JavaScript is disabled in your browser. Please enable JavaScript to view this website.
AB171752

Anti-Caveolin-3 antibody [EPR11083] - Caveolae Marker

Be the first to review this product! Submit a review

|

(1 Publication)

Rabbit Recombinant Monoclonal Caveolin-3 antibody. Suitable for IP, WB, IHC-P and reacts with Human, Mouse, Rat samples. Cited in 1 publication.

View Alternative Names

Caveolin-3, M-caveolin, CAV3

7 Images
Immunohistochemistry (Formalin/PFA-fixed paraffin-embedded sections) - Anti-Caveolin-3 antibody [EPR11083] - Caveolae Marker (AB171752)
  • IHC-P

Supplier Data

Immunohistochemistry (Formalin/PFA-fixed paraffin-embedded sections) - Anti-Caveolin-3 antibody [EPR11083] - Caveolae Marker (AB171752)

Immunohistochemical analysis of paraffin-embedded Human skeletal muscle tissue labeling Caveolin-3 with ab171752 at 1/4000 dilution (0.131 μg/ml) followed by a ready to use Rabbit specific IHC polymer detection kit HRP/DAB (ab209101). Membranous staining on human skeletal muscle (PMID : 11431690). The section was incubated with ab171752 for 30 mins at RT. The immunostaining was performed on a Leica Biosystems BOND® RX instrument. Counterstained with Hematoxylin. Heat mediated antigen retrieval with Tris-EDTA buffer (pH 9.0 epitope retrieval solution 2) for 20 mins. Secondary antibody only control : Used PBS instead of primary antibody secondary antibody is a ready to use Rabbit specific IHC polymer detection kit HRP/DAB (ab209101).

Immunohistochemistry (Formalin/PFA-fixed paraffin-embedded sections) - Anti-Caveolin-3 antibody [EPR11083] - Caveolae Marker (AB171752)
  • IHC-P

Supplier Data

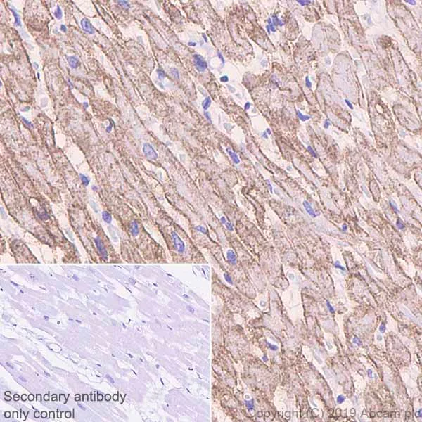
Immunohistochemistry (Formalin/PFA-fixed paraffin-embedded sections) - Anti-Caveolin-3 antibody [EPR11083] - Caveolae Marker (AB171752)

Immunohistochemical analysis of paraffin-embedded Human cardiac muscle tissue labeling Caveolin-3 with ab171752 at 1/4000 dilution (0.131 μg/ml) followed by a ready to use Rabbit specific IHC polymer detection kit HRP/DAB (ab209101). Membranous and weak cytoplasmic staining on human cardiac muscle (PMID : 28356340). The section was incubated with ab171752 for 30 mins at RT. The immunostaining was performed on a Leica Biosystems BOND® RX instrument. Counterstained with Hematoxylin. Heat mediated antigen retrieval with Tris-EDTA buffer (pH 9.0 epitope retrieval solution 2) for 20 mins. Secondary antibody only control : Used PBS instead of primary antibody secondary antibody is a ready to use Rabbit specific IHC polymer detection kit HRP/DAB (ab209101).

Immunoprecipitation - Anti-Caveolin-3 antibody [EPR11083] - Caveolae Marker (AB171752)
  • IP

Supplier Data

Immunoprecipitation - Anti-Caveolin-3 antibody [EPR11083] - Caveolae Marker (AB171752)

Western blot analysis on immunoprecipitation pellet from Human fetal heart lysate labeling Caveolin 3 using ab171752 at 1/10 dilution.

All lanes:

Immunoprecipitation - Anti-Caveolin-3 antibody [EPR11083] - Caveolae Marker (ab171752)

Predicted band size: 17 kDa

false

Immunohistochemistry (Formalin/PFA-fixed paraffin-embedded sections) - Anti-Caveolin-3 antibody [EPR11083] - Caveolae Marker (AB171752)
  • IHC-P

Supplier Data

Immunohistochemistry (Formalin/PFA-fixed paraffin-embedded sections) - Anti-Caveolin-3 antibody [EPR11083] - Caveolae Marker (AB171752)

Immunohistochemical analysis of paraffin-embedded Mouse skeletal muscle tissue labeling Caveolin-3 with ab171752 at 1/4000 dilution (0.131 μg/ml) followed by a ready to use Rabbit specific IHC polymer detection kit HRP/DAB (ab209101). Membranous and weak cytoplasmic staining on mouse skeletal muscle (PMID : 11431690). The section was incubated with ab171752 for 30 mins at RT. The immunostaining was performed on a Leica Biosystems BOND® RX instrument. Counterstained with Hematoxylin. Heat mediated antigen retrieval with Tris-EDTA buffer (pH 9.0 epitope retrieval solution 2) for 20 mins. Secondary antibody only control : Used PBS instead of primary antibody secondary antibody is a ready to use Rabbit specific IHC polymer detection kit HRP/DAB (ab209101).

Immunohistochemistry (Formalin/PFA-fixed paraffin-embedded sections) - Anti-Caveolin-3 antibody [EPR11083] - Caveolae Marker (AB171752)
  • IHC-P

Supplier Data

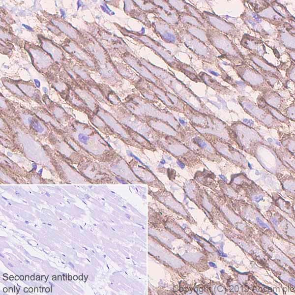
Immunohistochemistry (Formalin/PFA-fixed paraffin-embedded sections) - Anti-Caveolin-3 antibody [EPR11083] - Caveolae Marker (AB171752)

Immunohistochemical analysis of paraffin-embedded Rat cardiac muscle tissue labeling Caveolin-3 with ab171752 at 1/4000 dilution (0.131 μg/ml) followed by a ready to use Rabbit specific IHC polymer detection kit HRP/DAB (ab209101). Membranous and weak cytoplasmic staining on rat cardiac muscle (PMID : 28356340). The section was incubated with ab171752 for 30 mins at RT. The immunostaining was performed on a Leica Biosystems BOND® RX instrument. Counterstained with Hematoxylin. Heat mediated antigen retrieval with Tris-EDTA buffer (pH 9.0 epitope retrieval solution 2) for 20 mins. Secondary antibody only control : Used PBS instead of primary antibody secondary antibody is a ready to use Rabbit specific IHC polymer detection kit HRP/DAB (ab209101).

Immunohistochemistry (Formalin/PFA-fixed paraffin-embedded sections) - Anti-Caveolin-3 antibody [EPR11083] - Caveolae Marker (AB171752)
  • IHC-P

Supplier Data

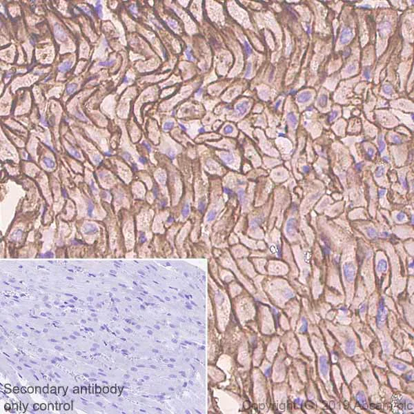
Immunohistochemistry (Formalin/PFA-fixed paraffin-embedded sections) - Anti-Caveolin-3 antibody [EPR11083] - Caveolae Marker (AB171752)

Immunohistochemical analysis of paraffin-embedded Mouse cardiac muscle tissue labeling Caveolin-3 with ab171752 at 1/4000 dilution (0.131 μg/ml) followed by a ready to use Rabbit specific IHC polymer detection kit HRP/DAB (ab209101). Membranous and cytoplasmic staining on mouse cardiac muscle (PMID : 28356340). The section was incubated with ab171752 for 30 mins at RT. The immunostaining was performed on a Leica Biosystems BOND® RX instrument. Counterstained with Hematoxylin. Heat mediated antigen retrieval with Tris-EDTA buffer (pH 9.0 epitope retrieval solution 2) for 20 mins. Secondary antibody only control : Used PBS instead of primary antibody secondary antibody is a ready to use Rabbit specific IHC polymer detection kit HRP/DAB (ab209101).

Western blot - Anti-Caveolin-3 antibody [EPR11083] - Caveolae Marker (AB171752)
  • WB

Supplier Data

Western blot - Anti-Caveolin-3 antibody [EPR11083] - Caveolae Marker (AB171752)

All lanes:

Western blot - Anti-Caveolin-3 antibody [EPR11083] - Caveolae Marker (ab171752) at 1/1000 dilution

Lane 1:

Human skeletal muscle lysate at 10 µg

Lane 2:

Human fetal heart lysate at 10 µg

Lane 3:

Mouse muscle lysate at 10 µg

Predicted band size: 17 kDa

false

  • Carrier free

    Anti-Caveolin-3 antibody [EPR11083] - BSA and Azide free

Key facts

Host species

Rabbit

Clonality

Monoclonal

Clone number

EPR11083

Isotype

IgG

Carrier free

No

Reacts with

Mouse, Rat, Human

Applications

IHC-P, WB, IP

applications

Immunogen

The exact immunogen used to generate this antibody is proprietary information.

Reactivity data

{ "title": "Reactivity Data", "filters": { "stats": ["", "Species", "Dilution Info", "Notes"], "tabs": { "all-applications": {"fullname" : "All Applications", "shortname": "All Applications"}, "IP" : {"fullname" : "Immunoprecipitation", "shortname":"IP"}, "WB" : {"fullname" : "Western blot", "shortname":"WB"}, "ICCIF" : {"fullname" : "Immunocytochemistry/ Immunofluorescence", "shortname":"ICC/IF"}, "IHCP" : {"fullname" : "Immunohistochemistry (Formalin/PFA-fixed paraffin-embedded sections)", "shortname":"IHC-P"} }, "product-promise": { "all": "all", "testedAndGuaranteed": "tested", "guaranteed": "expected", "predicted": "predicted", "notRecommended": "not-recommended" } }, "values": { "Human": { "IP-species-checked": "testedAndGuaranteed", "IP-species-dilution-info": "1/10 - 1/100", "IP-species-notes": "<p></p>", "WB-species-checked": "testedAndGuaranteed", "WB-species-dilution-info": "1/1000 - 1/10000", "WB-species-notes": "<p></p>", "ICCIF-species-checked": "notRecommended", "ICCIF-species-dilution-info": "", "ICCIF-species-notes": "<p></p>", "IHCP-species-checked": "testedAndGuaranteed", "IHCP-species-dilution-info": "1/4000", "IHCP-species-notes": "<p></p>" }, "Mouse": { "IP-species-checked": "guaranteed", "IP-species-dilution-info": "", "IP-species-notes": "", "WB-species-checked": "guaranteed", "WB-species-dilution-info": "", "WB-species-notes": "", "ICCIF-species-checked": "notRecommended", "ICCIF-species-dilution-info": "", "ICCIF-species-notes": "", "IHCP-species-checked": "testedAndGuaranteed", "IHCP-species-dilution-info": "1/4000", "IHCP-species-notes": "<p></p>" }, "Rat": { "IP-species-checked": "guaranteed", "IP-species-dilution-info": "", "IP-species-notes": "", "WB-species-checked": "guaranteed", "WB-species-dilution-info": "", "WB-species-notes": "", "ICCIF-species-checked": "notRecommended", "ICCIF-species-dilution-info": "", "ICCIF-species-notes": "", "IHCP-species-checked": "testedAndGuaranteed", "IHCP-species-dilution-info": "1/4000", "IHCP-species-notes": "<p></p>" } } }

Product details

Patented technology
Our RabMAb® technology is a patented hybridoma-based technology for making rabbit monoclonal antibodies. For details on our patents, please refer to RabMAb® patents.

What are the advantages of a recombinant monoclonal antibody?
This product is a recombinant monoclonal antibody, which offers several advantages including:

  • - High batch-to-batch consistency and reproducibility
  • - Improved sensitivity and specificity
  • - Long-term security of supply
  • - Animal-free batch production

For more information, read more on recombinant antibodies.

Properties and storage information

Form
Liquid
Purification technique
Affinity purification Protein A
Storage buffer
pH: 7.2 - 7.4 Preservative: 0.01% Sodium azide Constituents: PBS, 50% Tissue culture supernatant, 40% Glycerol (glycerin, glycerine), 0.05% BSA
Shipped at conditions
Blue Ice
Appropriate short-term storage duration
1-2 weeks
Appropriate short-term storage conditions
+4°C
Appropriate long-term storage conditions
-20°C
Aliquoting information
Upon delivery aliquot
Storage information
Avoid freeze / thaw cycle

Supplementary information

This supplementary information is collated from multiple sources and compiled automatically.

Caveolin-3 also referred to as 'caveolin' 'caveolae' and 'CAV3' is a protein with an approximate mass of 17 kDa. It acts as a structural component of caveolae small invaginations in the plasma membrane. Caveolin-3 is expressed majorly in muscle cells including cardiac skeletal and smooth muscle tissues. As a distinguishing marker for caveolae it plays an essential role in the formation and stabilization of these structures.
Biological function summary

Caveolae perform vital functions in cellular signaling and endocytosis. Caveolin-3 assists in various signaling pathways within muscle cells and interacts with other caveolae markers to facilitate signal transduction. It often forms a complex with other caveolin proteins such as caveolin-1 creating an environment conducive for the embedding of signaling molecules. This protein also modulates the trafficking and function of certain ion channels and receptors impacting muscle physiology.

Pathways

Caveolin-3 significantly influences pathways concerned with muscle function and signal transduction. In particular it involves itself with the nitric oxide (NO) signaling pathway and beta-adrenergic signaling both critical to the contractile functions of muscle tissues. It closely interacts with proteins such as endothelial nitric oxide synthase (eNOS) and components of the G-protein coupled receptor family indicating its pivotal role in mediating physiological responses to stimuli.

Caveolin-3 mutations have been associated with a range of muscle-related disorders including limb-girdle muscular dystrophy and hypertrophic cardiomyopathy. These conditions often arise due to alterations in muscle cell signaling and integrity. Caveolin-3 also shares connections with proteins like dystrophin an important player in maintaining muscle cell structure and its dysfunction can exacerbate these muscular disorders. Understanding these interactions offers insights into potential therapeutic targets for managing related pathologies.

Product protocols

For this product, it's our understanding that no specific protocols are required. You can visit:

Target data

May act as a scaffolding protein within caveolar membranes. Interacts directly with G-protein alpha subunits and can functionally regulate their activity. May also regulate voltage-gated potassium channels. Plays a role in the sarcolemma repair mechanism of both skeletal muscle and cardiomyocytes that permits rapid resealing of membranes disrupted by mechanical stress (By similarity). Mediates the recruitment of CAVIN2 and CAVIN3 proteins to the caveolae (PubMed : 19262564).
See full target information CAV3

Publications (1)

Recent publications for all applications. Explore the full list and refine your search

Clinical proteomics 22:3 PubMed39833682

2025

ARTN and CCL23 predicted chemosensitivity in acute myeloid leukemia: an Olink proteomics approach.

Applications

Unspecified application

Species

Unspecified reactive species

Ting-Shuan Wu,Tzu-Hung Hsiao,Chung-Hsing Chen,Hsin-Ni Li,Miao-Neng Hung,Pei-Pei Jhan,Jia-Rung Tsai,Chieh-Lin Jerry Teng
View all publications

Product promise

We are committed to supporting your work with high-quality reagents, and we're here for you every step of the way. In the unlikely event that one of our products does not perform as expected, you're protected by our Product Promise.
For full details, please see our Terms & Conditions

Please note: All products are 'FOR RESEARCH USE ONLY. NOT FOR USE IN DIAGNOSTIC OR THERAPEUTIC PROCEDURES'.

For licensing inquiries, please contact partnerships@abcam.com