JavaScript is disabled in your browser. Please enable JavaScript to view this website.
AB317231

Anti-Cathepsin S antibody [HL2462]

Be the first to review this product! Submit a review

|

(0 Publication)

Rabbit Monoclonal Cathepsin S antibody. Suitable for IHC-P, WB and reacts with Human samples. Immunogen corresponding to Recombinant Fragment Protein within Human CTSS.

View Alternative Names

Cathepsin S, CTSS

4 Images
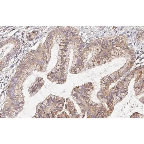
Immunohistochemistry (Formalin/PFA-fixed paraffin-embedded sections) - Anti-Cathepsin S antibody [HL2462] (AB317231)
  • IHC-P

Supplier Data

Immunohistochemistry (Formalin/PFA-fixed paraffin-embedded sections) - Anti-Cathepsin S antibody [HL2462] (AB317231)

ab317231 detects secreted Cathepsin S protein by immunohistochemical analysis. Sample : Paraffin-embedded human pancreatic cancer. Cathepsin S stained by ab317231 diluted at 1 : 100. Antigen Retrieval : Citrate buffer pH 6.0 15 min.

Western blot - Anti-Cathepsin S antibody [HL2462] (AB317231)
  • WB

Supplier Data

Western blot - Anti-Cathepsin S antibody [HL2462] (AB317231)

Untreated (–) and treated (+) A549 whole cell extracts (30 ug) were separated by 15% SDS-PAGE and the membrane was blotted with ab317231 diluted at 1 : 1000. The HRP-conjugated anti-rabbit IgG antibody was used to detect the primary antibody.

All lanes:

Western blot - Anti-Cathepsin S antibody [HL2462] (ab317231) at 1/1000 dilution

Lane 1:

Starvation 24 hr, untreated (-) A549 whole cell extracts at 30 µg

Lane 2:

Starvation 24 hr, 100 ng/mL IFN-gamma, 48 hr treated (+) A549 whole cell extracts at 30 µg

Secondary

All lanes:

HRP-conjugated anti-rabbit IgG antibody

false

Western blot - Anti-Cathepsin S antibody [HL2462] (AB317231)
  • WB

Supplier Data

Western blot - Anti-Cathepsin S antibody [HL2462] (AB317231)

Whole cell extract (30 ug) was separated by 15% SDS-PAGE and the membrane was blotted with ab317231 diluted at 1 : 1000. The HRP-conjugated anti-rabbit IgG antibody was used to detect the primary antibody.

All lanes:

Western blot - Anti-Cathepsin S antibody [HL2462] (ab317231) at 1/1000 dilution

All lanes:

Capan-2 whole cell extract at 30 µg

Secondary

All lanes:

HRP-conjugated anti-rabbit IgG antibody

false

Western blot - Anti-Cathepsin S antibody [HL2462] (AB317231)
  • WB

Supplier Data

Western blot - Anti-Cathepsin S antibody [HL2462] (AB317231)

Various whole cell extracts (30 ug) were separated by 12% SDS-PAGE and the membrane was blotted with ab317231 diluted at 1 : 1000. The HRP-conjugated anti-rabbit IgG antibody was used to detect the primary antibody. Corresponding RNA expression data for the same cell lines are based on Human Protein Atlas program.

All lanes:

Western blot - Anti-Cathepsin S antibody [HL2462] (ab317231) at 1/1000 dilution

Lane 1:

THP-1 whole cell extracts at 30 µg

Lane 2:

A549 whole cell extracts at 30 µg

Secondary

All lanes:

HRP-conjugated anti-rabbit IgG antibody

false

Key facts

Host species

Rabbit

Clonality

Monoclonal

Clone number

HL2462

Isotype

IgG

Carrier free

No

Reacts with

Human

Applications

IHC-P, WB

applications

Immunogen

Recombinant Fragment Protein within Human CTSS.

P25774

Reactivity data

{ "title": "Reactivity Data", "filters": { "stats": ["", "Species", "Dilution Info", "Notes"], "tabs": { "all-applications": {"fullname" : "All Applications", "shortname": "All Applications"}, "IHCP" : {"fullname" : "Immunohistochemistry (Formalin/PFA-fixed paraffin-embedded sections)", "shortname":"IHC-P"}, "WB" : {"fullname" : "Western blot", "shortname":"WB"} }, "product-promise": { "all": "all", "testedAndGuaranteed": "tested", "guaranteed": "expected", "predicted": "predicted", "notRecommended": "not-recommended" } }, "values": { "Human": { "IHCP-species-checked": "testedAndGuaranteed", "IHCP-species-dilution-info": "1/100", "IHCP-species-notes": "<p></p> Perform heat-mediated antigen retrieval with citrate buffer pH 6 before commencing with IHC staining protocol.", "WB-species-checked": "testedAndGuaranteed", "WB-species-dilution-info": "1/500 - 1/3000", "WB-species-notes": "<p></p>" } } }

Properties and storage information

Form
Liquid
Storage buffer
pH: 7.4 Constituents: PBS
Shipped at conditions
Blue Ice
Appropriate short-term storage duration
1-2 weeks
Appropriate short-term storage conditions
+4°C
Appropriate long-term storage conditions
-20°C
Aliquoting information
Upon delivery aliquot
Storage information
Avoid freeze / thaw cycle

Supplementary information

This supplementary information is collated from multiple sources and compiled automatically.

Cathepsin S sometimes referred to as CTSS is a cysteine protease enzyme weighing about 24-29 kDa part of the papain family. It occurs mainly in lysosomes and is expressed in a variety of cells including antigen-presenting cells like macrophages dendritic cells and B lymphocytes. Cathepsin S functions to cleave proteins at lysines playing a central role in protein degradation and antigen processing. It distinguishes itself from other cathepsins by maintaining activity in an alkaline environment and is essential for the processing of invariant chain (Ii) in MHC class II molecules.
Biological function summary

Cathepsin S participates in immune system modulation and matrix degradation. It stands out in its role in the immune response cleaving antigenic proteins for presentation by MHC class II therefore influencing T-cell activation. Although synonymous with lysosomal activity it also operates extracellularly contributing to tissue remodeling and inflammation. Cathepsin S is not part of a larger complex but interacts with MHC class II impacting antigen presentation.

Pathways

This protease is critical in the immune system and extracellular matrix degradation pathways. In the context of the immune pathway CTSS interacts with other proteases such as Cathepsin L and Cathepsin B to perform antigen trimming and processing. Moreover CTSS supports the activation of T lymphocytes by ensuring the correct presentation of peptide fragments on MHC class II molecules. In matrix degradation CTSS indirectly influences collagen breakdown and interaction with other matrix metalloproteinases.

Cathepsin S is associated with autoimmune diseases like rheumatoid arthritis where it contributes to tissue inflammation and joint damage. It also relates to atherosclerosis promoting instability in atherosclerotic plaques which could result in heart disease. In rheumatoid arthritis interactions with cytokines like TNF-alpha amplify inflammatory responses while in atherosclerosis CTSS links with other proteases to degrade extracellular matrix components leading to vulnerable lesions.

Product protocols

For this product, it's our understanding that no specific protocols are required. You can visit:

Target data

Thiol protease. Key protease responsible for the removal of the invariant chain from MHC class II molecules and MHC class II antigen presentation (PubMed : 30612035). The bond-specificity of this proteinase is in part similar to the specificities of cathepsin L.
See full target information CTSS

Product promise

We are committed to supporting your work with high-quality reagents, and we're here for you every step of the way. In the unlikely event that one of our products does not perform as expected, you're protected by our Product Promise.
For full details, please see our Terms & Conditions

Please note: All products are 'FOR RESEARCH USE ONLY. NOT FOR USE IN DIAGNOSTIC OR THERAPEUTIC PROCEDURES'.

For licensing inquiries, please contact partnerships@abcam.com