JavaScript is disabled in your browser. Please enable JavaScript to view this website.
AB215991

Anti-CBLB antibody

Be the first to review this product! Submit a review

|

(1 Publication)

Rabbit Polyclonal CBLB antibody. Suitable for IHC-P and reacts with Rat, Human samples. Cited in 1 publication. Immunogen corresponding to Synthetic Peptide within Human CBLB aa 50-150 conjugated to Keyhole Limpet Haemocyanin.

View Alternative Names

RNF56, Nbla00127, CBLB, E3 ubiquitin-protein ligase CBL-B, Casitas B-lineage lymphoma proto-oncogene b, RING finger protein 56, RING-type E3 ubiquitin transferase CBL-B, SH3-binding protein CBL-B, Signal transduction protein CBL-B

2 Images
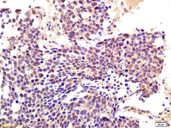
Immunohistochemistry (Formalin/PFA-fixed paraffin-embedded sections) - Anti-CBLB antibody (AB215991)
  • IHC-P

Supplier Data

Immunohistochemistry (Formalin/PFA-fixed paraffin-embedded sections) - Anti-CBLB antibody (AB215991)

Immunohistochemical analysis of formalin-fixed and paraffin-embedded Human lung carcinoma tissue labeling CBLB with ab215991 at 1/200 dilution, followed by conjugation to the secondary antibody and DAB staining.

Immunohistochemistry (Formalin/PFA-fixed paraffin-embedded sections) - Anti-CBLB antibody (AB215991)
  • IHC-P

Supplier Data

Immunohistochemistry (Formalin/PFA-fixed paraffin-embedded sections) - Anti-CBLB antibody (AB215991)

Immunohistochemical analysis of formalin-fixed and paraffin-embedded rat lung tissue labeling CBLB with ab215991 at 1/200 dilution, followed by conjugation to the secondary antibody and DAB staining.

Key facts

Host species

Rabbit

Clonality

Polyclonal

Isotype

IgG

Carrier free

No

Reacts with

Rat, Human

Applications

IHC-P

applications

Immunogen

Synthetic Peptide within Human CBLB aa 50-150 conjugated to Keyhole Limpet Haemocyanin. The exact immunogen used to generate this antibody is proprietary information.

Q13191

Reactivity data

{ "title": "Reactivity Data", "filters": { "stats": ["", "Species", "Dilution Info", "Notes"], "tabs": { "all-applications": {"fullname" : "All Applications", "shortname": "All Applications"}, "IHCP" : {"fullname" : "Immunohistochemistry (Formalin/PFA-fixed paraffin-embedded sections)", "shortname":"IHC-P"} }, "product-promise": { "all": "all", "testedAndGuaranteed": "tested", "guaranteed": "expected", "predicted": "predicted", "notRecommended": "not-recommended" } }, "values": { "Human": { "IHCP-species-checked": "testedAndGuaranteed", "IHCP-species-dilution-info": "1/100 - 1/500", "IHCP-species-notes": "<p></p>" }, "Mouse": { "IHCP-species-checked": "predicted", "IHCP-species-dilution-info": "", "IHCP-species-notes": "" }, "Rat": { "IHCP-species-checked": "testedAndGuaranteed", "IHCP-species-dilution-info": "1/100 - 1/500", "IHCP-species-notes": "<p></p>" } } }

Properties and storage information

Form
Liquid
Purification technique
Affinity purification Protein A
Storage buffer
pH: 7.4 Preservative: 0.02% Proclin 300 Constituents: 50% Glycerol (glycerin, glycerine), 48.98% TBS, 1X, 1% BSA
Shipped at conditions
Blue Ice
Appropriate short-term storage duration
1-2 weeks
Appropriate short-term storage conditions
+4°C
Appropriate long-term storage conditions
-20°C
Aliquoting information
Upon delivery aliquot
Storage information
Avoid freeze / thaw cycle

Supplementary information

This supplementary information is collated from multiple sources and compiled automatically.

CBLB also known as Cbl-b or Casitas B-lineage lymphoma-b is an E3 ubiquitin-protein ligase with a mass of approximately 120 kDa. CBLB is required for the regulation of protein degradation and is involved in transferring ubiquitin to target proteins. It is expressed in multiple tissues including the immune cells such as T cells and B cells. This protein contains several functional domains that facilitate interaction with other proteins allowing it to influence various signaling pathways.
Biological function summary

CBLB plays a critical role in immune regulation and is part of the ubiquitin-proteasome system. As a member of the CBL protein family it interacts with several other proteins to form a complex that determines its function. This complex mediates signal transduction and maintains immune homeostasis efforting its regulatory influence over immune cell activation and avoiding excessive immune responses.

Pathways

CBLB integrates into intracellular signaling involving the T-cell receptor (TCR) and B-cell receptor (BCR) pathways. It modulates downstream signaling by finetuning protein levels and activity interfacing with related proteins such as ZAP70 and Syk. By controlling signal thresholds it ensures proper immune responses and prevents autoimmunity maintaining the balance in signal transduction processes.

Altered CBLB activity is associated with autoimmune diseases and certain cancers such as lymphoma. Its dysfunction can lead to improper regulation of immune responses allowing for unchecked immune activation or proliferation of cancer cells. CBLB interacts with other critical proteins like ITK in T cells influencing the development or progression of these diseases by affecting cell signaling dynamics. Understanding CBLB's role could support therapeutic interventions to modulate immune responses effectively.

Product protocols

For this product, it's our understanding that no specific protocols are required. You can visit:

Target data

E3 ubiquitin-protein ligase which accepts ubiquitin from specific E2 ubiquitin-conjugating enzymes, and transfers it to substrates, generally promoting their degradation by the proteasome. Negatively regulates TCR (T-cell receptor), BCR (B-cell receptor) and FCER1 (high affinity immunoglobulin epsilon receptor) signal transduction pathways. In naive T-cells, inhibits VAV1 activation upon TCR engagement and imposes a requirement for CD28 costimulation for proliferation and IL-2 production. Also acts by promoting PIK3R1/p85 ubiquitination, which impairs its recruitment to the TCR and subsequent activation. In activated T-cells, inhibits PLCG1 activation and calcium mobilization upon restimulation and promotes anergy. In B-cells, acts by ubiquitinating SYK and promoting its proteasomal degradation. Slightly promotes SRC ubiquitination. May be involved in EGFR ubiquitination and internalization. May be functionally coupled with the E2 ubiquitin-protein ligase UB2D3. In association with CBL, required for proper feedback inhibition of ciliary platelet-derived growth factor receptor-alpha (PDGFRA) signaling pathway via ubiquitination and internalization of PDGFRA (By similarity).
See full target information CBLB

Publications (1)

Recent publications for all applications. Explore the full list and refine your search

Biomedicines 11: PubMed37189747

2023

Moderate-Intensity Exercise Improves Mesenteric Arterial Function in Male UC Davis Type-2 Diabetes Mellitus (UCD-T2DM) Rats: A Shift in the Relative Importance of Endothelium-Derived Relaxing Factors (EDRF).

Applications

Unspecified application

Species

Unspecified reactive species

Md Rahatullah Razan,Said Amissi,Rifat Ara Islam,James L Graham,Kimber L Stanhope,Peter J Havel,Roshanak Rahimian
View all publications

Product promise

We are committed to supporting your work with high-quality reagents, and we're here for you every step of the way. In the unlikely event that one of our products does not perform as expected, you're protected by our Product Promise.
For full details, please see our Terms & Conditions

Please note: All products are 'FOR RESEARCH USE ONLY. NOT FOR USE IN DIAGNOSTIC OR THERAPEUTIC PROCEDURES'.

For licensing inquiries, please contact partnerships@abcam.com