JavaScript is disabled in your browser. Please enable JavaScript to view this website.
AB236437

Anti-Caveolin-1 antibody [SP43] - BSA and Azide free

  • BOND RX™ Validated
  • RabMAb
  • Recombinant
  • KO Validated
  • What is this?

Be the first to review this product! Submit a review

|

(1 Publication)

Rabbit Recombinant Monoclonal Caveolin-1 antibody. Carrier free. Suitable for IHC-P, WB and reacts with Human samples. Cited in 1 publication.

View Alternative Names

CAV, CAV1, Caveolin-1

13 Images
Immunohistochemistry (Formalin/PFA-fixed paraffin-embedded sections) - Anti-Caveolin-1 antibody [SP43] - BSA and Azide free (AB236437)
  • IHC-P

Unknown

Immunohistochemistry (Formalin/PFA-fixed paraffin-embedded sections) - Anti-Caveolin-1 antibody [SP43] - BSA and Azide free (AB236437)

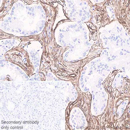
Immunohistochemistry (Formalin/PFA-fixed paraffin-embedded sections) analysis of Human lung carcinoma tissue sections labeling Caveolin-1 with ab227636 at 1/50 dilution (4.70 μg/ml). Heat mediated antigen retrieval with sodium citrate buffer (pH 6.0, epitope retrieval solution 1) for 10mins. Rabbit specific IHC polymer detection kit HRP/DAB (ab209101) was used as the secondary antibody. Hematoxylin was used as a counterstain. Positive staining on the stromal cells in the human lung carcinoma, performed on a Leica Biosystems BOND™ RX instrument.
The section was incubated with ab227636 for 30 mins at room temperature. This image was generated using ab227636, the same clone, but with a different buffer formulation.

Immunohistochemistry (Formalin/PFA-fixed paraffin-embedded sections) - Anti-Caveolin-1 antibody [SP43] - BSA and Azide free (AB236437)
  • IHC-P

Supplier Data

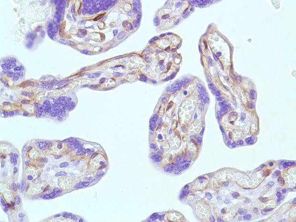
Immunohistochemistry (Formalin/PFA-fixed paraffin-embedded sections) - Anti-Caveolin-1 antibody [SP43] - BSA and Azide free (AB236437)

Formalin-fixed, paraffin-embedded human placenta tissue stained for Caveolin-1 using ab227636 at 1/50 dilution in immunohistochemical analysis.

This data was developed using the same antibody clone in a different buffer formulation containing PBS, BSA, glycerol, and sodium azide (ab227636).

Immunohistochemistry (Formalin/PFA-fixed paraffin-embedded sections) - Anti-Caveolin-1 antibody [SP43] - BSA and Azide free (AB236437)
  • IHC-P

Unknown

Immunohistochemistry (Formalin/PFA-fixed paraffin-embedded sections) - Anti-Caveolin-1 antibody [SP43] - BSA and Azide free (AB236437)

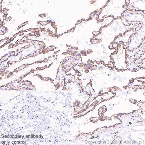
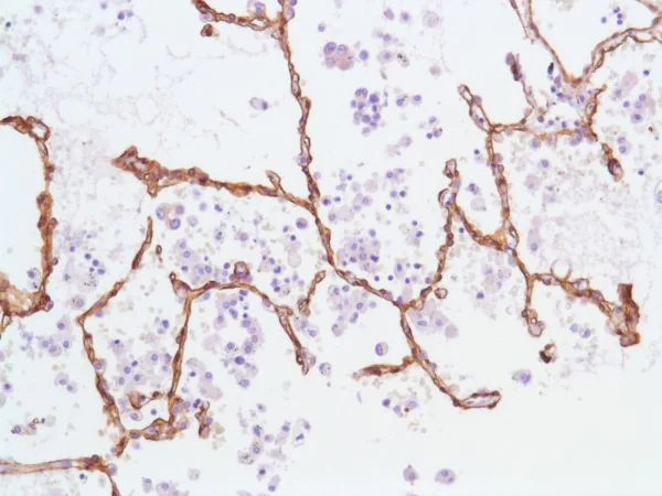
Immunohistochemistry (Formalin/PFA-fixed paraffin-embedded sections) analysis of Human lung tissue sections labeling Caveolin-1 with ab227636 at 1/50 dilution (4.70 μg/ml). Heat mediated antigen retrieval with sodium citrate buffer (pH 6.0, epitope retrieval solution 1) for 10mins. Rabbit specific IHC polymer detection kit HRP/DAB (ab209101) was used as the secondary antibody. Hematoxylin was used as a counterstain. Positive staining on human lung, performed on a Leica Biosystems BOND™ RX instrument.
The section was incubated with ab227636 for 30 mins at room temperature. This image was generated using ab227636, the same clone, but with a different buffer formulation.

Immunohistochemistry (Formalin/PFA-fixed paraffin-embedded sections) - Anti-Caveolin-1 antibody [SP43] - BSA and Azide free (AB236437)
  • IHC-P

Unknown

Immunohistochemistry (Formalin/PFA-fixed paraffin-embedded sections) - Anti-Caveolin-1 antibody [SP43] - BSA and Azide free (AB236437)

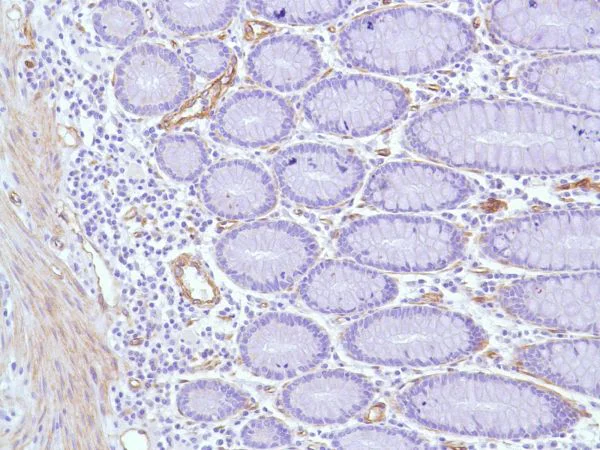
Formalin-fixed, paraffin-embedded human colon tissue stained for Caveolin-1 using ab227636 at 1/50 dilution in immunohistochemical analysis.

This data was developed using the same antibody clone in a different buffer formulation containing PBS, BSA, glycerol, and sodium azide (ab227636).

Immunohistochemistry (Formalin/PFA-fixed paraffin-embedded sections) - Anti-Caveolin-1 antibody [SP43] - BSA and Azide free (AB236437)
  • IHC-P

Supplier Data

Immunohistochemistry (Formalin/PFA-fixed paraffin-embedded sections) - Anti-Caveolin-1 antibody [SP43] - BSA and Azide free (AB236437)

Formalin-fixed, paraffin-embedded human skeletal muscle tissue stained for Caveolin-1 using ab227636 at 1/50 dilution in immunohistochemical analysis.

This data was developed using the same antibody clone in a different buffer formulation containing PBS, BSA, glycerol, and sodium azide (ab227636).

Immunohistochemistry (Formalin/PFA-fixed paraffin-embedded sections) - Anti-Caveolin-1 antibody [SP43] - BSA and Azide free (AB236437)
  • IHC-P

Supplier Data

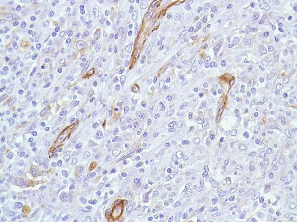
Immunohistochemistry (Formalin/PFA-fixed paraffin-embedded sections) - Anti-Caveolin-1 antibody [SP43] - BSA and Azide free (AB236437)

Formalin-fixed, paraffin-embedded human lung carcinoma tissue stained for Caveolin-1 using ab227636 at 1/50 dilution in immunohistochemical analysis.

This data was developed using the same antibody clone in a different buffer formulation containing PBS, BSA, glycerol, and sodium azide (ab227636).

Immunohistochemistry (Formalin/PFA-fixed paraffin-embedded sections) - Anti-Caveolin-1 antibody [SP43] - BSA and Azide free (AB236437)
  • IHC-P

Unknown

Immunohistochemistry (Formalin/PFA-fixed paraffin-embedded sections) - Anti-Caveolin-1 antibody [SP43] - BSA and Azide free (AB236437)

Formalin-fixed, paraffin-embedded human HK lymphoma tissue stained for Caveolin-1 using ab227636 at 1/50 dilution in immunohistochemical analysis.

This data was developed using the same antibody clone in a different buffer formulation containing PBS, BSA, glycerol, and sodium azide (ab227636).

Immunohistochemistry (Formalin/PFA-fixed paraffin-embedded sections) - Anti-Caveolin-1 antibody [SP43] - BSA and Azide free (AB236437)
  • IHC-P

Unknown

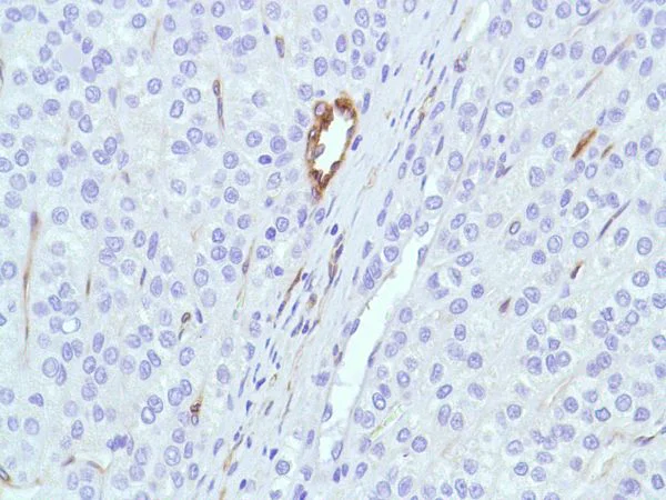
Immunohistochemistry (Formalin/PFA-fixed paraffin-embedded sections) - Anti-Caveolin-1 antibody [SP43] - BSA and Azide free (AB236437)

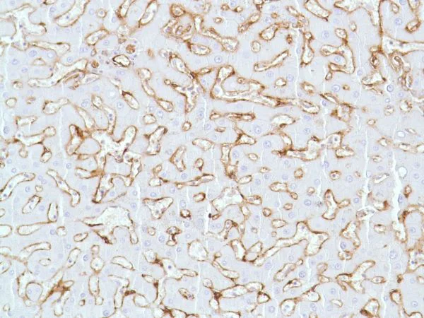
Formalin-fixed, paraffin-embedded human liver hepatocellular carcinoma tissue stained for Caveolin-1 using ab227636 at 1/50 dilution in immunohistochemical analysis.

This data was developed using the same antibody clone in a different buffer formulation containing PBS, BSA, glycerol, and sodium azide (ab227636).

Immunohistochemistry (Formalin/PFA-fixed paraffin-embedded sections) - Anti-Caveolin-1 antibody [SP43] - BSA and Azide free (AB236437)
  • IHC-P

Supplier Data

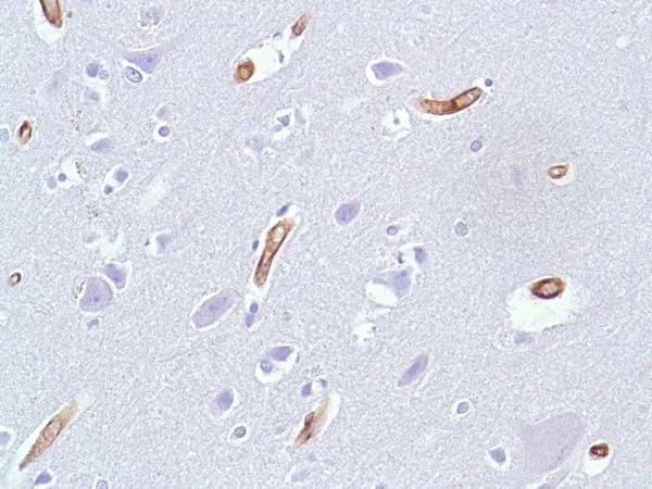
Immunohistochemistry (Formalin/PFA-fixed paraffin-embedded sections) - Anti-Caveolin-1 antibody [SP43] - BSA and Azide free (AB236437)

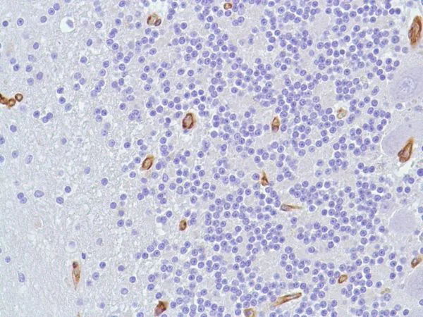
Formalin-fixed, paraffin-embedded human cerebral cortex tissue stained for Caveolin-1 using ab227636 at 1/50 dilution in immunohistochemical analysis.

This data was developed using the same antibody clone in a different buffer formulation containing PBS, BSA, glycerol, and sodium azide (ab227636).

Immunohistochemistry (Formalin/PFA-fixed paraffin-embedded sections) - Anti-Caveolin-1 antibody [SP43] - BSA and Azide free (AB236437)
  • IHC-P

Supplier Data

Immunohistochemistry (Formalin/PFA-fixed paraffin-embedded sections) - Anti-Caveolin-1 antibody [SP43] - BSA and Azide free (AB236437)

Formalin-fixed, paraffin-embedded human cerebellum tissue stained for Caveolin-1 using ab227636 at 1/50 dilution in immunohistochemical analysis.

This data was developed using the same antibody clone in a different buffer formulation containing PBS, BSA, glycerol, and sodium azide (ab227636).

Immunohistochemistry (Formalin/PFA-fixed paraffin-embedded sections) - Anti-Caveolin-1 antibody [SP43] - BSA and Azide free (AB236437)
  • IHC-P

Supplier Data

Immunohistochemistry (Formalin/PFA-fixed paraffin-embedded sections) - Anti-Caveolin-1 antibody [SP43] - BSA and Azide free (AB236437)

Formalin-fixed, paraffin-embedded human liver tissue stained for Caveolin-1 using ab227636 at 1/50 dilution in immunohistochemical analysis.

This data was developed using the same antibody clone in a different buffer formulation containing PBS, BSA, glycerol, and sodium azide (ab227636).

Immunohistochemistry (Formalin/PFA-fixed paraffin-embedded sections) - Anti-Caveolin-1 antibody [SP43] - BSA and Azide free (AB236437)
  • IHC-P

Unknown

Immunohistochemistry (Formalin/PFA-fixed paraffin-embedded sections) - Anti-Caveolin-1 antibody [SP43] - BSA and Azide free (AB236437)

Formalin-fixed, paraffin-embedded human lung tissue stained for Caveolin-1 using ab227636 at 1/50 dilution in immunohistochemical analysis.

This data was developed using the same antibody clone in a different buffer formulation containing PBS, BSA, glycerol, and sodium azide (ab227636).

Western blot - Anti-Caveolin-1 antibody [SP43] - BSA and Azide free (AB236437)
  • WB

Lab

Western blot - Anti-Caveolin-1 antibody [SP43] - BSA and Azide free (AB236437)

This data was developed using the same antibody clone in a different buffer formulation (ab227636)

ab236437 was shown to react with CAV1 in wild-type U-87 MG cells in Western blot with loss of signal observed in CAV1 knockout cell line ab306811. Wild-type U-87 MG and CAV1 knockout cell lysates were subjected to SDS-PAGE. Membranes were blocked in 5% milk in TBST for 1 hr before incubation with ab227636 overnight at 4 °C at a 1/500 dilution. Blots were incubated with secondary antibodies at 0.2 µg/mL before imaging.

This data was provided by YCharOS Inc., an open science company with the mission of characterizing commercially available antibody reagents for all human proteins. Abcam and YCharOS are working together to help address the reproducibility crisis by enabling the life science community to better evaluate commercially available antibodies.

All lanes:

Western blot - Anti-Caveolin-1 antibody [SP43] - C-terminal - Caveolae Marker (<a href='/en-us/products/primary-antibodies/caveolin-1-antibody-sp43-c-terminal-caveolae-marker-ab227636'>ab227636</a>) at 1/500 dilution

Lane 1:

Wild-type U-87 MG lysate at 20 µg

Lane 2:

CAV1 knock-out U-87 MG lysate at 20 µg

Lane 2:

Western blot - Human CAV1 knockout U-87 MG cell line (ab306811)

Observed band size: 20-22 kDa

false

  • Unconjugated

    Anti-Caveolin-1 antibody [SP43] - C-terminal - Caveolae Marker

Key facts

Host species

Rabbit

Clonality

Monoclonal

Clone number

SP43

Isotype

IgG

Carrier free

Yes

Reacts with

Human

Applications

WB, IHC-P

applications

Immunogen

The exact immunogen used to generate this antibody is proprietary information.

Reactivity data

{ "title": "Reactivity Data", "filters": { "stats": ["", "Species", "Dilution Info", "Notes"], "tabs": { "all-applications": {"fullname" : "All Applications", "shortname": "All Applications"}, "IHCP" : {"fullname" : "Immunohistochemistry (Formalin/PFA-fixed paraffin-embedded sections)", "shortname":"IHC-P"}, "WB" : {"fullname" : "Western blot", "shortname":"WB"} }, "product-promise": { "all": "all", "testedAndGuaranteed": "tested", "guaranteed": "expected", "predicted": "predicted", "notRecommended": "not-recommended" } }, "values": { "Human": { "IHCP-species-checked": "testedAndGuaranteed", "IHCP-species-dilution-info": "", "IHCP-species-notes": "<p>Primary antibody incubation for 30 minutes at room temperature.</p> Perform heat-mediated antigen retrieval with citrate buffer pH 6 before commencing with IHC staining protocol.", "WB-species-checked": "testedAndGuaranteed", "WB-species-dilution-info": "", "WB-species-notes": "<p></p>" }, "Mouse": { "IHCP-species-checked": "predicted", "IHCP-species-dilution-info": "", "IHCP-species-notes": "", "WB-species-checked": "predicted", "WB-species-dilution-info": "", "WB-species-notes": "" }, "Cow": { "IHCP-species-checked": "predicted", "IHCP-species-dilution-info": "", "IHCP-species-notes": "", "WB-species-checked": "predicted", "WB-species-dilution-info": "", "WB-species-notes": "" }, "Dog": { "IHCP-species-checked": "predicted", "IHCP-species-dilution-info": "", "IHCP-species-notes": "", "WB-species-checked": "predicted", "WB-species-dilution-info": "", "WB-species-notes": "" }, "Pig": { "IHCP-species-checked": "predicted", "IHCP-species-dilution-info": "", "IHCP-species-notes": "", "WB-species-checked": "predicted", "WB-species-dilution-info": "", "WB-species-notes": "" }, "Rabbit": { "IHCP-species-checked": "predicted", "IHCP-species-dilution-info": "", "IHCP-species-notes": "", "WB-species-checked": "predicted", "WB-species-dilution-info": "", "WB-species-notes": "" } } }

Product details

ab236437 is the carrier-free version of ab227636.

What are the advantages of a recombinant monoclonal antibody?
This product is a recombinant monoclonal antibody, which offers several advantages including:

  • - High batch-to-batch consistency and reproducibility
  • - Improved sensitivity and specificity
  • - Long-term security of supply
  • - Animal-free batch production

For more information, read more on recombinant antibodies.

Conjugation ready
Our carrier-free antibodies are typically supplied in a PBS-only formulation, purified and free of BSA, sodium azide and glycerol. This conjugation-ready format is designed for use with fluorochromes, metal isotopes, oligonucleotides, and enzymes, which makes them ideal for antibody labelling, functional and cell-based assays, flow-based assays (e.g. mass cytometry) and Multiplex Imaging applications.

Use our conjugation kits for antibody conjugates that are ready-to-use in as little as 20 minutes with 1 minute hands-on-time and 100% antibody recovery: available for fluorescent dyes, HRP, biotin and gold.

Compatibility
This product is compatible with the Maxpar® Antibody Labeling Kit from Fluidigm, without the need for antibody preparation. Maxpar® is a trademark of Fluidigm Canada Inc.

Properties and storage information

Form
Liquid
Purification technique
Affinity purification Protein A/G
Purification notes
Purified from TCS by protein A/G.
Storage buffer
pH: 7.2 - 7.4 Constituents: PBS
Shipped at conditions
Blue Ice
Appropriate short-term storage conditions
+4°C
Appropriate long-term storage conditions
+4°C
Storage information
Do Not Freeze

Supplementary information

This supplementary information is collated from multiple sources and compiled automatically.

Caveolin-1 also known as Cav-1 is an integral membrane protein with a molecular weight of approximately 22 kDa. It functions mechanically as a scaffolding protein in caveolae which are tiny invaginations in the plasma membrane of many cell types. These structures are particularly abundant in adipocytes endothelial cells and muscle cells. Caveolin-1 anchors itself to the cell membrane and plays a role in organizing and concentrating certain signaling molecules.
Biological function summary

Caveolae provide a platform for various signaling pathways and involve caveolin-1 as a major component. Caveolin-1 interacts with multiple signaling molecules such as G-protein coupled receptors and Src family kinases to modulate signal transduction. This protein forms part of a larger caveolar complex contributing to cellular processes including endocytosis and lipid regulation. Its presence as a marker in caveolae highlights its significance in cellular functions.

Pathways

Caveolin-1 influences the insulin signaling and nitric oxide (NO) signaling pathways. In the insulin signaling pathway caveolin-1 interacts with insulin receptors to modulate glucose uptake. It also associates with eNOS (endothelial nitric oxide synthase) in the NO signaling pathway impacting vascular function. These relationships highlight its role in cellular communication and regulatory mechanisms within the human body.

Caveolin-1 is involved in cancer and cardiovascular diseases. In cancer altered expression of caveolin-1 contributes to tumor progression while in cardiovascular diseases it affects endothelial function through its interaction with eNOS. The connection of caveolin-1 to proteins like insulin receptors and eNOS reveals its critical influence in these conditions providing potential targets for therapeutic intervention.

Product protocols

For this product, it's our understanding that no specific protocols are required. You can visit:

Target data

May act as a scaffolding protein within caveolar membranes (PubMed : 11751885). Forms a stable heterooligomeric complex with CAV2 that targets to lipid rafts and drives caveolae formation. Mediates the recruitment of CAVIN proteins (CAVIN1/2/3/4) to the caveolae (PubMed : 19262564). Interacts directly with G-protein alpha subunits and can functionally regulate their activity (By similarity). Involved in the costimulatory signal essential for T-cell receptor (TCR)-mediated T-cell activation. Its binding to DPP4 induces T-cell proliferation and NF-kappa-B activation in a T-cell receptor/CD3-dependent manner (PubMed : 17287217). Recruits CTNNB1 to caveolar membranes and may regulate CTNNB1-mediated signaling through the Wnt pathway (By similarity). Negatively regulates TGFB1-mediated activation of SMAD2/3 by mediating the internalization of TGFBR1 from membrane rafts leading to its subsequent degradation (PubMed : 25893292). Binds 20(S)-hydroxycholesterol (20(S)-OHC) (By similarity).
See full target information CAV1

Publications (1)

Recent publications for all applications. Explore the full list and refine your search

Cancer immunology, immunotherapy : CII 74:107 PubMed39932546

2025

Distinct maturity and spatial distribution of tertiary lymphoid structures in head and neck squamous cell carcinoma: implications for tumor immunity and clinical outcomes.

Applications

Unspecified application

Species

Unspecified reactive species

Shuai Xu,Chao Han,Jian Zhou,Di Yang,Hui Dong,Yiwei Zhang,Tingting Zhao,Yi Tian,Yuzhang Wu
View all publications

Product promise

We are committed to supporting your work with high-quality reagents, and we're here for you every step of the way. In the unlikely event that one of our products does not perform as expected, you're protected by our Product Promise.
For full details, please see our Terms & Conditions

Please note: All products are 'FOR RESEARCH USE ONLY. NOT FOR USE IN DIAGNOSTIC OR THERAPEUTIC PROCEDURES'.

For licensing inquiries, please contact partnerships@abcam.com