JavaScript is disabled in your browser. Please enable JavaScript to view this website.
AB250229

Anti-Cathepsin Z antibody [EPR14357] - BSA and Azide free

Be the first to review this product! Submit a review

|

(1 Publication)

Rabbit Recombinant Monoclonal Cathepsin Z antibody. Carrier free. Suitable for WB, IHC-P and reacts with Human samples. Cited in 1 publication.

View Alternative Names

Cathepsin Z, Cathepsin P, Cathepsin X, CTSZ

2 Images
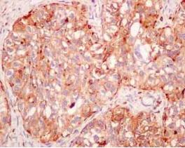
Immunohistochemistry (Formalin/PFA-fixed paraffin-embedded sections) - Anti-Cathepsin Z antibody [EPR14357] - BSA and Azide free (AB250229)
  • IHC-P

Supplier Data

Immunohistochemistry (Formalin/PFA-fixed paraffin-embedded sections) - Anti-Cathepsin Z antibody [EPR14357] - BSA and Azide free (AB250229)

This data was developed using ab180580, the same antibody clone in a different buffer formulation.

Immunohistochemical analysis of paraffin-embedded Human ovarian carcinoma tissue labeling Cathepsin Z with ab180580 at 1/100 dilution followed by pre-diluted HRP-conjugated secondary antibody and counter-stained with Hematoxylin.

Perform heat mediated antigen retrieval with EDTA buffer pH 9 before commencing with IHC staining protocol.

Western blot - Anti-Cathepsin Z antibody [EPR14357] - BSA and Azide free (AB250229)
  • WB

Supplier Data

Western blot - Anti-Cathepsin Z antibody [EPR14357] - BSA and Azide free (AB250229)

This data was developed using ab180580, the same antibody clone in a different buffer formulation.

All lanes:

Western blot - Anti-Cathepsin Z antibody [EPR14357] (<a href='/en-us/products/primary-antibodies/cathepsin-z-antibody-epr14357-ab180580'>ab180580</a>) at 1/10000 dilution

Lane 1:

Human fetal liver lysate at 20 µg

Lane 2:

HeLa lysate at 20 µg

Lane 3:

K562 lysate at 20 µg

Lane 4:

WI-38 cell lysate at 20 µg

Secondary

All lanes:

Goat Anti-Rabbit IgG, (H+L), Peroxidase conjugated at 1/1000 dilution

Predicted band size: 33 kDa

false

Key facts

Host species

Rabbit

Clonality

Monoclonal

Clone number

EPR14357

Isotype

IgG

Carrier free

Yes

Reacts with

Human

Applications

IHC-P, WB

applications

Immunogen

The exact immunogen used to generate this antibody is proprietary information.

Reactivity data

{ "title": "Reactivity Data", "filters": { "stats": ["", "Species", "Dilution Info", "Notes"], "tabs": { "all-applications": {"fullname" : "All Applications", "shortname": "All Applications"}, "WB" : {"fullname" : "Western blot", "shortname":"WB"}, "IHCP" : {"fullname" : "Immunohistochemistry (Formalin/PFA-fixed paraffin-embedded sections)", "shortname":"IHC-P"} }, "product-promise": { "all": "all", "testedAndGuaranteed": "tested", "guaranteed": "expected", "predicted": "predicted", "notRecommended": "not-recommended" } }, "values": { "Human": { "WB-species-checked": "testedAndGuaranteed", "WB-species-dilution-info": "", "WB-species-notes": "<p></p>", "IHCP-species-checked": "testedAndGuaranteed", "IHCP-species-dilution-info": "", "IHCP-species-notes": "<p></p>" }, "Mouse": { "WB-species-checked": "predicted", "WB-species-dilution-info": "", "WB-species-notes": "", "IHCP-species-checked": "predicted", "IHCP-species-dilution-info": "", "IHCP-species-notes": "" } } }

Product details

ab250229 is the carrier-free version of ab180580.

Patented technology
Our RabMAb® technology is a patented hybridoma-based technology for making rabbit monoclonal antibodies. For details on our patents, please refer to RabMAb® patents.

What are the advantages of a recombinant monoclonal antibody?
This product is a recombinant monoclonal antibody, which offers several advantages including:

  • - High batch-to-batch consistency and reproducibility
  • - Improved sensitivity and specificity
  • - Long-term security of supply
  • - Animal-free batch production

For more information, read more on recombinant antibodies.

Conjugation ready
Our carrier-free antibodies are typically supplied in a PBS-only formulation, purified and free of BSA, sodium azide and glycerol. This conjugation-ready format is designed for use with fluorochromes, metal isotopes, oligonucleotides, and enzymes, which makes them ideal for antibody labelling, functional and cell-based assays, flow-based assays (e.g. mass cytometry) and Multiplex Imaging applications.

Use our conjugation kits for antibody conjugates that are ready-to-use in as little as 20 minutes with 1 minute hands-on-time and 100% antibody recovery: available for fluorescent dyes, HRP, biotin and gold.

Compatibility
This product is compatible with the Maxpar® Antibody Labeling Kit from Fluidigm, without the need for antibody preparation. Maxpar® is a trademark of Fluidigm Canada Inc.

Properties and storage information

Form
Liquid
Purification technique
Affinity purification Protein A
Storage buffer
pH: 7.2 - 7.4 Constituents: PBS
Shipped at conditions
Blue Ice
Appropriate short-term storage conditions
+4°C
Appropriate long-term storage conditions
+4°C
Storage information
Do Not Freeze

Supplementary information

This supplementary information is collated from multiple sources and compiled automatically.

Cathepsin Z also known as cathepsin X or CTSZ is a lysosomal cysteine protease with a molecular weight of approximately 34 kDa. It is expressed mainly in immune cells such as macrophages and dendritic cells but also found in other tissues including liver kidney and spleen. This protease performs proteolytic functions which involve cleaving peptide bonds in proteins contributing to protein catabolism in cells. The widespread expression of Cathepsin Z suggests its involvement in various physiological processes.
Biological function summary

Cathepsin Z participates in immune response regulation and cellular adhesion processes. It belongs to the papain-like cysteine protease family. Notably it associates with integrins to influence cell-extracellular matrix interactions affecting cell migration and adhesion. By modulating these processes Cathepsin Z impacts immune surveillance and tissue remodeling demonstrating its multifaceted role in maintaining cellular homeostasis.

Pathways

Cathepsin Z engages significantly in apoptotic and antigen-presenting pathways. In apoptosis it influences cell death by degrading specific substrates involved in cell survival. It also assists in the processing of antigens within dendritic cells facilitating effective antigen presentation to T cells. Related proteins such as Cathepsin S and Cathepsin L which also partake in lysosomal pathways further illustrate the shared functionality and redundancy within this protease family enabling a robust regulatory network.

Cathepsin Z has implications in cancer progression and neurodegenerative diseases. It is often overexpressed in cancerous tissues where it aids tumor cell invasion and metastasis through degradation of extracellular components. Additionally alterations in Cathepsin Z activity are linked to Alzheimer's disease where it may affect the processing of amyloid precursor proteins similar to its interaction with other proteins like Cathepsin B. These connections highlight the potential for Cathepsin Z as a target for therapeutic intervention in various pathological conditions.

Product protocols

For this product, it's our understanding that no specific protocols are required. You can visit:

Target data

Exhibits carboxy-monopeptidase as well as carboxy-dipeptidase activity (PubMed : 10504234). Capable of producing kinin potentiating peptides (By similarity).
See full target information Cathepsin Z

Publications (1)

Recent publications for all applications. Explore the full list and refine your search

OncoTargets and therapy 13:13315-13327 PubMed33408482

2020

Circ_0001175 Promotes Hepatocellular Carcinoma Cell Proliferation and Metastasis by Regulating miR-130a-5p.

Applications

Unspecified application

Species

Unspecified reactive species

Liheng Li,Ke He,Siliang Chen,Wenjiang Wei,Zuofu Tian,Yinghong Tang,Chengjiang Xiao,Guoan Xiang
View all publications

Product promise

We are committed to supporting your work with high-quality reagents, and we're here for you every step of the way. In the unlikely event that one of our products does not perform as expected, you're protected by our Product Promise.
For full details, please see our Terms & Conditions

Please note: All products are 'FOR RESEARCH USE ONLY. NOT FOR USE IN DIAGNOSTIC OR THERAPEUTIC PROCEDURES'.

For licensing inquiries, please contact partnerships@abcam.com