JavaScript is disabled in your browser. Please enable JavaScript to view this website.
AB140600

Anti-CBS antibody [EPR8579]

5

(1 Review)

|

(16 Publications)

Rabbit Recombinant Monoclonal CBS antibody. Suitable for IHC-P, WB, ICC/IF and reacts with Human, Pig samples. Cited in 16 publications.

View Alternative Names

Cystathionine beta-synthase, Beta-thionase, Serine sulfhydrase, CBS

5 Images
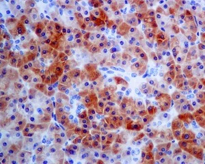
Immunohistochemistry (Formalin/PFA-fixed paraffin-embedded sections) - Anti-CBS antibody [EPR8579] (AB140600)
  • IHC-P

Unknown

Immunohistochemistry (Formalin/PFA-fixed paraffin-embedded sections) - Anti-CBS antibody [EPR8579] (AB140600)

Immunohistochemical analysis of paraffin embedded Human pancreas tissue labelling CBS with ab140600 antibody at a dilution of 1/100.

Perform heat mediated antigen retrieval with citrate buffer pH 6 before commencing with IHC staining protocol.

Immunocytochemistry/ Immunofluorescence - Anti-CBS antibody [EPR8579] (AB140600)
  • ICC/IF

Unknown

Immunocytochemistry/ Immunofluorescence - Anti-CBS antibody [EPR8579] (AB140600)

Immunofluorescent analysis of MCF7 cells labelling CBS with ab140600 at 1/100 dilution.

Western blot - Anti-CBS antibody [EPR8579] (AB140600)
  • WB

Lab

Western blot - Anti-CBS antibody [EPR8579] (AB140600)

Lanes 1-3 : Merged signal (red and green). Green - ab140600 observed at 70 kDa. Red - loading control, ab8245 observed at 37 kDa.

ab140600 Anti-CBS antibody [EPR8579] was shown to specifically react with CBS in wild-type HeLa cells. Loss of signal was observed when knockout cell line ab264950 (knockout cell lysate ab257203) was used. Wild-type and CBS knockout samples were subjected to SDS-PAGE. ab140600 and Anti-GAPDH antibody [6C5] - Loading Control (ab8245) were incubated overnight at 4°C at 1 in 1000 dilution and 1 in 20000 dilution respectively. Blots were developed with Goat anti-Rabbit IgG H&L (IRDye® 800CW) preadsorbed (ab216773) and Goat anti-Mouse IgG H&L (IRDye® 680RD) preadsorbed (ab216776) secondary antibodies at 1 in 10000 dilution for 1 hour at room temperature before imaging.

All lanes:

Western blot - Anti-CBS antibody [EPR8579] (ab140600) at 1/1000 dilution

Lane 1:

Wild-type HeLa cell lysate at 20 µg

Lane 2:

CBS knockout HeLa cell lysate at 20 µg

Lane 3:

Raji cell lysate at 20 µg

Predicted band size: 61 kDa

Observed band size: 70 kDa

false

Western blot - Anti-CBS antibody [EPR8579] (AB140600)
  • WB

Lab

Western blot - Anti-CBS antibody [EPR8579] (AB140600)

Lanes 1-3 : Merged signal (red and green). Green - ab140600 observed at 70 kDa. Red - loading control, ab8245 observed at 37 kDa.

ab140600 Anti-CBS antibody [EPR8579] was shown to specifically react with CBS in wild-type HeLa cells. Loss of signal was observed when knockout cell line ab264950 (knockout cell lysate ab257203) was used. Wild-type and CBS knockout samples were subjected to SDS-PAGE. ab140600 and Anti-GAPDH antibody [6C5] - Loading Control (ab8245) were incubated overnight at 4°C at 1 in 1000 dilution and 1 in 20000 dilution respectively. Blots were developed with Goat anti-Rabbit IgG H&L (IRDye® 800CW) preadsorbed (ab216773) and Goat anti-Mouse IgG H&L (IRDye® 680RD) preadsorbed (ab216776) secondary antibodies at 1 in 10000 dilution for 1 hour at room temperature before imaging.

All lanes:

Western blot - Anti-CBS antibody [EPR8579] (ab140600) at 1/1000 dilution

Lane 1:

Wild-type HeLa cell lysate at 20 µg

Lane 2:

CBS knockout HeLa cell lysate at 20 µg

Lane 2:

Western blot - Human CBS knockout HeLa cell line (<a href='/en-us/products/cell-lines/human-cbs-knockout-hela-cell-line-ab264950'>ab264950</a>)

Lane 3:

Raji cell lysate at 20 µg

Predicted band size: 61 kDa

Observed band size: 70 kDa

false

Western blot - Anti-CBS antibody [EPR8579] (AB140600)
  • WB

Lab

Western blot - Anti-CBS antibody [EPR8579] (AB140600)

Blocking and diluting buffer : 5% NFDM/TBST

All lanes:

Western blot - Anti-CBS antibody [EPR8579] (ab140600) at 1/1000 dilution

Lane 1:

Human liver tissue lysate at 20 µg

Lane 2:

Raji (Human Burkitt's lymphoma B lymphocyte) whole cell lysate at 20 µg

Lane 3:

HeLa (Human cervix adenocarcinoma epithelial cell) whole cell lysate at 20 µg

Lane 4:

MCF7 (Human breast adenocarcinoma epithelial cell) whole cell lysate at 20 µg

Secondary

All lanes:

Goat Anti-Rabbit IgG (HRP) with minimal cross-reactivity with human IgG at 1/2000 dilution

false

Exposure time: 5s

  • Carrier free

    Anti-CBS antibody [EPR8579] - BSA and Azide free

Key facts

Host species

Rabbit

Clonality

Monoclonal

Clone number

EPR8579

Isotype

IgG

Carrier free

No

Reacts with

Human, Pig

Applications

IHC-P, WB, ICC/IF

applications

Immunogen

The exact immunogen used to generate this antibody is proprietary information.

Reactivity data

{ "title": "Reactivity Data", "filters": { "stats": ["", "Species", "Dilution Info", "Notes"], "tabs": { "all-applications": {"fullname" : "All Applications", "shortname": "All Applications"}, "IHCP" : {"fullname" : "Immunohistochemistry (Formalin/PFA-fixed paraffin-embedded sections)", "shortname":"IHC-P"}, "IP" : {"fullname" : "Immunoprecipitation", "shortname":"IP"}, "FlowCyt" : {"fullname" : "Flow Cytometry", "shortname":"Flow Cyt"}, "WB" : {"fullname" : "Western blot", "shortname":"WB"}, "ICCIF" : {"fullname" : "Immunocytochemistry/ Immunofluorescence", "shortname":"ICC/IF"} }, "product-promise": { "all": "all", "testedAndGuaranteed": "tested", "guaranteed": "expected", "predicted": "predicted", "notRecommended": "not-recommended" } }, "values": { "Human": { "IHCP-species-checked": "testedAndGuaranteed", "IHCP-species-dilution-info": "1/100 - 1/250", "IHCP-species-notes": "<p>Antigen retrieval is recommended.</p>", "IP-species-checked": "notRecommended", "IP-species-dilution-info": "", "IP-species-notes": "<p></p>", "FlowCyt-species-checked": "notRecommended", "FlowCyt-species-dilution-info": "", "FlowCyt-species-notes": "<p></p>", "WB-species-checked": "testedAndGuaranteed", "WB-species-dilution-info": "1/1000 - 1/10000", "WB-species-notes": "<p></p>", "ICCIF-species-checked": "testedAndGuaranteed", "ICCIF-species-dilution-info": "1/100 - 1/250", "ICCIF-species-notes": "<p></p>" }, "Pig": { "IHCP-species-checked": "testedAndGuaranteed", "IHCP-species-dilution-info": "1/100 - 1/250", "IHCP-species-notes": "<p>Antigen retrieval is recommended.</p>", "IP-species-checked": "notRecommended", "IP-species-dilution-info": "", "IP-species-notes": "<p></p>", "FlowCyt-species-checked": "notRecommended", "FlowCyt-species-dilution-info": "", "FlowCyt-species-notes": "<p></p>", "WB-species-checked": "testedAndGuaranteed", "WB-species-dilution-info": "1/1000 - 1/10000", "WB-species-notes": "<p></p>", "ICCIF-species-checked": "testedAndGuaranteed", "ICCIF-species-dilution-info": "1/100 - 1/250", "ICCIF-species-notes": "<p></p>" } } }

Product details

Species reactivity
Mouse, Rat: We have preliminary internal testing data to indicate this antibody may not react with these species.
Please contact us for more information.

Patented technology
Our RabMAb® technology is a patented hybridoma-based technology for making rabbit monoclonal antibodies. For details on our patents, please refer to RabMAb® patents.

What are the advantages of a recombinant monoclonal antibody?
This product is a recombinant monoclonal antibody, which offers several advantages including:

  • - High batch-to-batch consistency and reproducibility
  • - Improved sensitivity and specificity
  • - Long-term security of supply
  • - Animal-free batch production

For more information, read more on recombinant antibodies.

Properties and storage information

Form
Liquid
Purification technique
Affinity purification Protein A
Storage buffer
pH: 7.2 - 7.4 Preservative: 0.01% Sodium azide Constituents: PBS, 50% Tissue culture supernatant, 40% Glycerol (glycerin, glycerine), 0.05% BSA
Shipped at conditions
Blue Ice
Appropriate short-term storage conditions
+4°C
Appropriate long-term storage conditions
-20°C
Aliquoting information
Upon delivery aliquot
Storage information
Avoid freeze / thaw cycle

Supplementary information

This supplementary information is collated from multiple sources and compiled automatically.

Cystathionine beta-synthase (CBS) is an enzyme that catalyzes the conversion of homocysteine and serine into cystathionine. It is sometimes referred to as CBS monelyne or cystathionine synthase. CBS is a heme-containing protein with a molecular mass of approximately 63 kDa. It is expressed widely in tissues including the liver brain and kidney. The activity of CBS is regulated by various factors including the availability of cofactors like pyridoxal 5'-phosphate and adenosine triphosphate (ATP).
Biological function summary

The enzyme CBS plays a role in the transsulfuration pathway where it helps in the metabolism of homocysteine. CBS is a part of a larger complex in some tissues where it interacts with other enzymes involved in sulfur amino acid metabolism. This function is important in maintaining cellular sulfur amino acid balance and protecting cells from oxidative stress caused by elevated levels of homocysteine.

Pathways

CBS functions in the transsulfuration pathway which connects the methionine cycle and the synthesis of glutathione. This pathway is essential for detoxification and antioxidant protection. CBS interrelates with other proteins like cystathionine gamma-lyase (CGL) within this pathway. The interplay between CBS and CGL ensures the conversion of homocysteine to cysteine which is a precursor for the synthesis of glutathione.

CBS deficiency is linked to homocystinuria a disorder characterized by high levels of homocysteine in the blood and urine. Symptoms include cardiovascular problems and developmental delays. Furthermore alterations in CBS activity relate to cardiovascular diseases due to hyperhomocysteinemia. Within these conditions CBS interacts with other proteins involved in homocysteine metabolism such as methionine synthase which also contributes to the complexity of these disorders.

Product protocols

For this product, it's our understanding that no specific protocols are required. You can visit:

Target data

Hydro-lyase catalyzing the first step of the transsulfuration pathway, where the hydroxyl group of L-serine is displaced by L-homocysteine in a beta-replacement reaction to form L-cystathionine, the precursor of L-cysteine. This catabolic route allows the elimination of L-methionine and the toxic metabolite L-homocysteine (PubMed : 20506325, PubMed : 23974653, PubMed : 23981774). Also involved in the production of hydrogen sulfide, a gasotransmitter with signaling and cytoprotective effects on neurons (By similarity).
See full target information CBS

Publications (16)

Recent publications for all applications. Explore the full list and refine your search

Antioxidants (Basel, Switzerland) 13: PubMed39594503

2024

SOD1 Is an Integral Yet Insufficient Oxidizer of Hydrogen Sulfide in Trisomy 21 B Lymphocytes and Can Be Augmented by a Pleiotropic Carbon Nanozyme.

Applications

Unspecified application

Species

Unspecified reactive species

Karthik Mouli,Anton V Liopo,Larry J Suva,Kenneth R Olson,Emily A McHugh,James M Tour,Paul J Derry,Thomas A Kent

Nature communications 15:7463 PubMed39198443

2024

Hydrogen sulfide coordinates glucose metabolism switch through destabilizing tetrameric pyruvate kinase M2.

Applications

Unspecified application

Species

Unspecified reactive species

Rong-Hsuan Wang,Pin-Ru Chen,Yue-Ting Chen,Yi-Chang Chen,Yu-Hsin Chu,Chia-Chen Chien,Po-Chen Chien,Shao-Yun Lo,Zhong-Liang Wang,Min-Chen Tsou,Ssu-Yu Chen,Guang-Shen Chiu,Wen-Ling Chen,Yi-Hsuan Wu,Lily Hui-Ching Wang,Wen-Ching Wang,Shu-Yi Lin,Hsing-Jien Kung,Lu-Hai Wang,Hui-Chun Cheng,Kai-Ti Lin

The EMBO journal 43:2789-2812 PubMed38811853

2024

TRP14 is the rate-limiting enzyme for intracellular cystine reduction and regulates proteome cysteinylation.

Applications

Unspecified application

Species

Unspecified reactive species

Pablo Martí-Andrés,Isabela Finamor,Isabel Torres-Cuevas,Salvador Pérez,Sergio Rius-Pérez,Hildegard Colino-Lage,David Guerrero-Gómez,Esperanza Morato,Anabel Marina,Patrycja Michalska,Rafael León,Qing Cheng,Eszter Petra Jurányi,Klaudia Borbényi-Galambos,Iván Millán,Péter Nagy,Antonio Miranda-Vizuete,Edward E Schmidt,Antonio Martínez-Ruiz,Elias Sj Arnér,Juan Sastre

Acta biochimica et biophysica Sinica 54:1731-1739 PubMed36514219

2022

KRAS G12D mutation eliminates reactive oxygen species through the Nrf2/CSE/H S axis and contributes to pancreatic cancer growth.

Applications

Unspecified application

Species

Unspecified reactive species

Kun Fan,Shulong Zhang,Xiaojian Ni,Sheng Shen,Jiwen Wang,Wentao Sun,Tao Suo,Han Liu,Xiaoling Ni,Houbao Liu

Redox biology 57:102505 PubMed36279629

2022

Cystathionine β-synthase overexpression drives metastatic dissemination in pancreatic ductal adenocarcinoma via inducing epithelial-to-mesenchymal transformation of cancer cells.

Applications

Unspecified application

Species

Unspecified reactive species

Ágnes Czikora,Katalin Erdélyi,Tamás Ditrói,Noémi Szántó,Eszter Petra Jurányi,Szilárd Szanyi,József Tóvári,Tamás Strausz,Péter Nagy

Evidence-based complementary and alternative medicine : eCAM 2022:7757833 PubMed36091585

2022

Esculentoside A Alleviates Intestinal Dysmotility in Ulcerative Colitis by Regulating HS/CSE and NO/nNOS Systems.

Applications

Unspecified application

Species

Unspecified reactive species

Ying Liu,Wenhua Wei,Shiwei Liang,Haicheng Fang,Jie Cao

Cell death discovery 8:376 PubMed36038536

2022

Corosolic acid sensitizes ferroptosis by upregulating HERPUD1 in liver cancer cells.

Applications

Unspecified application

Species

Unspecified reactive species

Yingxiu Peng,Ning Li,Feifeng Tang,Chunmei Qian,Tingting Jia,Jingjin Liu,Yanfeng Xu

eLife 10: PubMed34792020

2021

Hydrogen sulfide blocks HIV rebound by maintaining mitochondrial bioenergetics and redox homeostasis.

Applications

Unspecified application

Species

Unspecified reactive species

Virender Kumar Pal,Ragini Agrawal,Srabanti Rakshit,Pooja Shekar,Diwakar Tumkur Narasimha Murthy,Annapurna Vyakarnam,Amit Singh

Medical science monitor : international medical journal of experimental and clinical research 27:e929389 PubMed33714972

2021

Association of Hydrogen Sulfide with Femoral Bone Mineral Density in Osteoporosis Patients: A Preliminary Study.

Applications

Unspecified application

Species

Unspecified reactive species

Yan-Ming Hao,Da-Wei He,Yan Gao,Ling-Na Fang,Pan-Pan Zhang,Ke Lu,Rong-Zhu Lu,Chong Li

Journal of cellular and molecular medicine 25:3460-3468 PubMed33713531

2021

H S catalysed by CBS regulates testosterone synthesis through affecting the sulfhydrylation of PDE.

Applications

Unspecified application

Species

Unspecified reactive species

Jing Wang,Jing Wang,Tao Shen,Renyun Hong,Shanshan Tang,Xia Zhao
View all publications

Product promise

We are committed to supporting your work with high-quality reagents, and we're here for you every step of the way. In the unlikely event that one of our products does not perform as expected, you're protected by our Product Promise.
For full details, please see our Terms & Conditions

Please note: All products are 'FOR RESEARCH USE ONLY. NOT FOR USE IN DIAGNOSTIC OR THERAPEUTIC PROCEDURES'.

For licensing inquiries, please contact partnerships@abcam.com