JavaScript is disabled in your browser. Please enable JavaScript to view this website.
AB309550

Anti-CBL antibody [17/c-Cbl] - BSA and Azide free

Be the first to review this product! Submit a review

|

(0 Publication)

Knockout Tested Mouse Recombinant Monoclonal CBL antibody. Carrier free. Suitable for WB, IHC-P and reacts with Human, Mouse, Rat samples.

View Alternative Names

CBL2, RNF55, CBL, E3 ubiquitin-protein ligase CBL, Casitas B-lineage lymphoma proto-oncogene, Proto-oncogene c-Cbl, RING finger protein 55, RING-type E3 ubiquitin transferase CBL, Signal transduction protein CBL

9 Images
Immunohistochemistry (Formalin/PFA-fixed paraffin-embedded sections) - Anti-CBL antibody [17/c-Cbl] - BSA and Azide free (AB309550)
  • IHC-P

Supplier Data

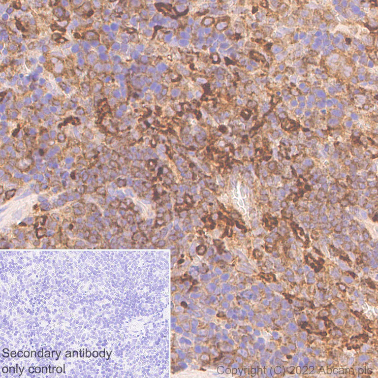
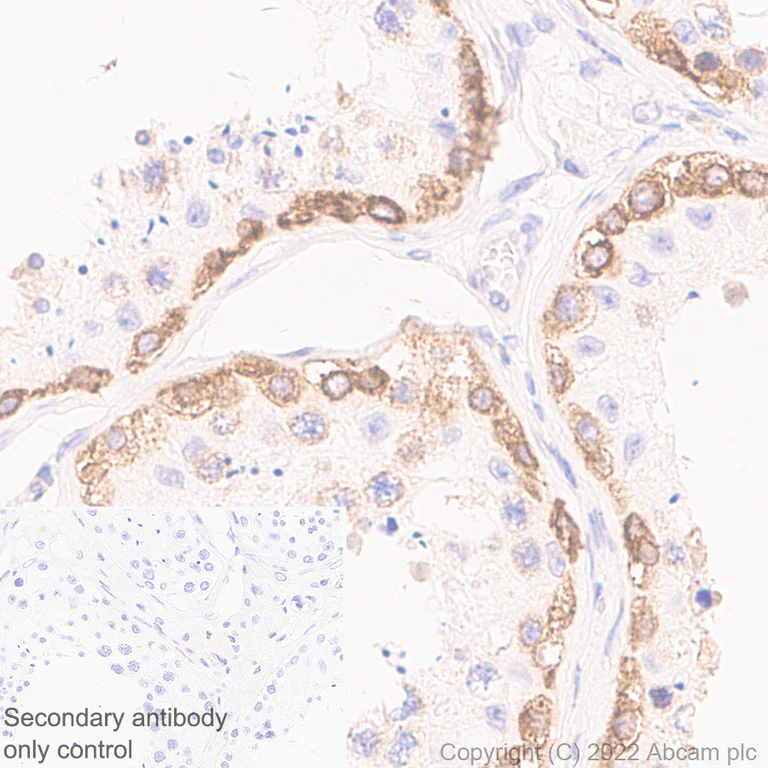
Immunohistochemistry (Formalin/PFA-fixed paraffin-embedded sections) - Anti-CBL antibody [17/c-Cbl] - BSA and Azide free (AB309550)

This data was developed using ab309549 the same antibody clone in a different buffer formulation. Immunohistochemical analysis of paraffin-embedded Human testis tissue labeling CBL with ab309549 at 1/5000 (0.1968 ug/ml) dilution followed by a ready to use LeicaDS9800 (Bond™ Polymer Refine Detection). Cytoplasmic staining on human testis.The section was incubated with ab309549 for 30 mins at room temperature, followed by anti-mouse IgG1 antibody (ab125913) for 8 mins during the LeicaDS9800 kit staining procedure.The immunostaining was performed on a Leica Biosystems BOND® RX instrument Counterstained with Hematoxylin. antibody only control : Secondary antibody is a ready to use LeicaDS9800 (Bond™ Polymer Refine Detection). Heat mediated antigen retrieval was performed with Tris-EDTA buffer (pH 9.0, Epitope Retrieval Solution2) for 20 mins

Immunohistochemistry (Formalin/PFA-fixed paraffin-embedded sections) - Anti-CBL antibody [17/c-Cbl] - BSA and Azide free (AB309550)
  • IHC-P

Supplier Data

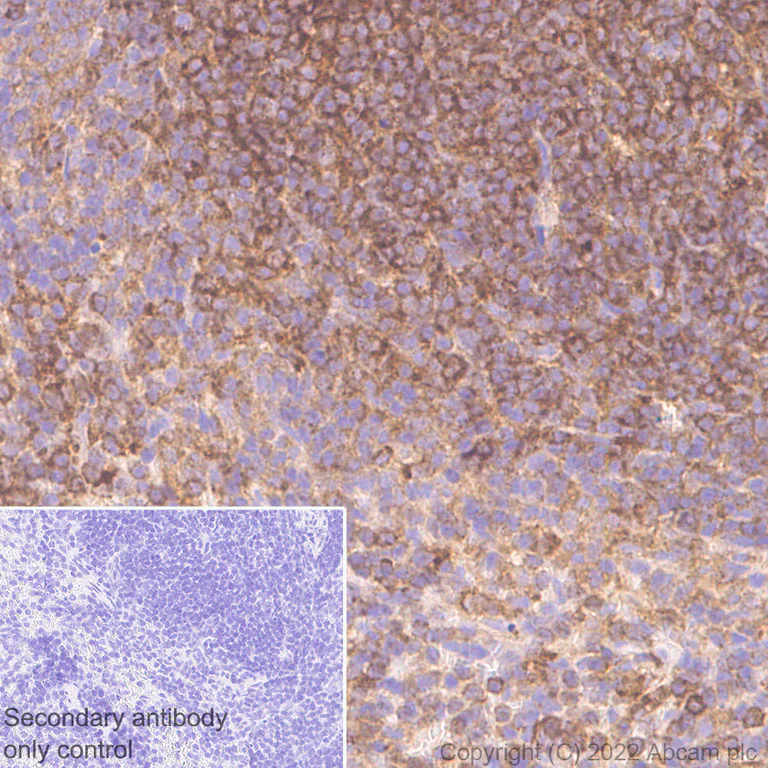
Immunohistochemistry (Formalin/PFA-fixed paraffin-embedded sections) - Anti-CBL antibody [17/c-Cbl] - BSA and Azide free (AB309550)

This data was developed using ab309549 the same antibody clone in a different buffer formulation. Immunohistochemical analysis of paraffin-embedded Human tonsil tissue labeling CBL with ab309549 at 1/5000 (0.1968 ug/ml) dilution followed by a ready to use LeicaDS9800 (Bond™ Polymer Refine Detection). Cytoplasmic staining on human tonsil.The section was incubated with ab309549 for 30 mins at room temperature, followed by anti-mouse IgG1 antibody (ab125913) for 8 mins during the LeicaDS9800 kit staining procedure.The immunostaining was performed on a Leica Biosystems BOND® RX instrument Counterstained with Hematoxylin. antibody only control : Secondary antibody is a ready to use LeicaDS9800 (Bond™ Polymer Refine Detection). Heat mediated antigen retrieval was performed with Tris-EDTA buffer (pH 9.0, Epitope Retrieval Solution2) for 20 mins

Immunohistochemistry (Formalin/PFA-fixed paraffin-embedded sections) - Anti-CBL antibody [17/c-Cbl] - BSA and Azide free (AB309550)
  • IHC-P

Supplier Data

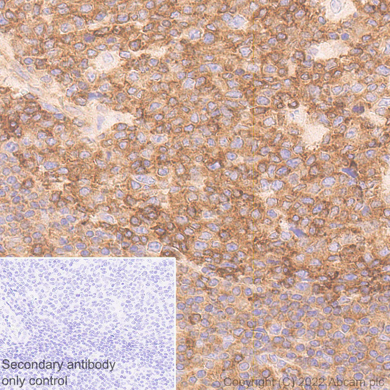
Immunohistochemistry (Formalin/PFA-fixed paraffin-embedded sections) - Anti-CBL antibody [17/c-Cbl] - BSA and Azide free (AB309550)

This data was developed using ab309549 the same antibody clone in a different buffer formulation. Immunohistochemical analysis of paraffin-embedded Rat spleen tissue labeling CBL with ab309549 at 1/5000 (0.1968 ug/ml) dilution followed by a ready to use LeicaDS9800 (Bond™ Polymer Refine Detection). Cytoplasmic staining on rat spleen.The section was incubated with ab309549 for 30 mins at room temperature, followed by anti-mouse IgG1 antibody (ab125913) for 8 mins during the LeicaDS9800 kit staining procedure.The immunostaining was performed on a Leica Biosystems BOND® RX instrument Counterstained with Hematoxylin. antibody only control : Secondary antibody is a ready to use LeicaDS9800 (Bond™ Polymer Refine Detection). Heat mediated antigen retrieval was performed with Tris-EDTA buffer (pH 9.0, Epitope Retrieval Solution2) for 20 mins

Immunohistochemistry (Formalin/PFA-fixed paraffin-embedded sections) - Anti-CBL antibody [17/c-Cbl] - BSA and Azide free (AB309550)
  • IHC-P

Supplier Data

Immunohistochemistry (Formalin/PFA-fixed paraffin-embedded sections) - Anti-CBL antibody [17/c-Cbl] - BSA and Azide free (AB309550)

This data was developed using ab309549 the same antibody clone in a different buffer formulation. Immunohistochemical analysis of paraffin-embedded Mouse spleen tissue labeling CBL with ab309549 at 1/5000 (0.1968 ug/ml) dilution followed by a ready to use LeicaDS9800 (Bond™ Polymer Refine Detection). Cytoplasmic staining on mouse spleen.The section was incubated with ab309549 for 30 mins at room temperature, followed by anti-mouse IgG1 antibody (ab125913) for 8 mins during the LeicaDS9800 kit staining procedure.The immunostaining was performed on a Leica Biosystems BOND® RX instrument Counterstained with Hematoxylin. antibody only control : Secondary antibody is a ready to use LeicaDS9800 (Bond™ Polymer Refine Detection). Heat mediated antigen retrieval was performed with Tris-EDTA buffer (pH 9.0, Epitope Retrieval Solution2) for 20 mins

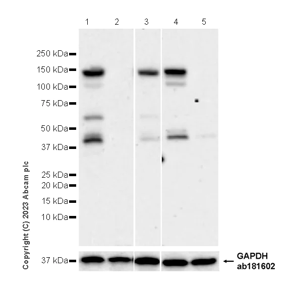
Western blot - Anti-CBL antibody [17/c-Cbl] - BSA and Azide free (AB309550)
  • WB

Supplier Data

Western blot - Anti-CBL antibody [17/c-Cbl] - BSA and Azide free (AB309550)

This data was developed using ab309549, the same antibody clone in a different buffer formulation.Blocking and diluting buffer and concentration : 5% NFDM/TBST Low expression : NIH/3T3 (PMID : 12193575). Performed under reducing conditions. Frozen lysates were used for Western blotting. In Western blot, ab309549 was shown to bind specifically to CBL. Target of interest was observed at 120 kDa wild-type 293T cell lysates (lane 1) with no signal observed at this size in CBL knockout cell line (lane 2, knockout cell line ab267245 / knockout cell lysate ab257200). The band beneath the target band (120 kDa) is likely to be degraded target fragment. In Western blot, anti-GAPDH antibody (ab181602) loading control staining at 1/200000 dilution. Exposure time : 3 minutes

All lanes:

Western blot - Anti-CBL antibody [17/c-Cbl] (<a href='/en-us/products/primary-antibodies/cbl-antibody-17-c-cbl-ab309549'>ab309549</a>) at 1/1000 dilution

Lane 1:

Wild-type 293T (human embryonic kidney epithelial cell) whole cell lysate at 20 µg

Lane 2:

Western blot - Human CBL knockout HEK-293T cell line (<a href='/en-us/products/cell-lines/human-cbl-knockout-hek-293t-cell-line-ab267245'>ab267245</a>) at 20 µg

Lane 3:

HeLa (human cervical adenocarcinoma epithelial cell) whole cell lysate at 20 µg

Lane 4:

F9 (mouse embryonal carcinoma epithelial cell) whole cell lysate at 20 µg

Lane 5:

NIH/3T3 (mouse embryonic fibroblast) whole cell lysate at 20 µg

Secondary

All lanes:

Peroxidase-Conjugated Goat anti-Mouse IgG (H+L) (ZB-2305) at 1/10000 dilution

Observed band size: 120 kDa

false

Exposure time: 3min

Western blot - Anti-CBL antibody [17/c-Cbl] - BSA and Azide free (AB309550)
  • WB

Supplier Data

Western blot - Anti-CBL antibody [17/c-Cbl] - BSA and Azide free (AB309550)

This data was developed using ab309549, the same antibody clone in a different buffer formulation. Blocking and diluting buffer and concentration : 5% NFDM/TBST The lysates were freshly made and used for Western blotting immediately to minimize protein degradation. Exposure time : 48 seconds

All lanes:

Western blot - Anti-CBL antibody [17/c-Cbl] (<a href='/en-us/products/primary-antibodies/cbl-antibody-17-c-cbl-ab309549'>ab309549</a>) at 1/1000 dilution

Lane 1:

Raji (human Burkitts lymphoma B lymphocyte) whole cell lysate at 20 µg

Lane 2:

Mouse testis tissue lysate at 20 µg

Secondary

All lanes:

Peroxidase-Conjugated Goat anti-Mouse IgG (H+L) (ZB-2305) at 1/10000 dilution

Observed band size: 120 kDa

false

Exposure time: 48s

Western blot - Anti-CBL antibody [17/c-Cbl] - BSA and Azide free (AB309550)
  • WB

Supplier Data

Western blot - Anti-CBL antibody [17/c-Cbl] - BSA and Azide free (AB309550)

This data was developed using ab309549, the same antibody clone in a different buffer formulation.Blocking and diluting buffer and concentration : 5% NFDM/TBST This target was tested in fresh and frozen Ramos, and it was concluded that CBL is the easy target for degradation. Lane2 was freshly made and used for Western blotting immediately to minimize protein degradation. Exposure time : 48 seconds

All lanes:

Western blot - Anti-CBL antibody [17/c-Cbl] (<a href='/en-us/products/primary-antibodies/cbl-antibody-17-c-cbl-ab309549'>ab309549</a>) at 1/1000 dilution

All lanes:

Ramos (human Burkitts lymphoma B lymphocyte) whole cell lysate at 20 µg

Secondary

All lanes:

Peroxidase-Conjugated Goat anti-Mouse IgG (H+L) (ZB-2305) at 1/10000 dilution

Observed band size: 120 kDa

false

Exposure time: 48s

Western blot - Anti-CBL antibody [17/c-Cbl] - BSA and Azide free (AB309550)
  • WB

Lab

Western blot - Anti-CBL antibody [17/c-Cbl] - BSA and Azide free (AB309550)

This data was developed using the same antibody clone in a different buffer formulation (ab309549).

Western blot : Anti-CBL antibody [17/c-Cbl] (ab309549) staining at 1/1000 dilution, shown in green; Rabbit anti-alpha Tubulin antibody [EP1332Y] (ab52866) loading control staining at 1/20000 dilution, shown in magenta. In Western blot, ab309549 was shown to bind specifically to CBL. A band was observed at 105-110 kDa in wild-type HCT 116 cell lysates with no signal observed at this size in CBL knockout cell line. To generate this image, wild-type and CBL knockout HCT 116 cell lysates were analysed. First, samples were run on an SDS-PAGE gel then transferred onto a nitrocellulose membrane. Membranes were blocked in 5 % milk in TBS-0.1 % Tween® 20 (TBS-T) before incubation with primary antibodies overnight at 4 °C. Blots were washed four times in TBS-T, incubated with secondary antibodies for 1 h at room temperature, washed again four times then imaged. Secondary antibodies used were Goat anti-Mouse IgG H&L 800CW and Goat anti-Rabbit IgG H&L 680RD at 1/20000 dilution.

All lanes:

Western blot - Anti-CBL antibody [17/c-Cbl] (<a href='/en-us/products/primary-antibodies/cbl-antibody-17-c-cbl-ab309549'>ab309549</a>) at 1/1000 dilution

Lane 1:

Wild-type HCT 116 cell lysate at 20 µg

Lane 2:

CBL knockout HCT 116 cell lysate at 20 µg

Secondary

All lanes:

Goat anti-Mouse IgG H&L 800CW and Goat anti-Rabbit IgG H&L 680RD at 1/20000 dilution

Observed band size: 105 kDa,110 kDa

false

Western blot - Anti-CBL antibody [17/c-Cbl] - BSA and Azide free (AB309550)
  • WB

Supplier Data

Western blot - Anti-CBL antibody [17/c-Cbl] - BSA and Azide free (AB309550)

This data was developed using ab309549, the same antibody clone in a different buffer formulation. Blocking and diluting buffer and concentration : 5% NFDM/TBST Exposure time : 40 seconds

All lanes:

Western blot - Anti-CBL antibody [17/c-Cbl] (<a href='/en-us/products/primary-antibodies/cbl-antibody-17-c-cbl-ab309549'>ab309549</a>) at 1/1000 dilution

Lane 1:

Rat lymph node tissue lysate at 20 µg

Lane 2:

Rat testis tissue lysate at 20 µg

Lane 3:

WEHI-3 (mouse leukemia lymphoblast) whole cell lysate at 20 µg

Secondary

All lanes:

Peroxidase-Conjugated Goat anti-Mouse IgG (H+L) (ZB-2305) at 1/10000 dilution

Observed band size: 120 kDa

false

Exposure time: 40s

Key facts

Host species

Mouse

Clonality

Monoclonal

Clone number

17/c-Cbl

Isotype

IgG1

Carrier free

Yes

Reacts with

Human, Mouse, Rat

Applications

IHC-P, WB

applications

Immunogen

The exact immunogen used to generate this antibody is proprietary information.

Reactivity data

{ "title": "Reactivity Data", "filters": { "stats": ["", "Species", "Dilution Info", "Notes"], "tabs": { "all-applications": {"fullname" : "All Applications", "shortname": "All Applications"}, "WB" : {"fullname" : "Western blot", "shortname":"WB"}, "IHCP" : {"fullname" : "Immunohistochemistry (Formalin/PFA-fixed paraffin-embedded sections)", "shortname":"IHC-P"}, "ICCIF" : {"fullname" : "Immunocytochemistry/ Immunofluorescence", "shortname":"ICC/IF"}, "FlowCyt" : {"fullname" : "Flow Cytometry", "shortname":"Flow Cyt"}, "IP" : {"fullname" : "Immunoprecipitation", "shortname":"IP"} }, "product-promise": { "all": "all", "testedAndGuaranteed": "tested", "guaranteed": "expected", "predicted": "predicted", "notRecommended": "not-recommended" } }, "values": { "Human": { "WB-species-checked": "testedAndGuaranteed", "WB-species-dilution-info": "", "WB-species-notes": "<p></p>", "IHCP-species-checked": "testedAndGuaranteed", "IHCP-species-dilution-info": "", "IHCP-species-notes": "<p></p>", "ICCIF-species-checked": "notRecommended", "ICCIF-species-dilution-info": "", "ICCIF-species-notes": "<p></p>", "FlowCyt-species-checked": "notRecommended", "FlowCyt-species-dilution-info": "", "FlowCyt-species-notes": "<p></p>", "IP-species-checked": "notRecommended", "IP-species-dilution-info": "", "IP-species-notes": "<p></p>" }, "Mouse": { "WB-species-checked": "testedAndGuaranteed", "WB-species-dilution-info": "", "WB-species-notes": "<p></p>", "IHCP-species-checked": "testedAndGuaranteed", "IHCP-species-dilution-info": "", "IHCP-species-notes": "<p></p>", "ICCIF-species-checked": "notRecommended", "ICCIF-species-dilution-info": "", "ICCIF-species-notes": "<p></p>", "FlowCyt-species-checked": "notRecommended", "FlowCyt-species-dilution-info": "", "FlowCyt-species-notes": "<p></p>", "IP-species-checked": "notRecommended", "IP-species-dilution-info": "", "IP-species-notes": "<p></p>" }, "Rat": { "WB-species-checked": "testedAndGuaranteed", "WB-species-dilution-info": "", "WB-species-notes": "<p></p>", "IHCP-species-checked": "testedAndGuaranteed", "IHCP-species-dilution-info": "", "IHCP-species-notes": "<p></p>", "ICCIF-species-checked": "notRecommended", "ICCIF-species-dilution-info": "", "ICCIF-species-notes": "<p></p>", "FlowCyt-species-checked": "notRecommended", "FlowCyt-species-dilution-info": "", "FlowCyt-species-notes": "", "IP-species-checked": "notRecommended", "IP-species-dilution-info": "", "IP-species-notes": "" } } }

Product details

Want a custom formulation?
This antibody clone is manufactured by Abcam. If you require a custom buffer formulation or conjugation for your experiments, please contact orders@abcam.com

What are the advantages of a recombinant monoclonal antibody?
This product is a recombinant monoclonal antibody, which offers several advantages including:

  • - High batch-to-batch consistency and reproducibility
  • - Improved sensitivity and specificity
  • - Long-term security of supply
  • - Animal-free batch production

For more information, read more on recombinant antibodies.

Conjugation ready
Our carrier-free antibodies are typically supplied in a PBS-only formulation, purified and free of BSA, sodium azide and glycerol. This conjugation-ready format is designed for use with fluorochromes, metal isotopes, oligonucleotides, and enzymes, which makes them ideal for antibody labelling, functional and cell-based assays, flow-based assays (e.g. mass cytometry) and Multiplex Imaging applications.

Use our conjugation kits for antibody conjugates that are ready-to-use in as little as 20 minutes with 1 minute hands-on-time and 100% antibody recovery: available for fluorescent dyes, HRP, biotin and gold.

Compatibility
This product is compatible with the Maxpar® Antibody Labeling Kit from Fluidigm, without the need for antibody preparation. Maxpar® is a trademark of Fluidigm Canada Inc.

Properties and storage information

Form
Liquid
Purification technique
Affinity purification Protein A
Storage buffer
pH: 7.2 - 7.4 Constituents: PBS
Shipped at conditions
Blue Ice
Appropriate short-term storage conditions
+4°C
Appropriate long-term storage conditions
+4°C

Supplementary information

This supplementary information is collated from multiple sources and compiled automatically.

The CBL protein also known as C-cbl or Casitas B-lineage lymphoma proto-oncogene serves as an E3 ubiquitin-protein ligase. This protein with a molecular mass of approximately 120-130 kDa plays a critical role in the regulation of receptor tyrosine kinases. It facilitates the polyubiquitination of activated receptor proteins targeting them for degradation in the proteasome. CBL is predominantly expressed in various tissues including the hematopoietic system. It is a significant component in the control of cell signaling and helps maintain cellular homeostasis.
Biological function summary

The CBL protein acts as a negative regulator for several signaling pathways. It integrates into signaling complexes and modulates the activation of pathways by interacting with other proteins. CBL does not act alone; it commonly forms complexes with proteins such as Grb2 and p85 influencing downstream signaling influence in pathways. This regulation prevents excessive activation of signals that can lead to cellular proliferation or differentiation abnormally.

Pathways

CBL integrates into the ubiquitin-proteasome system and the Ras signaling pathway. Within these pathways CBL works to modulate cell surface receptors ensuring that signaling threshold is not surpassed. The importance of CBL in the Ras signaling pathway is highlighted by its interactions with proteins like Ras-GAP and SHP2. Through these interactions CBL controls the rate of signal transduction affecting cellular responses such as growth survival and motility.

CBL involvement has been linked to several forms of cancer and immune deficiencies. Mutations or dysregulation of the CBL gene can lead to myelodysplastic syndromes and acute myeloid leukemia. In these conditions the interaction between CBL and other proteins such as JAK2 becomes dysregulated driving abnormal cell growth and survival. Furthermore CBL’s failure to properly degrade tyrosine kinase receptors can contribute to enhanced signaling fostering oncogenic processes.

Product protocols

For this product, it's our understanding that no specific protocols are required. You can visit:

Target data

E3 ubiquitin-protein ligase that acts as a negative regulator of many signaling pathways by mediating ubiquitination of cell surface receptors (PubMed : 10514377, PubMed : 11896602, PubMed : 14661060, PubMed : 14739300, PubMed : 15190072, PubMed : 17509076, PubMed : 18374639, PubMed : 19689429, PubMed : 21596750, PubMed : 28381567). Accepts ubiquitin from specific E2 ubiquitin-conjugating enzymes, and then transfers it to substrates promoting their degradation by the proteasome (PubMed : 10514377, PubMed : 14661060, PubMed : 14739300, PubMed : 17094949, PubMed : 17509076, PubMed : 17974561). Recognizes activated receptor tyrosine kinases, including KIT, FLT1, FGFR1, FGFR2, PDGFRA, PDGFRB, CSF1R, EPHA8 and KDR and mediates their ubiquitination to terminate signaling (PubMed : 15190072, PubMed : 18374639, PubMed : 21596750). Recognizes membrane-bound HCK, SRC and other kinases of the SRC family and mediates their ubiquitination and degradation (PubMed : 11896602). Ubiquitinates EGFR and SPRY2 (PubMed : 17094949, PubMed : 17974561). Ubiquitinates NECTIN1 following association between NECTIN1 and herpes simplex virus 1/HHV-1 envelope glycoprotein D, leading to NECTIN1 removal from cell surface (PubMed : 28381567). Participates in signal transduction in hematopoietic cells. Plays an important role in the regulation of osteoblast differentiation and apoptosis (PubMed : 15190072, PubMed : 18374639). Essential for osteoclastic bone resorption (PubMed : 14739300). The 'Tyr-731' phosphorylated form induces the activation and recruitment of phosphatidylinositol 3-kinase to the cell membrane in a signaling pathway that is critical for osteoclast function (PubMed : 14739300). May be functionally coupled with the E2 ubiquitin-protein ligase UB2D3. In association with CBLB, required for proper feedback inhibition of ciliary platelet-derived growth factor receptor-alpha (PDGFRA) signaling pathway via ubiquitination and internalization of PDGFRA (By similarity).
See full target information CBL

Product promise

We are committed to supporting your work with high-quality reagents, and we're here for you every step of the way. In the unlikely event that one of our products does not perform as expected, you're protected by our Product Promise.
For full details, please see our Terms & Conditions

Please note: All products are 'FOR RESEARCH USE ONLY. NOT FOR USE IN DIAGNOSTIC OR THERAPEUTIC PROCEDURES'.

For licensing inquiries, please contact partnerships@abcam.com