JavaScript is disabled in your browser. Please enable JavaScript to view this website.
AB180580

Anti-Cathepsin Z antibody [EPR14357]

5

(1 Review)

|

(3 Publications)

Rabbit Recombinant Monoclonal Cathepsin Z antibody. Suitable for WB, IHC-P and reacts with Human samples. Cited in 3 publications.

View Alternative Names

Cathepsin Z, Cathepsin P, Cathepsin X, CTSZ

2 Images
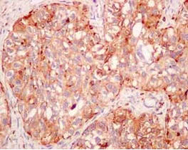
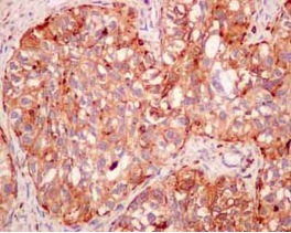
Immunohistochemistry (Formalin/PFA-fixed paraffin-embedded sections) - Anti-Cathepsin Z antibody [EPR14357] (AB180580)
  • IHC-P

Supplier Data

Immunohistochemistry (Formalin/PFA-fixed paraffin-embedded sections) - Anti-Cathepsin Z antibody [EPR14357] (AB180580)

Immunohistochemical analysis of paraffin-embedded Human ovarian carcinoma tissue labeling Cathepsin Z with ab180580 at 1/100 dilution followed by pre-diluted HRP-conjugated secondary antibody and counter-stained with Hematoxylin.

Perform heat mediated antigen retrieval with EDTA buffer pH 9 before commencing with IHC staining protocol.

Western blot - Anti-Cathepsin Z antibody [EPR14357] (AB180580)
  • WB

Supplier Data

Western blot - Anti-Cathepsin Z antibody [EPR14357] (AB180580)

All lanes:

Western blot - Anti-Cathepsin Z antibody [EPR14357] (ab180580) at 1/10000 dilution

Lane 1:

Human fetal liver lysate at 20 µg

Lane 2:

HeLa lysate at 20 µg

Lane 3:

K562 lysate at 20 µg

Lane 4:

WI-38 cell lysate at 20 µg

Secondary

All lanes:

Goat Anti-Rabbit IgG, (H+L), Peroxidase conjugated at 1/1000 dilution

Predicted band size: 33 kDa

false

  • Carrier free

    Anti-Cathepsin Z antibody [EPR14357] - BSA and Azide free

Key facts

Host species

Rabbit

Clonality

Monoclonal

Clone number

EPR14357

Isotype

IgG

Carrier free

No

Reacts with

Human

Applications

IHC-P, WB

applications

Immunogen

The exact immunogen used to generate this antibody is proprietary information.

Reactivity data

{ "title": "Reactivity Data", "filters": { "stats": ["", "Species", "Dilution Info", "Notes"], "tabs": { "all-applications": {"fullname" : "All Applications", "shortname": "All Applications"}, "WB" : {"fullname" : "Western blot", "shortname":"WB"}, "IHCP" : {"fullname" : "Immunohistochemistry (Formalin/PFA-fixed paraffin-embedded sections)", "shortname":"IHC-P"} }, "product-promise": { "all": "all", "testedAndGuaranteed": "tested", "guaranteed": "expected", "predicted": "predicted", "notRecommended": "not-recommended" } }, "values": { "Human": { "WB-species-checked": "testedAndGuaranteed", "WB-species-dilution-info": "1/1000 - 1/10000", "WB-species-notes": "<p></p>", "IHCP-species-checked": "testedAndGuaranteed", "IHCP-species-dilution-info": "1/100", "IHCP-species-notes": "<p></p>" }, "Mouse": { "WB-species-checked": "predicted", "WB-species-dilution-info": "", "WB-species-notes": "", "IHCP-species-checked": "predicted", "IHCP-species-dilution-info": "", "IHCP-species-notes": "" } } }

Product details

Patented technology
Our RabMAb® technology is a patented hybridoma-based technology for making rabbit monoclonal antibodies. For details on our patents, please refer to RabMAb® patents.

What are the advantages of a recombinant monoclonal antibody?
This product is a recombinant monoclonal antibody, which offers several advantages including:

  • - High batch-to-batch consistency and reproducibility
  • - Improved sensitivity and specificity
  • - Long-term security of supply
  • - Animal-free batch production

For more information, read more on recombinant antibodies.

Properties and storage information

Form
Liquid
Purification technique
Affinity purification Protein A
Storage buffer
Preservative: 0.01% Sodium azide Constituents: PBS, 40% Glycerol (glycerin, glycerine), 0.05% BSA
Shipped at conditions
Blue Ice
Appropriate short-term storage duration
1-2 weeks
Appropriate short-term storage conditions
+4°C
Appropriate long-term storage conditions
-20°C
Aliquoting information
Upon delivery aliquot
Storage information
Avoid freeze / thaw cycle

Supplementary information

This supplementary information is collated from multiple sources and compiled automatically.

Cathepsin Z also known as cathepsin X or CTSZ is a lysosomal cysteine protease with a molecular weight of approximately 34 kDa. It is expressed mainly in immune cells such as macrophages and dendritic cells but also found in other tissues including liver kidney and spleen. This protease performs proteolytic functions which involve cleaving peptide bonds in proteins contributing to protein catabolism in cells. The widespread expression of Cathepsin Z suggests its involvement in various physiological processes.
Biological function summary

Cathepsin Z participates in immune response regulation and cellular adhesion processes. It belongs to the papain-like cysteine protease family. Notably it associates with integrins to influence cell-extracellular matrix interactions affecting cell migration and adhesion. By modulating these processes Cathepsin Z impacts immune surveillance and tissue remodeling demonstrating its multifaceted role in maintaining cellular homeostasis.

Pathways

Cathepsin Z engages significantly in apoptotic and antigen-presenting pathways. In apoptosis it influences cell death by degrading specific substrates involved in cell survival. It also assists in the processing of antigens within dendritic cells facilitating effective antigen presentation to T cells. Related proteins such as Cathepsin S and Cathepsin L which also partake in lysosomal pathways further illustrate the shared functionality and redundancy within this protease family enabling a robust regulatory network.

Cathepsin Z has implications in cancer progression and neurodegenerative diseases. It is often overexpressed in cancerous tissues where it aids tumor cell invasion and metastasis through degradation of extracellular components. Additionally alterations in Cathepsin Z activity are linked to Alzheimer's disease where it may affect the processing of amyloid precursor proteins similar to its interaction with other proteins like Cathepsin B. These connections highlight the potential for Cathepsin Z as a target for therapeutic intervention in various pathological conditions.

Product protocols

For this product, it's our understanding that no specific protocols are required. You can visit:

Target data

Exhibits carboxy-monopeptidase as well as carboxy-dipeptidase activity (PubMed : 10504234). Capable of producing kinin potentiating peptides (By similarity).
See full target information Cathepsin Z

Publications (3)

Recent publications for all applications. Explore the full list and refine your search

Nature communications 15:330 PubMed38184627

2024

Blood DNA methylation profiling identifies cathepsin Z dysregulation in pulmonary arterial hypertension.

Applications

Unspecified application

Species

Unspecified reactive species

Anna Ulrich,Yukyee Wu,Harmen Draisma,John Wharton,Emilia M Swietlik,Inês Cebola,Eleni Vasilaki,Zhanna Balkhiyarova,Marjo-Riitta Jarvelin,Juha Auvinen,Karl-Heinz Herzig,J Gerry Coghlan,James Lordan,Colin Church,Luke S Howard,Joanna Pepke-Zaba,Mark Toshner,Stephen J Wort,David G Kiely,Robin Condliffe,Allan Lawrie,Stefan Gräf,Nicholas W Morrell,Martin R Wilkins,Inga Prokopenko,Christopher J Rhodes

Journal of cellular physiology 236:1309-1320 PubMed32657442

2020

Inhibition of cathepsin S attenuates myocardial ischemia/reperfusion injury by suppressing inflammation and apoptosis.

Applications

Unspecified application

Species

Unspecified reactive species

Ke Peng,Hong Liu,Bin Yan,Xiao-Wen Meng,Shao-Yong Song,Fu-Hai Ji,Zhengyuan Xia

Scientific reports 8:11808 PubMed30087368

2018

Increased expression and altered localization of cathepsin Z are associated with progression to jaundice stage in primary biliary cholangitis.

Applications

Unspecified application

Species

Unspecified reactive species

Yoshihiro Aiba,Kenichi Harada,Masahiro Ito,Takashi Suematsu,Shinichi Aishima,Yuki Hitomi,Nao Nishida,Minae Kawashima,Mitsuhisa Takatsuki,Susumu Eguchi,Shinji Shimoda,Hitomi Nakamura,Atsumasa Komori,Seigo Abiru,Shinya Nagaoka,Kiyoshi Migita,Hiroshi Yatsuhashi,Katsushi Tokunaga,Minoru Nakamura
View all publications

Product promise

We are committed to supporting your work with high-quality reagents, and we're here for you every step of the way. In the unlikely event that one of our products does not perform as expected, you're protected by our Product Promise.
For full details, please see our Terms & Conditions

Please note: All products are 'FOR RESEARCH USE ONLY. NOT FOR USE IN DIAGNOSTIC OR THERAPEUTIC PROCEDURES'.

For licensing inquiries, please contact partnerships@abcam.com