCIF-species-notes": "", "FlowCytIntra-species-checked": "guaranteed", "FlowCytIntra-species-dilution-info": "", "FlowCytIntra-species-notes": "" } } }

Product details

Patented technology
Our RabMAb® technology is a patented hybridoma-based technology for making rabbit monoclonal antibodies. For details on our patents, please refer to RabMAb® patents.

What are the advantages of a recombinant monoclonal antibody?
This product is a recombinant monoclonal antibody, which offers several advantages including:

  • - High batch-to-batch consistency and reproducibility
  • - Improved sensitivity and specificity
  • - Long-term security of supply
  • - Animal-free batch production

For more information, read more on recombinant antibodies.

Shipping conditions update: ambient shipping

This product will be delivered at ambient temperature instead of chilled – this is by design. Extensive stability testing confirmed that our products are suitable for shipment under ambient conditions and maintain expected quality.

Why the change?

It’s part of our commitment to more sustainable packaging solutions, with ambient deliveries using eco-friendly materials such as recyclable cardboard instead of polystyrene.

What you need to know

  • Ambient shipments come clearly marked on the delivery note.
  • No ice will be included in ambient shipments, but mixed orders (ambient and cold-chain items) will still arrive with ice packs to protect temperature-sensitive products.
  • Warranty coverage remains fully valid, aligned with our validated shipping method.
  • Please store the product as per the datasheet instructions upon receipt.

Find out more - https://www.abcam.com/en-us/support/shipping-storage-support/ambient-shipping

Properties and storage information

Form
Liquid
Purification technique
Affinity purification Protein A
Storage buffer
pH: 7.2 - 7.4 Preservative: 0.01% Sodium azide Constituents: PBS, 40% Glycerol (glycerin, glycerine), 0.05% BSA
Shipped at conditions
Conditional Ambient
Appropriate short-term storage duration
1-2 weeks
Appropriate short-term storage conditions
+4°C
Appropriate long-term storage conditions
-20°C
Aliquoting information
Upon delivery aliquot
Storage information
Stable for 12 months at -20°C

Supplementary information

This supplementary information is collated from multiple sources and compiled automatically.

Cathepsins L V K and H are essential cysteine proteases that serve important functions in protein catabolism. These proteases participate in proteolytic processes by digesting proteins into shorter peptides and amino acids. Cathepsin L also known as CTSL typically has a molecular mass of about 25-35 kDa and is expressed in various tissues such as the liver spleen and placenta. Cathepsin K plays a similar role in bone resorption and is highly expressed in osteoclasts. Cathepsin V and Cathepsin H meanwhile have distinct tissue distributions with cathepsin V often found in the thymus and testis whereas cathepsin H's expression spans across different cell types contributing a vast array of biological functions.
Biological function summary

Cathepsins regulate cellular homeostasis and modulate various physiological processes. These proteases perform their functions within the lysosomal compartment although they can also participate in extracellular matrix remodeling and other non-lysosomal roles. Cathepsin K for example is part of the cathepsin protein family and aids in degrading collagen therefore playing a pivotal role in bone turnover and resorption. Cathepsins can act independently or in some cases are part of larger enzyme complexes enhancing their proteolytic activity to handle different substrates driven by the physiological demand.

Pathways

Cathepsins key in the lysosomal degradation pathway and influence other signaling cascades like the apoptotic pathway. The regulation of these pathways often involves interactions with other proteins such as pro-apoptotic members of the Bcl-2 family facilitating cell death under certain conditions. Cathepsin L contributes to the antigen processing pathway linking it to the immune response. Cathepsin K on the other hand acts closely with structural proteins like collagen in the bone metabolism pathway highlighting its significance in skeletal development and maintenance.

Altered cathepsin activity closely associates with conditions like osteoporosis and cancer. Cathepsin K upregulation can lead to excessive bone degradation seen in osteoporosis while aberrant cathepsin L expression relates to cancer progression and metastasis due to its role in degrading extracellular matrix components facilitating tumor invasion. In osteoporosis interactions with matrix metalloproteinases further enhance bone matrix breakdown exacerbating disease symptoms. In cancer the relationship between cathepsin L and the urokinase-type plasminogen activator system highlights its role in promoting malignancy and suggests potential therapeutic targets.

Product protocols

For this product, it's our understanding that no specific protocols are required. You can visit:

Target data

Thiol protease important for the overall degradation of proteins in lysosomes (Probable). Plays a critical for normal cellular functions such as general protein turnover, antigen processing and bone remodeling. Involved in the solubilization of cross-linked TG/thyroglobulin and in the subsequent release of thyroid hormone thyroxine (T4) by limited proteolysis of TG/thyroglobulin in the thyroid follicle lumen (By similarity). In neuroendocrine chromaffin cells secretory vesicles, catalyzes the prohormone proenkephalin processing to the active enkephalin peptide neurotransmitter (By similarity). In thymus, regulates CD4(+) T cell positive selection by generating the major histocompatibility complex class II (MHCII) bound peptide ligands presented by cortical thymic epithelial cells. Also mediates invariant chain processing in cortical thymic epithelial cells (By similarity). Major elastin-degrading enzyme at neutral pH. Accumulates as a mature and active enzyme in the extracellular space of antigen presenting cells (APCs) to regulate degradation of the extracellular matrix in the course of inflammation (By similarity). Secreted form generates endostatin from COL18A1 (PubMed : 10716919). Critical for cardiac morphology and function. Plays an important role in hair follicle morphogenesis and cycling, as well as epidermal differentiation (By similarity). Required for maximal stimulation of steroidogenesis by TIMP1 (By similarity).. (Microbial infection) In cells lacking TMPRSS2 expression, facilitates human coronaviruses SARS-CoV and SARS-CoV-2 infections via a slow acid-activated route with the proteolysis of coronavirus spike (S) glycoproteins in lysosome for entry into host cell (PubMed : 16339146, PubMed : 18562523, PubMed : 32142651, PubMed : 32221306, PubMed : 37990007). Proteolysis within lysosomes is sufficient to activate membrane fusion by coronaviruses SARS-CoV and EMC (HCoV-EMC) S as well as Zaire ebolavirus glycoproteins (PubMed : 16081529, PubMed : 18562523, PubMed : 26953343).. Isoform 2. Functions in the regulation of cell cycle progression through proteolytic processing of the CUX1 transcription factor (PubMed : 15099520). Translation initiation at downstream start sites allows the synthesis of isoforms that are devoid of a signal peptide and localize to the nucleus where they cleave the CUX1 transcription factor and modify its DNA binding properties (PubMed : 15099520).
See full target information CTSL

Additional targets

CTSK,CTSV,CTSH

Publications (20)

Recent publications for all applications. Explore the full list and refine your search

Journal of obesity & metabolic syndrome 34:303-314 PubMed40562417

2025

Muscle Type-Specific Modulation of Autophagy Signaling in Obesity: Effects of Caloric Restriction and Exercise.

Applications

Unspecified application

Species

Unspecified reactive species

Fujue Ji,Jong-Hee Kim

Cell communication and signaling : CCS 23:282 PubMed40514670

2025

Proteomic analysis of hydrogen peroxide-treated human chondrocytes shows endoplasmic reticulum stress, cytoskeleton remodeling, and altered secretome composition.

Applications

Unspecified application

Species

Unspecified reactive species

Thais Mingatos de Toledo,Hellen Paula Valerio,Amanda Teixeira de Melo,Renata Nascimento Gomes,Thatiana Corrêa de Melo,Marcus Vinicius Buri,Marcelo Medina de Souza,Deivid Martins Santos,Hugo Vigerelli,Miryam Paola Alvarez-Flores,Giuseppe Palmisano,Ana Marisa Chudzinski-Tavassi

Bioscience reports 44: PubMed39382189

2024

Overlapping and Distinct Physical and Biological Phenotypes in Pure Frailty and Obese Frailty.

Applications

Unspecified application

Species

Unspecified reactive species

Fujue Ji,Ji Hyun Park,Hyeonseung Rheem,Jong-Hee Kim

NPJ Regenerative medicine 8:68 PubMed38097595

2023

Effective protection of photoreceptors using an inflammation-responsive hydrogel to attenuate outer retinal degeneration.

Applications

Unspecified application

Species

Unspecified reactive species

Hyerim Kim,Hyeonhee Roh,Sang-Heon Kim,Kangwon Lee,Maesoon Im,Seung Ja Oh

British journal of cancer 127:1450-1460 PubMed35941174

2022

A novel high-risk subpopulation identified by CTSL and ZBTB7B in gastric cancer.

Applications

Unspecified application

Species

Unspecified reactive species

Kaisa Cui,Surui Yao,Bingxin Liu,Shengbai Sun,Liang Gong,Qilin Li,Bojian Fei,Zhaohui Huang

Autophagy 18:678-694 PubMed34740311

2021

GNS561, a clinical-stage PPT1 inhibitor, is efficient against hepatocellular carcinoma modulation of lysosomal functions.

Applications

Unspecified application

Species

Unspecified reactive species

Sonia Brun,Eloïne Bestion,Eric Raymond,Firas Bassissi,Zuzana Macek Jilkova,Soraya Mezouar,Madani Rachid,Marie Novello,Jennifer Tracz,Ahmed Hamaï,Gilles Lalmanach,Lise Vanderlynden,Raphael Legouffe,Jonathan Stauber,Thomas Schubert,Maximilian G Plach,Jérôme Courcambeck,Cyrille Drouot,Guillaume Jacquemot,Cindy Serdjebi,Gael Roth,Jean-Pierre Baudoin,Christelle Ansaldi,Thomas Decaens,Philippe Halfon

Life sciences 275:119352 PubMed33771521

2021

Autophagy-lysosomal signaling responses to heat stress in tenotomy-induced rat skeletal muscle atrophy.

Applications

Unspecified application

Species

Unspecified reactive species

Muthita Hirunsai,Ratchakrit Srikuea

Physical activity and nutrition 24:11-21 PubMed32698257

2020

Protective effects of endurance exercise on skeletal muscle remodeling against doxorubicin-induced myotoxicity in mice.

Applications

Unspecified application

Species

Unspecified reactive species

Insu Kwon

Autophagy 17:961-979 PubMed32164484

2020

Crosstalk between HSPA5 arginylation and sequential ubiquitination leads to AKT degradation through autophagy flux.

Applications

Unspecified application

Species

Unspecified reactive species

Hyo Jeong Kim,Sun-Yong Kim,Dae-Ho Kim,Joon Seong Park,Seong Hyun Jeong,Young Won Choi,Chul-Ho Kim

Cells 9: PubMed32131492

2020

Non-Thermal Plasma Induces Antileukemic Effect Through mTOR Ubiquitination.

Applications

Unspecified application

Species

Unspecified reactive species

Sun-Yong Kim,Hyo Jeong Kim,Haeng Jun Kim,Chul-Ho Kim
View all publications

Product promise

We are committed to supporting your work with high-quality reagents, and we're here for you every step of the way. In the unlikely event that one of our products does not perform as expected, you're protected by our Product Promise.
For full details, please see our Terms & Conditions

Please note: All products are 'FOR RESEARCH USE ONLY. NOT FOR USE IN DIAGNOSTIC OR THERAPEUTIC PROCEDURES'.

For licensing inquiries, please contact partnerships@abcam.com