JavaScript is disabled in your browser. Please enable JavaScript to view this website.
AB182739

Anti-Caveolin-3 antibody [EPR18975] - Caveolae Marker

Be the first to review this product! Submit a review

|

(1 Publication)

Rabbit Recombinant Monoclonal Caveolin-3 antibody. Suitable for IP, WB, IHC-P and reacts with Human samples. Cited in 1 publication.

View Alternative Names

Caveolin-3, M-caveolin, CAV3

7 Images
Immunohistochemistry (Formalin/PFA-fixed paraffin-embedded sections) - Anti-Caveolin-3 antibody [EPR18975] - Caveolae Marker (AB182739)
  • IHC-P

Supplier Data

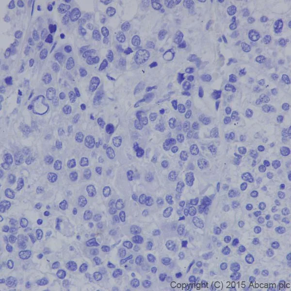
Immunohistochemistry (Formalin/PFA-fixed paraffin-embedded sections) - Anti-Caveolin-3 antibody [EPR18975] - Caveolae Marker (AB182739)

Immunohistochemical analysis of paraffin-embedded Human hepatocellular carcinoma tissue labeling Caveolin-3 with ab182739 at 1/200 dilution followed by Goat Anti-Rabbit IgG H&L (HRP) (ab97051) at 1/500 dilution. Negative on Human hepatocellular carcinoma. Counter stained with Hematoxylin.

Secondary antibody only control : Used PBS instead of primary antibody secondary antibody is Goat Anti-Rabbit IgG H&L (HRP) (ab97051) at 1/500 dilution.

Perform heat mediated antigen retrieval with Tris/EDTA buffer pH 9.0 before commencing with IHC staining protocol.

Immunohistochemistry (Formalin/PFA-fixed paraffin-embedded sections) - Anti-Caveolin-3 antibody [EPR18975] - Caveolae Marker (AB182739)
  • IHC-P

Supplier Data

Immunohistochemistry (Formalin/PFA-fixed paraffin-embedded sections) - Anti-Caveolin-3 antibody [EPR18975] - Caveolae Marker (AB182739)

Immunohistochemical analysis of paraffin-embedded Human cardiac muscle tissue labeling Caveolin-3 with ab182739 at 1/200 dilution followed by Goat Anti-Rabbit IgG H&L (HRP) (ab97051) at 1/500 dilution. Membrane staining on Human cardiac muscle was observed. Counter stained with Hematoxylin.

Secondary antibody only control : Used PBS instead of primary antibody secondary antibody is Goat Anti-Rabbit IgG H&L (HRP) (ab97051) at 1/500 dilution.

Perform heat mediated antigen retrieval with Tris/EDTA buffer pH 9.0 before commencing with IHC staining protocol.

Immunohistochemistry (Formalin/PFA-fixed paraffin-embedded sections) - Anti-Caveolin-3 antibody [EPR18975] - Caveolae Marker (AB182739)
  • IHC-P

Supplier Data

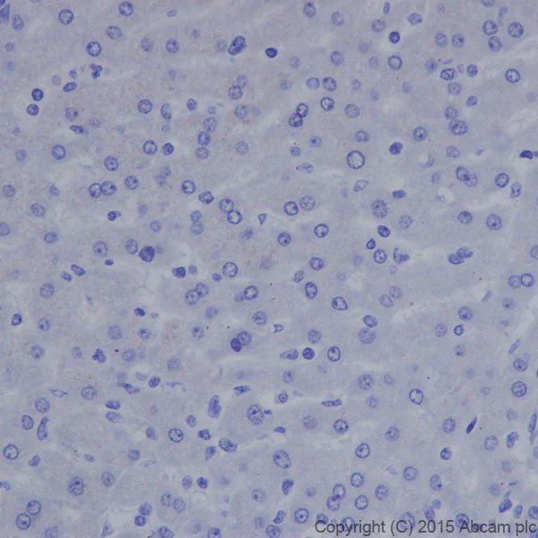
Immunohistochemistry (Formalin/PFA-fixed paraffin-embedded sections) - Anti-Caveolin-3 antibody [EPR18975] - Caveolae Marker (AB182739)

Immunohistochemical analysis of paraffin-embedded Human liver tissue labeling Caveolin-3 with ab182739 at 1/200 dilution followed by Goat Anti-Rabbit IgG H&L (HRP) (ab97051) at 1/500 dilution. Negative on Human liver. Counter stained with Hematoxylin.

Secondary antibody only control : Used PBS instead of primary antibody secondary antibody is Goat Anti-Rabbit IgG H&L (HRP) (ab97051) at 1/500 dilution.

Perform heat mediated antigen retrieval with Tris/EDTA buffer pH 9.0 before commencing with IHC staining protocol.

Immunohistochemistry (Formalin/PFA-fixed paraffin-embedded sections) - Anti-Caveolin-3 antibody [EPR18975] - Caveolae Marker (AB182739)
  • IHC-P

Supplier Data

Immunohistochemistry (Formalin/PFA-fixed paraffin-embedded sections) - Anti-Caveolin-3 antibody [EPR18975] - Caveolae Marker (AB182739)

Immunohistochemical analysis of paraffin-embedded Human skeletal muscle tissue labeling Caveolin-3 with ab182739 at 1/200 dilution followed by Goat Anti-Rabbit IgG H&L (HRP) (ab97051) at 1/500 dilution. Membrane staining on Human skeletal muscle was observed. Counter stained with Hematoxylin.

Secondary antibody only control : Used PBS instead of primary antibody secondary antibody is Goat Anti-Rabbit IgG H&L (HRP) (ab97051) at 1/500 dilution.

Perform heat mediated antigen retrieval with Tris/EDTA buffer pH 9.0 before commencing with IHC staining protocol.

Immunoprecipitation - Anti-Caveolin-3 antibody [EPR18975] - Caveolae Marker (AB182739)
  • IP

Supplier Data

Immunoprecipitation - Anti-Caveolin-3 antibody [EPR18975] - Caveolae Marker (AB182739)

Caveolin-3 was immunoprecipitated from 1mg of Human fetal heart whole cell lysate with ab182739 at 1/20 dilution. Western blot was performed from the immunoprecipitate using ab182739 at 1/1000 dilution. VeriBlot for IP Detection Reagent (HRP) (ab131366), was used for detection at 1/10000 dilution.

Lane 1 : Human fetal heart whole cell lysate 10ug (Input).

Lane 2 : ab182739 IP in Human fetal heart whole cell lysate.

Lane 3 : Rabbit monoclonal IgG (ab172730) instead of ab182739 in Human fetal heart whole cell lysate.

Blocking and dilution buffer and concentration : 5% NFDM/TBST.
Exposure time : 10 seconds.

All lanes:

Immunoprecipitation - Anti-Caveolin-3 antibody [EPR18975] - Caveolae Marker (ab182739)

Predicted band size: 17 kDa

Observed band size: 17 kDa

false

Western blot - Anti-Caveolin-3 antibody [EPR18975] - Caveolae Marker (AB182739)
  • WB

Supplier Data

Western blot - Anti-Caveolin-3 antibody [EPR18975] - Caveolae Marker (AB182739)

Blocking/Dilution buffer : 5% NFDM/TBST.

Expressed predominantly in muscle.

All lanes:

Western blot - Anti-Caveolin-3 antibody [EPR18975] - Caveolae Marker (ab182739) at 1/1000 dilution

Lane 1:

Human skeletal muscle lysate at 20 µg

Lane 2:

Human fetal lung lysate at 20 µg

Lane 3:

HeLa (Human epithelial cells from cervix adenocarcinoma) whole cell lysate at 20 µg

Lane 4:

A-673 (Human muscle Ewing's Sarcoma cell line) whole cell lysate at 20 µg

Secondary

All lanes:

Anti-Rabbit IgG (HRP), specific to the non-reduced form of IgG at 1/10000 dilution

Predicted band size: 17 kDa

Observed band size: 17 kDa

false

Exposure time: 30s

Western blot - Anti-Caveolin-3 antibody [EPR18975] - Caveolae Marker (AB182739)
  • WB

Supplier Data

Western blot - Anti-Caveolin-3 antibody [EPR18975] - Caveolae Marker (AB182739)

Blocking/Dilution buffer : 5% NFDM/TBST.

Expressed predominantly in muscle.

All lanes:

Western blot - Anti-Caveolin-3 antibody [EPR18975] - Caveolae Marker (ab182739) at 1/1000 dilution

Lane 1:

Human fetal liver lysate at 10 µg

Lane 2:

Human fetal heart lysate at 10 µg

Lane 3:

Human fetal kidney lysate at 10 µg

Lane 4:

Human fetal spleen lysate at 10 µg

Secondary

All lanes:

Anti-Rabbit IgG (HRP), specific to the non-reduced form of IgG at 1/10000 dilution

Predicted band size: 17 kDa

Observed band size: 17 kDa

false

Exposure time: 5s

  • Carrier free

    Anti-Caveolin-3 antibody [EPR18975] - BSA and Azide free

Key facts

Host species

Rabbit

Clonality

Monoclonal

Clone number

EPR18975

Isotype

IgG

Carrier free

No

Reacts with

Human

Applications

WB, IP, IHC-P

applications

Immunogen

The exact immunogen used to generate this antibody is proprietary information.

Reactivity data

{ "title": "Reactivity Data", "filters": { "stats": ["", "Species", "Dilution Info", "Notes"], "tabs": { "all-applications": {"fullname" : "All Applications", "shortname": "All Applications"}, "IP" : {"fullname" : "Immunoprecipitation", "shortname":"IP"}, "WB" : {"fullname" : "Western blot", "shortname":"WB"}, "IHCP" : {"fullname" : "Immunohistochemistry (Formalin/PFA-fixed paraffin-embedded sections)", "shortname":"IHC-P"} }, "product-promise": { "all": "all", "testedAndGuaranteed": "tested", "guaranteed": "expected", "predicted": "predicted", "notRecommended": "not-recommended" } }, "values": { "Human": { "IP-species-checked": "testedAndGuaranteed", "IP-species-dilution-info": "1/20", "IP-species-notes": "<p></p>", "WB-species-checked": "testedAndGuaranteed", "WB-species-dilution-info": "1/1000", "WB-species-notes": "<p></p>", "IHCP-species-checked": "testedAndGuaranteed", "IHCP-species-dilution-info": "1/200", "IHCP-species-notes": "<p></p>" } } }

Product details

Patented technology
Our RabMAb® technology is a patented hybridoma-based technology for making rabbit monoclonal antibodies. For details on our patents, please refer to RabMAb® patents.

What are the advantages of a recombinant monoclonal antibody?
This product is a recombinant monoclonal antibody, which offers several advantages including:

  • - High batch-to-batch consistency and reproducibility
  • - Improved sensitivity and specificity
  • - Long-term security of supply
  • - Animal-free batch production

For more information, read more on recombinant antibodies.

Properties and storage information

Form
Liquid
Purification technique
Affinity purification Protein A
Storage buffer
pH: 7.2 Preservative: 0.01% Sodium azide Constituents: PBS, 40% Glycerol (glycerin, glycerine), 0.05% BSA
Shipped at conditions
Blue Ice
Appropriate short-term storage duration
1-2 weeks
Appropriate short-term storage conditions
+4°C
Appropriate long-term storage conditions
-20°C
Aliquoting information
Upon delivery aliquot
Storage information
Avoid freeze / thaw cycle

Supplementary information

This supplementary information is collated from multiple sources and compiled automatically.

Caveolin-3 also referred to as 'caveolin' 'caveolae' and 'CAV3' is a protein with an approximate mass of 17 kDa. It acts as a structural component of caveolae small invaginations in the plasma membrane. Caveolin-3 is expressed majorly in muscle cells including cardiac skeletal and smooth muscle tissues. As a distinguishing marker for caveolae it plays an essential role in the formation and stabilization of these structures.
Biological function summary

Caveolae perform vital functions in cellular signaling and endocytosis. Caveolin-3 assists in various signaling pathways within muscle cells and interacts with other caveolae markers to facilitate signal transduction. It often forms a complex with other caveolin proteins such as caveolin-1 creating an environment conducive for the embedding of signaling molecules. This protein also modulates the trafficking and function of certain ion channels and receptors impacting muscle physiology.

Pathways

Caveolin-3 significantly influences pathways concerned with muscle function and signal transduction. In particular it involves itself with the nitric oxide (NO) signaling pathway and beta-adrenergic signaling both critical to the contractile functions of muscle tissues. It closely interacts with proteins such as endothelial nitric oxide synthase (eNOS) and components of the G-protein coupled receptor family indicating its pivotal role in mediating physiological responses to stimuli.

Caveolin-3 mutations have been associated with a range of muscle-related disorders including limb-girdle muscular dystrophy and hypertrophic cardiomyopathy. These conditions often arise due to alterations in muscle cell signaling and integrity. Caveolin-3 also shares connections with proteins like dystrophin an important player in maintaining muscle cell structure and its dysfunction can exacerbate these muscular disorders. Understanding these interactions offers insights into potential therapeutic targets for managing related pathologies.

Product protocols

For this product, it's our understanding that no specific protocols are required. You can visit:

Target data

May act as a scaffolding protein within caveolar membranes. Interacts directly with G-protein alpha subunits and can functionally regulate their activity. May also regulate voltage-gated potassium channels. Plays a role in the sarcolemma repair mechanism of both skeletal muscle and cardiomyocytes that permits rapid resealing of membranes disrupted by mechanical stress (By similarity). Mediates the recruitment of CAVIN2 and CAVIN3 proteins to the caveolae (PubMed : 19262564).
See full target information CAV3

Publications (1)

Recent publications for all applications. Explore the full list and refine your search

Nature methods 15:909-912 PubMed30377371

2018

A high-throughput pipeline for validation of antibodies.

Applications

Unspecified application

Species

Unspecified reactive species

Krzysztof Sikorski,Adi Mehta,Marit Inngjerdingen,Flourina Thakor,Simon Kling,Tomas Kalina,Tuula A Nyman,Maria Ekman Stensland,Wei Zhou,Gustavo A de Souza,Lars Holden,Jan Stuchly,Markus Templin,Fridtjof Lund-Johansen
View all publications

Product promise

We are committed to supporting your work with high-quality reagents, and we're here for you every step of the way. In the unlikely event that one of our products does not perform as expected, you're protected by our Product Promise.
For full details, please see our Terms & Conditions

Please note: All products are 'FOR RESEARCH USE ONLY. NOT FOR USE IN DIAGNOSTIC OR THERAPEUTIC PROCEDURES'.

For licensing inquiries, please contact partnerships@abcam.com