JavaScript is disabled in your browser. Please enable JavaScript to view this website.
AB248706

Anti-Cathepsin S antibody [EPR5128] - BSA and Azide free

  • BOND RX™ Validated
  • RabMAb
  • Recombinant
  • KO Validated
  • What is this?

Be the first to review this product! Submit a review

|

(1 Publication)

Rabbit Recombinant Monoclonal Cathepsin S antibody. Carrier free. Suitable for IHC-P, WB and reacts with Human samples. Cited in 1 publication.

View Alternative Names

Cathepsin S, CTSS

4 Images
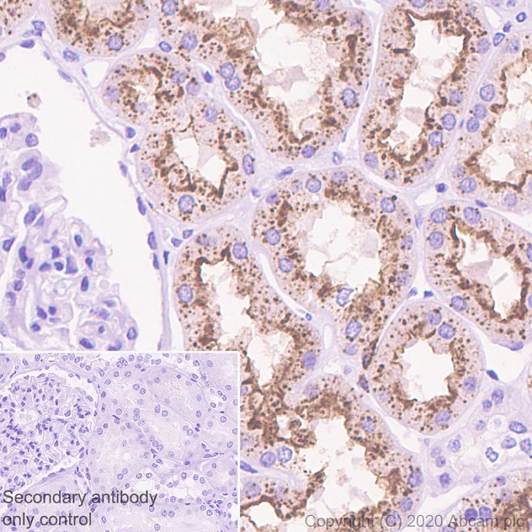
Immunohistochemistry (Formalin/PFA-fixed paraffin-embedded sections) - Anti-Cathepsin S antibody [EPR5128] - BSA and Azide free (AB248706)
  • IHC-P

Lab

Immunohistochemistry (Formalin/PFA-fixed paraffin-embedded sections) - Anti-Cathepsin S antibody [EPR5128] - BSA and Azide free (AB248706)

This data was developed using ab134157, the same antibody clone in a different buffer formulation.
Immunohistochemistry (Formalin/PFA-fixed paraffin-embedded sections) analysis of human kidney tissue sections labeling Cathepsin S with purified ab134157 at 1/500 dilution (0.452 μg/mL). Heat mediated antigen retrieval was performed using Heat mediated antigen retrieval using Bond™ Epitope Retrieval Solution 2 (pH 9.0). Tissue was counterstained with Hematoxylin. Rabbit specific IHC polymer detection kit HRP/DAB (ab209101) secondary antibody was used. PBS instead of the primary antibody was used as the negative control.
The immunostaining was performed on a Leica Biosystems BOND® RX instrument.

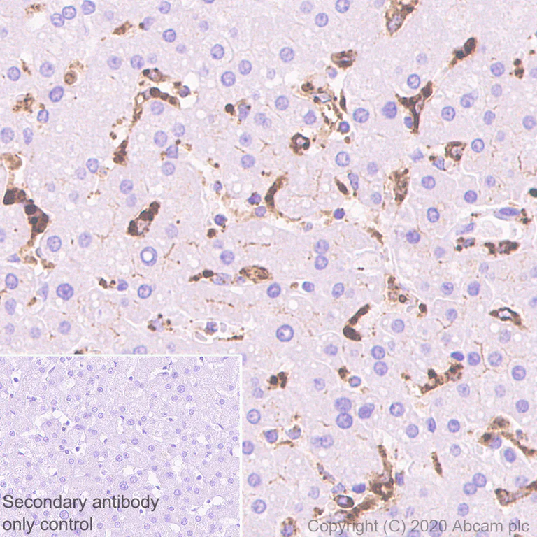
Immunohistochemistry (Formalin/PFA-fixed paraffin-embedded sections) - Anti-Cathepsin S antibody [EPR5128] - BSA and Azide free (AB248706)
  • IHC-P

Lab

Immunohistochemistry (Formalin/PFA-fixed paraffin-embedded sections) - Anti-Cathepsin S antibody [EPR5128] - BSA and Azide free (AB248706)

This data was developed using ab134157, the same antibody clone in a different buffer formulation.
Immunohistochemistry (Formalin/PFA-fixed paraffin-embedded sections) analysis of human liver tissue sections labeling Cathepsin S with purified ab134157 at 1/500 dilution (0.452 μg/mL). Heat mediated antigen retrieval was performed using Heat mediated antigen retrieval using Bond™ Epitope Retrieval Solution 2 (pH 9.0). Tissue was counterstained with Hematoxylin. Rabbit specific IHC polymer detection kit HRP/DAB (ab209101) secondary antibody was used. PBS instead of the primary antibody was used as the negative control.
The immunostaining was performed on a Leica Biosystems BOND® RX instrument.

Western blot - Anti-Cathepsin S antibody [EPR5128] - BSA and Azide free (AB248706)
  • WB

Lab

Western blot - Anti-Cathepsin S antibody [EPR5128] - BSA and Azide free (AB248706)

False colour image of Western blot : Anti-Cathepsin S antibody [EPR5128] staining at 1/1000 dilution, shown in green; Mouse anti-Alpha Tubulin [DM1A] (ab7291) loading control staining at 1/20000 dilution, shown in red. In Western blot, ab134157 was shown to bind specifically to Cathepsin S. A band was observed at 25 kDa in wild-type THP-1 cell lysates with no signal observed at this size in Ctss knockout cell line ab275846 (knockout cell lysate ab275820). To generate this image, wild-type and Ctss knockout THP-1 cell lysates were analysed. First, samples were run on an SDS-PAGE gel then transferred onto a nitrocellulose membrane. Membranes were blocked in 3 % milk in TBS-0.1 % Tween® 20 (TBS-T) before incubation with primary antibodies overnight at 4 °C. Blots were washed four times in TBS-T, incubated with secondary antibodies for 1 h at room temperature, washed again four times then imaged. Secondary antibodies used were Goat anti-Rabbit IgG H&L (IRDye® 800CW) preabsorbed (ab216773) and Goat anti-Mouse IgG H&L (IRDye® 680RD) preabsorbed (ab216776) at 1/20000 dilution.

Lanes 1 - 2:

Western blot - Anti-Cathepsin S antibody [EPR5128] (<a href='/en-us/products/primary-antibodies/cathepsin-s-antibody-epr5128-ab134157'>ab134157</a>) at 1/1000 dilution

Lanes 3 - 4:

Western blot - Anti-Cathepsin S antibody [EPR5128] - BSA and Azide free (ab248706) at 1/1000 dilution

Lane 1:

Wild-type THP-1 cell lysate at 20 µg

Lane 2:

Ctss knockout THP-1 cell lysate at 20 µg

Lane 2:

Western blot - Human CTSS knockout THP-1 cell line (<a href='/en-us/products/cell-lines/human-ctss-knockout-thp-1-cell-line-ab275846'>ab275846</a>)

Lane 3:

U-87 MG cell lysate at 20 µg

Lane 4:

HeLa cell lysate at 20 µg

Predicted band size: 37 kDa

Observed band size: 25 kDa

false

Western blot - Anti-Cathepsin S antibody [EPR5128] - BSA and Azide free (AB248706)
  • WB

Unknown

Western blot - Anti-Cathepsin S antibody [EPR5128] - BSA and Azide free (AB248706)

All lanes:

Western blot - Anti-Cathepsin S antibody [EPR5128] (<a href='/en-us/products/primary-antibodies/cathepsin-s-antibody-epr5128-ab134157'>ab134157</a>) at 1/1000 dilution

All lanes:

U-87 MG (Human glioblastoma-astrocytoma epithelial cell) whole cell lysate

Secondary

All lanes:

Western blot - Goat Anti-Rabbit IgG H&L (HRP) (<a href='/en-us/products/secondary-antibodies/goat-rabbit-igg-h-l-hrp-ab97051'>ab97051</a>) at 1/20000 dilution

Predicted band size: 37 kDa

false

Key facts

Host species

Rabbit

Clonality

Monoclonal

Clone number

EPR5128

Isotype

IgG

Carrier free

Yes

Reacts with

Human

Applications

WB, IHC-P

applications

Immunogen

The exact immunogen used to generate this antibody is proprietary information.

Reactivity data

{ "title": "Reactivity Data", "filters": { "stats": ["", "Species", "Dilution Info", "Notes"], "tabs": { "all-applications": {"fullname" : "All Applications", "shortname": "All Applications"}, "IHCP" : {"fullname" : "Immunohistochemistry (Formalin/PFA-fixed paraffin-embedded sections)", "shortname":"IHC-P"}, "FlowCyt" : {"fullname" : "Flow Cytometry", "shortname":"Flow Cyt"}, "WB" : {"fullname" : "Western blot", "shortname":"WB"}, "ICCIF" : {"fullname" : "Immunocytochemistry/ Immunofluorescence", "shortname":"ICC/IF"} }, "product-promise": { "all": "all", "testedAndGuaranteed": "tested", "guaranteed": "expected", "predicted": "predicted", "notRecommended": "not-recommended" } }, "values": { "Human": { "IHCP-species-checked": "testedAndGuaranteed", "IHCP-species-dilution-info": "", "IHCP-species-notes": "<p></p>", "FlowCyt-species-checked": "notRecommended", "FlowCyt-species-dilution-info": "", "FlowCyt-species-notes": "<p></p>", "WB-species-checked": "testedAndGuaranteed", "WB-species-dilution-info": "", "WB-species-notes": "<p></p>", "ICCIF-species-checked": "notRecommended", "ICCIF-species-dilution-info": "", "ICCIF-species-notes": "<p></p>" } } }

Product details

ab248706 is the carrier-free version of ab134157.

Species reactivity
Mouse, Rat: We have preliminary internal testing data to indicate this antibody may not react with these species.
Please contact us for more information.

Patented technology
Our RabMAb® technology is a patented hybridoma-based technology for making rabbit monoclonal antibodies. For details on our patents, please refer to RabMAb® patents.

What are the advantages of a recombinant monoclonal antibody?
This product is a recombinant monoclonal antibody, which offers several advantages including:

  • - High batch-to-batch consistency and reproducibility
  • - Improved sensitivity and specificity
  • - Long-term security of supply
  • - Animal-free batch production

For more information, read more on recombinant antibodies.

Conjugation ready
Our carrier-free antibodies are typically supplied in a PBS-only formulation, purified and free of BSA, sodium azide and glycerol. This conjugation-ready format is designed for use with fluorochromes, metal isotopes, oligonucleotides, and enzymes, which makes them ideal for antibody labelling, functional and cell-based assays, flow-based assays (e.g. mass cytometry) and Multiplex Imaging applications.

Use our conjugation kits for antibody conjugates that are ready-to-use in as little as 20 minutes with 1 minute hands-on-time and 100% antibody recovery: available for fluorescent dyes, HRP, biotin and gold.

Compatibility
This product is compatible with the Maxpar® Antibody Labeling Kit from Fluidigm, without the need for antibody preparation. Maxpar® is a trademark of Fluidigm Canada Inc.

Properties and storage information

Form
Liquid
Purification technique
Affinity purification Protein A
Storage buffer
pH: 7.2 - 7.4 Constituents: PBS
Shipped at conditions
Blue Ice
Appropriate short-term storage conditions
+4°C
Appropriate long-term storage conditions
+4°C
Storage information
Do Not Freeze

Supplementary information

This supplementary information is collated from multiple sources and compiled automatically.

Cathepsin S sometimes referred to as CTSS is a cysteine protease enzyme weighing about 24-29 kDa part of the papain family. It occurs mainly in lysosomes and is expressed in a variety of cells including antigen-presenting cells like macrophages dendritic cells and B lymphocytes. Cathepsin S functions to cleave proteins at lysines playing a central role in protein degradation and antigen processing. It distinguishes itself from other cathepsins by maintaining activity in an alkaline environment and is essential for the processing of invariant chain (Ii) in MHC class II molecules.
Biological function summary

Cathepsin S participates in immune system modulation and matrix degradation. It stands out in its role in the immune response cleaving antigenic proteins for presentation by MHC class II therefore influencing T-cell activation. Although synonymous with lysosomal activity it also operates extracellularly contributing to tissue remodeling and inflammation. Cathepsin S is not part of a larger complex but interacts with MHC class II impacting antigen presentation.

Pathways

This protease is critical in the immune system and extracellular matrix degradation pathways. In the context of the immune pathway CTSS interacts with other proteases such as Cathepsin L and Cathepsin B to perform antigen trimming and processing. Moreover CTSS supports the activation of T lymphocytes by ensuring the correct presentation of peptide fragments on MHC class II molecules. In matrix degradation CTSS indirectly influences collagen breakdown and interaction with other matrix metalloproteinases.

Cathepsin S is associated with autoimmune diseases like rheumatoid arthritis where it contributes to tissue inflammation and joint damage. It also relates to atherosclerosis promoting instability in atherosclerotic plaques which could result in heart disease. In rheumatoid arthritis interactions with cytokines like TNF-alpha amplify inflammatory responses while in atherosclerosis CTSS links with other proteases to degrade extracellular matrix components leading to vulnerable lesions.

Product protocols

For this product, it's our understanding that no specific protocols are required. You can visit:

Target data

Thiol protease. Key protease responsible for the removal of the invariant chain from MHC class II molecules and MHC class II antigen presentation (PubMed : 30612035). The bond-specificity of this proteinase is in part similar to the specificities of cathepsin L.
See full target information CTSS

Publications (1)

Recent publications for all applications. Explore the full list and refine your search

Nature communications 14:4467 PubMed37491377

2023

Circular RNA encoded MET variant promotes glioblastoma tumorigenesis.

Applications

Unspecified application

Species

Unspecified reactive species

Jian Zhong,Xujia Wu,Yixin Gao,Junju Chen,Maolei Zhang,Huangkai Zhou,Jia Yang,Feizhe Xiao,Xuesong Yang,Nunu Huang,Haoyue Qi,Xiuxing Wang,Fan Bai,Yu Shi,Nu Zhang
View all publications

Product promise

We are committed to supporting your work with high-quality reagents, and we're here for you every step of the way. In the unlikely event that one of our products does not perform as expected, you're protected by our Product Promise.
For full details, please see our Terms & Conditions

Please note: All products are 'FOR RESEARCH USE ONLY. NOT FOR USE IN DIAGNOSTIC OR THERAPEUTIC PROCEDURES'.

For licensing inquiries, please contact partnerships@abcam.com