JavaScript is disabled in your browser. Please enable JavaScript to view this website.
AB229866

Anti-CBF1 interacting corepressor/CIR1 antibody - N-terminal

Be the first to review this product! Submit a review

|

(1 Publication)

Rabbit Polyclonal CBF1 interacting corepressor/CIR1 antibody. N-terminal. Suitable for WB, IHC-P and reacts with Human samples. Cited in 1 publication. Immunogen corresponding to Recombinant Fragment Protein within Human CIR1 aa 1-200.

View Alternative Names

CIR, CIR1, Corepressor interacting with RBPJ 1, CBF1-interacting corepressor, Recepin

3 Images
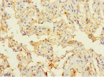
Immunohistochemistry (Formalin/PFA-fixed paraffin-embedded sections) - Anti-CBF1 interacting corepressor/CIR1 antibody - N-terminal (AB229866)
  • IHC-P

Supplier Data

Immunohistochemistry (Formalin/PFA-fixed paraffin-embedded sections) - Anti-CBF1 interacting corepressor/CIR1 antibody - N-terminal (AB229866)

Paraffin-embedded human lung tissue stained for CBF1 interacting corepressor/CIR1 using ab229866 at 1/100 dilution in immunohistochemical analysis.

Western blot - Anti-CBF1 interacting corepressor/CIR1 antibody - N-terminal (AB229866)
  • WB

Supplier Data

Western blot - Anti-CBF1 interacting corepressor/CIR1 antibody - N-terminal (AB229866)

All lanes:

Western blot - Anti-CBF1 interacting corepressor/CIR1 antibody - N-terminal (ab229866) at 1/1000 dilution

Lane 1:

PC-3 (human prostate adenocarcinoma cell line) whole cell lysate

Lane 2:

HEK-293T (human epithelial cell line from embryonic kidney transformed with large T antigen) whole cell lysate

Secondary

All lanes:

Goat polyclonal to rabbit IgG at 1/10000 dilution

Predicted band size: 52 kDa

false

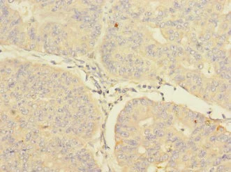
Immunohistochemistry (Formalin/PFA-fixed paraffin-embedded sections) - Anti-CBF1 interacting corepressor/CIR1 antibody - N-terminal (AB229866)
  • IHC-P

Supplier Data

Immunohistochemistry (Formalin/PFA-fixed paraffin-embedded sections) - Anti-CBF1 interacting corepressor/CIR1 antibody - N-terminal (AB229866)

Paraffin-embedded human endometrial cancer tissue stained for CBF1 interacting corepressor/CIR1 using ab229866 at 1/100 dilution in immunohistochemical analysis.

Key facts

Host species

Rabbit

Clonality

Polyclonal

Isotype

IgG

Carrier free

No

Reacts with

Human

Applications

IHC-P, WB

applications

Immunogen

Recombinant Fragment Protein within Human CIR1 aa 1-200. The exact immunogen used to generate this antibody is proprietary information.

Q86X95

Reactivity data

{ "title": "Reactivity Data", "filters": { "stats": ["", "Species", "Dilution Info", "Notes"], "tabs": { "all-applications": {"fullname" : "All Applications", "shortname": "All Applications"}, "WB" : {"fullname" : "Western blot", "shortname":"WB"}, "IHCP" : {"fullname" : "Immunohistochemistry (Formalin/PFA-fixed paraffin-embedded sections)", "shortname":"IHC-P"} }, "product-promise": { "all": "all", "testedAndGuaranteed": "tested", "guaranteed": "expected", "predicted": "predicted", "notRecommended": "not-recommended" } }, "values": { "Human": { "WB-species-checked": "testedAndGuaranteed", "WB-species-dilution-info": "1/1000 - 1/5000", "WB-species-notes": "<p></p>", "IHCP-species-checked": "testedAndGuaranteed", "IHCP-species-dilution-info": "1/20 - 1/200", "IHCP-species-notes": "<p></p>" }, "Mouse": { "WB-species-checked": "predicted", "WB-species-dilution-info": "", "WB-species-notes": "", "IHCP-species-checked": "predicted", "IHCP-species-dilution-info": "", "IHCP-species-notes": "" }, "Rat": { "WB-species-checked": "predicted", "WB-species-dilution-info": "", "WB-species-notes": "", "IHCP-species-checked": "predicted", "IHCP-species-dilution-info": "", "IHCP-species-notes": "" }, "Chicken": { "WB-species-checked": "predicted", "WB-species-dilution-info": "", "WB-species-notes": "", "IHCP-species-checked": "predicted", "IHCP-species-dilution-info": "", "IHCP-species-notes": "" } } }

Properties and storage information

Form
Liquid
Purification technique
Affinity purification Immunogen
Storage buffer
pH: 7.3 Preservative: 0.02% Sodium azide Constituents: PBS, 50% Glycerol (glycerin, glycerine)
Shipped at conditions
Blue Ice
Appropriate short-term storage duration
1-2 weeks
Appropriate short-term storage conditions
+4°C
Appropriate long-term storage conditions
-20°C
Aliquoting information
Upon delivery aliquot
Storage information
Avoid freeze / thaw cycle

Supplementary information

This supplementary information is collated from multiple sources and compiled automatically.

CBF1 interacting corepressor also known as CIR1 is a coregulator that interacts with CBF1 an important transcriptional repressor. CIR1 forms a complex with CBF1 and other components to modulate transcriptional repression processes. The molecular mass of CIR1 is approximately 47 kDa. It expresses in various tissues throughout the body including the brain and lymphoid tissues. This broad expression pattern suggests a role in multiple cellular processes. CIR1 plays a central part in controlling gene expression by interacting with CBF1 and other transcriptional modulators.
Biological function summary

CIR1 serves as a mediator in transcriptional repression and is a part of the transducin-like enhancer of split (TLE) corepressor complex. This complex influences the activity of CBF1 by promoting chromatin modifications that lead to transcriptional repression. CIR1 contributes to finely regulating gene expression essential for maintaining cellular homeostasis. The TLE complex generally recruits CIR1 to target genes modulating the expression of genes involved in cell growth and differentiation.

Pathways

CIR1 modulates Notch signaling and Hedgehog pathways two critical signal transduction systems for cell fate determination and development. In the Notch signaling pathway CIR1 collaborates with CBF1 (also known as RBPJ or CSL) to repress target gene transcription until the pathway is activated. Interaction with Notch proteins results in pathway activation which is important for cell communication and differentiation. CIR1 indirectly affects the Hedgehog signaling pathway by influencing transcription factors that respond to this pathway highlighting its role in developmental processes and tumorigenesis.

CIR1 is associated with oncogenesis and neurological disorders. Dysregulation of Notch signaling involving CIR1 can contribute to various cancers by altering cell proliferation and apoptosis. In neurological conditions such as Alzheimer's disease CIR1's involvement in transcriptional repression may affect neuronal function by disrupting gene regulation. CIR1 also interacts with Presenilin proteins which are linked to Alzheimer's pathology indicating potential roles in disease progression. Understanding CIR1's function in these pathways can provide insights into therapeutic targets for related disorders.

Product protocols

For this product, it's our understanding that no specific protocols are required. You can visit:

Target data

May modulate splice site selection during alternative splicing of pre-mRNAs (By similarity). Regulates transcription and acts as corepressor for RBPJ. Recruits RBPJ to the Sin3-histone deacetylase complex (HDAC). Required for RBPJ-mediated repression of transcription.
See full target information CIR1

Publications (1)

Recent publications for all applications. Explore the full list and refine your search

Molecular biotechnology 67:689-704 PubMed38456959

2024

O-sialoglycoprotein Endopeptidase (OSGEP) Suppresses Hepatic Ischemia-Reperfusion Injury-Induced Ferroptosis Through Modulating the MEK/ERK Signaling Pathway.

Applications

Unspecified application

Species

Unspecified reactive species

Yuanyuan Tao,Wanqing Zhou,Cheng Chen,Qian Zhang,Zhuoyi Liu,Pingping Xia,Zhi Ye,Chunling Li
View all publications

Product promise

We are committed to supporting your work with high-quality reagents, and we're here for you every step of the way. In the unlikely event that one of our products does not perform as expected, you're protected by our Product Promise.
For full details, please see our Terms & Conditions

Please note: All products are 'FOR RESEARCH USE ONLY. NOT FOR USE IN DIAGNOSTIC OR THERAPEUTIC PROCEDURES'.

For licensing inquiries, please contact partnerships@abcam.com