JavaScript is disabled in your browser. Please enable JavaScript to view this website.
AB288568

Anti-CBX1 / HP1 beta antibody [EPR24242-78] - BSA and Azide free

  • BOND RX™ Validated
  • RabMAb
  • Recombinant
  • KO Validated
  • What is this?

Be the first to review this product! Submit a review

|

(0 Publication)

Rabbit Recombinant Monoclonal CBX1 / HP1 beta antibody. Carrier free. Suitable for IP, ChIP, WB, IHC-P, ICC/IF, Flow Cyt (Intra) and reacts with Mouse, Human, Rat samples.

View Alternative Names

CBX, CBX1, Chromobox protein homolog 1, HP1Hsbeta, Heterochromatin protein 1 homolog beta, Heterochromatin protein p25, M31, Modifier 1 protein, p25beta, HP1 beta

16 Images
Western blot - Anti-CBX1 / HP1 beta antibody [EPR24242-78] - BSA and Azide free (AB288568)
  • WB

Lab

Western blot - Anti-CBX1 / HP1 beta antibody [EPR24242-78] - BSA and Azide free (AB288568)

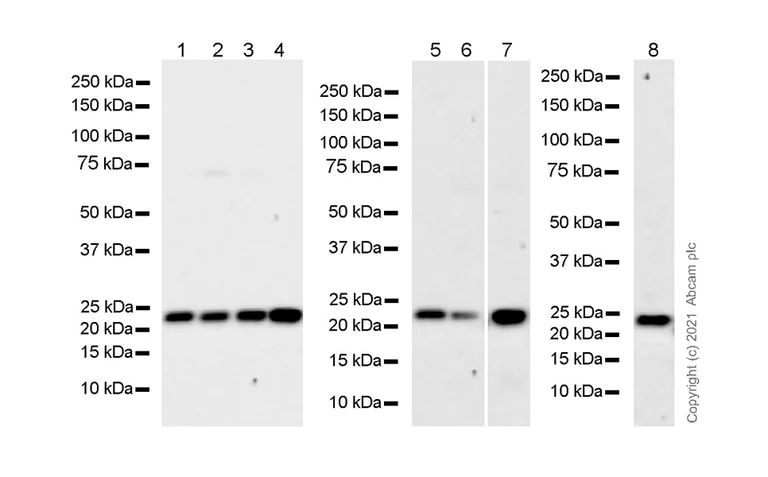
This data was developed using ab270988, the same antibody clone in a different buffer formulation.

Blocking and diluting buffer and concentration : 5% NFDM/TBST

False colour image of Western blot : Anti-CBX1/HP1 beta antibody [EPR24242-78] (ab270988) staining at 1/1000 dilution, shown in green; Mouse anti-GAPDH antibody [6C5] (ab8245) loading control staining at 1/20000 dilution, shown in red.

In Western blot, ab270988 was shown to bind specifically to CBX1/HP1. A band was observed at 21 kDa in wild-type HAP1 cell lysates with no signal observed at this size in CBX1/HP1 beta knockout cell line cell. To generate this image, wild-type and CBX1/HP1 beta HAP1 cell lysates were analysed. First, samples were run on an SDS-PAGE gel then transferred onto a PVDF-FL membrane. Membranes were blocked in Odyssey diluted in equal volume of 0.1 % TBS before incubation with primary antibodies overnight at 4 °C. Blots were washed four times in TBS-T, incubated with secondary antibodies for 1 h at room temperature, washed again four times then imaged. Secondary antibodies used were Goat anti-Rabbit IgG H&L (IRDye® 800CW) preabsorbed (ab216773) and Goat anti-Mouse IgG H&L (IRDye® 680RD) preabsorbed (ab216776) at 1/10000 dilution.

Performed under reducing conditions.

Exposure time : Lanes 1-4 : 15 seconds Lanes 5-7 : 26 seconds.

Lysates/proteins at 10 μg per lane.

All lanes:

Western blot - Anti-CBX1 / HP1 beta antibody [EPR24242-78] (<a href='/en-us/products/primary-antibodies/cbx1-hp1-beta-antibody-epr24242-78-ab270988'>ab270988</a>) at 1/1000 dilution

Lane 1:

Wild-type HAP1 (human chronic myelogenous leukemia near-haploid cell) whole cell lysate at 20 µg

Lane 2:

CBX1/HP1 beta knockout HAP1 whole cell lysate at 20 µg

Lane 3:

293T (human embryonic kidney epithelial cell), whole cell lysate at 20 µg

Lane 4:

HeLa (human cervix adenocarcinoma epithelial cell), whole cell lysate at 20 µg

Lane 5:

NIH/3T3 (mouse embryonic fibroblast), whole cell lysate at 20 µg

Secondary

Lanes 1 - 2:

Goat Anti-Rabbit IgG H&L (IRDye®800CW) (<a href='/en-us/products/secondary-antibodies/goat-rabbit-igg-h-l-irdye-800cw-preadsorbed-ab216773'>ab216773</a>) and Goat Anti-Mouse IgG H&L (IRDye® 680RD) (<a href='/en-us/products/secondary-antibodies/goat-mouse-igg-h-l-irdye-680rd-preadsorbed-ab216776'>ab216776</a>) at 1/10000 dilution

Lanes 3 - 5:

Goat Anti-Rabbit IgG H&L (IRDye® 800CW) (<a href='/en-us/products/secondary-antibodies/goat-rabbit-igg-h-l-irdye-800cw-preadsorbed-ab216773'>ab216773</a>) and Goat Anti-Mouse IgG H&L (IRDye® 680RD) (<a href='/en-us/products/secondary-antibodies/goat-mouse-igg-h-l-irdye-680rd-preadsorbed-ab216776'>ab216776</a>) at 1/10000 dilution

Predicted band size: 21 kDa

false

Western blot - Anti-CBX1 / HP1 beta antibody [EPR24242-78] - BSA and Azide free (AB288568)
  • WB

Lab

Western blot - Anti-CBX1 / HP1 beta antibody [EPR24242-78] - BSA and Azide free (AB288568)

This data was developed using ab270988, the same antibody clone in a different buffer formulation.

Blocking and diluting buffer and concentration : 5% NFDM/TBST

Exposure time : Lanes 1-4 : 59 seconds Lanes 5-8 : 3 minutes

Lysates/proteins at 10 μg per lane.

All lanes:

Western blot - Anti-CBX1 / HP1 beta antibody [EPR24242-78] (<a href='/en-us/products/primary-antibodies/cbx1-hp1-beta-antibody-epr24242-78-ab270988'>ab270988</a>) at 1/1000 dilution

Lane 1:

Mouse brain tissue lysate at 10 µg

Lane 2:

Mouse heart tissue lysate at 10 µg

Lane 3:

Mouse kidney tissue lysate at 10 µg

Lane 4:

Mouse spleen tissue lysate at 10 µg

Lane 5:

Rat brain tissue lysate at 10 µg

Lane 6:

Rat heart tissue lysate at 10 µg

Lane 7:

Rat spleen tissue lysate at 10 µg

Lane 8:

Human kidney tissue lysate at 10 µg

Secondary

All lanes:

Goat Anti-Rabbit IgG, (H+L), Peroxidase conjugated (<a href='/en-us/products/secondary-antibodies/goat-rabbit-igg-h-l-hrp-ab97051'>ab97051</a>) at 1/100000 dilution

Predicted band size: 21 kDa

false

Western blot - Anti-CBX1 / HP1 beta antibody [EPR24242-78] - BSA and Azide free (AB288568)
  • WB

Lab

Western blot - Anti-CBX1 / HP1 beta antibody [EPR24242-78] - BSA and Azide free (AB288568)

This data was developed using ab270988, the same antibody clone in a different buffer formulation.

Blocking and diluting buffer and concentration : 5% NFDM/TBST

Lysates/proteins at 20 μg per lane.

Exposure time : Lanes 1-4 : 15 seconds Lanes 5-7 : 26 seconds

All lanes:

Western blot - Anti-CBX1 / HP1 beta antibody [EPR24242-78] (<a href='/en-us/products/primary-antibodies/cbx1-hp1-beta-antibody-epr24242-78-ab270988'>ab270988</a>) at 1/1000 dilution

Lane 1:

MCF7 (human breast adenocarcinoma epithelial cell), whole cell lysate at 20 µg

Lane 2:

A431 (human epidermoid carcinoma epithelial cell), whole cell lysate at 20 µg

Lane 3:

ES-D3 (mouse embryonic mtipotent stem Cell), whole cell lysate at 20 µg

Lane 4:

C2C12 (mouse myoblasts myoblast), whole cell lysate at 20 µg

Lane 5:

C6 (rat glial tumor glial cell), whole cell lysate at 20 µg

Lane 6:

RAW264.7 (mouse Abelson murine leukemia virus-induced tumor macrophage), whole cell lysate at 20 µg

Lane 7:

PC-12 (rat adrenal gland pheochromocytoma), whole cell lysate at 20 µg

Secondary

All lanes:

Goat Anti-Rabbit IgG, (H+L), Peroxidase conjugated (<a href='/en-us/products/secondary-antibodies/goat-rabbit-igg-h-l-hrp-ab97051'>ab97051</a>) at 1/100000 dilution

Predicted band size: 21 kDa

false

Immunocytochemistry/ Immunofluorescence - Anti-CBX1 / HP1 beta antibody [EPR24242-78] - BSA and Azide free (AB288568)
  • ICC/IF

Lab

Immunocytochemistry/ Immunofluorescence - Anti-CBX1 / HP1 beta antibody [EPR24242-78] - BSA and Azide free (AB288568)

This data was developed using ab270988, the same antibody clone in a different buffer formulation.

Immunofluorescent analysis of 4% Paraformaldehyde-fixed, 0.1% TritonX-100 permeabilized CBX1 KO HAP1 cells labelling CBX1/HP1 beta with ab270988 at 1/500 dilution, followed by ab150081 Goat Anti-Rabbit IgG H&L (Alexa Fluor® 488) preadsorbed antibody at 1/1000 dilution (Green). Confocal image showing nuclear staining in parental HAP1 cell line, no staining in CBX1 KO HAP1 cell line is observed. ab195889 Anti-alpha Tubulin mouse monoclonal antibody - Microtubule Marker (Alexa Fluor® 594) was used to counterstain tubulin at 1/200 dilution (Red). The Nuclear counterstain was DAPI (Blue).

Secondary antibody only control : Secondary antibody is ab150081 Goat Anti-Rabbit IgG H&L (Alexa Fluor® 488) preadsorbed at 1/1000 dilution.

Immunohistochemistry (Formalin/PFA-fixed paraffin-embedded sections) - Anti-CBX1 / HP1 beta antibody [EPR24242-78] - BSA and Azide free (AB288568)
  • IHC-P

Lab

Immunohistochemistry (Formalin/PFA-fixed paraffin-embedded sections) - Anti-CBX1 / HP1 beta antibody [EPR24242-78] - BSA and Azide free (AB288568)

This data was developed using ab270988, the same antibody clone in a different buffer formulation.

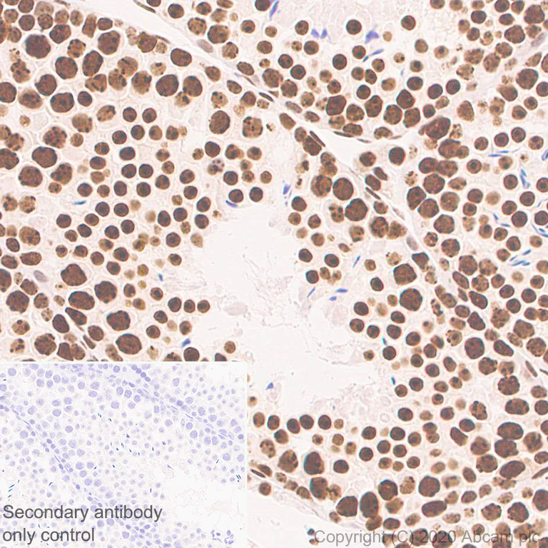
Immunohistochemical analysis of paraffin-embedded Rat testis tissue labelling CBX1/HP1 beta with ab270988 at 1/2000 (0.281 ug/ml) followed by a ready to use Leica DS9800 (BOND®, Polymer Refine Detection) was used. Nuclear staining on rat testis. The section was incubated with ab270988 for 30 mins at room temperature. The immunostaining was performed on a Leica Biosystems BOND® RX instrument Counterstained with Hematoxylin.

Secondary antibody only control : Secondary antibody is a ready to use Leica DS9800 (BOND®, Polymer Refine Detection) was used.

Heat mediated antigen retrieval with Tris-EDTA buffer (pH 9.0, epitope retrieval solution2) for 20 mins

Immunocytochemistry/ Immunofluorescence - Anti-CBX1 / HP1 beta antibody [EPR24242-78] - BSA and Azide free (AB288568)
  • ICC/IF

Lab

Immunocytochemistry/ Immunofluorescence - Anti-CBX1 / HP1 beta antibody [EPR24242-78] - BSA and Azide free (AB288568)

This data was developed using ab270988, the same antibody clone in a different buffer formulation.Immunofluorescent analysis of 4% Paraformaldehyde-fixed, 0.1% TritonX-100 permeabilized HeLa cells labelling CBX1/HP1 beta with ab270988 at 1/500 dilution, followed by ab150081 Goat Anti-Rabbit IgG H&L (Alexa Fluor® 488) preadsorbed antibody at 1/1000 dilution (Green). Confocal image showing nuclear staining in HeLa cell line is observed. ab195889 Anti-alpha Tubulin mouse monoclonal antibody - Microtubule Marker (Alexa Fluor® 594) was used to counterstain tubulin at 1/200 dilution (Red). The Nuclear counterstain was DAPI (Blue).

Secondary antibody only control : Secondary antibody is ab150081 Goat Anti-Rabbit IgG H&L (Alexa Fluor® 488) preadsorbed at 1/1000 dilution.

ChIP - Anti-CBX1 / HP1 beta antibody [EPR24242-78] - BSA and Azide free (AB288568)
  • ChIP

Lab

ChIP - Anti-CBX1 / HP1 beta antibody [EPR24242-78] - BSA and Azide free (AB288568)

This data was developed using ab270988, the same antibody clone in a different buffer formulation.

Chromatin was prepared from ES-D3 cells according to the Abcam Dual-X-ChIP protocol*. Cells were fixed with 1.5 mM EGS for 30mins and then formaldehyde for 10min.

The ChIP was performed with 25 μg of chromatin, 5 μg of ab270988 (red), or 5 μg of rabbit normal IgG ab172730 (gray) and 25 μl of Protein A/G Dynabeads. The immunoprecipitated DNA was quantified by real time PCR (Sybr green approach).

*http : //www.abcam.com/resources?keywords=X%20ChIP%20protocol

Immunohistochemistry (Formalin/PFA-fixed paraffin-embedded sections) - Anti-CBX1 / HP1 beta antibody [EPR24242-78] - BSA and Azide free (AB288568)
  • IHC-P

Lab

Immunohistochemistry (Formalin/PFA-fixed paraffin-embedded sections) - Anti-CBX1 / HP1 beta antibody [EPR24242-78] - BSA and Azide free (AB288568)

This data was developed using ab270988, the same antibody clone in a different buffer formulation.

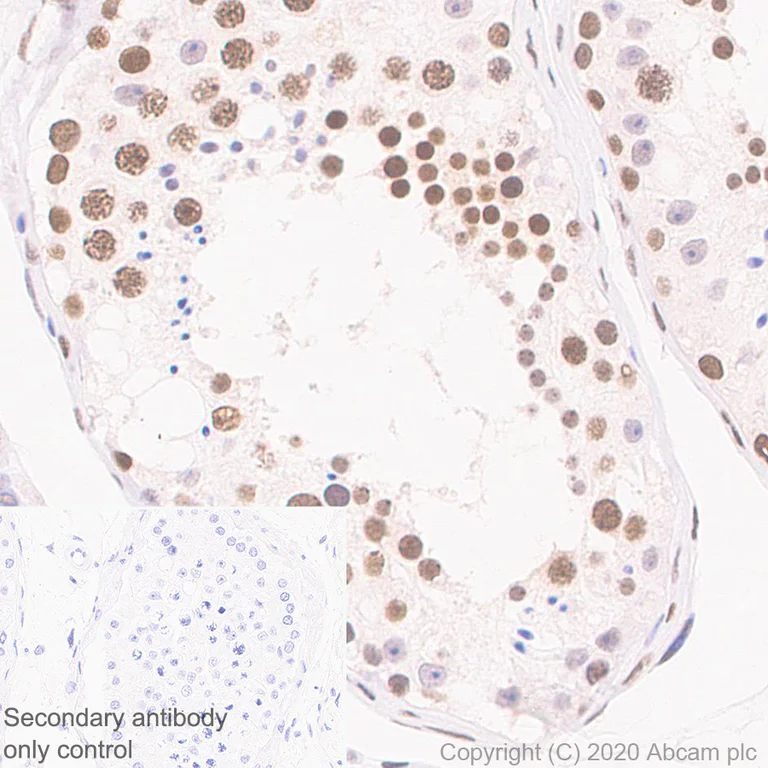
Immunohistochemical analysis of paraffin-embedded Mouse testis tissue labelling CBX1/HP1 beta with ab270988 at 1/2000 (0.281 ug/ml) followed by a ready to use Leica DS9800 (BOND®, Polymer Refine Detection) was used. Nuclear staining on mouse testis. (PMID : 32651609) The section was incubated with ab270988 for 30 mins at room temperature. The immunostaining was performed on a Leica Biosystems BOND® RX instrument Counterstained with Hematoxylin.

Secondary antibody only control : Secondary antibody is a ready to use Leica DS9800 (BOND®, Polymer Refine Detection) was used.

Heat mediated antigen retrieval with Tris-EDTA buffer (pH 9.0, epitope retrieval solution 2) for 20 mins

Immunoprecipitation - Anti-CBX1 / HP1 beta antibody [EPR24242-78] - BSA and Azide free (AB288568)
  • IP

Lab

Immunoprecipitation - Anti-CBX1 / HP1 beta antibody [EPR24242-78] - BSA and Azide free (AB288568)

This data was developed using ab270988, the same antibody clone in a different buffer formulation.CBX1/HP1 beta was immunoprecipitated from 0.35 mg HeLa (human cervix adenocarcinoma epithelial cell) whole cell lysate 10ug with ab270988 at 1/30 dilution (2ug in 0.35mg lysates). Western blot was performed on the immunoprecipitate using ab270988 at 1/1000 dilution. VeriBlot for IP secondary antibody(HRP)(ab131366) was used at 1/5000 dilution.

Lane 1 : HeLa (human cervix adenocarcinoma epithelial cell) whole cell lysate 10ug

Lane 2 : abab270988 IP in HeLa whole cell lysate

Lane 3 : Rabbit monoclonal IgG (ab172730) instead of ab270988 in HeLa whole cell lysate

Blocking and dilution buffer and concentration : 5% NFDM/TBST.

Exposure time : 15 seconds

All lanes:

Immunoprecipitation - Anti-CBX1 / HP1 beta antibody [EPR24242-78] (<a href='/en-us/products/primary-antibodies/cbx1-hp1-beta-antibody-epr24242-78-ab270988'>ab270988</a>)

Predicted band size: 21 kDa

false

Immunocytochemistry/ Immunofluorescence - Anti-CBX1 / HP1 beta antibody [EPR24242-78] - BSA and Azide free (AB288568)
  • ICC/IF

Lab

Immunocytochemistry/ Immunofluorescence - Anti-CBX1 / HP1 beta antibody [EPR24242-78] - BSA and Azide free (AB288568)

This data was developed using ab270988, the same antibody clone in a different buffer formulation.

Immunofluorescent analysis of 4% Paraformaldehyde-fixed, 0.1% TritonX-100 permeabilized NIH/3T3 cells labelling CBX1/HP1 beta with ab270988 at 1/500 dilution, followed by ab150081 Goat Anti-Rabbit IgG H&L (Alexa Fluor® 488) preadsorbed antibody at 1/1000 dilution (Green). Confocal image showing nuclear staining in NIH/3T3 cell line is observed. ab195889 Anti-alpha Tubulin mouse monoclonal antibody - Microtubule Marker (Alexa Fluor® 594) was used to counterstain tubulin at 1/200 dilution (Red). The Nuclear counterstain was DAPI (Blue).

Secondary antibody only control : Secondary antibody is ab150081 Goat Anti-Rabbit IgG H&L (Alexa Fluor® 488) preadsorbed at 1/1000 dilution.

Immunoprecipitation - Anti-CBX1 / HP1 beta antibody [EPR24242-78] - BSA and Azide free (AB288568)
  • IP

Lab

Immunoprecipitation - Anti-CBX1 / HP1 beta antibody [EPR24242-78] - BSA and Azide free (AB288568)

This data was developed using ab270988, the same antibody clone in a different buffer formulation.CBX1/HP1 beta was immunoprecipitated from 0.35 mg NIH/3T3 (mouse embryonic fibroblast), whole cell lysate 10 ug with ab270988 at 1/30 dilution (2ug in 0.35mg lysates). Western blot was performed on the immunoprecipitate using ab270988 at 1/1000 dilution. VeriBlot for IP secondary antibody(HRP)(ab131366) was used at 1/5000 dilution.

Lane 1 : NIH/3T3 (mouse embryonic fibroblast), whole cell lysate 10 ug

Lane 2 : abab270988 IP in NIH/3T3 whole cell lysate

Lane 3 : Rabbit monoclonal IgG (ab172730) instead of ab270988 in NIH/3T3 whole cell lysate

Blocking and dilution buffer and concentration : 5% NFDM/TBST.

Exposure time : 15 seconds

All lanes:

Immunoprecipitation - Anti-CBX1 / HP1 beta antibody [EPR24242-78] (<a href='/en-us/products/primary-antibodies/cbx1-hp1-beta-antibody-epr24242-78-ab270988'>ab270988</a>)

Predicted band size: 21 kDa

false

Immunohistochemistry (Formalin/PFA-fixed paraffin-embedded sections) - Anti-CBX1 / HP1 beta antibody [EPR24242-78] - BSA and Azide free (AB288568)
  • IHC-P

Lab

Immunohistochemistry (Formalin/PFA-fixed paraffin-embedded sections) - Anti-CBX1 / HP1 beta antibody [EPR24242-78] - BSA and Azide free (AB288568)

This data was developed using ab270988, the same antibody clone in a different buffer formulation.

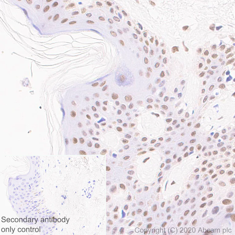
Immunohistochemical analysis of paraffin-embedded Human skin tissue labelling CBX1/HP1 beta with ab270988 at 1/2000 (0.281 ug/ml) followed by a ready to use Leica DS9800 (BOND® , Polymer Refine Detection) was used. Nuclear staining on human skin. (PMID : 25769025) The section was incubated with ab270988 for 30 mins at room temperature. The immunostaining was performed on a Leica Biosystems BOND® RX instrument Counterstained with Hematoxylin.

Secondary antibody only control : Secondary antibody is a ready to use Leica DS9800 (BOND® , Polymer Refine Detection) was used.

Heat mediated antigen retrieval with Tris-EDTA buffer (pH 9.0, epitope retrieval solution 2) for 20 mins

Immunohistochemistry (Formalin/PFA-fixed paraffin-embedded sections) - Anti-CBX1 / HP1 beta antibody [EPR24242-78] - BSA and Azide free (AB288568)
  • IHC-P

Lab

Immunohistochemistry (Formalin/PFA-fixed paraffin-embedded sections) - Anti-CBX1 / HP1 beta antibody [EPR24242-78] - BSA and Azide free (AB288568)

This data was developed using ab270988, the same antibody clone in a different buffer formulation.

Immunohistochemical analysis of paraffin-embedded Human testis tissue labelling CBX1/HP1 beta with ab270988 at 1/2000 (0.281 ug/ml) followed by a ready to use Leica DS9800 (BOND®, Polymer Refine Detection) was used. Nuclear staining on human testis. The section was incubated with ab270988 for 30 mins at room temperature. The immunostaining was performed on a Leica Biosystems BOND® RX instrument Counterstained with Hematoxylin.

Secondary antibody only control : Secondary antibody is a ready to use Leica DS9800 (BOND®, Polymer Refine Detection) was used.

Heat mediated antigen retrieval with Tris-EDTA buffer (pH 9.0, epitope retrieval solution 2) for 20 mins

Flow Cytometry (Intracellular) - Anti-CBX1 / HP1 beta antibody [EPR24242-78] - BSA and Azide free (AB288568)
  • Flow Cyt (Intra)

Lab

Flow Cytometry (Intracellular) - Anti-CBX1 / HP1 beta antibody [EPR24242-78] - BSA and Azide free (AB288568)

This data was developed using ab270988, the same antibody clone in a different buffer formulation.

Flow cytometric analysis of 4% paraformaldehyde fixed 90% methanol permeabilized HeLa (human cervix adenocarcinoma epithelial cell) cells labelling CBX1/HP1 beta with ab270988 at 1/5000 dilution (0.01ug)(Red) compared with a Rabbit monoclonal IgG (ab172730) (Black) isotype control and an unlabelled control (cells without incubation with primary antibody and secondary antibody) (Blue). A Goat Anti-Rabbit IgG (Alexa Fluor® 488, ab150081) at 1/2000 dilution was used as the secondary antibody.

Flow Cytometry (Intracellular) - Anti-CBX1 / HP1 beta antibody [EPR24242-78] - BSA and Azide free (AB288568)
  • Flow Cyt (Intra)

Lab

Flow Cytometry (Intracellular) - Anti-CBX1 / HP1 beta antibody [EPR24242-78] - BSA and Azide free (AB288568)

This data was developed using ab270988, the same antibody clone in a different buffer formulation.

Flow cytometric analysis of 4% paraformaldehyde fixed 90% methanol permeabilized NIH/3T3 (Mouse embryonic fibroblast) cells labelling CBX1/HP1 beta with ab270988 at 1/5000 dilution (0.01ug)(Red) compared with a Rabbit monoclonal IgG (ab172730) (Black) isotype control and an unlabelled control (cells without incubation with primary antibody and secondary antibody) (Blue). A Goat Anti-Rabbit IgG (Alexa Fluor® 488, ab150081) at 1/2000 dilution was used as the secondary antibody.

Flow Cytometry (Intracellular) - Anti-CBX1 / HP1 beta antibody [EPR24242-78] - BSA and Azide free (AB288568)
  • Flow Cyt (Intra)

Lab

Flow Cytometry (Intracellular) - Anti-CBX1 / HP1 beta antibody [EPR24242-78] - BSA and Azide free (AB288568)

This data was developed using ab270988, the same antibody clone in a different buffer formulation.

Flow cytometric analysis of 4% paraformaldehyde fixed 90% methanol permeabilized Wild-type HAP1 (human chronic myelogenous leukemia near-haploid cell, Right) / CBX1/HP1 beta knockout HAP1(Left) cells labelling CBX1/HP1 beta with ab270988 at 1/5000 dilution (0.01ug)(Red) compared with a Rabbit monoclonal IgG (ab172730) (Black) isotype control and an unlabelled control (cells without incubation with primary antibody and secondary antibody) (Blue). A Goat Anti-Rabbit IgG (Alexa Fluor® 488, ab150081) at 1/2000 dilution was used as the secondary antibody.

Key facts

Host species

Rabbit

Clonality

Monoclonal

Clone number

EPR24242-78

Isotype

IgG

Carrier free

Yes

Reacts with

Rat, Mouse, Human

Applications

IP, IHC-P, WB, Flow Cyt (Intra), ICC/IF, ChIP

applications

Immunogen

The exact immunogen used to generate this antibody is proprietary information.

Reactivity data

{ "title": "Reactivity Data", "filters": { "stats": ["", "Species", "Dilution Info", "Notes"], "tabs": { "all-applications": {"fullname" : "All Applications", "shortname": "All Applications"}, "IP" : {"fullname" : "Immunoprecipitation", "shortname":"IP"}, "ChIP" : {"fullname" : "ChIP", "shortname":"ChIP"}, "WB" : {"fullname" : "Western blot", "shortname":"WB"}, "IHCP" : {"fullname" : "Immunohistochemistry (Formalin/PFA-fixed paraffin-embedded sections)", "shortname":"IHC-P"}, "ICCIF" : {"fullname" : "Immunocytochemistry/ Immunofluorescence", "shortname":"ICC/IF"}, "FlowCytIntra" : {"fullname" : "Flow Cytometry (Intracellular)", "shortname":"Flow Cyt (Intra)"} }, "product-promise": { "all": "all", "testedAndGuaranteed": "tested", "guaranteed": "expected", "predicted": "predicted", "notRecommended": "not-recommended" } }, "values": { "Human": { "IP-species-checked": "testedAndGuaranteed", "IP-species-dilution-info": "", "IP-species-notes": "<p></p>", "ChIP-species-checked": "testedAndGuaranteed", "ChIP-species-dilution-info": "", "ChIP-species-notes": "<p></p>", "WB-species-checked": "testedAndGuaranteed", "WB-species-dilution-info": "", "WB-species-notes": "<p></p>", "IHCP-species-checked": "testedAndGuaranteed", "IHCP-species-dilution-info": "", "IHCP-species-notes": "<p></p>", "ICCIF-species-checked": "testedAndGuaranteed", "ICCIF-species-dilution-info": "", "ICCIF-species-notes": "<p></p>", "FlowCytIntra-species-checked": "testedAndGuaranteed", "FlowCytIntra-species-dilution-info": "", "FlowCytIntra-species-notes": "<p></p>" }, "Mouse": { "IP-species-checked": "testedAndGuaranteed", "IP-species-dilution-info": "", "IP-species-notes": "<p></p>", "ChIP-species-checked": "guaranteed", "ChIP-species-dilution-info": "", "ChIP-species-notes": "", "WB-species-checked": "testedAndGuaranteed", "WB-species-dilution-info": "", "WB-species-notes": "<p></p>", "IHCP-species-checked": "testedAndGuaranteed", "IHCP-species-dilution-info": "", "IHCP-species-notes": "<p></p>", "ICCIF-species-checked": "testedAndGuaranteed", "ICCIF-species-dilution-info": "", "ICCIF-species-notes": "<p></p>", "FlowCytIntra-species-checked": "testedAndGuaranteed", "FlowCytIntra-species-dilution-info": "", "FlowCytIntra-species-notes": "<p></p>" }, "Rat": { "IP-species-checked": "guaranteed", "IP-species-dilution-info": "", "IP-species-notes": "", "ChIP-species-checked": "guaranteed", "ChIP-species-dilution-info": "", "ChIP-species-notes": "", "WB-species-checked": "testedAndGuaranteed", "WB-species-dilution-info": "", "WB-species-notes": "<p></p>", "IHCP-species-checked": "testedAndGuaranteed", "IHCP-species-dilution-info": "", "IHCP-species-notes": "<p></p>", "ICCIF-species-checked": "guaranteed", "ICCIF-species-dilution-info": "", "ICCIF-species-notes": "", "FlowCytIntra-species-checked": "guaranteed", "FlowCytIntra-species-dilution-info": "", "FlowCytIntra-species-notes": "" } } }

Product details

Patented technology
Our RabMAb® technology is a patented hybridoma-based technology for making rabbit monoclonal antibodies. For details on our patents, please refer to RabMAb® patents.

What are the advantages of a recombinant monoclonal antibody?
This product is a recombinant monoclonal antibody, which offers several advantages including:

  • - High batch-to-batch consistency and reproducibility
  • - Improved sensitivity and specificity
  • - Long-term security of supply
  • - Animal-free batch production

For more information, read more on recombinant antibodies.

Conjugation ready
Our carrier-free antibodies are typically supplied in a PBS-only formulation, purified and free of BSA, sodium azide and glycerol. This conjugation-ready format is designed for use with fluorochromes, metal isotopes, oligonucleotides, and enzymes, which makes them ideal for antibody labelling, functional and cell-based assays, flow-based assays (e.g. mass cytometry) and Multiplex Imaging applications.

Use our conjugation kits for antibody conjugates that are ready-to-use in as little as 20 minutes with 1 minute hands-on-time and 100% antibody recovery: available for fluorescent dyes, HRP, biotin and gold.

Compatibility
This product is compatible with the Maxpar® Antibody Labeling Kit from Fluidigm, without the need for antibody preparation. Maxpar® is a trademark of Fluidigm Canada Inc.

Properties and storage information

Form
Liquid
Purification technique
Affinity purification Protein A
Storage buffer
pH: 7.2 - 7.4 Constituents: 100% PBS
Shipped at conditions
Blue Ice
Appropriate short-term storage conditions
+4°C
Appropriate long-term storage conditions
+4°C

Supplementary information

This supplementary information is collated from multiple sources and compiled automatically.

CBX1 also known as HP1 beta is a chromatin-associated protein that plays an important role in chromatin organization and epigenetic regulation. This protein has a mass of approximately 22 kDa and localizes within the nucleus where it participates in heterochromatin formation. CBX1 recognizes and binds to histone H3 when it is methylated at lysine 9 (H3K9me3) a modification integral to forming tightly packed DNA regions. Expression of CBX1 occurs widely in many tissue types reflecting its fundamental role in genomic maintenance and cell cycle regulation.
Biological function summary

The CBX1 protein acts as an integral component of the chromatin remodeling complex. By binding to methylated histones CBX1 helps stabilize chromatin architecture and repress transcription of genes within heterochromatic regions. This function is essential for maintaining gene silencing which is critical for processes like development and differentiation. CBX1 collaborates with other HP1 isoforms such as HP1 alpha and HP1 gamma as part of the family of heterochromatin proteins that contribute collectively to chromatin dynamics and gene expression control.

Pathways

CBX1 plays a part in the epigenetic transcriptional repression and cell cycle regulation pathways. It associates with SUV39H1 a methyltransferase to recognize and bind the H3K9me3 mark adding stability to the methylation signal and contributing to gene silencing. Additionally CBX1 interacts with other proteins like DNMT1 a DNA methyltransferase reinforcing its role in sustaining repressive chromatin states and preserving genome integrity during DNA replication.

CBX1 holds a significant association with cancer and neurological disorders. Aberrant expression or mutations in CBX1 can lead to disrupted chromatin states influencing oncogene activation or tumor suppressor gene silencing which are common events in cancer development. Furthermore altered CBX1 function links to neurological disorders where inappropriate chromatin remodeling contributes to disease pathology. Changes in the expression and interaction with other proteins including HP1 alpha highlight its potential role in disease mechanisms making CBX1 a relevant target for therapeutic research.

Product protocols

For this product, it's our understanding that no specific protocols are required. You can visit:

Target data

Component of heterochromatin. Recognizes and binds histone H3 tails methylated at 'Lys-9', leading to epigenetic repression. Interaction with lamin B receptor (LBR) can contribute to the association of the heterochromatin with the inner nuclear membrane.
See full target information CBX1

Product promise

We are committed to supporting your work with high-quality reagents, and we're here for you every step of the way. In the unlikely event that one of our products does not perform as expected, you're protected by our Product Promise.
For full details, please see our Terms & Conditions

Associated Products

Select an associated product type
Alternative Version
Primary Antibodies

AB307381

Alexa Fluor® 647 Anti-CBX1 / HP1 beta antibody [EPR24242-78]

primary-antibodies

alexa-fluor-647-cbx1-hp1-beta-antibody-epr24242-78-ab307381

0

(0 reviews)

Alternative Version
Primary Antibodies

AB307384

Alexa Fluor® 488 Anti-CBX1 / HP1 beta antibody [EPR24242-78]

primary-antibodies

alexa-fluor-488-cbx1-hp1-beta-antibody-epr24242-78-ab307384

0

(0 reviews)

Please note: All products are 'FOR RESEARCH USE ONLY. NOT FOR USE IN DIAGNOSTIC OR THERAPEUTIC PROCEDURES'.

For licensing inquiries, please contact partnerships@abcam.com