JavaScript is disabled in your browser. Please enable JavaScript to view this website.
AB96788

Anti-Cathepsin S antibody

Be the first to review this product! Submit a review

|

(1 Publication)

Rabbit Polyclonal Cathepsin S antibody. Suitable for WB, IHC-P and reacts with Human, Rat samples. Cited in 1 publication. Immunogen corresponding to Recombinant Fragment Protein within Human CTSS aa 1-300.

View Alternative Names

Cathepsin S, CTSS

3 Images
Western blot - Anti-Cathepsin S antibody (AB96788)
  • WB

Supplier Data

Western blot - Anti-Cathepsin S antibody (AB96788)

Samples were separated by 10% SDS PAGE.

All lanes:

Western blot - Anti-Cathepsin S antibody (ab96788) at 1/1000 dilution

All lanes:

HeLa whole cell lysate at 30 µg

Predicted band size: 37 kDa

false

Western blot - Anti-Cathepsin S antibody (AB96788)
  • WB

Supplier Data

Western blot - Anti-Cathepsin S antibody (AB96788)

Samples were separated by 10% SDS PAGE.

All lanes:

Western blot - Anti-Cathepsin S antibody (ab96788) at 1/1000 dilution

All lanes:

Rat brain tissue extract at 50 µg

Predicted band size: 37 kDa

false

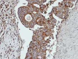
Immunohistochemistry (Formalin/PFA-fixed paraffin-embedded sections) - Anti-Cathepsin S antibody (AB96788)
  • IHC-P

Unknown

Immunohistochemistry (Formalin/PFA-fixed paraffin-embedded sections) - Anti-Cathepsin S antibody (AB96788)

Immunohistochemical analysis of paraffin-embedded endomitral OVCA, using ab96788 at 1/100 dilution.

Key facts

Host species

Rabbit

Clonality

Polyclonal

Isotype

IgG

Carrier free

No

Reacts with

Human, Rat

Applications

WB, IHC-P

applications

Immunogen

Recombinant Fragment Protein within Human CTSS aa 1-300. The exact immunogen used to generate this antibody is proprietary information.

P25774

Reactivity data

{ "title": "Reactivity Data", "filters": { "stats": ["", "Species", "Dilution Info", "Notes"], "tabs": { "all-applications": {"fullname" : "All Applications", "shortname": "All Applications"}, "WB" : {"fullname" : "Western blot", "shortname":"WB"}, "IHCP" : {"fullname" : "Immunohistochemistry (Formalin/PFA-fixed paraffin-embedded sections)", "shortname":"IHC-P"} }, "product-promise": { "all": "all", "testedAndGuaranteed": "tested", "guaranteed": "expected", "predicted": "predicted", "notRecommended": "not-recommended" } }, "values": { "Human": { "WB-species-checked": "testedAndGuaranteed", "WB-species-dilution-info": "1/500 - 1/3000", "WB-species-notes": "<p></p>", "IHCP-species-checked": "testedAndGuaranteed", "IHCP-species-dilution-info": "1/100 - 1/1000", "IHCP-species-notes": "<p></p>" }, "Rat": { "WB-species-checked": "testedAndGuaranteed", "WB-species-dilution-info": "1/500 - 1/3000", "WB-species-notes": "<p></p>", "IHCP-species-checked": "guaranteed", "IHCP-species-dilution-info": "", "IHCP-species-notes": "" } } }

Properties and storage information

Form
Liquid
Purification technique
Affinity purification Immunogen
Storage buffer
pH: 7 Preservative: 0.01% Thimerosal (merthiolate) Constituents: 10% Glycerol (glycerin, glycerine), 1.21% Tris, 0.75% Glycine
Shipped at conditions
Blue Ice
Appropriate short-term storage conditions
+4°C
Appropriate long-term storage conditions
-20°C
Aliquoting information
Upon delivery aliquot
Storage information
Avoid freeze / thaw cycle

Supplementary information

This supplementary information is collated from multiple sources and compiled automatically.

Cathepsin S sometimes referred to as CTSS is a cysteine protease enzyme weighing about 24-29 kDa part of the papain family. It occurs mainly in lysosomes and is expressed in a variety of cells including antigen-presenting cells like macrophages dendritic cells and B lymphocytes. Cathepsin S functions to cleave proteins at lysines playing a central role in protein degradation and antigen processing. It distinguishes itself from other cathepsins by maintaining activity in an alkaline environment and is essential for the processing of invariant chain (Ii) in MHC class II molecules.
Biological function summary

Cathepsin S participates in immune system modulation and matrix degradation. It stands out in its role in the immune response cleaving antigenic proteins for presentation by MHC class II therefore influencing T-cell activation. Although synonymous with lysosomal activity it also operates extracellularly contributing to tissue remodeling and inflammation. Cathepsin S is not part of a larger complex but interacts with MHC class II impacting antigen presentation.

Pathways

This protease is critical in the immune system and extracellular matrix degradation pathways. In the context of the immune pathway CTSS interacts with other proteases such as Cathepsin L and Cathepsin B to perform antigen trimming and processing. Moreover CTSS supports the activation of T lymphocytes by ensuring the correct presentation of peptide fragments on MHC class II molecules. In matrix degradation CTSS indirectly influences collagen breakdown and interaction with other matrix metalloproteinases.

Cathepsin S is associated with autoimmune diseases like rheumatoid arthritis where it contributes to tissue inflammation and joint damage. It also relates to atherosclerosis promoting instability in atherosclerotic plaques which could result in heart disease. In rheumatoid arthritis interactions with cytokines like TNF-alpha amplify inflammatory responses while in atherosclerosis CTSS links with other proteases to degrade extracellular matrix components leading to vulnerable lesions.

Product protocols

For this product, it's our understanding that no specific protocols are required. You can visit:

Target data

Thiol protease. Key protease responsible for the removal of the invariant chain from MHC class II molecules and MHC class II antigen presentation (PubMed : 30612035). The bond-specificity of this proteinase is in part similar to the specificities of cathepsin L.
See full target information CTSS

Publications (1)

Recent publications for all applications. Explore the full list and refine your search

The Journal of biological chemistry 291:9920-8 PubMed26966179

2016

Cathepsin S Contributes to the Pathogenesis of Muscular Dystrophy in Mice.

Applications

Unspecified application

Species

Unspecified reactive species

Andoria Tjondrokoesoemo,Tobias G Schips,Michelle A Sargent,Davy Vanhoutte,Onur Kanisicak,Vikram Prasad,Suh-Chin J Lin,Marjorie Maillet,Jeffery D Molkentin
View all publications

Product promise

We are committed to supporting your work with high-quality reagents, and we're here for you every step of the way. In the unlikely event that one of our products does not perform as expected, you're protected by our Product Promise.
For full details, please see our Terms & Conditions

Please note: All products are 'FOR RESEARCH USE ONLY. NOT FOR USE IN DIAGNOSTIC OR THERAPEUTIC PROCEDURES'.

For licensing inquiries, please contact partnerships@abcam.com