JavaScript is disabled in your browser. Please enable JavaScript to view this website.
AB211503

Anti-Caveolin-1 antibody - N-terminal - Caveolae Marker

Be the first to review this product! Submit a review

|

(4 Publications)

Goat Polyclonal Caveolin-1 antibody. N-terminal. Suitable for IHC-P, WB, ICC/IF and reacts with Human, Mouse samples. Cited in 4 publications. Immunogen corresponding to Recombinant Fragment Protein within Human CAV1 aa 1-100.

View Alternative Names

CAV, CAV1, Caveolin-1

3 Images
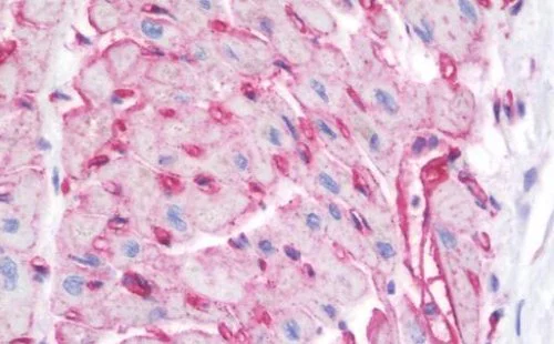
Immunohistochemistry (Formalin/PFA-fixed paraffin-embedded sections) - Anti-Caveolin-1 antibody - N-terminal - Caveolae Marker (AB211503)
  • IHC-P

Supplier Data

Immunohistochemistry (Formalin/PFA-fixed paraffin-embedded sections) - Anti-Caveolin-1 antibody - N-terminal - Caveolae Marker (AB211503)

Immunohistochemical analysis of formalin-fixed, paraffin-embedded Human heart tissue labeling Caveolin-1 with ab211503 at 5 μg/ml.

Immunocytochemistry/ Immunofluorescence - Anti-Caveolin-1 antibody - N-terminal - Caveolae Marker (AB211503)
  • ICC/IF

Supplier Data

Immunocytochemistry/ Immunofluorescence - Anti-Caveolin-1 antibody - N-terminal - Caveolae Marker (AB211503)

Immunofluorescent analysis of 4% PFA-fixed Hepa1-6 cells labeling Caveolin-1 with ab211503 at 1/50 dilution.

Western blot - Anti-Caveolin-1 antibody - N-terminal - Caveolae Marker (AB211503)
  • WB

Supplier Data

Western blot - Anti-Caveolin-1 antibody - N-terminal - Caveolae Marker (AB211503)

All lanes:

Western blot - Anti-Caveolin-1 antibody - N-terminal - Caveolae Marker (ab211503) at 1/1000 dilution

All lanes:

HaCat cell lysate at 100 µg

Secondary

All lanes:

Rabbit polyclonal to goat IgG (HRP) at 1/10000 dilution

Predicted band size: 20 kDa

false

Key facts

Host species

Goat

Clonality

Polyclonal

Isotype

IgG

Carrier free

No

Reacts with

Human, Mouse

Applications

IHC-P, WB, ICC/IF

applications

Immunogen

Recombinant Fragment Protein within Human CAV1 aa 1-100. The exact immunogen used to generate this antibody is proprietary information.

Q03135

Reactivity data

{ "title": "Reactivity Data", "filters": { "stats": ["", "Species", "Dilution Info", "Notes"], "tabs": { "all-applications": {"fullname" : "All Applications", "shortname": "All Applications"}, "IHCP" : {"fullname" : "Immunohistochemistry (Formalin/PFA-fixed paraffin-embedded sections)", "shortname":"IHC-P"}, "WB" : {"fullname" : "Western blot", "shortname":"WB"}, "ICCIF" : {"fullname" : "Immunocytochemistry/ Immunofluorescence", "shortname":"ICC/IF"} }, "product-promise": { "all": "all", "testedAndGuaranteed": "tested", "guaranteed": "expected", "predicted": "predicted", "notRecommended": "not-recommended" } }, "values": { "Human": { "IHCP-species-checked": "testedAndGuaranteed", "IHCP-species-dilution-info": "5 µg/mL", "IHCP-species-notes": "<p></p> Perform heat-mediated antigen retrieval before commencing with IHC staining protocol.", "WB-species-checked": "testedAndGuaranteed", "WB-species-dilution-info": "1/500 - 1/2000", "WB-species-notes": "<p></p>", "ICCIF-species-checked": "guaranteed", "ICCIF-species-dilution-info": "", "ICCIF-species-notes": "" }, "Mouse": { "IHCP-species-checked": "guaranteed", "IHCP-species-dilution-info": "", "IHCP-species-notes": "", "WB-species-checked": "guaranteed", "WB-species-dilution-info": "", "WB-species-notes": "", "ICCIF-species-checked": "testedAndGuaranteed", "ICCIF-species-dilution-info": "1/25 - 1/250", "ICCIF-species-notes": "<p></p>" }, "Monkey": { "IHCP-species-checked": "predicted", "IHCP-species-dilution-info": "", "IHCP-species-notes": "", "WB-species-checked": "predicted", "WB-species-dilution-info": "", "WB-species-notes": "", "ICCIF-species-checked": "predicted", "ICCIF-species-dilution-info": "", "ICCIF-species-notes": "" } } }

Properties and storage information

Form
Liquid
Purification technique
Affinity purification Immunogen
Storage buffer
pH: 7.4 Preservative: 0.05% Sodium azide Constituents: PBS, 20% Glycerol (glycerin, glycerine)
Shipped at conditions
Blue Ice
Appropriate short-term storage duration
1-2 weeks
Appropriate short-term storage conditions
+4°C
Appropriate long-term storage conditions
-20°C
Aliquoting information
Upon delivery aliquot
Storage information
Avoid freeze / thaw cycle

Supplementary information

This supplementary information is collated from multiple sources and compiled automatically.

Caveolin-1 also known as Cav-1 is an integral membrane protein with a molecular weight of approximately 22 kDa. It functions mechanically as a scaffolding protein in caveolae which are tiny invaginations in the plasma membrane of many cell types. These structures are particularly abundant in adipocytes endothelial cells and muscle cells. Caveolin-1 anchors itself to the cell membrane and plays a role in organizing and concentrating certain signaling molecules.
Biological function summary

Caveolae provide a platform for various signaling pathways and involve caveolin-1 as a major component. Caveolin-1 interacts with multiple signaling molecules such as G-protein coupled receptors and Src family kinases to modulate signal transduction. This protein forms part of a larger caveolar complex contributing to cellular processes including endocytosis and lipid regulation. Its presence as a marker in caveolae highlights its significance in cellular functions.

Pathways

Caveolin-1 influences the insulin signaling and nitric oxide (NO) signaling pathways. In the insulin signaling pathway caveolin-1 interacts with insulin receptors to modulate glucose uptake. It also associates with eNOS (endothelial nitric oxide synthase) in the NO signaling pathway impacting vascular function. These relationships highlight its role in cellular communication and regulatory mechanisms within the human body.

Caveolin-1 is involved in cancer and cardiovascular diseases. In cancer altered expression of caveolin-1 contributes to tumor progression while in cardiovascular diseases it affects endothelial function through its interaction with eNOS. The connection of caveolin-1 to proteins like insulin receptors and eNOS reveals its critical influence in these conditions providing potential targets for therapeutic intervention.

Product protocols

For this product, it's our understanding that no specific protocols are required. You can visit:

Target data

May act as a scaffolding protein within caveolar membranes (PubMed : 11751885). Forms a stable heterooligomeric complex with CAV2 that targets to lipid rafts and drives caveolae formation. Mediates the recruitment of CAVIN proteins (CAVIN1/2/3/4) to the caveolae (PubMed : 19262564). Interacts directly with G-protein alpha subunits and can functionally regulate their activity (By similarity). Involved in the costimulatory signal essential for T-cell receptor (TCR)-mediated T-cell activation. Its binding to DPP4 induces T-cell proliferation and NF-kappa-B activation in a T-cell receptor/CD3-dependent manner (PubMed : 17287217). Recruits CTNNB1 to caveolar membranes and may regulate CTNNB1-mediated signaling through the Wnt pathway (By similarity). Negatively regulates TGFB1-mediated activation of SMAD2/3 by mediating the internalization of TGFBR1 from membrane rafts leading to its subsequent degradation (PubMed : 25893292). Binds 20(S)-hydroxycholesterol (20(S)-OHC) (By similarity).
See full target information CAV1

Publications (4)

Recent publications for all applications. Explore the full list and refine your search

Cell communication and signaling : CCS 23:193 PubMed40264231

2025

Mechanical cues rewire lipid metabolism and support chemoresistance in epithelial ovarian cancer cell lines OVCAR3 and SKOV3.

Applications

Unspecified application

Species

Unspecified reactive species

Martina Karasová,Maximilian Jobst,Denise Framke,Janice Bergen,Samuel Meier-Menches,Bernhard Keppler,Gunda Koellensperger,Jürgen Zanghellini,Christopher Gerner,Giorgia Del Favero

Cellular and molecular biology (Noisy-le-Grand, France) 69:88-93 PubMed38279470

2024

LINC00467 enhanced the proliferative, migratory and invasive ability of breast cancer cells by targeting miR-18a/b-5p/MAPK4 axis.

Applications

Unspecified application

Species

Unspecified reactive species

Zhitao Zhang,Huan Lan,Shuai Zhao

Heliyon 9:e18082 PubMed37539272

2023

Loss of Flot2 expression in deep cerebellar nuclei neurons of mice with Niemann-Pick disease type C.

Applications

Unspecified application

Species

Unspecified reactive species

Tsu-I Chen,Pei-Chun Hsu,Ni-Chung Lee,Yu-Han Liu,Hao-Chun Wang,Yen-Hsu Lu,Yin-Hsiu Chien,Wuh-Liang Hwu

Journal of diabetes research 2021:9943344 PubMed34917687

2021

Caveolin-1 Is Essential for the Improvement of Insulin Sensitivity through AKT Activation during Glargine Treatment on Diabetic Mice.

Applications

Unspecified application

Species

Unspecified reactive species

Hangya Peng,Panwei Mu,Haicheng Li,Shuo Lin,Chuwen Lin,Keyi Lin,Kunying Liu,Wen Zeng,Longyi Zeng
View all publications

Product promise

We are committed to supporting your work with high-quality reagents, and we're here for you every step of the way. In the unlikely event that one of our products does not perform as expected, you're protected by our Product Promise.
For full details, please see our Terms & Conditions

Please note: All products are 'FOR RESEARCH USE ONLY. NOT FOR USE IN DIAGNOSTIC OR THERAPEUTIC PROCEDURES'.

For licensing inquiries, please contact partnerships@abcam.com