JavaScript is disabled in your browser. Please enable JavaScript to view this website.
AB226194

Anti-CBS antibody

Be the first to review this product! Submit a review

|

(1 Publication)

Rabbit Polyclonal CBS antibody. Suitable for IHC-P, IP, WB and reacts with Human samples. Cited in 1 publication. Immunogen corresponding to Synthetic Peptide within Human CBS aa 1-50.

View Alternative Names

Cystathionine beta-synthase, Beta-thionase, Serine sulfhydrase, CBS

3 Images
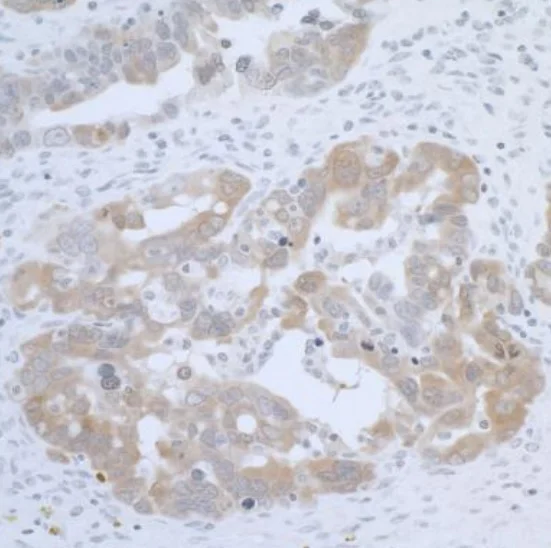
Immunohistochemistry (Formalin/PFA-fixed paraffin-embedded sections) - Anti-CBS antibody (AB226194)
  • IHC-P

Supplier Data

Immunohistochemistry (Formalin/PFA-fixed paraffin-embedded sections) - Anti-CBS antibody (AB226194)

Formalin-fixed, paraffin-embedded human ovarian carcinoma tissue stained for CBS using ab226194 at 1/5000 dilution in immunohistochemical analysis. Detection : DAB staining.

Immunoprecipitation - Anti-CBS antibody (AB226194)
  • IP

Supplier Data

Immunoprecipitation - Anti-CBS antibody (AB226194)

CBS was immunoprecipitated from HEK-293T (human epithelial cell line from embryonic kidney transformed with large T antigen) whole cell lysate (1 mg for IP, 20% of IP loaded) with ab226194 at 6 μg per reaction. Western blot was performed from the immunoprecipitate using ab226194 at 0.4 μg/ml.

Lane 1 : ab226194 IP in HEK-293T whole cell lysate.

Lane 2 : Control IgG IP in HEK-293T whole cell lysate.

Detection : Chemiluminescence with exposure time of 30 seconds.

All lanes:

Immunoprecipitation - Anti-CBS antibody (ab226194)

Predicted band size: 61 kDa

false

Western blot - Anti-CBS antibody (AB226194)
  • WB

Supplier Data

Western blot - Anti-CBS antibody (AB226194)

Cell lysates were prepared in NETN lysis buffer.

All lanes:

Western blot - Anti-CBS antibody (ab226194) at 0.1 µg/mL

Lane 1:

HeLa (human epithelial cell line from cervix adenocarcinoma) whole cell lysate at 50 µg

Lane 2:

HEK-293T (human epithelial cell line from embryonic kidney transformed with large T antigen) whole cell lysate at 50 µg

Lane 3:

Jurkat (human T cell leukemia cell line from peripheral blood) whole cell lysate at 50 µg

Predicted band size: 61 kDa

true

Exposure time: 30s

Key facts

Host species

Rabbit

Clonality

Polyclonal

Isotype

IgG

Carrier free

No

Reacts with

Human

Applications

WB, IP, IHC-P

applications

Immunogen

Synthetic Peptide within Human CBS aa 1-50. The exact immunogen used to generate this antibody is proprietary information.

P35520

Reactivity data

{ "title": "Reactivity Data", "filters": { "stats": ["", "Species", "Dilution Info", "Notes"], "tabs": { "all-applications": {"fullname" : "All Applications", "shortname": "All Applications"}, "IHCP" : {"fullname" : "Immunohistochemistry (Formalin/PFA-fixed paraffin-embedded sections)", "shortname":"IHC-P"}, "IP" : {"fullname" : "Immunoprecipitation", "shortname":"IP"}, "WB" : {"fullname" : "Western blot", "shortname":"WB"} }, "product-promise": { "all": "all", "testedAndGuaranteed": "tested", "guaranteed": "expected", "predicted": "predicted", "notRecommended": "not-recommended" } }, "values": { "Human": { "IHCP-species-checked": "testedAndGuaranteed", "IHCP-species-dilution-info": "1/1000 - 1/5000", "IHCP-species-notes": "<p></p> Perform heat-mediated antigen retrieval with citrate buffer pH 6 before commencing with IHC staining protocol.", "IP-species-checked": "testedAndGuaranteed", "IP-species-dilution-info": "2-10 µg/mg of lysate", "IP-species-notes": "<p></p>", "WB-species-checked": "testedAndGuaranteed", "WB-species-dilution-info": "1/2000 - 1/10000", "WB-species-notes": "<p></p>" } } }

Properties and storage information

Form
Liquid
Purification technique
Affinity purification Immunogen
Purification notes
ab226194 was affinity purified using an epitope specific to CBS immobilized on solid support.
Storage buffer
pH: 7 - 8 Preservative: 0.09% Sodium azide Constituents: Tris citrate/phosphate
Shipped at conditions
Blue Ice
Appropriate short-term storage duration
1-2 weeks
Appropriate short-term storage conditions
+4°C
Appropriate long-term storage conditions
+4°C
Aliquoting information
Upon delivery aliquot
Storage information
Avoid freeze / thaw cycle

Supplementary information

This supplementary information is collated from multiple sources and compiled automatically.

Cystathionine beta-synthase (CBS) is an enzyme that catalyzes the conversion of homocysteine and serine into cystathionine. It is sometimes referred to as CBS monelyne or cystathionine synthase. CBS is a heme-containing protein with a molecular mass of approximately 63 kDa. It is expressed widely in tissues including the liver brain and kidney. The activity of CBS is regulated by various factors including the availability of cofactors like pyridoxal 5'-phosphate and adenosine triphosphate (ATP).
Biological function summary

The enzyme CBS plays a role in the transsulfuration pathway where it helps in the metabolism of homocysteine. CBS is a part of a larger complex in some tissues where it interacts with other enzymes involved in sulfur amino acid metabolism. This function is important in maintaining cellular sulfur amino acid balance and protecting cells from oxidative stress caused by elevated levels of homocysteine.

Pathways

CBS functions in the transsulfuration pathway which connects the methionine cycle and the synthesis of glutathione. This pathway is essential for detoxification and antioxidant protection. CBS interrelates with other proteins like cystathionine gamma-lyase (CGL) within this pathway. The interplay between CBS and CGL ensures the conversion of homocysteine to cysteine which is a precursor for the synthesis of glutathione.

CBS deficiency is linked to homocystinuria a disorder characterized by high levels of homocysteine in the blood and urine. Symptoms include cardiovascular problems and developmental delays. Furthermore alterations in CBS activity relate to cardiovascular diseases due to hyperhomocysteinemia. Within these conditions CBS interacts with other proteins involved in homocysteine metabolism such as methionine synthase which also contributes to the complexity of these disorders.

Product protocols

For this product, it's our understanding that no specific protocols are required. You can visit:

Target data

Hydro-lyase catalyzing the first step of the transsulfuration pathway, where the hydroxyl group of L-serine is displaced by L-homocysteine in a beta-replacement reaction to form L-cystathionine, the precursor of L-cysteine. This catabolic route allows the elimination of L-methionine and the toxic metabolite L-homocysteine (PubMed : 20506325, PubMed : 23974653, PubMed : 23981774). Also involved in the production of hydrogen sulfide, a gasotransmitter with signaling and cytoprotective effects on neurons (By similarity).
See full target information CBS

Publications (1)

Recent publications for all applications. Explore the full list and refine your search

Journal of Cancer 11:2222-2233 PubMed32127949

2020

The Role of MiR-5094 as a Proliferation Suppressor during Cellular Radiation Response via Downregulating STAT5b.

Applications

Unspecified application

Species

Unspecified reactive species

Nan Ding,Junrui Hua,Jinpeng He,Dong Lu,Wenjun Wei,Yanan Zhang,Heng Zhou,Liying Zhang,Yongqi Liu,Guangming Zhou,Jufang Wang
View all publications

Product promise

We are committed to supporting your work with high-quality reagents, and we're here for you every step of the way. In the unlikely event that one of our products does not perform as expected, you're protected by our Product Promise.
For full details, please see our Terms & Conditions

Please note: All products are 'FOR RESEARCH USE ONLY. NOT FOR USE IN DIAGNOSTIC OR THERAPEUTIC PROCEDURES'.

For licensing inquiries, please contact partnerships@abcam.com