JavaScript is disabled in your browser. Please enable JavaScript to view this website.
AB186825

Anti-CBR1 antibody

Be the first to review this product! Submit a review

|

(4 Publications)

Rabbit Polyclonal CBR1 antibody. Suitable for WB and reacts with Human, Mouse samples. Cited in 4 publications. Immunogen corresponding to Recombinant Full Length Protein corresponding to Human CBR1.

View Alternative Names

CBR, CRN, SDR21C1, CBR1, Carbonyl reductase [NADPH] 1, 15-hydroxyprostaglandin dehydrogenase [NADP(+)], 20-beta-hydroxysteroid dehydrogenase, Alcohol dehydrogenase [NAD(P)+] CBR1, NADPH-dependent carbonyl reductase 1, Prostaglandin 9-ketoreductase, Prostaglandin-E(2) 9-reductase, Short chain dehydrogenase/reductase family 21C member 1, PG-9-KR

1 Images
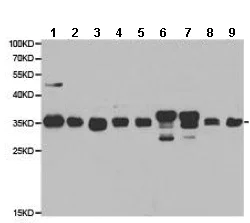
Western blot - Anti-CBR1 antibody (AB186825)
  • WB

Supplier Data

Western blot - Anti-CBR1 antibody (AB186825)

All lanes:

Western blot - Anti-CBR1 antibody (ab186825) at 1/500 dilution

Lane 1:

SW480 cell line extract

Lane 2:

22RV1 cell line extract

Lane 3:

MCF7 cell line extract

Lane 4:

H460 cell line extract

Lane 5:

SKOV3 cell line extract

Lane 6:

Mouse kidney cell line extract

Lane 7:

Mouse liver cell line extract

Lane 8:

Mouse lung cell line extract

Lane 9:

Mouse testis cell line extract

Predicted band size: 30 kDa

false

Key facts

Host species

Rabbit

Clonality

Polyclonal

Isotype

IgG

Carrier free

No

Reacts with

Mouse, Human

Applications

WB

applications

Immunogen

Recombinant Full Length Protein corresponding to Human CBR1.

P16152

Reactivity data

{ "title": "Reactivity Data", "filters": { "stats": ["", "Species", "Dilution Info", "Notes"], "tabs": { "all-applications": {"fullname" : "All Applications", "shortname": "All Applications"}, "WB" : {"fullname" : "Western blot", "shortname":"WB"} }, "product-promise": { "all": "all", "testedAndGuaranteed": "tested", "guaranteed": "expected", "predicted": "predicted", "notRecommended": "not-recommended" } }, "values": { "Human": { "WB-species-checked": "testedAndGuaranteed", "WB-species-dilution-info": "1/500 - 1/2000", "WB-species-notes": "<p></p>" }, "Mouse": { "WB-species-checked": "testedAndGuaranteed", "WB-species-dilution-info": "1/500 - 1/2000", "WB-species-notes": "<p></p>" } } }

Properties and storage information

Form
Liquid
Purification technique
Affinity purification Immunogen
Storage buffer
pH: 7.3 Preservative: 0.02% Sodium azide Constituents: PBS, 50% Glycerol (glycerin, glycerine)
Shipped at conditions
Blue Ice
Appropriate short-term storage duration
1-2 weeks
Appropriate short-term storage conditions
+4°C
Appropriate long-term storage conditions
-20°C
Aliquoting information
Upon delivery aliquot
Storage information
Avoid freeze / thaw cycle

Supplementary information

This supplementary information is collated from multiple sources and compiled automatically.

Cbr1 also known as carbonyl reductase 1 is an important enzyme in the reduction of carbonyl compounds to their alcohol forms. It weighs around 30 kDa and exhibits a wide expression across various tissues but is notably present in the liver and heart. The enzyme acts as a monomer and follows an NADPH-dependent mechanism for its action playing an important role in the detoxification of xenobiotics and the metabolism of endogenous compounds.
Biological function summary

Carbonyl reductase 1 functions in the metabolism of prostaglandins steroids and aromatic aldehydes. Cbr1 is not known to form part of a larger protein complex but acts independently to execute its enzymatic roles. It exhibits broad substrate specificity allowing it to reduce a variety of carbonyl groups which influences several physiological processes such as lipid metabolism and hormone synthesis.

Pathways

The enzyme plays an important role in the prostaglandin metabolic pathway where it reduces prostaglandin E2. Additionally Cbr1 interacts within the retinol metabolism pathway. In these pathways it functions alongside proteins such as aldo-keto reductases and aldose reductase sharing substrate specificity which impacts cellular responses and metabolic regulation.

Cbr1 influences the development of drug resistance in cancer therapy particularly in anthracycline-treated cancers due to its role in drug metabolism. It also associates with cardiovascular conditions where its metabolic activity might affect oxidative stress levels. Connections with other proteins such as superoxide dismutases link Cbr1 to oxidative stress response pathways impacting disease progression and therapy outcomes.

Product protocols

For this product, it's our understanding that no specific protocols are required. You can visit:

Target data

NADPH-dependent reductase with broad substrate specificity. Catalyzes the reduction of a wide variety of carbonyl compounds including quinones, prostaglandins, menadione, plus various xenobiotics. Catalyzes the reduction of the antitumor anthracyclines doxorubicin and daunorubicin to the cardiotoxic compounds doxorubicinol and daunorubicinol (PubMed : 15799708, PubMed : 17344335, PubMed : 17912391, PubMed : 18449627, PubMed : 18826943, PubMed : 1921984, PubMed : 7005231). Can convert prostaglandin E to prostaglandin F2-alpha (By similarity). Can bind glutathione, which explains its higher affinity for glutathione-conjugated substrates. Catalyzes the reduction of S-nitrosoglutathione (PubMed : 17344335, PubMed : 18826943). In addition, participates in the glucocorticoid metabolism by catalyzing the NADPH-dependent cortisol/corticosterone into 20beta-dihydrocortisol (20b-DHF) or 20beta-corticosterone (20b-DHB), which are weak agonists of NR3C1 and NR3C2 in adipose tissue (PubMed : 28878267).
See full target information CBR1

Publications (4)

Recent publications for all applications. Explore the full list and refine your search

Drug development research 81:885-892 PubMed32542754

2020

Flufenamic acid alleviates sepsis-induced lung injury by up-regulating CBR1.

Applications

Unspecified application

Species

Unspecified reactive species

Qiannan Jiang,Zhenzhen Chen,Hong Jiang

Frontiers in pharmacology 11:97 PubMed32184720

2020

Maternal 25-Hydroxyvitamin D Deficiency Promoted Metabolic Syndrome and Downregulated Nrf2/CBR1 Pathway in Offspring.

Applications

Unspecified application

Species

Unspecified reactive species

Jianqiong Zheng,Xiaohui Liu,Bingbing Zheng,Zhenzhen Zheng,Hongping Zhang,Jiayong Zheng,Congcong Sun,Haiying Chen,Jie Yang,Zuo Wang,Meimei Lin,Jingjing Chen,Qingdiao Zhou,Zhi Zheng,Xiaoming Xu,Hao Ying

Molecules and cells 42:672-685 PubMed31486328

2019

Upregulation of Carbonyl Reductase 1 by Nrf2 as a Potential Therapeutic Intervention for Ischemia/ Reperfusion Injury during Liver Transplantation.

Applications

Unspecified application

Species

Unspecified reactive species

Jae Hyun Kwon,Jooyoung Lee,Jiye Kim,Varvara A Kirchner,Yong Hwa Jo,Takeshi Miura,Nayoung Kim,Gi-Won Song,Shin Hwang,Sung-Gyu Lee,Young-In Yoon,Eunyoung Tak

Blood 122:1669-77 PubMed23869083

2013

Targeting apoptosis to induce stable mixed hematopoietic chimerism and long-term allograft survival without myelosuppressive conditioning in mice.

Applications

Unspecified application

Species

Unspecified reactive species

Pietro E Cippà,Sarah S Gabriel,Jin Chen,Philip D Bardwell,Andrew Bushell,Annick Guimezanes,Anna K Kraus,Thomas Wekerle,Rudolf P Wüthrich,Thomas Fehr
View all publications

Product promise

We are committed to supporting your work with high-quality reagents, and we're here for you every step of the way. In the unlikely event that one of our products does not perform as expected, you're protected by our Product Promise.
For full details, please see our Terms & Conditions

Please note: All products are 'FOR RESEARCH USE ONLY. NOT FOR USE IN DIAGNOSTIC OR THERAPEUTIC PROCEDURES'.

For licensing inquiries, please contact partnerships@abcam.com