JavaScript is disabled in your browser. Please enable JavaScript to view this website.
AB32425

Anti-CBL + CBLB antibody [YE315]

Be the first to review this product! Submit a review

|

(1 Publication)

Rabbit Monoclonal CBL antibody. Suitable for WB, ICC/IF, IHC-P and reacts with Human samples. Cited in 1 publication.

View Alternative Names

CBL2, RNF55, CBL, E3 ubiquitin-protein ligase CBL, Casitas B-lineage lymphoma proto-oncogene, Proto-oncogene c-Cbl, RING finger protein 55, RING-type E3 ubiquitin transferase CBL, Signal transduction protein CBL

6 Images
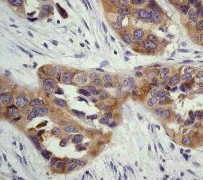
Immunohistochemistry (Formalin/PFA-fixed paraffin-embedded sections) - Anti-CBL + CBLB antibody [YE315] (AB32425)
  • IHC-P

Unknown

Immunohistochemistry (Formalin/PFA-fixed paraffin-embedded sections) - Anti-CBL + CBLB antibody [YE315] (AB32425)

Immunohistochemistry (Formalin/PFA-fixed paraffin-embedded sections) analysis of human uterus adenocarcinoma tissue labelling CBL + CBLB with unpurified ab32425 at a dilution of 1/50.

Perform heat mediated antigen retrieval with Tris/EDTA buffer pH 9.0 before commencing with IHC staining protocol.

Immunocytochemistry/ Immunofluorescence - Anti-CBL + CBLB antibody [YE315] (AB32425)
  • ICC/IF

Unknown

Immunocytochemistry/ Immunofluorescence - Anti-CBL + CBLB antibody [YE315] (AB32425)

Immunocytochemistry/Immunofluorescence analysis of Jurkat cells labelling CBL + CBLB with purified ab32425 at 1/250. Cells were fixed with 4% paraformaldehyde and permeabilized with 0.1% Triton X-100. ab150077 an Alexa Fluor® 488-conjugated goat anti-rabbit IgG (1/500) was used as the secondary antibody. DAPI (blue) was used as the nuclear counterstain. ab7291 a mouse anti-tubulin (1/1000) and ab150120 an Alexa Fluor® 594-conjugated goat anti-mouse IgG (1/500) were also used.

Control 1 : primary antibody (1/250) and secondary antibody ab150120 an Alexa Fluor® 594-conjugated goat anti-mouse IgG (1/500).

Control 2 : ab7291 (1/1000) and secondary antibody ab150077 an Alexa Fluor® 488-conjugated goat anti-rabbit IgG (1/500).

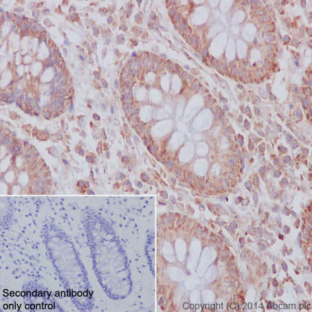
Immunohistochemistry (Formalin/PFA-fixed paraffin-embedded sections) - Anti-CBL + CBLB antibody [YE315] (AB32425)
  • IHC-P

Unknown

Immunohistochemistry (Formalin/PFA-fixed paraffin-embedded sections) - Anti-CBL + CBLB antibody [YE315] (AB32425)

Immunohistochemistry (Formalin/PFA-fixed paraffin-embedded sections) analysis of human colon tissue labelling CBL + CBLB with purified ab32425 at 1/50. Heat mediated antigen retrieval was performed using Tris/EDTA buffer pH 9. ab97051 a HRP-conjugated goat anti-rabbit IgG (H+L) was used as the secondary antibody (1/500). Negative control using PBS instead of primary antibody. Counterstained with hematoxylin.

Western blot - Anti-CBL + CBLB antibody [YE315] (AB32425)
  • WB

Lab

Western blot - Anti-CBL + CBLB antibody [YE315] (AB32425)

Blocking and dilution buffer : 5% NFDM/TBST.

All lanes:

Western blot - Anti-CBL + CBLB antibody [YE315] (ab32425) at 1/20000 dilution

All lanes:

HeLa cell lysate at 10 µg

Secondary

All lanes:

Peroxidase-conjugated goat anti-rabbit IgG, (H+L) at 1/1000 dilution

Observed band size: 120 kDa

false

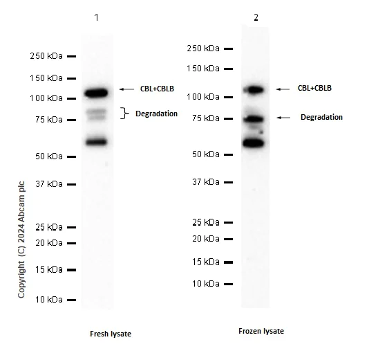
Western blot - Anti-CBL + CBLB antibody [YE315] (AB32425)
  • WB

Lab

Western blot - Anti-CBL + CBLB antibody [YE315] (AB32425)

Exposure time : Lane 1 : 40 seconds, Lane 2 : 100 seconds.

Blocking and dilution buffer : 5% NFDM/TBST.

We recommend using freshly made lysate in western blot testing to avoid high background.

All lanes:

Western blot - Anti-CBL + CBLB antibody [YE315] (ab32425) at 1/1000 dilution

Lane 1:

Frozen HeLa (Human cervix adenocarcinoma epithelial cell) whole cell lysate at 20 µg

Lane 2:

Fresh HeLa (Human cervix adenocarcinoma epithelial cell) whole cell lysate at 20 µg

Secondary

All lanes:

Western blot - Goat Anti-Rabbit IgG H&L (HRP) (<a href='/en-us/products/secondary-antibodies/goat-rabbit-igg-h-l-hrp-ab97051'>ab97051</a>) at 1/20000 dilution

Observed band size: 120 kDa

false

Western blot - Anti-CBL + CBLB antibody [YE315] (AB32425)
  • WB

Unknown

Western blot - Anti-CBL + CBLB antibody [YE315] (AB32425)

All lanes:

Western blot - Anti-CBL + CBLB antibody [YE315] (ab32425) at 1/500 dilution

All lanes:

Jurkat cell lysate

Observed band size: 120 kDa

false

Key facts

Host species

Rabbit

Clonality

Monoclonal

Clone number

YE315

Isotype

IgG

Carrier free

No

Reacts with

Human

Applications

ICC/IF, IHC-P, WB

applications

Immunogen

The exact immunogen used to generate this antibody is proprietary information.

Specificity

The immunogen sequence is 100% identical for both CBL and CBLB, therefore there is likely to be cross-reactivity.

Reactivity data

{ "title": "Reactivity Data", "filters": { "stats": ["", "Species", "Dilution Info", "Notes"], "tabs": { "all-applications": {"fullname" : "All Applications", "shortname": "All Applications"}, "WB" : {"fullname" : "Western blot", "shortname":"WB"}, "ICCIF" : {"fullname" : "Immunocytochemistry/ Immunofluorescence", "shortname":"ICC/IF"}, "IHCP" : {"fullname" : "Immunohistochemistry (Formalin/PFA-fixed paraffin-embedded sections)", "shortname":"IHC-P"} }, "product-promise": { "all": "all", "testedAndGuaranteed": "tested", "guaranteed": "expected", "predicted": "predicted", "notRecommended": "not-recommended" } }, "values": { "Human": { "WB-species-checked": "testedAndGuaranteed", "WB-species-dilution-info": "1/5000", "WB-species-notes": "<p><strong>For unpurified use at 1/500.</strong></p>", "ICCIF-species-checked": "testedAndGuaranteed", "ICCIF-species-dilution-info": "1/250", "ICCIF-species-notes": "<p><strong>For unpurified use at 1/100.</strong></p>", "IHCP-species-checked": "testedAndGuaranteed", "IHCP-species-dilution-info": "1/50", "IHCP-species-notes": "<p></p>" }, "Chicken": { "WB-species-checked": "predicted", "WB-species-dilution-info": "", "WB-species-notes": "", "ICCIF-species-checked": "predicted", "ICCIF-species-dilution-info": "", "ICCIF-species-notes": "", "IHCP-species-checked": "predicted", "IHCP-species-dilution-info": "", "IHCP-species-notes": "" } } }

Product details

Species reactivity
Mouse, Rat: We have preliminary internal testing data to indicate this antibody may not react with these species.
Please contact us for more information.

Patented technology
Our RabMAb® technology is a patented hybridoma-based technology for making rabbit monoclonal antibodies. For details on our patents, please refer to RabMAb® patents.

What are the advantages of a recombinant monoclonal antibody?
This product is a recombinant monoclonal antibody, which offers several advantages including:

  • - High batch-to-batch consistency and reproducibility
  • - Improved sensitivity and specificity
  • - Long-term security of supply
  • - Animal-free batch production

For more information, read more on recombinant antibodies.

Properties and storage information

Form
Liquid
Purification technique
Affinity purification Protein A
Storage buffer
pH: 7.2 - 7.4 Preservative: 0.01% Sodium azide Constituents: PBS, 40% Glycerol (glycerin, glycerine), 0.05% BSA
Shipped at conditions
Blue Ice
Appropriate short-term storage duration
1-2 weeks
Appropriate short-term storage conditions
+4°C
Appropriate long-term storage conditions
-20°C
Aliquoting information
Upon delivery aliquot
Storage information
Avoid freeze / thaw cycle

Supplementary information

This supplementary information is collated from multiple sources and compiled automatically.

The target proteins CBL (Casitas B-lineage lymphoma) and CBLB (CBL proto-oncogene B) function as E3 ubiquitin ligases regulating protein ubiquitination and degradation. These proteins are also known by other names including CBL and CBL-B. CBL has a molecular mass of around 120 kDa while CBLB is about 982 amino acids in size. Researchers find their expression mainly in hematopoietic cells though they are also present in other cell types. CBL and CBLB regulate signaling pathways that are key to cellular homeostasis and function.
Biological function summary

CBL and CBLB play roles in the negative regulation of cellular signaling cascades. These proteins are key players in the regulation of receptor tyrosine kinases (RTKs) by marking them for degradation through ubiquitination. This process places CBL and CBLB in a complex with signaling molecules where they help to modulate signal transduction processes. These activities are essential for maintaining normal cellular responses and preventing aberrant signaling.

Pathways

CBL and CBLB integrate with multiple signaling pathways notably the EGFR and T-cell receptor pathways. They interact with proteins such as growth factor receptor-bound protein 2 (GRB2) and phospholipase C gamma-1 (PLCγ1) to control signal propagation and termination. Their roles ensure that the pathways remain balanced therefore preventing excessive or insufficient signaling which could lead to pathophysiological conditions.

Mutations or dysfunction in CBL and CBLB associate with several conditions such as Noonan syndrome and certain cancers. CBL mutations have links to the development of various leukemias while abnormalities in CBLB may contribute to autoimmune disorders. Through these conditions they connect with proteins like SHP-2 which is similarly implicated in Noonan syndrome highlighting their significance in disease mechanisms.

Product protocols

For this product, it's our understanding that no specific protocols are required. You can visit:

Target data

E3 ubiquitin-protein ligase that acts as a negative regulator of many signaling pathways by mediating ubiquitination of cell surface receptors (PubMed : 10514377, PubMed : 11896602, PubMed : 14661060, PubMed : 14739300, PubMed : 15190072, PubMed : 17509076, PubMed : 18374639, PubMed : 19689429, PubMed : 21596750, PubMed : 28381567). Accepts ubiquitin from specific E2 ubiquitin-conjugating enzymes, and then transfers it to substrates promoting their degradation by the proteasome (PubMed : 10514377, PubMed : 14661060, PubMed : 14739300, PubMed : 17094949, PubMed : 17509076, PubMed : 17974561). Recognizes activated receptor tyrosine kinases, including KIT, FLT1, FGFR1, FGFR2, PDGFRA, PDGFRB, CSF1R, EPHA8 and KDR and mediates their ubiquitination to terminate signaling (PubMed : 15190072, PubMed : 18374639, PubMed : 21596750). Recognizes membrane-bound HCK, SRC and other kinases of the SRC family and mediates their ubiquitination and degradation (PubMed : 11896602). Ubiquitinates EGFR and SPRY2 (PubMed : 17094949, PubMed : 17974561). Ubiquitinates NECTIN1 following association between NECTIN1 and herpes simplex virus 1/HHV-1 envelope glycoprotein D, leading to NECTIN1 removal from cell surface (PubMed : 28381567). Participates in signal transduction in hematopoietic cells. Plays an important role in the regulation of osteoblast differentiation and apoptosis (PubMed : 15190072, PubMed : 18374639). Essential for osteoclastic bone resorption (PubMed : 14739300). The 'Tyr-731' phosphorylated form induces the activation and recruitment of phosphatidylinositol 3-kinase to the cell membrane in a signaling pathway that is critical for osteoclast function (PubMed : 14739300). May be functionally coupled with the E2 ubiquitin-protein ligase UB2D3. In association with CBLB, required for proper feedback inhibition of ciliary platelet-derived growth factor receptor-alpha (PDGFRA) signaling pathway via ubiquitination and internalization of PDGFRA (By similarity).
See full target information CBL

Additional targets

CBLB

Publications (1)

Recent publications for all applications. Explore the full list and refine your search

Nature cell biology 27:1240-1255 PubMed40760247

2025

A programmed decline in ribosome levels governs human early neurodevelopment.

Applications

Unspecified application

Species

Unspecified reactive species

Chunyang Ni,Yudong Wei,Barbara Vona,Dayea Park,Yulei Wei,Daniel A Schmitz,Yi Ding,Masahiro Sakurai,Emily Ballard,Leijie Li,Yan Liu,Ashwani Kumar,Chao Xing,Shenlu Qin,Sangin Kim,Martina Foglizzo,Jianchao Zhao,Hyung-Goo Kim,Cumhur Ekmekci,Ehsan Ghayoor Karimiani,Shima Imannezhad,Fatemeh Eghbal,Reza Shervin Badv,Eva Maria Christina Schwaibold,Mohammadreza Dehghani,Mohammad Yahya Vahidi Mehrjardi,Zahra Metanat,Hosein Eslamiyeh,Ebtissal Khouj,Saleh Mohammed Nasser Alhajj,Aziza Chedrawi,Khushnooda Ramzan,Jamil A Hashmi,Majed M Alluqmani,Sulman Basit,Danai Veltra,Nikolaos M Marinakis,Georgios Niotakis,Pelagia Vorgia,Christalena Sofocleous,Hane Lee,Won Chan Jeong,Muhammad Umair,Muhammad Bilal,César Augusto Pinheiro Ferreira Alves,Matthew Sieber,Michael Kruer,Henry Houlden,Fowzan S Alkuraya,Elton Zeqiraj,Roger A Greenberg,Can Cenik,Leqian Yu,Reza Maroofian,Jun Wu,Michael Buszczak
View all publications

Product promise

We are committed to supporting your work with high-quality reagents, and we're here for you every step of the way. In the unlikely event that one of our products does not perform as expected, you're protected by our Product Promise.
For full details, please see our Terms & Conditions

Please note: All products are 'FOR RESEARCH USE ONLY. NOT FOR USE IN DIAGNOSTIC OR THERAPEUTIC PROCEDURES'.

For licensing inquiries, please contact partnerships@abcam.com