JavaScript is disabled in your browser. Please enable JavaScript to view this website.
AB248572

Anti-CBFb antibody [EPR6322] - BSA and Azide free

Be the first to review this product! Submit a review

|

(1 Publication)

Rabbit Recombinant Monoclonal CBFb antibody. Carrier free. Suitable for WB, ICC/IF, Flow Cyt (Intra) and reacts with Mouse, Rat, Human samples. Cited in 1 publication.

View Alternative Names

Core-binding factor subunit beta, CBF-beta, Polyomavirus enhancer-binding protein 2 beta subunit, SL3-3 enhancer factor 1 subunit beta, SL3/AKV core-binding factor beta subunit, PEA2-beta, PEBP2-beta, CBFB

5 Images
Immunocytochemistry/ Immunofluorescence - Anti-CBFb antibody [EPR6322] - BSA and Azide free (AB248572)
  • ICC/IF

Unknown

Immunocytochemistry/ Immunofluorescence - Anti-CBFb antibody [EPR6322] - BSA and Azide free (AB248572)

Immunocytochemistry/Immunofluorescence analysis of Jurkat (Human T cell leukemia T lymphocyte) cells labeling CBFb with purified ab133600 at 1/100 dilution (10 μg/mL). Cells were fixed in 100% Methanol and permeabilized with None. Cells were counterstained with ab195889 Anti-alpha Tubulin antibody [DM1A] - Microtubule Marker (Alexa Fluor® 594) 1/200 (2.5 μg/mL). Goat anti rabbit IgG (Alexa Fluor® 488,ab150077) was used as the secondary antibody at 1/1000 (2 μg/mL) dilution. DAPI (blue) was used as nuclear counterstain. PBS instead of the primary antibody was used as the secondary antibody only control.

This data was developed using the same antibody clone in a different buffer formulation containing PBS, BSA, glycerol, and sodium azide (ab133600).

Flow Cytometry (Intracellular) - Anti-CBFb antibody [EPR6322] - BSA and Azide free (AB248572)
  • Flow Cyt (Intra)

Unknown

Flow Cytometry (Intracellular) - Anti-CBFb antibody [EPR6322] - BSA and Azide free (AB248572)

Intracellular Flow Cytometry analysis of K-562 (Human chronic myelogenous leukemia lymphoblast) cells, labeling CBFb with purified ab133600 at 1/100 dilution (10μg/mL) (Red). Cells were fixed with 4% Paraformaldehyde and permeabilised with 90% Methanol. A Goat anti rabbit IgG (Alexa Fluor®488, ab150077) secondary antibody was used at 1/2000. Isotype control - Rabbit monoclonal IgG (Black). Unlabeled control - Cell without incubation with primary antibody and secondary antibody (Blue). This data was developed using the same antibody clone in a different buffer formulation containing PBS, BSA, glycerol, and sodium azide (ab133600).

Western blot - Anti-CBFb antibody [EPR6322] - BSA and Azide free (AB248572)
  • WB

Lab

Western blot - Anti-CBFb antibody [EPR6322] - BSA and Azide free (AB248572)

This data was developed using the same antibody clone in a different buffer formulation (ab133600).

Lanes 1 - 4 : Merged signal (red and green). Green - ab133600 observed at 22 kDa. Red - loading control ab7291 (Mouse anti-Alpha Tubulin [DM1A]) observed at 55kDa.

ab133600 was shown to react with CBFb in wild-type A431 cells in western blot with loss of signal observed in CBFB knockout sample. Wild-type and CBFB knockout A431 cell lysates were subjected to SDS-PAGE. Membranes were blocked in 2% BSA in TBS-T (0.1% Tween®) before incubation with ab133600 and ab7291 (Mouse anti-Alpha Tubulin [DM1A]) overnight at 4°C at a 1 in 1000 Dilution and a 1 in 20000 dilution respectively. Blots were incubated with Goat anti-Rabbit IgG H&L (IRDye® 800CW) preabsorbed (ab216773) and Goat anti-Mouse IgG H&L (IRDye® 680RD) preabsorbed (ab216776) secondary antibodies at 1 in 20000 dilution for 1 hour at room temperature before imaging.

All lanes:

Western blot - Anti-CBFb antibody [EPR6322] (<a href='/en-us/products/primary-antibodies/cbfb-antibody-epr6322-ab133600'>ab133600</a>) at 1/1000 dilution

Lane 1:

Wild-type A-431 (Human epidermoid carcinoma cell line) whole cell lysate at 20 µg

Lane 2:

CBFB knockout A-431 (Human epidermoid carcinoma cell line) whole cell lysate at 20 µg

Lane 2:

Western blot - Human CBFB knockout A-431 cell line (<a href='/en-us/products/cell-lines/human-cbfb-knockout-a-431-cell-line-ab270472'>ab270472</a>)

Lane 3:

K562 (Human chronic myelogenous leukemia lymphoblast cell line ) whole cell lysate at 20 µg

Lane 4:

HeLa (Human epithelial cell line from cervix adenocarcinoma) whole cell lysate at 20 µg

Predicted band size: 22 kDa

Observed band size: 22 kDa

false

Western blot - Anti-CBFb antibody [EPR6322] - BSA and Azide free (AB248572)
  • WB

Lab

Western blot - Anti-CBFb antibody [EPR6322] - BSA and Azide free (AB248572)

ab133600 was shown to react with CBFb in wild-type A431 cells in western blot. Loss of signal was observed when CBFB knockout sample was used. Membranes were blocked in 2 % BSA in TBS-T (0.1 % Tween®) before incubation with ab133600 overnight at 4°C at a 1 in 1000 dilution and ab184095 (Mouse Anti-GAPDH antibody [mAbcam 9484] - Alexa Fluor® 680) at a 1 in 1000 dilution. Blots were incubated with HRP conjugated Goat anti-Rabbit (H+L) secondary antibody at 1/5000 for 1 hour at room temperature before development with Optiblot ECL reagent (ab133456) and imaging.

All lanes:

Western blot - Anti-CBFb antibody [EPR6322] (<a href='/en-us/products/primary-antibodies/cbfb-antibody-epr6322-ab133600'>ab133600</a>) at 1/1000 dilution

Lane 1:

Wild-type A-431 (Human epidermoid carcinoma cell line) whole cell lysate at 20 µg

Lane 2:

CBFB knockout A-431 (Human epidermoid carcinoma cell line) whole cell lysate at 20 µg

Lane 2:

Western blot - Human CBFB knockout A-431 cell line (<a href='/en-us/products/cell-lines/human-cbfb-knockout-a-431-cell-line-ab270472'>ab270472</a>)

Lane 3:

K562 (Human chronic myelogenous leukemia lymphoblast cell line ) whole cell lysate at 20 µg

Lane 4:

HeLa (Human epithelial cell line from cervix adenocarcinoma) whole cell lysate at 20 µg

Predicted band size: 22 kDa

Observed band size: 24 kDa

false

Exposure time: 150s

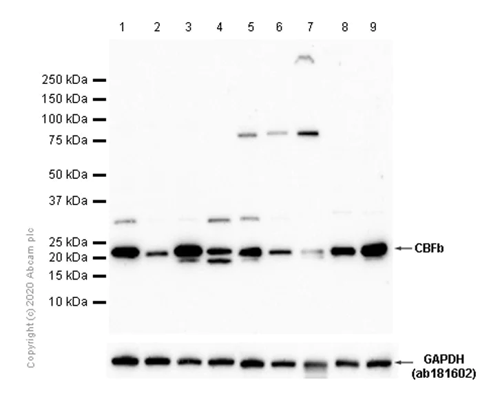
Western blot - Anti-CBFb antibody [EPR6322] - BSA and Azide free (AB248572)
  • WB

Unknown

Western blot - Anti-CBFb antibody [EPR6322] - BSA and Azide free (AB248572)

Blocking/Diluting buffer : 5% NFDM/TBST

Loading Control : Rabbit monoclonal [EPR16891] to GAPDH (ab181602)

This data was developed using the same antibody clone in a different buffer formulation containing PBS, BSA, glycerol, and sodium azide (ab133600).

All lanes:

Western blot - Anti-CBFb antibody [EPR6322] (<a href='/en-us/products/primary-antibodies/cbfb-antibody-epr6322-ab133600'>ab133600</a>) at 1/1000 dilution

Lane 1:

Raji (Human Burkitt's lymphoma B lymphocyte) whole cell lysate at 20 µg

Lane 2:

HeLa (Human cervix adenocarcinoma epithelial cell) whole cell lysate at 20 µg

Lane 3:

K-562 (Human chronic myelogenous leukemia lymphoblast) whole cell lysate at 20 µg

Lane 4:

Jurkat (Human T cell leukemia T lymphocyte) whole cell lysate at 20 µg

Lane 5:

RAW 264.7 (Mouse Abelson murine leukemia virus-induced tumor macrophage) whole cell lysate at 20 µg

Lane 6:

Mouse spleen lysate at 20 µg

Lane 7:

Mouse thymus lysate at 20 µg

Lane 8:

Rat spleen lysate at 20 µg

Lane 9:

Rat thymus lysate at 20 µg

Secondary

All lanes:

Western blot - Goat Anti-Rabbit IgG H&L (HRP) (<a href='/en-us/products/secondary-antibodies/goat-rabbit-igg-h-l-hrp-ab97051'>ab97051</a>) at 1/20000 dilution

Predicted band size: 22 kDa

Observed band size: 22 kDa

false

Key facts

Host species

Rabbit

Clonality

Monoclonal

Clone number

EPR6322

Isotype

IgG

Carrier free

Yes

Reacts with

Mouse, Rat, Human

Applications

Flow Cyt (Intra), WB, ICC/IF

applications

Immunogen

The exact immunogen used to generate this antibody is proprietary information.

Reactivity data

{ "title": "Reactivity Data", "filters": { "stats": ["", "Species", "Dilution Info", "Notes"], "tabs": { "all-applications": {"fullname" : "All Applications", "shortname": "All Applications"}, "WB" : {"fullname" : "Western blot", "shortname":"WB"}, "IHCP" : {"fullname" : "Immunohistochemistry (Formalin/PFA-fixed paraffin-embedded sections)", "shortname":"IHC-P"}, "ICCIF" : {"fullname" : "Immunocytochemistry/ Immunofluorescence", "shortname":"ICC/IF"}, "FlowCytIntra" : {"fullname" : "Flow Cytometry (Intracellular)", "shortname":"Flow Cyt (Intra)"} }, "product-promise": { "all": "all", "testedAndGuaranteed": "tested", "guaranteed": "expected", "predicted": "predicted", "notRecommended": "not-recommended" } }, "values": { "Human": { "WB-species-checked": "testedAndGuaranteed", "WB-species-dilution-info": "", "WB-species-notes": "<p></p>", "IHCP-species-checked": "notRecommended", "IHCP-species-dilution-info": "", "IHCP-species-notes": "<p></p>", "ICCIF-species-checked": "testedAndGuaranteed", "ICCIF-species-dilution-info": "", "ICCIF-species-notes": "<p></p>", "FlowCytIntra-species-checked": "testedAndGuaranteed", "FlowCytIntra-species-dilution-info": "", "FlowCytIntra-species-notes": "<p></p>" }, "Mouse": { "WB-species-checked": "testedAndGuaranteed", "WB-species-dilution-info": "", "WB-species-notes": "<p></p>", "IHCP-species-checked": "notRecommended", "IHCP-species-dilution-info": "", "IHCP-species-notes": "<p></p>", "ICCIF-species-checked": "guaranteed", "ICCIF-species-dilution-info": "", "ICCIF-species-notes": "", "FlowCytIntra-species-checked": "guaranteed", "FlowCytIntra-species-dilution-info": "", "FlowCytIntra-species-notes": "" }, "Rat": { "WB-species-checked": "testedAndGuaranteed", "WB-species-dilution-info": "", "WB-species-notes": "<p></p>", "IHCP-species-checked": "notRecommended", "IHCP-species-dilution-info": "", "IHCP-species-notes": "<p></p>", "ICCIF-species-checked": "guaranteed", "ICCIF-species-dilution-info": "", "ICCIF-species-notes": "", "FlowCytIntra-species-checked": "guaranteed", "FlowCytIntra-species-dilution-info": "", "FlowCytIntra-species-notes": "" } } }

Product details

ab248572 is the carrier-free version of ab133600.

Patented technology
Our RabMAb® technology is a patented hybridoma-based technology for making rabbit monoclonal antibodies. For details on our patents, please refer to RabMAb® patents.

What are the advantages of a recombinant monoclonal antibody?
This product is a recombinant monoclonal antibody, which offers several advantages including:

  • - High batch-to-batch consistency and reproducibility
  • - Improved sensitivity and specificity
  • - Long-term security of supply
  • - Animal-free batch production

For more information, read more on recombinant antibodies.

Conjugation ready
Our carrier-free antibodies are typically supplied in a PBS-only formulation, purified and free of BSA, sodium azide and glycerol. This conjugation-ready format is designed for use with fluorochromes, metal isotopes, oligonucleotides, and enzymes, which makes them ideal for antibody labelling, functional and cell-based assays, flow-based assays (e.g. mass cytometry) and Multiplex Imaging applications.

Use our conjugation kits for antibody conjugates that are ready-to-use in as little as 20 minutes with 1 minute hands-on-time and 100% antibody recovery: available for fluorescent dyes, HRP, biotin and gold.

Compatibility
This product is compatible with the Maxpar® Antibody Labeling Kit from Fluidigm, without the need for antibody preparation. Maxpar® is a trademark of Fluidigm Canada Inc.

Properties and storage information

Form
Liquid
Purification technique
Affinity purification Protein A
Storage buffer
pH: 7.2 - 7.4 Constituents: PBS
Shipped at conditions
Blue Ice
Appropriate short-term storage conditions
+4°C
Appropriate long-term storage conditions
+4°C
Storage information
Do Not Freeze

Supplementary information

This supplementary information is collated from multiple sources and compiled automatically.

CBFb also known as Core-Binding Factor Subunit Beta weighs approximately 22 kDa. It plays an important role in gene regulation by stabilizing the DNA binding of core-binding factor alpha (CBFA) subunits such as RUNX proteins. CBFb does not bind DNA directly. Instead it enhances the affinity of the RUNX family for their DNA targets. CBFb is broadly expressed in various tissues with high levels observed in hematopoietic cells.
Biological function summary

CBFb forms a complex with RUNX transcription factors facilitating their function. The complex is essential for hematopoiesis as it regulates the expression of genes critical for blood cell differentiation and proliferation. CBFb is involved in bone development influencing the formation of bone-related genes. This CBFb/RUNX complex plays a role in regulating the cell cycle and apoptosis fundamental processes for maintaining cellular integrity.

Pathways

More than one signaling pathway includes CBFb's involvement. Particularly it participates in the Wnt signaling pathway an important player in cell differentiation. Additionally CBFb/RUNX complex regulates genes downstream in the TGF-beta signaling pathway impacting cellular proliferation and differentiation. Through these pathways CBFb is linked to proteins like SMAD3 further emphasizing its role in mediating various biological processes.

Abnormalities in CBFb function connect to acute myeloid leukemia (AML). CBFb's interaction with RUNX1 can result in a chromosomal translocation that generates the CBFb-MYH11 fusion protein which disrupts normal hematopoiesis and contributes to leukemogenesis. Moreover CBFb variations associate with cleidocranial dysplasia a skeletal disorder through its interaction with the RUNX2 protein highlighting its significance in bone development.

Product protocols

For this product, it's our understanding that no specific protocols are required. You can visit:

Target data

Forms the heterodimeric complex core-binding factor (CBF) with RUNX family proteins (RUNX1, RUNX2, and RUNX3). RUNX members modulate the transcription of their target genes through recognizing the core consensus binding sequence 5'-TGTGGT-3', or very rarely, 5'-TGCGGT-3', within their regulatory regions via their runt domain, while CBFB is a non-DNA-binding regulatory subunit that allosterically enhances the sequence-specific DNA-binding capacity of RUNX. The heterodimers bind to the core site of a number of enhancers and promoters, including murine leukemia virus, polyomavirus enhancer, T-cell receptor enhancers, LCK, IL3 and GM-CSF promoters. CBF complexes repress ZBTB7B transcription factor during cytotoxic (CD8+) T cell development. They bind to RUNX-binding sequence within the ZBTB7B locus acting as transcriptional silencer and allowing for cytotoxic T cell differentiation.. (Microbial infection) Following infection, hijacked by the HIV-1 Vif protein, leading to the formation a cullin-5-RING E3 ubiquitin-protein ligase complex (ECS complex) that catalyzes ubiquitination and degradation of APOBEC3F and APOBEC3G (PubMed : 22190037, PubMed : 31792451, PubMed : 36598981, PubMed : 36754086, PubMed : 37419875). The complex can also ubiquitinate APOBEC3H to some extent (PubMed : 37640699). Association with HIV-1 Vif protein also inhibits the transcription coactivator activity of CBFB/CBF-beta (PubMed : 22190037).
See full target information CBFB

Publications (1)

Recent publications for all applications. Explore the full list and refine your search

Psychiatry investigation 22:699-713 PubMed40566894

2025

Transcriptional Landscape and Biomarker Discovery for Endoplasmic Reticulum Stress in Alzheimer's Disease: An Ex Vivo Study Using Patients-Derived Dermal Fibroblasts.

Applications

Unspecified application

Species

Unspecified reactive species

Yeojin Kim,You Jin Nam,Sunwoo Yoon,Young Joon Cho,Ho Min Song,Seongmin Kim,Donghyuk Shin,Jin Young Noh,Sun Min Lee,So Young Moon,Eun-Joo Kim,Soo Hyun Cho,Byeong C Kim,Seong Hye Choi,Sang Won Seo,Jin Wook Choi,Young-Sil An,Bumhee Park,Young Joon Park,Hee Young Kang,Hyun Goo Woo,Yong Hyuk Cho,Sunhwa Hong,Sang Joon Son,Sang-Rae Lee,Chang Hyung Hong,Hyun Woong Roh
View all publications

Product promise

We are committed to supporting your work with high-quality reagents, and we're here for you every step of the way. In the unlikely event that one of our products does not perform as expected, you're protected by our Product Promise.
For full details, please see our Terms & Conditions

Please note: All products are 'FOR RESEARCH USE ONLY. NOT FOR USE IN DIAGNOSTIC OR THERAPEUTIC PROCEDURES'.

For licensing inquiries, please contact partnerships@abcam.com