JavaScript is disabled in your browser. Please enable JavaScript to view this website.
AB325394

Anti-Caveolin-1 (phospho Y14) antibody [EPR28081-353]

  • RabMAb
  • Recombinant
  • 20ul selling size
  • KO Validated
  • What is this?

Be the first to review this product! Submit a review

|

(0 Publication)

Rabbit Recombinant Monoclonal Caveolin-1 phospho Y14 antibody. Suitable for Dot, IP, WB and reacts with Synthetic peptide - Human, Mouse, Human samples.

View Alternative Names

Cav, Caveolin-1

5 Images
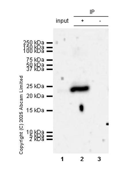
Immunoprecipitation - Anti-Caveolin-1 (phospho Y14) antibody [EPR28081-353] (AB325394)
  • IP

Supplier Data

Immunoprecipitation - Anti-Caveolin-1 (phospho Y14) antibody [EPR28081-353] (AB325394)

Caveolin-1 (phospho Y14) was immunoprecipitated from 0.35 mg EA.hy926 treated with 5mM H2O2 for 5 min whole cell lysate with ab325394 at 1/30 dilution (2ug in 0.35mg lysates). Western blot was performed on the immunoprecipitate using ab325394 at 1000 dilution.

Blocking and dilution buffer and concentration : 5% NFDM/TBST

All lanes:

Immunoprecipitation - Anti-Caveolin-1 (phospho Y14) antibody [EPR28081-353] (ab325394) at 1/30 dilution

Lanes 1 - 2:

EA.hy926 treated with 5mM H2O2 for 5 min whole cell lysate at 5 µg

Lane 3:

Rabbit monoclonal IgG (<a href='/en-us/products/primary-antibodies/rabbit-igg-monoclonal-epr25a-isotype-control-ab172730'>ab172730</a>) instead of ab325394 in EA.hy926 treated with 5mM H2O2 for 5 min whole cell lysate

Secondary

All lanes:

Immunoprecipitation - VeriBlot for IP Detection Reagent (HRP) (<a href='/en-us/products/reagents/veriblot-for-ip-detection-reagent-hrp-ab131366'>ab131366</a>) at 1/5000 dilution

Observed band size: 20 kDa

false

Exposure time: 137s

Immunoprecipitation - Anti-Caveolin-1 (phospho Y14) antibody [EPR28081-353] (AB325394)
  • IP

Supplier Data

Immunoprecipitation - Anti-Caveolin-1 (phospho Y14) antibody [EPR28081-353] (AB325394)

Caveolin-1 (phospho Y14) was immunoprecipitated from 0.35 mg NIH/3T3 treated with 5mM H2O2 for 5 min whole cell lysate with ab325394 at 1/30 dilution (2ug in 0.35mg lysates). Western blot was performed on the immunoprecipitate using ab325394 at 1000 dilution.

Blocking and dilution buffer and concentration : 5% NFDM/TBST

All lanes:

Immunoprecipitation - Anti-Caveolin-1 (phospho Y14) antibody [EPR28081-353] (ab325394) at 1/30 dilution

Lanes 1 - 2:

NIH/3T3 treated with 5mM H2O2 for 5 min whole cell lysate at 5 µg

Lane 3:

Rabbit monoclonal IgG (<a href='/en-us/products/primary-antibodies/rabbit-igg-monoclonal-epr25a-isotype-control-ab172730'>ab172730</a>) instead of ab325394 in NIH/3T3 treated with 5mM H2O2 for 5 min whole cell lysate

Secondary

All lanes:

Immunoprecipitation - VeriBlot for IP Detection Reagent (HRP) (<a href='/en-us/products/reagents/veriblot-for-ip-detection-reagent-hrp-ab131366'>ab131366</a>) at 1/5000 dilution

Observed band size: 20 kDa

false

Exposure time: 24s

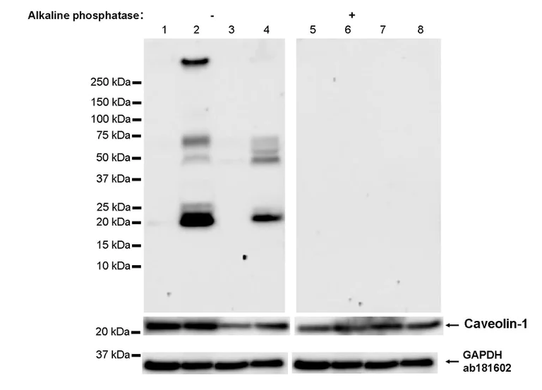
Western blot - Anti-Caveolin-1 (phospho Y14) antibody [EPR28081-353] (AB325394)
  • WB

Supplier Data

Western blot - Anti-Caveolin-1 (phospho Y14) antibody [EPR28081-353] (AB325394)

Blocking and diluting buffer and concentration : 5% NFDM/TBST.

The molecular weight of Caveolin-1 (phospho Y14) is upshifted in response to H2O2 treatment (PMID : 12531427).

The up-regulation of Caveolin-1 (phospho Y14) is induced by H2O2 treatment (PMID : 12531427).

In Western blot, Anti-GAPDH antibody [EPR16891] - Loading Control (ab181602) staining at 1/200000 dilution.

In Western blot, Anti-Caveolin-1 antibody staining at 1/1000 dilution.

All lanes:

Western blot - Anti-Caveolin-1 (phospho Y14) antibody [EPR28081-353] (ab325394) at 1/1000 dilution

Lane 1:

Untreated EA.hy926 (human somatic cell hybrid endothelial cell) whole cell lysate (untreated membrane) at 20 µg

Lane 2:

EA.hy926 treated with 5mM H2O2 for 5 min whole cell lysate (untreated membrane) at 20 µg

Lane 3:

Untreated NIH/3T3 (mouse embryonic fibroblast) whole cell lysate (untreated membrane) at 20 µg

Lane 4:

NIH/3T3 treated with 5mM H2O2 for 5 min whole cell lysate (untreated membrane) at 20 µg

Lane 5:

Untreated EA.hy926 (human somatic cell hybrid endothelial cell) whole cell lysate (alkaline phosphatase treated membrane) at 20 µg

Lane 6:

EA.hy926 treated with 5mM H2O2 for 5 min whole cell lysate (alkaline phosphatase treated membrane) at 20 µg

Lane 7:

Untreated NIH/3T3 (mouse embryonic fibroblast) whole cell lysate (alkaline phosphatase treated membrane) at 20 µg

Lane 8:

NIH/3T3 treated with 5mM H2O2 for 5 min whole cell lysate (alkaline phosphatase treated membrane) at 20 µg

Secondary

All lanes:

Western blot - Goat Anti-Rabbit IgG H&L (HRP) (<a href='/en-us/products/secondary-antibodies/goat-rabbit-igg-h-l-hrp-ab97051'>ab97051</a>) at 1/20000 dilution

Observed band size: 20 kDa,36 kDa

false

Exposure time: 180s

Western blot - Anti-Caveolin-1 (phospho Y14) antibody [EPR28081-353] (AB325394)
  • WB

Supplier Data

Western blot - Anti-Caveolin-1 (phospho Y14) antibody [EPR28081-353] (AB325394)

Blocking and diluting buffer and concentration : 5% NFDM/TBST.

Performed under reducing conditions.

In Western blot, ab325394 was shown to bind specifically to Caveolin-1 (phospho Y14). Target of interest was observed at 20 kDa in wild-type HeLa treated with 5mM H2O2 for 5 min lysates (lane 2) with no signal observed at this size in CAV1 knockout cell line (lanes 3-4) (lanes 3-4, knockout cell line ab255371, knockout cell lysate ab263806).

In Western blot, Anti-GAPDH antibody [EPR16891] - Loading Control (ab181602) staining at 1/200000 dilution.

In Western blot, Anti-Caveolin-1 antibody staining at 1/1000 dilution.

All lanes:

Western blot - Anti-Caveolin-1 (phospho Y14) antibody [EPR28081-353] (ab325394) at 1/1000 dilution

Lane 1:

Untreated Wilde-type HeLa (human cervical adenocarcinoma epithelial cell) whole cell lysate (untreated membrane) at 80 µg

Lane 2:

Wild-type HeLa treated with 5mM H2O2 for 5 min whole cell lysate (untreated membrane) at 80 µg

Lane 3:

Untreated CAV1 knockout HeLa whole cell lysate (untreated membrane) at 80 µg

Lane 4:

CAV1 knockout HeLa treated with 5mM H2O2 for 5 min whole cell lysate (untreated membrane) at 80 µg

Lane 5:

Untreated Wilde-type HeLa (human cervical adenocarcinoma epithelial cell) whole cell lysate (alkaline phosphatase treated membrane) at 80 µg

Lane 6:

Wild-type HeLa treated with 5mM H2O2 for 5 min whole cell lysate (alkaline phosphatase treated membrane) at 80 µg

Lane 7:

Untreated CAV1 knockout HeLa whole cell lysate (alkaline phosphatase treated membrane) at 80 µg

Lane 8:

CAV1 knockout HeLa treated with 5mM H2O2 for 5 min whole cell lysate (alkaline phosphatase treated membrane) at 80 µg

Secondary

All lanes:

Western blot - Goat Anti-Rabbit IgG H&L (HRP) (<a href='/en-us/products/secondary-antibodies/goat-rabbit-igg-h-l-hrp-ab97051'>ab97051</a>) at 1/20000 dilution

Observed band size: 20 kDa,36 kDa

false

Exposure time: 180s

Dot Blot - Anti-Caveolin-1 (phospho Y14) antibody [EPR28081-353] (AB325394)
  • Dot

Supplier Data

Dot Blot - Anti-Caveolin-1 (phospho Y14) antibody [EPR28081-353] (AB325394)

Dot blot analysis of Caveolin-1 (phospho Y14) using ab325394 at 1000 (0.514 ug/ml) followed by a Goat Anti-Rabbit IgG, (H+L), Peroxidase conjugated (ab97051) at 1 : 100,000 dilution.

Lane1 : Caveolin-1 (phospho Y14) peptide a
Lane2 : Caveolin-1 non-phospho peptide b

Exposure time : 180 seconds.

Blocking and diluting buffer and concentration : 5% NFDM/TBST.

All lanes:

Dot Blot - Anti-Caveolin-1 (phospho Y14) antibody [EPR28081-353] (ab325394) at 1/1000 dilution

Lane 1:

Caveolin-1 (phospho Y14) peptide

Lane 2:

Caveolin-1 non-phospho peptide

Secondary

All lanes:

Dot Blot - Goat Anti-Rabbit IgG H&L (HRP) (<a href='/en-us/products/secondary-antibodies/goat-rabbit-igg-h-l-hrp-ab97051'>ab97051</a>) at 1/100000 dilution

false

Exposure time: 180s

Key facts

Host species

Rabbit

Clonality

Monoclonal

Clone number

EPR28081-353

Isotype

IgG

Carrier free

No

Reacts with

Mouse, Human

Applications

WB, Dot, IP

applications

Immunogen

The exact immunogen used to generate this antibody is proprietary information.

Reactivity data

{ "title": "Reactivity Data", "filters": { "stats": ["", "Species", "Dilution Info", "Notes"], "tabs": { "all-applications": {"fullname" : "All Applications", "shortname": "All Applications"}, "Dot" : {"fullname" : "Dot Blot", "shortname":"Dot"}, "IP" : {"fullname" : "Immunoprecipitation", "shortname":"IP"}, "WB" : {"fullname" : "Western blot", "shortname":"WB"}, "IHCFr" : {"fullname" : "Immunohistochemistry (Frozen sections)", "shortname":"IHC-Fr"}, "ICCIF" : {"fullname" : "Immunocytochemistry/ Immunofluorescence", "shortname":"ICC/IF"}, "IHCP" : {"fullname" : "Immunohistochemistry (Formalin/PFA-fixed paraffin-embedded sections)", "shortname":"IHC-P"} }, "product-promise": { "all": "all", "testedAndGuaranteed": "tested", "guaranteed": "expected", "predicted": "predicted", "notRecommended": "not-recommended" } }, "values": { "Human": { "Dot-species-checked": "guaranteed", "Dot-species-dilution-info": "", "Dot-species-notes": "", "IP-species-checked": "testedAndGuaranteed", "IP-species-dilution-info": "1/30", "IP-species-notes": "<p></p>", "WB-species-checked": "testedAndGuaranteed", "WB-species-dilution-info": "1/1000", "WB-species-notes": "<p></p>", "IHCFr-species-checked": "notRecommended", "IHCFr-species-dilution-info": "", "IHCFr-species-notes": "", "ICCIF-species-checked": "notRecommended", "ICCIF-species-dilution-info": "", "ICCIF-species-notes": "<p></p>", "IHCP-species-checked": "notRecommended", "IHCP-species-dilution-info": "", "IHCP-species-notes": "<p></p>" }, "Mouse": { "Dot-species-checked": "guaranteed", "Dot-species-dilution-info": "", "Dot-species-notes": "", "IP-species-checked": "testedAndGuaranteed", "IP-species-dilution-info": "1/30", "IP-species-notes": "<p></p>", "WB-species-checked": "testedAndGuaranteed", "WB-species-dilution-info": "1/1000", "WB-species-notes": "<p></p>", "IHCFr-species-checked": "notRecommended", "IHCFr-species-dilution-info": "", "IHCFr-species-notes": "<p></p>", "ICCIF-species-checked": "notRecommended", "ICCIF-species-dilution-info": "", "ICCIF-species-notes": "<p></p>", "IHCP-species-checked": "notRecommended", "IHCP-species-dilution-info": "", "IHCP-species-notes": "<p></p>" }, "Synthetic peptide - Human": { "Dot-species-checked": "testedAndGuaranteed", "Dot-species-dilution-info": "1/1000", "Dot-species-notes": "<p></p>", "IP-species-checked": "notRecommended", "IP-species-dilution-info": "", "IP-species-notes": "", "WB-species-checked": "notRecommended", "WB-species-dilution-info": "", "WB-species-notes": "", "IHCFr-species-checked": "notRecommended", "IHCFr-species-dilution-info": "", "IHCFr-species-notes": "", "ICCIF-species-checked": "notRecommended", "ICCIF-species-dilution-info": "", "ICCIF-species-notes": "", "IHCP-species-checked": "notRecommended", "IHCP-species-dilution-info": "", "IHCP-species-notes": "" } } }

Product details

Patented technology
Our RabMAb® technology is a patented hybridoma-based technology for making rabbit monoclonal antibodies. For details on our patents, please refer to RabMAb® patents.

What are the advantages of a recombinant monoclonal antibody?
This product is a recombinant monoclonal antibody, which offers several advantages including:

  • - High batch-to-batch consistency and reproducibility
  • - Improved sensitivity and specificity
  • - Long-term security of supply
  • - Animal-free batch production

For more information, read more on recombinant antibodies.

Properties and storage information

Form
Liquid
Purification technique
Affinity purification Protein A
Storage buffer
pH: 7.2 - 7.4 Preservative: 0.01% Sodium azide Constituents: PBS, 40% Glycerol (glycerin, glycerine), 0.05% BSA
Shipped at conditions
Blue Ice
Appropriate short-term storage duration
1-2 weeks
Appropriate short-term storage conditions
+4°C
Appropriate long-term storage conditions
-20°C
Aliquoting information
Upon delivery aliquot
Storage information
Avoid freeze / thaw cycle

Product protocols

For this product, it's our understanding that no specific protocols are required. You can visit:

Target data

May act as a scaffolding protein within caveolar membranes (By similarity). Forms a stable heterooligomeric complex with CAV2 that targets to lipid rafts and drives caveolae formation. Mediates the recruitment of CAVIN proteins (CAVIN1/2/3/4) to the caveolae (PubMed : 19546242). Interacts directly with G-protein alpha subunits and can functionally regulate their activity (By similarity). Involved in the costimulatory signal essential for T-cell receptor (TCR)-mediated T-cell activation. Its binding to DPP4 induces T-cell proliferation and NF-kappa-B activation in a T-cell receptor/CD3-dependent manner (By similarity). Recruits CTNNB1 to caveolar membranes and may regulate CTNNB1-mediated signaling through the Wnt pathway (PubMed : 10816572). Negatively regulates TGFB1-mediated activation of SMAD2/3 by mediating the internalization of TGFBR1 from membrane rafts leading to its subsequent degradation (By similarity). Binds 20(S)-hydroxycholesterol (20(S)-OHC) (PubMed : 34799735).
See full target information Cav1 phospho Y14

Product promise

We are committed to supporting your work with high-quality reagents, and we're here for you every step of the way. In the unlikely event that one of our products does not perform as expected, you're protected by our Product Promise.
For full details, please see our Terms & Conditions

Please note: All products are 'FOR RESEARCH USE ONLY. NOT FOR USE IN DIAGNOSTIC OR THERAPEUTIC PROCEDURES'.

For licensing inquiries, please contact partnerships@abcam.com