JavaScript is disabled in your browser. Please enable JavaScript to view this website.
AB134157

Anti-Cathepsin S antibody [EPR5128]

  • BOND RX™ Validated
  • RabMAb
  • Recombinant
  • KO Validated
  • What is this?

4

(1 Review)

|

(12 Publications)

Rabbit Recombinant Monoclonal Cathepsin S antibody. Suitable for IHC-P, WB and reacts with Human samples. Cited in 12 publications.

View Alternative Names

Cathepsin S, CTSS

5 Images
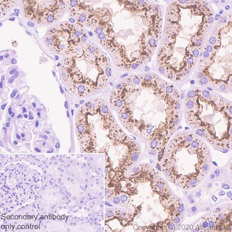
Immunohistochemistry (Formalin/PFA-fixed paraffin-embedded sections) - Anti-Cathepsin S antibody [EPR5128] (AB134157)
  • IHC-P

Lab

Immunohistochemistry (Formalin/PFA-fixed paraffin-embedded sections) - Anti-Cathepsin S antibody [EPR5128] (AB134157)

Immunohistochemistry (Formalin/PFA-fixed paraffin-embedded sections) analysis of human kidney tissue sections labeling Cathepsin S with purified ab134157 at 1/500 dilution (0.452 μg/mL). Heat mediated antigen retrieval was performed using Heat mediated antigen retrieval using Bond™ Epitope Retrieval Solution 2 (pH 9.0). Tissue was counterstained with Hematoxylin. Rabbit specific IHC polymer detection kit HRP/DAB (ab209101) secondary antibody was used. PBS instead of the primary antibody was used as the negative control.
The immunostaining was performed on a Leica Biosystems BOND® RX instrument.

Immunohistochemistry (Formalin/PFA-fixed paraffin-embedded sections) - Anti-Cathepsin S antibody [EPR5128] (AB134157)
  • IHC-P

Lab

Immunohistochemistry (Formalin/PFA-fixed paraffin-embedded sections) - Anti-Cathepsin S antibody [EPR5128] (AB134157)

Immunohistochemistry (Formalin/PFA-fixed paraffin-embedded sections) analysis of human liver tissue sections labeling Cathepsin S with purified ab134157 at 1/500 dilution (0.452 μg/mL). Heat mediated antigen retrieval was performed using Heat mediated antigen retrieval using Bond™ Epitope Retrieval Solution 2 (pH 9.0). Tissue was counterstained with Hematoxylin. Rabbit specific IHC polymer detection kit HRP/DAB (ab209101) secondary antibody was used. PBS instead of the primary antibody was used as the negative control.
The immunostaining was performed on a Leica Biosystems BOND® RX instrument.

Western blot - Anti-Cathepsin S antibody [EPR5128] (AB134157)
  • WB

Lab

Western blot - Anti-Cathepsin S antibody [EPR5128] (AB134157)

False colour image of Western blot : Anti-Cathepsin S antibody [EPR5128] staining at 1/1000 dilution, shown in green; Mouse anti-Alpha Tubulin [DM1A] (ab7291) loading control staining at 1/20000 dilution, shown in red. In Western blot, ab134157 was shown to bind specifically to Cathepsin S. A band was observed at 25 kDa in wild-type THP-1 cell lysates with no signal observed at this size in Ctss knockout cell line ab275846 (knockout cell lysate ab275820). To generate this image, wild-type and Ctss knockout THP-1 cell lysates were analysed. First, samples were run on an SDS-PAGE gel then transferred onto a nitrocellulose membrane. Membranes were blocked in 3% milk in TBS-0.1 % Tween® 20 (TBS-T) before incubation with primary antibodies overnight at 4°C. Blots were washed four times in TBS-T, incubated with secondary antibodies for 1 h at room temperature, washed again four times then imaged. Secondary antibodies used were Goat anti-Rabbit IgG H&L (IRDye® 800CW) preabsorbed (ab216773) and Goat anti-Mouse IgG H&L (IRDye® 680RD) preabsorbed (ab216776) at 1/20000 dilution.

Lanes 1 - 2:

Western blot - Anti-Cathepsin S antibody [EPR5128] (ab134157) at 1/1000 dilution

Lanes 3 - 4:

Western blot - Anti-Cathepsin S antibody [EPR5128] - BSA and Azide free (<a href='/en-us/products/primary-antibodies/cathepsin-s-antibody-epr5128-bsa-and-azide-free-ab248706'>ab248706</a>) at 1/1000 dilution

Lane 1:

Wild-type THP-1 cell lysate at 20 µg

Lane 2:

Ctss knockout THP-1 cell lysate at 20 µg

Lane 2:

Western blot - Human CTSS knockout THP-1 cell line (<a href='/en-us/products/cell-lines/human-ctss-knockout-thp-1-cell-line-ab275846'>ab275846</a>)

Lane 3:

U-87 MG cell lysate at 20 µg

Lane 4:

HeLa cell lysate at 20 µg

Predicted band size: 37 kDa

Observed band size: 25 kDa

false

Western blot - Anti-Cathepsin S antibody [EPR5128] (AB134157)
  • WB

Unknown

Western blot - Anti-Cathepsin S antibody [EPR5128] (AB134157)

All lanes:

Western blot - Anti-Cathepsin S antibody [EPR5128] (ab134157) at 1/1000 dilution

All lanes:

U-87 MG (Human glioblastoma-astrocytoma epithelial cell) whole cell lysate

Secondary

All lanes:

Western blot - Goat Anti-Rabbit IgG H&L (HRP) (<a href='/en-us/products/secondary-antibodies/goat-rabbit-igg-h-l-hrp-ab97051'>ab97051</a>) at 1/20000 dilution

Predicted band size: 37 kDa

false

Western blot - Anti-Cathepsin S antibody [EPR5128] (AB134157)
  • WB

CiteAb

Western blot - Anti-Cathepsin S antibody [EPR5128] (AB134157)

Cathepsin S western blot using anti-Cathepsin S antibody [EPR5128] ab134157. Publication image and figure legend from Pawar, K., Sharbati, J., et al., 2016, Front Cell Infect Microbiol, PubMed 27014637.

ab134157 was used in this publication in western blot. This may not be the same as the application(s) guaranteed by Abcam. For a full list of applications guaranteed by Abcam for ab134157 please see the product overview.

Detection of autophagy in THP-1 cells transfected with miR-3619-5p mimics. (A) Expression of CTSS in THP-1 cells was down-regulated after transfection with miR-3619-5p mimics as well as siRNA, which affected the process of autophagy observed by LC3A/B conversion on western blots. (B) LC3 autophagy puncta were observed under the microscope, (C) and were significantly increased in miR-3619-5p mimics transfected cells compared to nonsense controls as calculated by ImageJ. (D) LC3-GFP autophagy puncta were also observed with pEX-GFP-hLC3-WT plasmids. Co-transfecting cells with miR-3619-5p with pEX-GFP-hLC3-WT plasmid produced more autophagy GFP-LC3 puncta than that of co-transfected cells with nonsense control and pEX-GFP-hLC3-WT plasmid as observed under fluorescent microscope. Arrow indicates co-transfected cells and arrowhead indicates non-transfected population. (E) Significant differences in number of autophagic GFP-LC3 puncta was observed between two groups counted by ImageJ. The columns show means of three biological replicates each measured in triplicates while error bars show the standard deviation. Asterisks indicate statistical significance between samples (*p < 0.05).

false

  • Carrier free

    Anti-Cathepsin S antibody [EPR5128] - BSA and Azide free

Key facts

Host species

Rabbit

Clonality

Monoclonal

Clone number

EPR5128

Isotype

IgG

Carrier free

No

Reacts with

Human

Applications

IHC-P, WB

applications

Immunogen

The exact immunogen used to generate this antibody is proprietary information.

Reactivity data

{ "title": "Reactivity Data", "filters": { "stats": ["", "Species", "Dilution Info", "Notes"], "tabs": { "all-applications": {"fullname" : "All Applications", "shortname": "All Applications"}, "IHCP" : {"fullname" : "Immunohistochemistry (Formalin/PFA-fixed paraffin-embedded sections)", "shortname":"IHC-P"}, "FlowCyt" : {"fullname" : "Flow Cytometry", "shortname":"Flow Cyt"}, "WB" : {"fullname" : "Western blot", "shortname":"WB"}, "ICCIF" : {"fullname" : "Immunocytochemistry/ Immunofluorescence", "shortname":"ICC/IF"} }, "product-promise": { "all": "all", "testedAndGuaranteed": "tested", "guaranteed": "expected", "predicted": "predicted", "notRecommended": "not-recommended" } }, "values": { "Human": { "IHCP-species-checked": "testedAndGuaranteed", "IHCP-species-dilution-info": "1/50 - 1/500", "IHCP-species-notes": "<p></p>", "FlowCyt-species-checked": "notRecommended", "FlowCyt-species-dilution-info": "", "FlowCyt-species-notes": "<p></p>", "WB-species-checked": "testedAndGuaranteed", "WB-species-dilution-info": "1/1000 - 1/10000", "WB-species-notes": "<p></p>", "ICCIF-species-checked": "notRecommended", "ICCIF-species-dilution-info": "", "ICCIF-species-notes": "<p></p>" } } }

Product details

Species reactivity
Mouse, Rat: We have preliminary internal testing data to indicate this antibody may not react with these species.
Please contact us for more information.

Patented technology
Our RabMAb® technology is a patented hybridoma-based technology for making rabbit monoclonal antibodies. For details on our patents, please refer to RabMAb® patents.

What are the advantages of a recombinant monoclonal antibody?
This product is a recombinant monoclonal antibody, which offers several advantages including:

  • - High batch-to-batch consistency and reproducibility
  • - Improved sensitivity and specificity
  • - Long-term security of supply
  • - Animal-free batch production

For more information, read more on recombinant antibodies.

Properties and storage information

Form
Liquid
Purification technique
Affinity purification Protein A
Storage buffer
pH: 7.2 - 7.4 Preservative: 0.01% Sodium azide Constituents: PBS, 40% Glycerol (glycerin, glycerine), 0.05% BSA
Shipped at conditions
Blue Ice
Appropriate short-term storage duration
1-2 weeks
Appropriate short-term storage conditions
+4°C
Appropriate long-term storage conditions
-20°C
Aliquoting information
Upon delivery aliquot
Storage information
Avoid freeze / thaw cycle

Supplementary information

This supplementary information is collated from multiple sources and compiled automatically.

Cathepsin S sometimes referred to as CTSS is a cysteine protease enzyme weighing about 24-29 kDa part of the papain family. It occurs mainly in lysosomes and is expressed in a variety of cells including antigen-presenting cells like macrophages dendritic cells and B lymphocytes. Cathepsin S functions to cleave proteins at lysines playing a central role in protein degradation and antigen processing. It distinguishes itself from other cathepsins by maintaining activity in an alkaline environment and is essential for the processing of invariant chain (Ii) in MHC class II molecules.
Biological function summary

Cathepsin S participates in immune system modulation and matrix degradation. It stands out in its role in the immune response cleaving antigenic proteins for presentation by MHC class II therefore influencing T-cell activation. Although synonymous with lysosomal activity it also operates extracellularly contributing to tissue remodeling and inflammation. Cathepsin S is not part of a larger complex but interacts with MHC class II impacting antigen presentation.

Pathways

This protease is critical in the immune system and extracellular matrix degradation pathways. In the context of the immune pathway CTSS interacts with other proteases such as Cathepsin L and Cathepsin B to perform antigen trimming and processing. Moreover CTSS supports the activation of T lymphocytes by ensuring the correct presentation of peptide fragments on MHC class II molecules. In matrix degradation CTSS indirectly influences collagen breakdown and interaction with other matrix metalloproteinases.

Cathepsin S is associated with autoimmune diseases like rheumatoid arthritis where it contributes to tissue inflammation and joint damage. It also relates to atherosclerosis promoting instability in atherosclerotic plaques which could result in heart disease. In rheumatoid arthritis interactions with cytokines like TNF-alpha amplify inflammatory responses while in atherosclerosis CTSS links with other proteases to degrade extracellular matrix components leading to vulnerable lesions.

Product protocols

For this product, it's our understanding that no specific protocols are required. You can visit:

Target data

Thiol protease. Key protease responsible for the removal of the invariant chain from MHC class II molecules and MHC class II antigen presentation (PubMed : 30612035). The bond-specificity of this proteinase is in part similar to the specificities of cathepsin L.
See full target information CTSS

Publications (12)

Recent publications for all applications. Explore the full list and refine your search

The Turkish journal of pediatrics 67:546-558 PubMed40925032

2025

Expression and clinical correlation of cathepsin S, programmed cell death-1 ligand 1, and BRAFV600E mutation in children with Langerhans cell histiocytosis.

Applications

Unspecified application

Species

Unspecified reactive species

Yongan Ni,Shihong Shao,Yilin Wang,Lingzhen Wang,Lirong Sun

Molecular imaging and biology 26:1057-1067 PubMed39331316

2024

Immunohistochemical Evaluation of Cathepsin B, L, and S Expression in Breast Cancer Patients.

Applications

Unspecified application

Species

Unspecified reactive species

Daan G J Linders,Okker D Bijlstra,Laura C Fallert,N Geeske Dekker-Ensink,Taryn L March,Martin Pool,Ethan Walker,Brian Straight,James P Basilion,Matthew Bogyo,Jacobus Burggraaf,Denise E Hilling,Alexander L Vahrmeijer,Peter J K Kuppen,A Stijn L P Crobach

Aging 16:12498-12509 PubMed38747738

2024

SHP2 mediates STAT3/STAT6 signaling pathway in TAM to inhibit proliferation and metastasis of lung adenocarcinoma.

Applications

Unspecified application

Species

Unspecified reactive species

Guojing Chai,Yingbo Nan,Haili Zhao,Qingchuan Hu

Journal of biochemical and molecular toxicology 37:e23419 PubMed37341014

2023

Cathepsin S inhibition in dendritic cells prevents Th17 cell differentiation in perivascular adipose tissues following vascular injury in diabetic rats.

Applications

Unspecified application

Species

Unspecified reactive species

Hongyu Peng,Yuan Lv,Changjiang Li,Zichao Cheng,Songyuan He,Cong Wang,Jinghua Liu

BMC gastroenterology 22:72 PubMed35183119

2022

Excess fatty acids induce pancreatic acinar cell pyroptosis through macrophage M1 polarization.

Applications

Unspecified application

Species

Unspecified reactive species

Wenwen Xia,Zhaomin Lu,Wei Chen,Jianjun Zhou,Yan Zhao

Journal of Cancer 12:1592-1603 PubMed33613746

2021

Inhibition of Cathepsin S Restores TGF-β-induced Epithelial-to-mesenchymal Transition and Tight Junction Turnover in Glioblastoma Cells.

Applications

Unspecified application

Species

Unspecified reactive species

Li Wei,Naiyuan Shao,Ya Peng,Peng Zhou

Frontiers in oncology 10:516746 PubMed33425712

2020

Inhibition of Cathepsin S Induces Mitochondrial Apoptosis in Glioblastoma Cell Lines Through Mitochondrial Stress and Autophagosome Accumulation.

Applications

Unspecified application

Species

Unspecified reactive species

Maoxing Fei,Li Zhang,Handong Wang,Yihao Zhu,Wenhao Niu,Ting Tang,Yanling Han

Cancer cell 37:674-689.e12 PubMed32330455

2020

Cathepsin S Regulates Antigen Processing and T Cell Activity in Non-Hodgkin Lymphoma.

Applications

Unspecified application

Species

Unspecified reactive species

Elie Dheilly,Elena Battistello,Natalya Katanayeva,Stephanie Sungalee,Justine Michaux,Gerben Duns,Sarah Wehrle,Jessica Sordet-Dessimoz,Marco Mina,Julien Racle,Pedro Farinha,George Coukos,David Gfeller,Anja Mottok,Robert Kridel,Bruno E Correia,Christian Steidl,Michal Bassani-Sternberg,Giovanni Ciriello,Vincent Zoete,Elisa Oricchio

Emerging microbes & infections 8:1511-1523 PubMed31631785

2019

GILT restricts the cellular entry mediated by the envelope glycoproteins of SARS-CoV, Ebola virus and Lassa fever virus.

Applications

Unspecified application

Species

Unspecified reactive species

Danying Chen,Zhifei Hou,Dong Jiang,Mei Zheng,Guoli Li,Yue Zhang,Rui Li,Hanxin Lin,Jinhong Chang,Hui Zeng,Ju-Tao Guo,Xuesen Zhao

Angiogenesis 21:635-652 PubMed29675549

2018

SNAI1, an endothelial-mesenchymal transition transcription factor, promotes the early phase of ocular neovascularization.

Applications

WB

Species

Unspecified reactive species

Jia-Xing Sun,Tian-Fang Chang,Man-Hong Li,Li-Juan Sun,Xian-Chun Yan,Zi-Yan Yang,Yuan Liu,Wen-Qin Xu,Yang Lv,Jing-Bo Su,Liang Liang,Hua Han,Guo-Rui Dou,Yu-Sheng Wang
View all publications

Product promise

We are committed to supporting your work with high-quality reagents, and we're here for you every step of the way. In the unlikely event that one of our products does not perform as expected, you're protected by our Product Promise.
For full details, please see our Terms & Conditions

Please note: All products are 'FOR RESEARCH USE ONLY. NOT FOR USE IN DIAGNOSTIC OR THERAPEUTIC PROCEDURES'.

For licensing inquiries, please contact partnerships@abcam.com