JavaScript is disabled in your browser. Please enable JavaScript to view this website.
AB189349

Anti-Caveolin-3 antibody - N-terminal - Caveolae Marker

Be the first to review this product! Submit a review

|

(1 Publication)

Goat Polyclonal Caveolin-3 antibody. N-terminal. Suitable for IHC-P, WB and reacts with Human samples. Cited in 1 publication. Immunogen corresponding to Synthetic Peptide within Human CAV3 aa 1-50.

View Alternative Names

Caveolin-3, M-caveolin, CAV3

2 Images
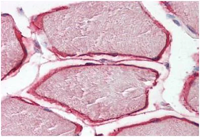
Immunohistochemistry (Formalin/PFA-fixed paraffin-embedded sections) - Anti-Caveolin-3 antibody - N-terminal - Caveolae Marker (AB189349)
  • IHC-P

Supplier Data

Immunohistochemistry (Formalin/PFA-fixed paraffin-embedded sections) - Anti-Caveolin-3 antibody - N-terminal - Caveolae Marker (AB189349)

Immunohistochemical analysis of formalin-fixed, paraffin-embedded Human skeletal muscle tissue labeling Caveolin-3 with ab189349 at 3.75 μg/ml.

Western blot - Anti-Caveolin-3 antibody - N-terminal - Caveolae Marker (AB189349)
  • WB

Supplier Data

Western blot - Anti-Caveolin-3 antibody - N-terminal - Caveolae Marker (AB189349)

All lanes:

Western blot - Anti-Caveolin-3 antibody - N-terminal - Caveolae Marker (ab189349) at 0.3 µg/mL

All lanes:

Human Heart lysate in RIPA buffer at 35 µg/mL

Predicted band size: 17 kDa

true

Key facts

Host species

Goat

Clonality

Polyclonal

Isotype

IgG

Carrier free

No

Reacts with

Human

Applications

WB, IHC-P

applications

Immunogen

Synthetic Peptide within Human CAV3 aa 1-50. The exact immunogen used to generate this antibody is proprietary information.

P56539

Reactivity data

{ "title": "Reactivity Data", "filters": { "stats": ["", "Species", "Dilution Info", "Notes"], "tabs": { "all-applications": {"fullname" : "All Applications", "shortname": "All Applications"}, "IHCP" : {"fullname" : "Immunohistochemistry (Formalin/PFA-fixed paraffin-embedded sections)", "shortname":"IHC-P"}, "WB" : {"fullname" : "Western blot", "shortname":"WB"} }, "product-promise": { "all": "all", "testedAndGuaranteed": "tested", "guaranteed": "expected", "predicted": "predicted", "notRecommended": "not-recommended" } }, "values": { "Human": { "IHCP-species-checked": "testedAndGuaranteed", "IHCP-species-dilution-info": "3.75 µg/mL", "IHCP-species-notes": "<p></p>", "WB-species-checked": "testedAndGuaranteed", "WB-species-dilution-info": "0.3-1 µg/mL", "WB-species-notes": "<p></p>" }, "Cow": { "IHCP-species-checked": "predicted", "IHCP-species-dilution-info": "", "IHCP-species-notes": "", "WB-species-checked": "predicted", "WB-species-dilution-info": "", "WB-species-notes": "" }, "Dog": { "IHCP-species-checked": "predicted", "IHCP-species-dilution-info": "", "IHCP-species-notes": "", "WB-species-checked": "predicted", "WB-species-dilution-info": "", "WB-species-notes": "" }, "Gorilla": { "IHCP-species-checked": "predicted", "IHCP-species-dilution-info": "", "IHCP-species-notes": "", "WB-species-checked": "predicted", "WB-species-dilution-info": "", "WB-species-notes": "" }, "Horse": { "IHCP-species-checked": "predicted", "IHCP-species-dilution-info": "", "IHCP-species-notes": "", "WB-species-checked": "predicted", "WB-species-dilution-info": "", "WB-species-notes": "" }, "Monkey": { "IHCP-species-checked": "predicted", "IHCP-species-dilution-info": "", "IHCP-species-notes": "", "WB-species-checked": "predicted", "WB-species-dilution-info": "", "WB-species-notes": "" }, "Pig": { "IHCP-species-checked": "predicted", "IHCP-species-dilution-info": "", "IHCP-species-notes": "", "WB-species-checked": "predicted", "WB-species-dilution-info": "", "WB-species-notes": "" }, "Rabbit": { "IHCP-species-checked": "predicted", "IHCP-species-dilution-info": "", "IHCP-species-notes": "", "WB-species-checked": "predicted", "WB-species-dilution-info": "", "WB-species-notes": "" } } }

Properties and storage information

Form
Liquid
Purification technique
Affinity purification Immunogen
Storage buffer
pH: 7.3 Preservative: 0.02% Sodium azide Constituents: 99% Tris buffered saline, 0.5% BSA
Shipped at conditions
Blue Ice
Appropriate short-term storage duration
1-2 weeks
Appropriate short-term storage conditions
+4°C
Appropriate long-term storage conditions
-20°C
Aliquoting information
Upon delivery aliquot
Storage information
Avoid freeze / thaw cycle

Supplementary information

This supplementary information is collated from multiple sources and compiled automatically.

Caveolin-3 also referred to as 'caveolin' 'caveolae' and 'CAV3' is a protein with an approximate mass of 17 kDa. It acts as a structural component of caveolae small invaginations in the plasma membrane. Caveolin-3 is expressed majorly in muscle cells including cardiac skeletal and smooth muscle tissues. As a distinguishing marker for caveolae it plays an essential role in the formation and stabilization of these structures.
Biological function summary

Caveolae perform vital functions in cellular signaling and endocytosis. Caveolin-3 assists in various signaling pathways within muscle cells and interacts with other caveolae markers to facilitate signal transduction. It often forms a complex with other caveolin proteins such as caveolin-1 creating an environment conducive for the embedding of signaling molecules. This protein also modulates the trafficking and function of certain ion channels and receptors impacting muscle physiology.

Pathways

Caveolin-3 significantly influences pathways concerned with muscle function and signal transduction. In particular it involves itself with the nitric oxide (NO) signaling pathway and beta-adrenergic signaling both critical to the contractile functions of muscle tissues. It closely interacts with proteins such as endothelial nitric oxide synthase (eNOS) and components of the G-protein coupled receptor family indicating its pivotal role in mediating physiological responses to stimuli.

Caveolin-3 mutations have been associated with a range of muscle-related disorders including limb-girdle muscular dystrophy and hypertrophic cardiomyopathy. These conditions often arise due to alterations in muscle cell signaling and integrity. Caveolin-3 also shares connections with proteins like dystrophin an important player in maintaining muscle cell structure and its dysfunction can exacerbate these muscular disorders. Understanding these interactions offers insights into potential therapeutic targets for managing related pathologies.

Product protocols

For this product, it's our understanding that no specific protocols are required. You can visit:

Target data

May act as a scaffolding protein within caveolar membranes. Interacts directly with G-protein alpha subunits and can functionally regulate their activity. May also regulate voltage-gated potassium channels. Plays a role in the sarcolemma repair mechanism of both skeletal muscle and cardiomyocytes that permits rapid resealing of membranes disrupted by mechanical stress (By similarity). Mediates the recruitment of CAVIN2 and CAVIN3 proteins to the caveolae (PubMed : 19262564).
See full target information CAV3

Publications (1)

Recent publications for all applications. Explore the full list and refine your search

Histology and histopathology 37:1113-1125 PubMed35791576

2022

LncRNA SNHG15 regulates hypoxic-ischemic brain injury via miR-153-3p/SETD7 axis.

Applications

Unspecified application

Species

Unspecified reactive species

Jiding Fu,Yunbo Huang,Lewu Xian
View all publications

Product promise

We are committed to supporting your work with high-quality reagents, and we're here for you every step of the way. In the unlikely event that one of our products does not perform as expected, you're protected by our Product Promise.
For full details, please see our Terms & Conditions

Please note: All products are 'FOR RESEARCH USE ONLY. NOT FOR USE IN DIAGNOSTIC OR THERAPEUTIC PROCEDURES'.

For licensing inquiries, please contact partnerships@abcam.com