JavaScript is disabled in your browser. Please enable JavaScript to view this website.
AB248589

Anti-Cathepsin L/V/K/H antibody [EPR8011] - BSA and Azide free

Be the first to review this product! Submit a review

|

(1 Publication)

Rabbit Recombinant Monoclonal Cathepsin L/MEP antibody. Carrier free. Suitable for IHC-P, ICC/IF, ELISA, WB, Flow Cyt (Intra) and reacts with Human, Mouse, Rat, Synthetic peptide - Human, Recombinant fragment - Human samples. Cited in 1 publication.

View Alternative Names

CTSL1, CTSL, Procathepsin L, Cathepsin L1, Major excreted protein, MEP, CPSB, CTSH, Pro-cathepsin H, CTSO, CTSO2, CTSK, Cathepsin K, Cathepsin O, Cathepsin O2, Cathepsin X, CATL2, CTSL2, CTSU, UNQ268/PRO305, CTSV, Cathepsin L2, Cathepsin U, Cathepsin V

14 Images
Immunocytochemistry/ Immunofluorescence - Anti-Cathepsin L/V/K/H antibody [EPR8011] - BSA and Azide free (AB248589)
  • ICC/IF

Unknown

Immunocytochemistry/ Immunofluorescence - Anti-Cathepsin L/V/K/H antibody [EPR8011] - BSA and Azide free (AB248589)

This data was developed using ab133641, the same antibody clone in a different buffer formulation.

Immunocytochemistry/Immunofluorescence analysis of HT-29 cells labelling Cathepsin L with purified ab133641 at 1/100. Cells were fixed with 100% methanol and permeabilized with 0.1% Triton X-100. ab150077, an Alexa Fluor® 488-conjugated goat anti-rabbit IgG (1/500) was used as the secondary antibody. DAPI (blue) was used as the nuclear counterstain. ab7291, a mouse anti-tubulin (1/500) and ab150120, an Alexa Fluor® 594-conjugated goat anti-mouse IgG (1/500) were also used.

Control 1 : primary antibody (1/100) and secondary antibody, ab150120, an Alexa Fluor® 594-conjugated goat anti-mouse IgG (1/500).

Control 2 : ab7291 (1/1000) and secondary antibody, ab150077, an Alexa Fluor® 488-conjugated goat anti-rabbit IgG (1/500).

Immunohistochemistry (Formalin/PFA-fixed paraffin-embedded sections) - Anti-Cathepsin L/V/K/H antibody [EPR8011] - BSA and Azide free (AB248589)
  • IHC-P

Unknown

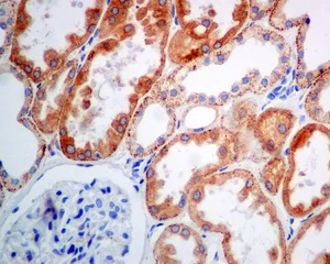
Immunohistochemistry (Formalin/PFA-fixed paraffin-embedded sections) - Anti-Cathepsin L/V/K/H antibody [EPR8011] - BSA and Azide free (AB248589)

This data was developed using ab133641, the same antibody clone in a different buffer formulation.

Immunohistochemistry (Formalin/PFA-fixed paraffin-embedded sections) analysis of human kidney tissue labelling Cathepsin L with unpurified ab133641 at a 1/50 dilution.

Perform heat mediated antigen retrieval with citrate buffer pH 6 before commencing with IHC staining protocol.

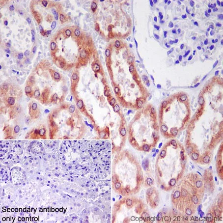
Immunohistochemistry (Formalin/PFA-fixed paraffin-embedded sections) - Anti-Cathepsin L/V/K/H antibody [EPR8011] - BSA and Azide free (AB248589)
  • IHC-P

Unknown

Immunohistochemistry (Formalin/PFA-fixed paraffin-embedded sections) - Anti-Cathepsin L/V/K/H antibody [EPR8011] - BSA and Azide free (AB248589)

This data was developed using ab133641, the same antibody clone in a different buffer formulation.

Immunohistochemistry (Formalin/PFA-fixed paraffin-embedded sections) analysis of human kidney tissue labelling Cathepsin L with purified ab133641 at 1/100. Heat mediated antigen retrieval was performed using Tris/EDTA buffer pH 9. ab97051, a HRP-conjugated goat anti-rabbit IgG (H+L) was used as the secondary antibody (1/500). Negative control using PBS instead of primary antibody. Counterstained with hematoxylin.

Flow Cytometry (Intracellular) - Anti-Cathepsin L/V/K/H antibody [EPR8011] - BSA and Azide free (AB248589)
  • Flow Cyt (Intra)

Lab

Flow Cytometry (Intracellular) - Anti-Cathepsin L/V/K/H antibody [EPR8011] - BSA and Azide free (AB248589)

This data was developed using ab133641, the same antibody clone in a different buffer formulation.

ab133641 staining Cathepsin L in the human cell line HepG2 (human hepatocellular carcinoma) by intracellular flow cytometry. Cells were fixed with 4% paraformaldehyde and the sample was incubated with the primary antibody at a dilution of 1/20. A goat anti rabbit IgG (Alexa Fluor® 488) at a dilution of 1/2000 was used as the secondary antibody.

Isoytype control : Rabbit monoclonal IgG (Black)

Unlabelled control : Cell without incubation with primary antibody and secondary antibody (Blue)

ELISA - Anti-Cathepsin L/V/K/H antibody [EPR8011] - BSA and Azide free (AB248589)
  • ELISA

Supplier Data

ELISA - Anti-Cathepsin L/V/K/H antibody [EPR8011] - BSA and Azide free (AB248589)

This data was developed using ab133641, the same antibody clone in a different buffer formulation.

Antigen : CATL_HUMAN, CATV_HUMAN, CATS_HUMAN, CATK_HUMAN, CATH_HUMAN

Antigen concentration : 1000ng/ml

Primary antibody concentration range : 0~1000ng/ml

Secondary antibody : Alkaline Phosphatase-conjugated AffiniPure Goat Anti-Rabbit IgG(H+L)

Secondary antibody concentration : 1/2500

Western blot - Anti-Cathepsin L/V/K/H antibody [EPR8011] - BSA and Azide free (AB248589)
  • WB

Unknown

Western blot - Anti-Cathepsin L/V/K/H antibody [EPR8011] - BSA and Azide free (AB248589)

This data was developed using ab133641, the same antibody clone in a different buffer formulation.

Blocking and dilution buffer : 5% NFDM/TBST.

All lanes:

Western blot - Anti-Cathepsin L/V/K/H antibody [EPR8011] (<a href='/en-us/products/primary-antibodies/cathepsin-l-v-k-h-antibody-epr8011-ab133641'>ab133641</a>) at 1/20000 dilution

All lanes:

HepG2 cell lysate at 20 µg

Secondary

All lanes:

Peroxidase conjugated goat anti-rabbit IgG (H+L) at 1/1000 dilution

Predicted band size: 38 kDa

Observed band size: 38 kDa

false

Western blot - Anti-Cathepsin L/V/K/H antibody [EPR8011] - BSA and Azide free (AB248589)
  • WB

Unknown

Western blot - Anti-Cathepsin L/V/K/H antibody [EPR8011] - BSA and Azide free (AB248589)

This data was developed using ab133641, the same antibody clone in a different buffer formulation.

All lanes:

Western blot - Anti-Cathepsin L/V/K/H antibody [EPR8011] (<a href='/en-us/products/primary-antibodies/cathepsin-l-v-k-h-antibody-epr8011-ab133641'>ab133641</a>) at 1/1000 dilution

Lane 1:

A549 cell lysate at 10 µg

Lane 2:

HCT-116 cell lysate at 10 µg

Lane 3:

NIH/3T3 cell lysate at 10 µg

Lane 4:

PC-12 cell lysate at 10 µg

Secondary

All lanes:

HRP-conjugated goat anti-rabbit IgG at 1/2000 dilution

Predicted band size: 38 kDa

false

Western blot - Anti-Cathepsin L/V/K/H antibody [EPR8011] - BSA and Azide free (AB248589)
  • WB

Unknown

Western blot - Anti-Cathepsin L/V/K/H antibody [EPR8011] - BSA and Azide free (AB248589)

This data was developed using ab133641, the same antibody clone in a different buffer formulation.

Blocking and dilution buffer : 5% NFDM/TBST.

All lanes:

Western blot - Anti-Cathepsin L/V/K/H antibody [EPR8011] (<a href='/en-us/products/primary-antibodies/cathepsin-l-v-k-h-antibody-epr8011-ab133641'>ab133641</a>) at 1/10000 dilution

Lane 1:

HCT-116 cell lysate at 10 µg

Lane 2:

A549 cell lysate at 10 µg

Secondary

All lanes:

Peroxidase conjugated goat anti-rabbit IgG (H+L) at 1/1000 dilution

Predicted band size: 38 kDa

Observed band size: 38 kDa

false

Western blot - Anti-Cathepsin L/V/K/H antibody [EPR8011] - BSA and Azide free (AB248589)
  • WB

Unknown

Western blot - Anti-Cathepsin L/V/K/H antibody [EPR8011] - BSA and Azide free (AB248589)

This data was developed using ab133641, the same antibody clone in a different buffer formulation.

All lanes:

Western blot - Anti-Cathepsin L/V/K/H antibody [EPR8011] (<a href='/en-us/products/primary-antibodies/cathepsin-l-v-k-h-antibody-epr8011-ab133641'>ab133641</a>) at 1/1000 dilution

All lanes:

HepG2 cell lysate at 10 µg

Secondary

All lanes:

HRP-conjugated goat anti-rabbit IgG at 1/2000 dilution

Predicted band size: 38 kDa

false

Western blot - Anti-Cathepsin L/V/K/H antibody [EPR8011] - BSA and Azide free (AB248589)
  • WB

Unknown

Western blot - Anti-Cathepsin L/V/K/H antibody [EPR8011] - BSA and Azide free (AB248589)

This data was developed using ab133641, the same antibody clone in a different buffer formulation.

Blocking and dilution buffer : 5% NFDM/TBST.

All lanes:

Western blot - Anti-Cathepsin L/V/K/H antibody [EPR8011] (<a href='/en-us/products/primary-antibodies/cathepsin-l-v-k-h-antibody-epr8011-ab133641'>ab133641</a>) at 1/20000 dilution

Lane 1:

NIH/3T3 cell lysate at 20 µg

Lane 2:

PC-12 cell lysate at 20 µg

Secondary

All lanes:

Peroxidase conjugated goat anti-rabbit IgG (H+L) at 1/1000 dilution

Predicted band size: 38 kDa

Observed band size: 38 kDa

false

ELISA - Anti-Cathepsin L/V/K/H antibody [EPR8011] - BSA and Azide free (AB248589)
  • ELISA

Supplier Data

ELISA - Anti-Cathepsin L/V/K/H antibody [EPR8011] - BSA and Azide free (AB248589)

This data was developed using ab133641, the same antibody clone in a different buffer formulation.

Direct ELISA antigen dose-response curve using purified ab133641. Antigen concentration of 1000ng/mL.Alkaline Phosphatase conjugated AffiniPure goat anti-rabbit IgG(H+L)(1/2500) was used as the secondary antibody.

Western blot - Anti-Cathepsin L/V/K/H antibody [EPR8011] - BSA and Azide free (AB248589)
  • WB

Supplier Data

Western blot - Anti-Cathepsin L/V/K/H antibody [EPR8011] - BSA and Azide free (AB248589)

This data was developed using ab133641, the same antibody clone in a different buffer formulation.

Blocking and dilution buffer : 5% NFDM/TBST.

Observed MW : 30.

Exposure time : 3 minutes.

Lane 1:

Western blot - Anti-Cathepsin L + V antibody [33/2] (<a href='/en-us/products/primary-antibodies/cathepsin-l-v-antibody-33-2-ab6314'>ab6314</a>) at 1/20 dilution

Lane 1:

Western blot - Anti-Cathepsin L/V/K/H antibody [EPR8011] (<a href='/en-us/products/primary-antibodies/cathepsin-l-v-k-h-antibody-epr8011-ab133641'>ab133641</a>) at 1/20 dilution

Lane 2:

Western blot - Anti-Cathepsin L/V/K/H antibody [EPR8011] (<a href='/en-us/products/primary-antibodies/cathepsin-l-v-k-h-antibody-epr8011-ab133641'>ab133641</a>) at 1/100 dilution

Lane 2:

Western blot - Anti-Cathepsin L + V antibody [33/2] (<a href='/en-us/products/primary-antibodies/cathepsin-l-v-antibody-33-2-ab6314'>ab6314</a>) at 1/100 dilution

Lane 3:

Anti-His tag at 1/10000 dilution

All lanes:

Human Cathepsin L recombinant protein fraction

Secondary

Lanes 1 and 3:

Peroxidase conjugated Goat Anti-Rabbit IgG, (H+L) at 1/1000 dilution

Lane 2:

Rabbit anti-Mouse IgG at 1/2000 dilution

Predicted band size: 38 kDa

false

Western blot - Anti-Cathepsin L/V/K/H antibody [EPR8011] - BSA and Azide free (AB248589)
  • WB

Supplier Data

Western blot - Anti-Cathepsin L/V/K/H antibody [EPR8011] - BSA and Azide free (AB248589)

This data was developed using ab133641, the same antibody clone in a different buffer formulation.

Blocking and dilution buffer : 5% NFDM/TBST.

Observed MW : 30.

Exposure time : 3 minutes.

Lane 1:

Western blot - Anti-Cathepsin L/V/K/H antibody [EPR8011] (<a href='/en-us/products/primary-antibodies/cathepsin-l-v-k-h-antibody-epr8011-ab133641'>ab133641</a>) at 1/20 dilution

Lane 1:

Western blot - Anti-Cathepsin L + V antibody [33/2] (<a href='/en-us/products/primary-antibodies/cathepsin-l-v-antibody-33-2-ab6314'>ab6314</a>) at 1/20 dilution

Lanes 2 and 4:

Western blot - Anti-Cathepsin L + V antibody [33/2] (<a href='/en-us/products/primary-antibodies/cathepsin-l-v-antibody-33-2-ab6314'>ab6314</a>) at 1/100 dilution

Lanes 2 and 4:

Western blot - Anti-Cathepsin L/V/K/H antibody [EPR8011] (<a href='/en-us/products/primary-antibodies/cathepsin-l-v-k-h-antibody-epr8011-ab133641'>ab133641</a>) at 1/100 dilution

Lane 3:

Western blot - Anti-Cathepsin L/V/K/H antibody [EPR8011] (<a href='/en-us/products/primary-antibodies/cathepsin-l-v-k-h-antibody-epr8011-ab133641'>ab133641</a>) at 1/500 dilution

Lane 3:

Western blot - Anti-Cathepsin L + V antibody [33/2] (<a href='/en-us/products/primary-antibodies/cathepsin-l-v-antibody-33-2-ab6314'>ab6314</a>) at 1/500 dilution

Lane 5:

Western blot - Anti-Cathepsin L/V/K/H antibody [EPR8011] (<a href='/en-us/products/primary-antibodies/cathepsin-l-v-k-h-antibody-epr8011-ab133641'>ab133641</a>) at 1/1000 dilution

Lane 5:

Western blot - Anti-Cathepsin L + V antibody [33/2] (<a href='/en-us/products/primary-antibodies/cathepsin-l-v-antibody-33-2-ab6314'>ab6314</a>) at 1/1000 dilution

Lane 6:

Anti-His tag at 1/10000 dilution

All lanes:

Human Cathepsin V recombinant protein fraction

Secondary

Lanes 1 - 3:

Peroxidase conjugated Goat Anti-Rabbit IgG, (H+L) at 1/1000 dilution

Lanes 4 - 5:

Rabbit Anti-Mouse secondary ab at 1/2000 dilution

Lane 6:

Goat Anti-Rabbit IgG, (H+L), Peroxidase conjugated at 1/1000 dilution

Predicted band size: 38 kDa

false

OI-RD Scanning - Anti-Cathepsin L/V/K/H antibody [EPR8011] - BSA and Azide free (AB248589)
  • OI-RD Scanning

Unknown

OI-RD Scanning - Anti-Cathepsin L/V/K/H antibody [EPR8011] - BSA and Azide free (AB248589)

We have systematically measured KD (the equilibrium dissociation constant between the antibody and its antigen), of more than 840 recombinant antibodies to assess not only their individual KD values but also to see the average affinity of antibody. Based on the comparison with published literature values for mouse monoclonal antibodies, Recombinant antibodies appear to be on average 1-2 order of magnitude higher affinity.

  • Unconjugated

    Anti-Cathepsin L/V/K/H antibody [EPR8011]

  • 775 Alexa Fluor® 750

    Alexa Fluor® 750 Anti-Cathepsin L/V/K/H antibody [EPR8011]

  • 617 Alexa Fluor® 594

    Alexa Fluor® 594 Anti-Cathepsin L/V/K/H antibody [EPR8011]

  • 578 PE

    PE Anti-Cathepsin L/V/K/H antibody [EPR8011]

  • 660 APC

    APC Anti-Cathepsin L/V/K/H antibody [EPR8011]

  • HRP

    HRP Anti-Cathepsin L/V/K/H antibody [EPR8011]

  • 519 Alexa Fluor® 488

    Alexa Fluor® 488 Anti-Cathepsin L/V/K/H antibody [EPR8011]

  • 665 Alexa Fluor® 647

    Alexa Fluor® 647 Anti-Cathepsin L/V/K/H antibody [EPR8011]

  • 565 Alexa Fluor® 555

    Alexa Fluor® 555 Anti-Cathepsin L/V/K/H antibody [EPR8011]

  • 603 Alexa Fluor® 568

    Alexa Fluor® 568 Anti-Cathepsin L/V/K/H antibody [EPR8011]

Key facts

Host species

Rabbit

Clonality

Monoclonal

Clone number

EPR8011

Isotype

IgG

Carrier free

Yes

Reacts with

Mouse, Rat, Human

Applications

Flow Cyt (Intra), IHC-P, ICC/IF, ELISA, WB

applications

Immunogen

The exact immunogen used to generate this antibody is proprietary information.

Reactivity data

{ "title": "Reactivity Data", "filters": { "stats": ["", "Species", "Dilution Info", "Notes"], "tabs": { "all-applications": {"fullname" : "All Applications", "shortname": "All Applications"}, "IHCP" : {"fullname" : "Immunohistochemistry (Formalin/PFA-fixed paraffin-embedded sections)", "shortname":"IHC-P"}, "ICCIF" : {"fullname" : "Immunocytochemistry/ Immunofluorescence", "shortname":"ICC/IF"}, "ELISA" : {"fullname" : "ELISA", "shortname":"ELISA"}, "WB" : {"fullname" : "Western blot", "shortname":"WB"}, "FlowCytIntra" : {"fullname" : "Flow Cytometry (Intracellular)", "shortname":"Flow Cyt (Intra)"} }, "product-promise": { "all": "all", "testedAndGuaranteed": "tested", "guaranteed": "expected", "predicted": "predicted", "notRecommended": "not-recommended" } }, "values": { "Human": { "IHCP-species-checked": "testedAndGuaranteed", "IHCP-species-dilution-info": "", "IHCP-species-notes": "<p></p> Perform heat-mediated antigen retrieval with citrate buffer pH 6 before commencing with IHC staining protocol.", "ICCIF-species-checked": "testedAndGuaranteed", "ICCIF-species-dilution-info": "", "ICCIF-species-notes": "<p></p>", "ELISA-species-checked": "guaranteed", "ELISA-species-dilution-info": "", "ELISA-species-notes": "", "WB-species-checked": "testedAndGuaranteed", "WB-species-dilution-info": "", "WB-species-notes": "<p></p>", "FlowCytIntra-species-checked": "testedAndGuaranteed", "FlowCytIntra-species-dilution-info": "", "FlowCytIntra-species-notes": "<p></p>" }, "Mouse": { "IHCP-species-checked": "guaranteed", "IHCP-species-dilution-info": "", "IHCP-species-notes": "", "ICCIF-species-checked": "guaranteed", "ICCIF-species-dilution-info": "", "ICCIF-species-notes": "", "ELISA-species-checked": "guaranteed", "ELISA-species-dilution-info": "", "ELISA-species-notes": "", "WB-species-checked": "testedAndGuaranteed", "WB-species-dilution-info": "", "WB-species-notes": "<p></p>", "FlowCytIntra-species-checked": "guaranteed", "FlowCytIntra-species-dilution-info": "", "FlowCytIntra-species-notes": "" }, "Rat": { "IHCP-species-checked": "guaranteed", "IHCP-species-dilution-info": "", "IHCP-species-notes": "", "ICCIF-species-checked": "guaranteed", "ICCIF-species-dilution-info": "", "ICCIF-species-notes": "", "ELISA-species-checked": "guaranteed", "ELISA-species-dilution-info": "", "ELISA-species-notes": "", "WB-species-checked": "testedAndGuaranteed", "WB-species-dilution-info": "", "WB-species-notes": "<p></p>", "FlowCytIntra-species-checked": "guaranteed", "FlowCytIntra-species-dilution-info": "", "FlowCytIntra-species-notes": "" }, "Recombinant fragment - Human": { "IHCP-species-checked": "notRecommended", "IHCP-species-dilution-info": "", "IHCP-species-notes": "", "ICCIF-species-checked": "notRecommended", "ICCIF-species-dilution-info": "", "ICCIF-species-notes": "", "ELISA-species-checked": "notRecommended", "ELISA-species-dilution-info": "", "ELISA-species-notes": "", "WB-species-checked": "testedAndGuaranteed", "WB-species-dilution-info": "", "WB-species-notes": "<p></p>", "FlowCytIntra-species-checked": "notRecommended", "FlowCytIntra-species-dilution-info": "", "FlowCytIntra-species-notes": "" }, "Synthetic peptide - Human": { "IHCP-species-checked": "notRecommended", "IHCP-species-dilution-info": "", "IHCP-species-notes": "", "ICCIF-species-checked": "notRecommended", "ICCIF-species-dilution-info": "", "ICCIF-species-notes": "", "ELISA-species-checked": "testedAndGuaranteed", "ELISA-species-dilution-info": "", "ELISA-species-notes": "<p></p>", "WB-species-checked": "notRecommended", "WB-species-dilution-info": "", "WB-species-notes": "", "FlowCytIntra-species-checked": "notRecommended", "FlowCytIntra-species-dilution-info": "", "FlowCytIntra-species-notes": "" } } }

Product details

ab248589 is the carrier-free version of ab133641.

Patented technology
Our RabMAb® technology is a patented hybridoma-based technology for making rabbit monoclonal antibodies. For details on our patents, please refer to RabMAb® patents.

What are the advantages of a recombinant monoclonal antibody?
This product is a recombinant monoclonal antibody, which offers several advantages including:

  • - High batch-to-batch consistency and reproducibility
  • - Improved sensitivity and specificity
  • - Long-term security of supply
  • - Animal-free batch production

For more information, read more on recombinant antibodies.

Conjugation ready
Our carrier-free antibodies are typically supplied in a PBS-only formulation, purified and free of BSA, sodium azide and glycerol. This conjugation-ready format is designed for use with fluorochromes, metal isotopes, oligonucleotides, and enzymes, which makes them ideal for antibody labelling, functional and cell-based assays, flow-based assays (e.g. mass cytometry) and Multiplex Imaging applications.

Use our conjugation kits for antibody conjugates that are ready-to-use in as little as 20 minutes with 1 minute hands-on-time and 100% antibody recovery: available for fluorescent dyes, HRP, biotin and gold.

Compatibility
This product is compatible with the Maxpar® Antibody Labeling Kit from Fluidigm, without the need for antibody preparation. Maxpar® is a trademark of Fluidigm Canada Inc.

Properties and storage information

Form
Liquid
Purification technique
Affinity purification Protein A
Storage buffer
pH: 7.2 - 7.4 Constituents: PBS
Shipped at conditions
Blue Ice
Appropriate short-term storage conditions
+4°C
Appropriate long-term storage conditions
+4°C
Storage information
Do Not Freeze

Supplementary information

This supplementary information is collated from multiple sources and compiled automatically.

Cathepsins L V K and H are essential cysteine proteases that serve important functions in protein catabolism. These proteases participate in proteolytic processes by digesting proteins into shorter peptides and amino acids. Cathepsin L also known as CTSL typically has a molecular mass of about 25-35 kDa and is expressed in various tissues such as the liver spleen and placenta. Cathepsin K plays a similar role in bone resorption and is highly expressed in osteoclasts. Cathepsin V and Cathepsin H meanwhile have distinct tissue distributions with cathepsin V often found in the thymus and testis whereas cathepsin H's expression spans across different cell types contributing a vast array of biological functions.
Biological function summary

Cathepsins regulate cellular homeostasis and modulate various physiological processes. These proteases perform their functions within the lysosomal compartment although they can also participate in extracellular matrix remodeling and other non-lysosomal roles. Cathepsin K for example is part of the cathepsin protein family and aids in degrading collagen therefore playing a pivotal role in bone turnover and resorption. Cathepsins can act independently or in some cases are part of larger enzyme complexes enhancing their proteolytic activity to handle different substrates driven by the physiological demand.

Pathways

Cathepsins key in the lysosomal degradation pathway and influence other signaling cascades like the apoptotic pathway. The regulation of these pathways often involves interactions with other proteins such as pro-apoptotic members of the Bcl-2 family facilitating cell death under certain conditions. Cathepsin L contributes to the antigen processing pathway linking it to the immune response. Cathepsin K on the other hand acts closely with structural proteins like collagen in the bone metabolism pathway highlighting its significance in skeletal development and maintenance.

Altered cathepsin activity closely associates with conditions like osteoporosis and cancer. Cathepsin K upregulation can lead to excessive bone degradation seen in osteoporosis while aberrant cathepsin L expression relates to cancer progression and metastasis due to its role in degrading extracellular matrix components facilitating tumor invasion. In osteoporosis interactions with matrix metalloproteinases further enhance bone matrix breakdown exacerbating disease symptoms. In cancer the relationship between cathepsin L and the urokinase-type plasminogen activator system highlights its role in promoting malignancy and suggests potential therapeutic targets.

Product protocols

For this product, it's our understanding that no specific protocols are required. You can visit:

Target data

Thiol protease important for the overall degradation of proteins in lysosomes (Probable). Plays a critical for normal cellular functions such as general protein turnover, antigen processing and bone remodeling. Involved in the solubilization of cross-linked TG/thyroglobulin and in the subsequent release of thyroid hormone thyroxine (T4) by limited proteolysis of TG/thyroglobulin in the thyroid follicle lumen (By similarity). In neuroendocrine chromaffin cells secretory vesicles, catalyzes the prohormone proenkephalin processing to the active enkephalin peptide neurotransmitter (By similarity). In thymus, regulates CD4(+) T cell positive selection by generating the major histocompatibility complex class II (MHCII) bound peptide ligands presented by cortical thymic epithelial cells. Also mediates invariant chain processing in cortical thymic epithelial cells (By similarity). Major elastin-degrading enzyme at neutral pH. Accumulates as a mature and active enzyme in the extracellular space of antigen presenting cells (APCs) to regulate degradation of the extracellular matrix in the course of inflammation (By similarity). Secreted form generates endostatin from COL18A1 (PubMed : 10716919). Critical for cardiac morphology and function. Plays an important role in hair follicle morphogenesis and cycling, as well as epidermal differentiation (By similarity). Required for maximal stimulation of steroidogenesis by TIMP1 (By similarity).. (Microbial infection) In cells lacking TMPRSS2 expression, facilitates human coronaviruses SARS-CoV and SARS-CoV-2 infections via a slow acid-activated route with the proteolysis of coronavirus spike (S) glycoproteins in lysosome for entry into host cell (PubMed : 16339146, PubMed : 18562523, PubMed : 32142651, PubMed : 32221306, PubMed : 37990007). Proteolysis within lysosomes is sufficient to activate membrane fusion by coronaviruses SARS-CoV and EMC (HCoV-EMC) S as well as Zaire ebolavirus glycoproteins (PubMed : 16081529, PubMed : 18562523, PubMed : 26953343).. Isoform 2. Functions in the regulation of cell cycle progression through proteolytic processing of the CUX1 transcription factor (PubMed : 15099520). Translation initiation at downstream start sites allows the synthesis of isoforms that are devoid of a signal peptide and localize to the nucleus where they cleave the CUX1 transcription factor and modify its DNA binding properties (PubMed : 15099520).
See full target information CTSL

Additional targets

CTSK,CTSV,CTSH

Publications (1)

Recent publications for all applications. Explore the full list and refine your search

Immunity, inflammation and disease 10:e727 PubMed36301031

2022

Forkhead box M1 recruits FoxP3 Treg cells to induce immune escape in hilar cholangiocarcinoma.

Applications

Unspecified application

Species

Unspecified reactive species

Kai Ma,Zhaowei Sun,Xueliang Li,Jingyun Guo,Qinlei Wang,Mujian Teng
View all publications

Product promise

We are committed to supporting your work with high-quality reagents, and we're here for you every step of the way. In the unlikely event that one of our products does not perform as expected, you're protected by our Product Promise.
For full details, please see our Terms & Conditions

Please note: All products are 'FOR RESEARCH USE ONLY. NOT FOR USE IN DIAGNOSTIC OR THERAPEUTIC PROCEDURES'.

For licensing inquiries, please contact partnerships@abcam.com