JavaScript is disabled in your browser. Please enable JavaScript to view this website.
AB264359

Anti-CBR1 antibody

Be the first to review this product! Submit a review

|

(0 Publication)

Rabbit Polyclonal CBR1 antibody. Suitable for IP, WB and reacts with Human samples. Immunogen corresponding to Synthetic Peptide within Human CBR1 aa 200 to C-terminus.

View Alternative Names

CBR, CRN, SDR21C1, CBR1, Carbonyl reductase [NADPH] 1, 15-hydroxyprostaglandin dehydrogenase [NADP(+)], 20-beta-hydroxysteroid dehydrogenase, Alcohol dehydrogenase [NAD(P)+] CBR1, NADPH-dependent carbonyl reductase 1, Prostaglandin 9-ketoreductase, Prostaglandin-E(2) 9-reductase, Short chain dehydrogenase/reductase family 21C member 1, PG-9-KR

2 Images
Immunoprecipitation - Anti-CBR1 antibody (AB264359)
  • IP

Supplier Data

Immunoprecipitation - Anti-CBR1 antibody (AB264359)

CBR1 was immunoprecipitated from 1mg of HeLa (Human epithelial cell line from cervix adenocarcinoma) whole cell lysate with ab264359 at 6 μg per reaction. Western blot was performed from the immunoprecipitate using a different antibody.

Lane 1 : ab264359 IP in HeLa whole cell lysate.
Lane 2 : Control IgG.

Exposure time : 1 sec.

Cells prepared using NETN lysis buffer.

All lanes:

Immunoprecipitation - Anti-CBR1 antibody (ab264359)

Predicted band size: 20 kDa,30 kDa

Observed band size: 21 kDa,24 kDa

false

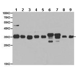
Western blot - Anti-CBR1 antibody (AB264359)
  • WB

Supplier Data

Western blot - Anti-CBR1 antibody (AB264359)

Cells prepared using NETN lysis buffer.

All lanes:

Western blot - Anti-CBR1 antibody (ab264359) at 0.1 µg/mL

Lane 1:

HeLa (Human epithelial cell line from cervix adenocarcinoma) whole cell lysate at 50 µg

Lane 2:

HEK-293T (Human epithelial cell line from embryonic kidney transformed with large T antigen) whole cell lysate at 50 µg

Lane 3:

Jurkat (Human T cell leukemia cell line from peripheral blood) whole cell lysate at 50 µg

Predicted band size: 30 kDa

false

Exposure time: 10s

Key facts

Host species

Rabbit

Clonality

Polyclonal

Isotype

IgG

Carrier free

No

Reacts with

Human

Applications

IP, WB

applications

Immunogen

Synthetic Peptide within Human CBR1 aa 200 to C-terminus. The exact immunogen used to generate this antibody is proprietary information.

P16152

Reactivity data

{ "title": "Reactivity Data", "filters": { "stats": ["", "Species", "Dilution Info", "Notes"], "tabs": { "all-applications": {"fullname" : "All Applications", "shortname": "All Applications"}, "IP" : {"fullname" : "Immunoprecipitation", "shortname":"IP"}, "WB" : {"fullname" : "Western blot", "shortname":"WB"} }, "product-promise": { "all": "all", "testedAndGuaranteed": "tested", "guaranteed": "expected", "predicted": "predicted", "notRecommended": "not-recommended" } }, "values": { "Human": { "IP-species-checked": "testedAndGuaranteed", "IP-species-dilution-info": "2-10 µg/mg of lysate", "IP-species-notes": "<p></p>", "WB-species-checked": "testedAndGuaranteed", "WB-species-dilution-info": "1/2000 - 1/10000", "WB-species-notes": "<p></p>" }, "Orangutan": { "IP-species-checked": "predicted", "IP-species-dilution-info": "", "IP-species-notes": "", "WB-species-checked": "predicted", "WB-species-dilution-info": "", "WB-species-notes": "" } } }

Properties and storage information

Form
Liquid
Purification technique
Affinity purification Immunogen
Storage buffer
pH: 7 - 8 Preservative: 0.09% Sodium azide Constituents: Tris citrate/phosphate
Shipped at conditions
Blue Ice
Appropriate short-term storage duration
1-2 weeks
Appropriate short-term storage conditions
+4°C
Appropriate long-term storage conditions
+4°C
Aliquoting information
Upon delivery aliquot
Storage information
Avoid freeze / thaw cycle

Supplementary information

This supplementary information is collated from multiple sources and compiled automatically.

Cbr1 also known as carbonyl reductase 1 is an important enzyme in the reduction of carbonyl compounds to their alcohol forms. It weighs around 30 kDa and exhibits a wide expression across various tissues but is notably present in the liver and heart. The enzyme acts as a monomer and follows an NADPH-dependent mechanism for its action playing an important role in the detoxification of xenobiotics and the metabolism of endogenous compounds.
Biological function summary

Carbonyl reductase 1 functions in the metabolism of prostaglandins steroids and aromatic aldehydes. Cbr1 is not known to form part of a larger protein complex but acts independently to execute its enzymatic roles. It exhibits broad substrate specificity allowing it to reduce a variety of carbonyl groups which influences several physiological processes such as lipid metabolism and hormone synthesis.

Pathways

The enzyme plays an important role in the prostaglandin metabolic pathway where it reduces prostaglandin E2. Additionally Cbr1 interacts within the retinol metabolism pathway. In these pathways it functions alongside proteins such as aldo-keto reductases and aldose reductase sharing substrate specificity which impacts cellular responses and metabolic regulation.

Cbr1 influences the development of drug resistance in cancer therapy particularly in anthracycline-treated cancers due to its role in drug metabolism. It also associates with cardiovascular conditions where its metabolic activity might affect oxidative stress levels. Connections with other proteins such as superoxide dismutases link Cbr1 to oxidative stress response pathways impacting disease progression and therapy outcomes.

Product protocols

For this product, it's our understanding that no specific protocols are required. You can visit:

Target data

NADPH-dependent reductase with broad substrate specificity. Catalyzes the reduction of a wide variety of carbonyl compounds including quinones, prostaglandins, menadione, plus various xenobiotics. Catalyzes the reduction of the antitumor anthracyclines doxorubicin and daunorubicin to the cardiotoxic compounds doxorubicinol and daunorubicinol (PubMed : 15799708, PubMed : 17344335, PubMed : 17912391, PubMed : 18449627, PubMed : 18826943, PubMed : 1921984, PubMed : 7005231). Can convert prostaglandin E to prostaglandin F2-alpha (By similarity). Can bind glutathione, which explains its higher affinity for glutathione-conjugated substrates. Catalyzes the reduction of S-nitrosoglutathione (PubMed : 17344335, PubMed : 18826943). In addition, participates in the glucocorticoid metabolism by catalyzing the NADPH-dependent cortisol/corticosterone into 20beta-dihydrocortisol (20b-DHF) or 20beta-corticosterone (20b-DHB), which are weak agonists of NR3C1 and NR3C2 in adipose tissue (PubMed : 28878267).
See full target information CBR1

Product promise

We are committed to supporting your work with high-quality reagents, and we're here for you every step of the way. In the unlikely event that one of our products does not perform as expected, you're protected by our Product Promise.
For full details, please see our Terms & Conditions

Please note: All products are 'FOR RESEARCH USE ONLY. NOT FOR USE IN DIAGNOSTIC OR THERAPEUTIC PROCEDURES'.

For licensing inquiries, please contact partnerships@abcam.com