JavaScript is disabled in your browser. Please enable JavaScript to view this website.
AB10811

Anti-CBX1 / HP1 beta antibody [MAC353]

4

(2 Reviews)

|

(19 Publications)

Rat Recombinant Monoclonal CBX1 / HP1 beta antibody. Suitable for WB, ICC/IF, IP, I-ELISA, IHC-P and reacts with Human, Mouse, Rat, Recombinant fragment - Human samples. Cited in 19 publications. Immunogen corresponding to Recombinant Protein within Mouse Cbx1.

View Alternative Names

CBX, CBX1, Chromobox protein homolog 1, HP1Hsbeta, Heterochromatin protein 1 homolog beta, Heterochromatin protein p25, M31, Modifier 1 protein, p25beta, HP1 beta

15 Images
Immunocytochemistry/ Immunofluorescence - Anti-CBX1 / HP1 beta antibody [MAC353] (AB10811)
  • ICC/IF

Collaborator

Immunocytochemistry/ Immunofluorescence - Anti-CBX1 / HP1 beta antibody [MAC353] (AB10811)

HeLA cells were stained with ab10811 in panel one. In panel two they were stained with ab10811 (green), DAPI (blue) and SH-CREST (red), which stains the centromeres. Fix 30 minutes on ice in 4% formaldehyde in PEM. Quench autofluorescence 2 x 5 minutes with 1 mg/ml Na borohydride or 100 mM ammonium chloride in PEM. Permeablize 30 minutes with 0.5% TX-100 in PEM. Block 30 minutes in 5% milk in TBST. Primary antibody incubated overnight at 4oC diluted 1/100 in 5% milk in TBST. Secondary antibody incubated 1 hour at RT diluted in 5% milk in TBST. Post-fix 20 minutes on ice in 4% formaldehyde in PEM. Quench autofluorescence 2 x 5 minutes with ammonium chloride in PEM. Counterstain with DAPI in TBST. Mount with ProLong Gold antifade reagent from Invitrogen. Notes : Ample washing between each step. TBST = Tris buffered saline + 0.1% Tween. PEM = 80 mM K-PIPES, pH 6.8, 5 mM EGTA, 2 mM MgCl2. Please note this image was from a different batch produced using hybridoma method

This image is courtesy of Scott Slattery and Mike Mancini

Immunocytochemistry/ Immunofluorescence - Anti-CBX1 / HP1 beta antibody [MAC353] (AB10811)
  • ICC/IF

Lab

Immunocytochemistry/ Immunofluorescence - Anti-CBX1 / HP1 beta antibody [MAC353] (AB10811)

Immunofluorescent analysis of 4% Paraformaldehyde-fixed, 0.1% TritonX-100 permeabilized CBX1 KO HAP1(human chronic myelogenous leukemia cell)/Wild-type HAP1 cells labelling CBX1 / HP1 beta with ab10811 at 1/100 dilution, followed by ab150157 Goat Anti-Rat IgG H&L (Alexa Fluor® 488) antibody at 1/1000 dilution(Green).

Confocal image showing nuclear staining in parental HAP1 cell line (shown in green) and negative staining in CBX1 KO HAP1 cell line. The counterstain was observed in red. Nuclear DNA was labeled with DAPI (shown in blue).
Image was taken with a confocal microscope(Leica-Microsystems, TCS SP8).

ab206369 Anti-beta Tubulin rabbit monoclonal antibody (Alexa Fluor® 594) was used to counterstain tubulin at 1/200 (Red).

Secondary antibody only control : Secondary antibody is ab150157 Goat Anti-Rat IgG H&L (Alexa Fluor® 488) antibody at 1/1000 dilution.

Immunohistochemistry (Formalin/PFA-fixed paraffin-embedded sections) - Anti-CBX1 / HP1 beta antibody [MAC353] (AB10811)
  • IHC-P

Lab

Immunohistochemistry (Formalin/PFA-fixed paraffin-embedded sections) - Anti-CBX1 / HP1 beta antibody [MAC353] (AB10811)

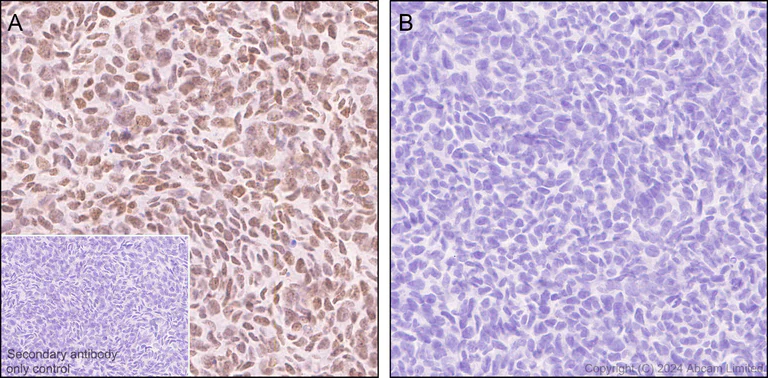
Immunohistochemical analysis of paraffin-embedded (A) Parental HAP1 (human chronic myelogenous leukemia near-haploid cell) pellet/(B) CBX1 knockout HAP1 cell pellet labeling CBX1 / HP1 beta with ab10811 at 1/1000 dilution, followed by a ready to use Goat Anti-Rabbit IgG H&L (HRP) secondary antibody.

Nuclear staining on parental HAP1(human chronic myelogenous leukemia near-haploid cell) (image A), no staining on CBX1 KO HAP1 cell line (image B)
The section was incubated with ab10811 for 30 mins at room temperature.
The immunostaining was performed on a Leica Biosystems BOND® RX instrument

Counterstained with Hematoxylin.

Secondary antibody only control : Secondary antibody is a ready to use ready to use Goat Anti-Rabbit IgG H&L (HRP) secondary antibody.

Heat mediated antigen retrieval was performed with Tris-EDTA buffer (pH 9.0, Epitope Retrieval Solution2) for 20 mins

Immunohistochemistry (Formalin/PFA-fixed paraffin-embedded sections) - Anti-CBX1 / HP1 beta antibody [MAC353] (AB10811)
  • IHC-P

Lab

Immunohistochemistry (Formalin/PFA-fixed paraffin-embedded sections) - Anti-CBX1 / HP1 beta antibody [MAC353] (AB10811)

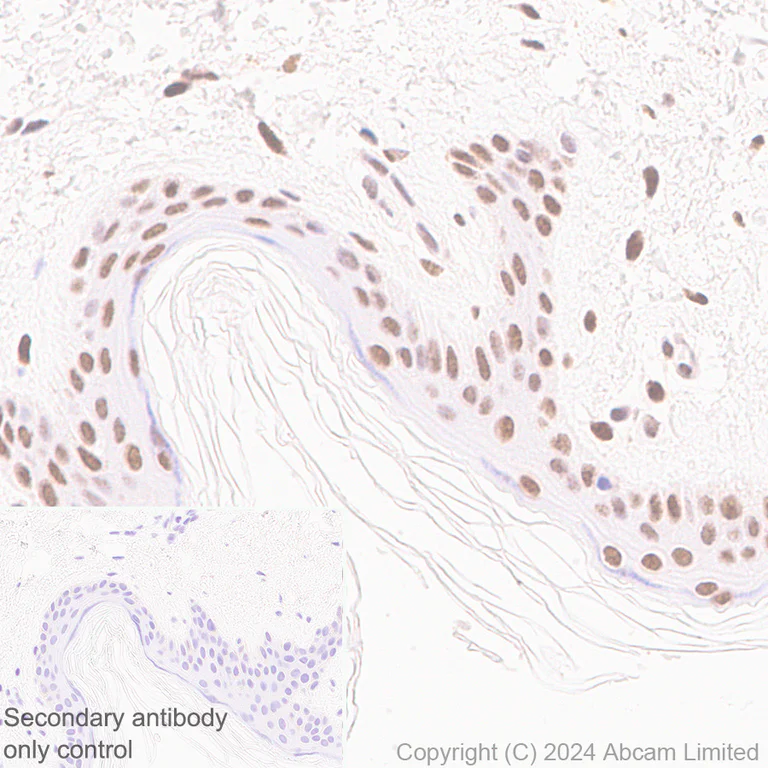
Immunohistochemical analysis of paraffin-embedded Human skin tissue labeling CBX1 / HP1 beta with ab10811 at 1/1000 dilution, followed by a ready to use Goat Anti-Rabbit IgG H&L (HRP) secondary antibody.

Nuclear staining on human skin.
The section was incubated with ab10811 for 30 mins at room temperature, followed by anti-rat IgG antibody (ab102248) for 8 mins during the LeicaDS9800 kit staining procedure.
The immunostaining was performed on a Leica Biosystems BOND® RX instrument

Counterstained with Hematoxylin.

Secondary antibody only control : Secondary antibody is a ready to use ready to use Goat Anti-Rabbit IgG H&L (HRP) secondary antibody.

Heat mediated antigen retrieval was performed with Tris-EDTA buffer (pH 9.0, Epitope Retrieval Solution2) for 20 mins

Immunohistochemistry (Formalin/PFA-fixed paraffin-embedded sections) - Anti-CBX1 / HP1 beta antibody [MAC353] (AB10811)
  • IHC-P

Lab

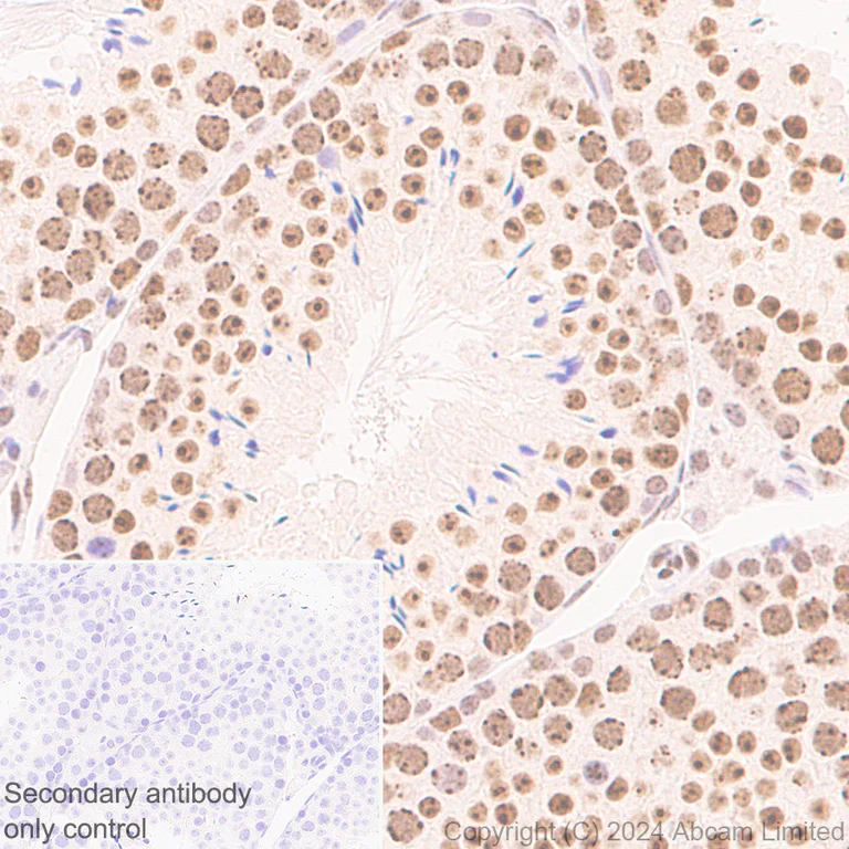
Immunohistochemistry (Formalin/PFA-fixed paraffin-embedded sections) - Anti-CBX1 / HP1 beta antibody [MAC353] (AB10811)

Immunohistochemical analysis of paraffin-embedded Human testis tissue labeling CBX1 / HP1 beta with ab10811 at 1/1000 dilution, followed by a ready to use Goat Anti-Rabbit IgG H&L (HRP) secondary antibody.

Nuclear staining on human testis.
The section was incubated with ab10811 for 30 mins at room temperature, followed by anti-rat IgG antibody (ab102248) for 8 mins during the LeicaDS9800 kit staining procedure.
The immunostaining was performed on a Leica Biosystems BOND® RX instrument

Counterstained with Hematoxylin.

Secondary antibody only control : Secondary antibody is a ready to use ready to use Goat Anti-Rabbit IgG H&L (HRP) secondary antibody.

Heat mediated antigen retrieval was performed with Tris-EDTA buffer (pH 9.0, Epitope Retrieval Solution2) for 20 mins

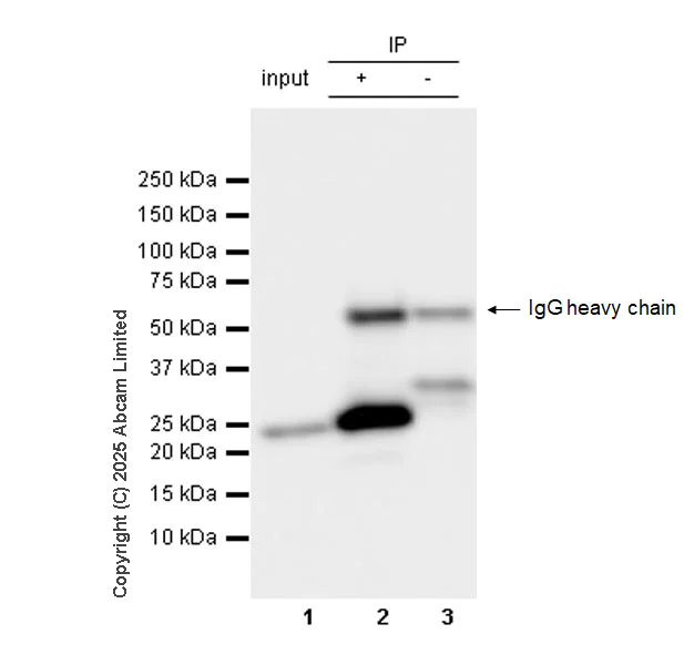
Immunoprecipitation - Anti-CBX1 / HP1 beta antibody [MAC353] (AB10811)
  • IP

Lab

Immunoprecipitation - Anti-CBX1 / HP1 beta antibody [MAC353] (AB10811)

CBX1 / HP1 beta was immunoprecipitated from 0.4 mg HepG2 (human hepatocellular carcinoma epithelial cell) whole cell lysate with ab10811 at 1/50 dilution (2µg in 0.4mg lysates). Western blot was performed on the immunoprecipitate using ab10811 at 1/1000 dilution.

Blocking and dilution buffer and concentration : 5% NFDM/TBST

All lanes:

Immunoprecipitation - Anti-CBX1 / HP1 beta antibody [MAC353] (ab10811) at 1/50 dilution

Lane 1:

HepG2 (human hepatocellular carcinoma epithelial cell) whole cell lysate (Input) at 10 µg

Lane 2:

HepG2 whole cell lysate

Lane 3:

Rat IgG2b isotype control (<a href='/en-us/products/primary-antibodies/rat-igg2b-kappa-monoclonal-rtk4530-isotype-control-ab18541'>ab18541</a>) instead of ab10811 in HepG2 whole cell lysate

Secondary

All lanes:

Immunoprecipitation - VeriBlot for IP Detection Reagent (HRP) (<a href='/en-us/products/reagents/veriblot-for-ip-detection-reagent-hrp-ab131366'>ab131366</a>) at 1/5000 dilution

Observed band size: 21 kDa

false

Exposure time: 1s

Immunocytochemistry/ Immunofluorescence - Anti-CBX1 / HP1 beta antibody [MAC353] (AB10811)
  • ICC/IF

PubMed

Immunocytochemistry/ Immunofluorescence - Anti-CBX1 / HP1 beta antibody [MAC353] (AB10811)

Immunofluorescence analysis of mouse erythroleukemia cell nuclei, staining CBX1 / HP1 beta in heterochromatin, with ab10811.
Cells were fixed with paraformaldehyde, permeabilized using Triton X-100 and blocked for 30 min with 2.5% BSA. Cells were incubated with primary antibody (1/50) before incubating with a Cy3-conjugated goat anti-rat IgG to detect staining.
Please note this image was from a different batch produced using hybridoma method

Image from Talasz H et al., J Biol Chem. 2005 Nov 18;280(46):38814-22. Epub 2005 Sep 15. Fig 1.; doi: 10.1074/jbc.M505563200; November 18, 2005 The Journal of Biological Chemistry, 280, 38814-38822.

Immunohistochemistry (Formalin/PFA-fixed paraffin-embedded sections) - Anti-CBX1 / HP1 beta antibody [MAC353] (AB10811)
  • IHC-P

Lab

Immunohistochemistry (Formalin/PFA-fixed paraffin-embedded sections) - Anti-CBX1 / HP1 beta antibody [MAC353] (AB10811)

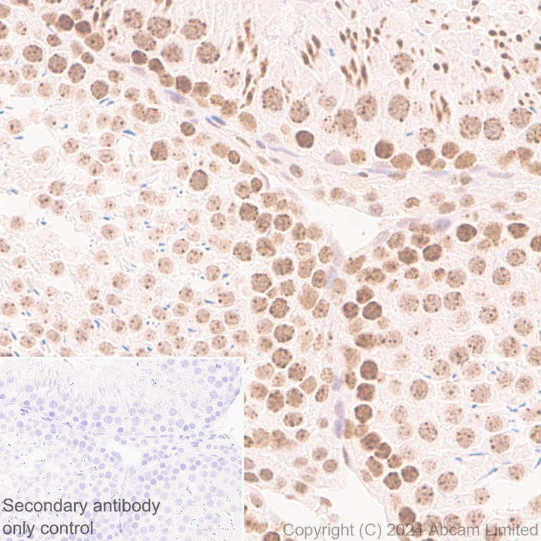
Immunohistochemical analysis of paraffin-embedded Rat testis tissue labeling CBX1 / HP1 beta with ab10811 at 1/5000 dilution, followed by a ready to use Goat Anti-Rabbit IgG H&L (HRP) secondary antibody.

Nuclear staining on rat testis.
The section was incubated with ab10811 for 30 mins at room temperature, followed by anti-rat IgG antibody (ab102248) for 8 mins during the LeicaDS9800 kit staining procedure.
The immunostaining was performed on a Leica Biosystems BOND® RX instrument

Counterstained with Hematoxylin.

Secondary antibody only control : Secondary antibody is a ready to use ready to use Goat Anti-Rabbit IgG H&L (HRP) secondary antibody.

Heat mediated antigen retrieval was performed with Tris-EDTA buffer (pH 9.0, Epitope Retrieval Solution2) for 20 mins

Immunohistochemistry (Formalin/PFA-fixed paraffin-embedded sections) - Anti-CBX1 / HP1 beta antibody [MAC353] (AB10811)
  • IHC-P

Lab

Immunohistochemistry (Formalin/PFA-fixed paraffin-embedded sections) - Anti-CBX1 / HP1 beta antibody [MAC353] (AB10811)

Immunohistochemical analysis of paraffin-embedded Mouse testis tissue labeling CBX1 / HP1 beta with ab10811 at 1/5000 dilution, followed by a ready to use Goat Anti-Rabbit IgG H&L (HRP) secondary antibody.

Nuclear staining on mouse testis.
The section was incubated with ab10811 for 30 mins at room temperature, followed by anti-rat IgG antibody (ab102248) for 8 mins during the LeicaDS9800 kit staining procedure.
The immunostaining was performed on a Leica Biosystems BOND® RX instrument

Counterstained with Hematoxylin.

Secondary antibody only control : Secondary antibody is a ready to use ready to use Goat Anti-Rabbit IgG H&L (HRP) secondary antibody.

Heat mediated antigen retrieval was performed with Tris-EDTA buffer (pH 9.0, Epitope Retrieval Solution2) for 20 mins

Immunocytochemistry/ Immunofluorescence - Anti-CBX1 / HP1 beta antibody [MAC353] (AB10811)
  • ICC/IF

Lab

Immunocytochemistry/ Immunofluorescence - Anti-CBX1 / HP1 beta antibody [MAC353] (AB10811)

Immunofluorescent analysis of 4% Paraformaldehyde-fixed, 0.1% TritonX-100 permeabilized NIH/3T3 (mouse embryonic fibroblast) cells labelling CBX1 / HP1 beta with ab10811 at 1/100 dilution, followed by ab150157 Goat Anti-Rat IgG H&L (Alexa Fluor® 488) antibody at 1/1000 dilution(Green).

Confocal image showing nuclear staining in NIH/3T3 cell line (shown in green). The counterstain was observed in red. Nuclear DNA was labeled with DAPI (shown in blue).
Image was taken with a confocal microscope(Leica-Microsystems, TCS SP8).

ab206369 Anti-beta Tubulin rabbit monoclonal antibody (Alexa Fluor® 594) was used to counterstain tubulin at 1/200 (Red).

Secondary antibody only control : Secondary antibody is ab150157 Goat Anti-Rat IgG H&L (Alexa Fluor® 488) antibody at 1/1000 dilution.

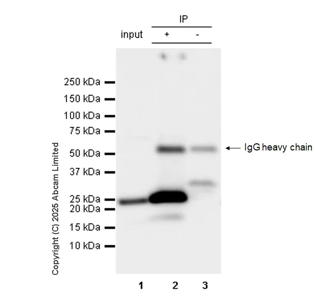
Immunoprecipitation - Anti-CBX1 / HP1 beta antibody [MAC353] (AB10811)
  • IP

Lab

Immunoprecipitation - Anti-CBX1 / HP1 beta antibody [MAC353] (AB10811)

CBX1 / HP1 beta was immunoprecipitated from 0.4 mg ES-D3 [D3] (mouse blastocyst-derived embryonic stem cell) whole cell lysate with ab10811 at 1/50 dilution (2µg in 0.4mg lysates). Western blot was performed on the immunoprecipitate using ab10811 at 1/1000 dilution.

Blocking and dilution buffer and concentration : 5% NFDM/TBST

All lanes:

Immunoprecipitation - Anti-CBX1 / HP1 beta antibody [MAC353] (ab10811) at 1/50 dilution

Lane 1:

ES-D3 [D3]  (mouse blastocyst-derived embryonic stem cell) whole cell lysate (Input) at 10 µg

Lane 2:

ES-D3 [D3]  (mouse blastocyst-derived embryonic stem cell) whole cell lysate (+)

Lane 3:

Rat IgG2b isotype control (<a href='/en-us/products/primary-antibodies/rat-igg2b-kappa-monoclonal-rtk4530-isotype-control-ab18541'>ab18541</a>) instead of ab10811 in ES-D3 [D3] whole cell lysate (-)

Secondary

All lanes:

Immunoprecipitation - VeriBlot for IP Detection Reagent (HRP) (<a href='/en-us/products/reagents/veriblot-for-ip-detection-reagent-hrp-ab131366'>ab131366</a>) at 1/5000 dilution

Observed band size: 21 kDa

false

Exposure time: 1s

Western blot - Anti-CBX1 / HP1 beta antibody [MAC353] (AB10811)
  • WB

Lab

Western blot - Anti-CBX1 / HP1 beta antibody [MAC353] (AB10811)

Blocking and diluting buffer and concentration : 5% NFDM/TBST

ab181602 was used as a GAPDH loading control at a 1/200000 dilution.

In Western blot, anti-CBX1 antibody ab10811 was shown to bind specifically to CBX1. Target of interest was observed at 21kDa in wild-type HAP1 cell lysates (lane 1) with no signal observed at this size in CBX1 knockout cell line (lane 2).

All lanes:

Western blot - Anti-CBX1 / HP1 beta antibody [MAC353] (ab10811) at 1/1000 dilution

Lane 1:

Wild-type HAP1 (human chronic myelogenous leukemia near-haploid cell) whole cell lysate at 20 µg

Lane 2:

CBX1 knockout HAP1 whole cell lysate at 20 µg

Lane 3:

MCF7 (human breast adenocarcinoma epithelial cell) whole cell lysate at 20 µg

Secondary

All lanes:

Western blot - Goat Anti-Rat IgG H&L (HRP) (<a href='/en-us/products/secondary-antibodies/goat-rat-igg-h-l-hrp-ab205720'>ab205720</a>) at 1/10000 dilution

Observed band size: 21 kDa

false

Exposure time: 81s

Western blot - Anti-CBX1 / HP1 beta antibody [MAC353] (AB10811)
  • WB

Lab

Western blot - Anti-CBX1 / HP1 beta antibody [MAC353] (AB10811)

Blocking and diluting buffer and concentration : 5% NFDM/TBST

All lanes:

Western blot - Anti-CBX1 / HP1 beta antibody [MAC353] (ab10811) at 1/1000 dilution

Lane 1:

HepG2 (human hepatocellular carcinoma epithelial cell) whole cell lysate at 20 µg

Lane 2:

293T (human embryonic kidney epithelial cell) whole cell lysate at 20 µg

Secondary

All lanes:

Western blot - Goat Anti-Rat IgG H&L (HRP) (<a href='/en-us/products/secondary-antibodies/goat-rat-igg-h-l-hrp-ab205720'>ab205720</a>) at 1/10000 dilution

Observed band size: 21 kDa

false

Exposure time: 125s

Western blot - Anti-CBX1 / HP1 beta antibody [MAC353] (AB10811)
  • WB

Lab

Western blot - Anti-CBX1 / HP1 beta antibody [MAC353] (AB10811)

Blocking and diluting buffer and concentration : 5% NFDM/TBST

The identity of the higher MW bands are unknown.

All lanes:

Western blot - Anti-CBX1 / HP1 beta antibody [MAC353] (ab10811) at 1/1000 dilution

Lane 1:

C6 (rat glial tumor glial cell) whole cell lysate at 20 µg

Lane 2:

RAW 264.7 (mouse Abelson murine leukemia virus-induced tumor macrophage) whole cell lysate at 20 µg

Lane 3:

PC-12 (rat adrenal gland pheochromocytoma cell) whole cell lysate at 20 µg

Lane 4:

NIH/3T3 (mouse embryonic fibroblast) whole cell lysate at 20 µg

Secondary

All lanes:

Western blot - Goat Anti-Rat IgG H&L (HRP) (<a href='/en-us/products/secondary-antibodies/goat-rat-igg-h-l-hrp-ab205720'>ab205720</a>) at 1/10000 dilution

Observed band size: 21 kDa

false

Exposure time: 26s

Indirect ELISA - Anti-CBX1 / HP1 beta antibody [MAC353] (AB10811)
  • I-ELISA

Lab

Indirect ELISA - Anti-CBX1 / HP1 beta antibody [MAC353] (AB10811)

Indirect ELISA analysis of ab10811 at 1000-0 ng/ml. The Secondary antibody used was Alkaline Phosphatase-conjugated AffiniPure Goat Anti-Rat IgG (H+L) at 1/1000 dilution.

Antigen : Human CBX1 / HP1 beta.

Antigen concentration : 1000 ng/ml

Key facts

Host species

Rat

Clonality

Monoclonal

Clone number

MAC353

Isotype

IgG2b

Carrier free

No

Reacts with

Human, Mouse, Rat

Applications

ICC/IF, WB, IHC-P, IP, I-ELISA

applications

Immunogen

Recombinant Protein within Mouse Cbx1. The exact immunogen used to generate this antibody is proprietary information.

P83917

Reactivity data

{ "title": "Reactivity Data", "filters": { "stats": ["", "Species", "Dilution Info", "Notes"], "tabs": { "all-applications": {"fullname" : "All Applications", "shortname": "All Applications"}, "WB" : {"fullname" : "Western blot", "shortname":"WB"}, "ICCIF" : {"fullname" : "Immunocytochemistry/ Immunofluorescence", "shortname":"ICC/IF"}, "IP" : {"fullname" : "Immunoprecipitation", "shortname":"IP"}, "IELISA" : {"fullname" : "Indirect ELISA", "shortname":"I-ELISA"}, "IHCP" : {"fullname" : "Immunohistochemistry (Formalin/PFA-fixed paraffin-embedded sections)", "shortname":"IHC-P"}, "IHCFr" : {"fullname" : "Immunohistochemistry (Frozen sections)", "shortname":"IHC-Fr"} }, "product-promise": { "all": "all", "testedAndGuaranteed": "tested", "guaranteed": "expected", "predicted": "predicted", "notRecommended": "not-recommended" } }, "values": { "Human": { "WB-species-checked": "testedAndGuaranteed", "WB-species-dilution-info": "1/1000", "WB-species-notes": "<p></p>", "ICCIF-species-checked": "testedAndGuaranteed", "ICCIF-species-dilution-info": "1/100", "ICCIF-species-notes": "<p></p>", "IP-species-checked": "testedAndGuaranteed", "IP-species-dilution-info": "1/50", "IP-species-notes": "<p></p>", "IELISA-species-checked": "guaranteed", "IELISA-species-dilution-info": "", "IELISA-species-notes": "", "IHCP-species-checked": "testedAndGuaranteed", "IHCP-species-dilution-info": "1/1000 - 1/5000", "IHCP-species-notes": "<p></p>", "IHCFr-species-checked": "notRecommended", "IHCFr-species-dilution-info": "", "IHCFr-species-notes": "" }, "Mouse": { "WB-species-checked": "testedAndGuaranteed", "WB-species-dilution-info": "1/1000", "WB-species-notes": "<p></p>", "ICCIF-species-checked": "testedAndGuaranteed", "ICCIF-species-dilution-info": "1/100", "ICCIF-species-notes": "<p></p>", "IP-species-checked": "testedAndGuaranteed", "IP-species-dilution-info": "1/50", "IP-species-notes": "<p></p>", "IELISA-species-checked": "guaranteed", "IELISA-species-dilution-info": "0.0625 µg/mL", "IELISA-species-notes": "<p></p>", "IHCP-species-checked": "testedAndGuaranteed", "IHCP-species-dilution-info": "1/1000 - 1/5000", "IHCP-species-notes": "<p></p>", "IHCFr-species-checked": "notRecommended", "IHCFr-species-dilution-info": "", "IHCFr-species-notes": "<p></p>" }, "Rat": { "WB-species-checked": "testedAndGuaranteed", "WB-species-dilution-info": "1/1000", "WB-species-notes": "<p></p>", "ICCIF-species-checked": "guaranteed", "ICCIF-species-dilution-info": "", "ICCIF-species-notes": "", "IP-species-checked": "guaranteed", "IP-species-dilution-info": "", "IP-species-notes": "", "IELISA-species-checked": "guaranteed", "IELISA-species-dilution-info": "", "IELISA-species-notes": "", "IHCP-species-checked": "testedAndGuaranteed", "IHCP-species-dilution-info": "1/1000 - 1/5000", "IHCP-species-notes": "<p></p>", "IHCFr-species-checked": "notRecommended", "IHCFr-species-dilution-info": "", "IHCFr-species-notes": "" }, "Recombinant fragment - Human": { "WB-species-checked": "notRecommended", "WB-species-dilution-info": "", "WB-species-notes": "", "ICCIF-species-checked": "notRecommended", "ICCIF-species-dilution-info": "", "ICCIF-species-notes": "", "IP-species-checked": "notRecommended", "IP-species-dilution-info": "", "IP-species-notes": "", "IELISA-species-checked": "testedAndGuaranteed", "IELISA-species-dilution-info": "0.0625 µg/mL", "IELISA-species-notes": "<p></p>", "IHCP-species-checked": "notRecommended", "IHCP-species-dilution-info": "", "IHCP-species-notes": "", "IHCFr-species-checked": "notRecommended", "IHCFr-species-dilution-info": "", "IHCFr-species-notes": "" } } }

Product details

This product has switched from a hybridoma to recombinant production method on 20th June 2025

What are the advantages of a recombinant monoclonal antibody?
This product is a recombinant monoclonal antibody, which offers several advantages including:

  • - High batch-to-batch consistency and reproducibility
  • - Improved sensitivity and specificity
  • - Long-term security of supply
  • - Animal-free batch production

For more information, read more on recombinant antibodies.

Properties and storage information

Form
Liquid
Purification technique
Ion exchange chromatography
Storage buffer
pH: 7.2 - 7.4 Preservative: 0.01% Sodium azide Constituents: PBS, 40% Glycerol (glycerin, glycerine), 0.05% BSA
Shipped at conditions
Blue Ice
Appropriate short-term storage duration
1-2 weeks
Appropriate short-term storage conditions
+4°C
Appropriate long-term storage conditions
-20°C
Aliquoting information
Upon delivery aliquot
Storage information
Avoid freeze / thaw cycle

Supplementary information

This supplementary information is collated from multiple sources and compiled automatically.

CBX1 also known as HP1 beta is a chromatin-associated protein that plays an important role in chromatin organization and epigenetic regulation. This protein has a mass of approximately 22 kDa and localizes within the nucleus where it participates in heterochromatin formation. CBX1 recognizes and binds to histone H3 when it is methylated at lysine 9 (H3K9me3) a modification integral to forming tightly packed DNA regions. Expression of CBX1 occurs widely in many tissue types reflecting its fundamental role in genomic maintenance and cell cycle regulation.
Biological function summary

The CBX1 protein acts as an integral component of the chromatin remodeling complex. By binding to methylated histones CBX1 helps stabilize chromatin architecture and repress transcription of genes within heterochromatic regions. This function is essential for maintaining gene silencing which is critical for processes like development and differentiation. CBX1 collaborates with other HP1 isoforms such as HP1 alpha and HP1 gamma as part of the family of heterochromatin proteins that contribute collectively to chromatin dynamics and gene expression control.

Pathways

CBX1 plays a part in the epigenetic transcriptional repression and cell cycle regulation pathways. It associates with SUV39H1 a methyltransferase to recognize and bind the H3K9me3 mark adding stability to the methylation signal and contributing to gene silencing. Additionally CBX1 interacts with other proteins like DNMT1 a DNA methyltransferase reinforcing its role in sustaining repressive chromatin states and preserving genome integrity during DNA replication.

CBX1 holds a significant association with cancer and neurological disorders. Aberrant expression or mutations in CBX1 can lead to disrupted chromatin states influencing oncogene activation or tumor suppressor gene silencing which are common events in cancer development. Furthermore altered CBX1 function links to neurological disorders where inappropriate chromatin remodeling contributes to disease pathology. Changes in the expression and interaction with other proteins including HP1 alpha highlight its potential role in disease mechanisms making CBX1 a relevant target for therapeutic research.

Product protocols

For this product, it's our understanding that no specific protocols are required. You can visit:

Target data

Component of heterochromatin. Recognizes and binds histone H3 tails methylated at 'Lys-9', leading to epigenetic repression. Interaction with lamin B receptor (LBR) can contribute to the association of the heterochromatin with the inner nuclear membrane.
See full target information CBX1

Publications (19)

Recent publications for all applications. Explore the full list and refine your search

Nature communications 16:6900 PubMed40715155

2025

SMCHD1 maintains heterochromatin, genome compartments and epigenome landscape in human myoblasts.

Applications

Unspecified application

Species

Unspecified reactive species

Zhijun Huang,Wei Cui,Ishara Ratnayake,Kristin L Gallik,Lorna Cohen,Rabi Tawil,Gerd P Pfeifer

BMC biology 22:246 PubMed39443993

2024

SETDB1 targeting SESN2 regulates mitochondrial damage and oxidative stress in renal ischemia-reperfusion injury.

Applications

Unspecified application

Species

Unspecified reactive species

Kang Xia,Yumin Hui,Long Zhang,Qiangmin Qiu,Jiacheng Zhong,Hui Chen,Xiuheng Liu,Lei Wang,Zhiyuan Chen

The EMBO journal 43:4542-4577 PubMed39192031

2024

Heterochromatin formation and remodeling by IRTKS condensates counteract cellular senescence.

Applications

Unspecified application

Species

Unspecified reactive species

Jia Xie,Zhao-Ning Lu,Shi-Hao Bai,Xiao-Fang Cui,He-Yuan Lian,Chen-Yi Xie,Na Wang,Lan Wang,Ze-Guang Han

Nucleic acids research 50:e125 PubMed36189882

2022

Probing protein ubiquitination in live cells.

Applications

Unspecified application

Species

Unspecified reactive species

Weihua Qin,Clemens Steinek,Ksenia Kolobynina,Ignasi Forné,Axel Imhof,M Cristina Cardoso,Heinrich Leonhardt

ACS omega 7:716-732 PubMed35036738

2022

Discovery of Potent Peptidomimetic Antagonists for Heterochromatin Protein 1 Family Proteins.

Applications

Unspecified application

Species

Unspecified reactive species

Kelsey N Lamb,Sarah N Dishman,Jarod M Waybright,Isabelle A Engelberg,Justin M Rectenwald,Jacqueline L Norris-Drouin,Stephanie H Cholensky,Kenneth H Pearce,Lindsey I James,Stephen V Frye

ACS chemical biology 16:1721-1736 PubMed34415726

2021

A Peptidomimetic Ligand Targeting the Chromodomain of MPP8 Reveals HRP2's Association with the HUSH Complex.

Applications

Unspecified application

Species

Unspecified reactive species

Jarod M Waybright,Sarah E Clinkscales,Kimberly D Barnash,Gabrielle R Budziszewski,Justin M Rectenwald,Anna M Chiarella,Jacqueline L Norris-Drouin,Stephanie H Cholensky,Kenneth H Pearce,Laura E Herring,Robert K McGinty,Nathaniel A Hathaway,Lindsey I James

Journal of cell science 133: PubMed32661090

2020

CENP-B creates alternative epigenetic chromatin states permissive for CENP-A or heterochromatin assembly.

Applications

Unspecified application

Species

Unspecified reactive species

Koichiro Otake,Jun-Ichirou Ohzeki,Nobuaki Shono,Kazuto Kugou,Koei Okazaki,Takahiro Nagase,Hisashi Yamakawa,Natalay Kouprina,Vladimir Larionov,Hiroshi Kimura,William C Earnshaw,Hiroshi Masumoto

Molecular cell 76:646-659.e6 PubMed31543422

2019

Histone Modifications Regulate Chromatin Compartmentalization by Contributing to a Phase Separation Mechanism.

Applications

Unspecified application

Species

Unspecified reactive species

Liang Wang,Yifei Gao,Xiangdong Zheng,Cuifang Liu,Shuangshuang Dong,Ru Li,Guanwei Zhang,Yixuan Wei,Hongyuan Qu,Yuhan Li,C David Allis,Guohong Li,Haitao Li,Pilong Li

Nature communications 8:14941 PubMed28361889

2017

The histone H3K9 methyltransferase SUV39H links SIRT1 repression to myocardial infarction.

Applications

Unspecified application

Species

Unspecified reactive species

Guang Yang,Xinyu Weng,Yuhao Zhao,Xinjian Zhang,Yuanping Hu,Xin Dai,Peng Liang,Peng Wang,LeiLei Ma,Xiaolei Sun,Lei Hou,Huihui Xu,Mingming Fang,Yuehua Li,Thomas Jenuwein,Yong Xu,Aijun Sun

Molecular therapy : the journal of the American Society of Gene Therapy 24:527-35 PubMed26527377

2015

CRISPR/dCas9-mediated Transcriptional Inhibition Ameliorates the Epigenetic Dysregulation at D4Z4 and Represses DUX4-fl in FSH Muscular Dystrophy.

Applications

ChIP

Species

Human

Charis L Himeda,Takako I Jones,Peter L Jones
View all publications

Product promise

We are committed to supporting your work with high-quality reagents, and we're here for you every step of the way. In the unlikely event that one of our products does not perform as expected, you're protected by our Product Promise.
For full details, please see our Terms & Conditions

Please note: All products are 'FOR RESEARCH USE ONLY. NOT FOR USE IN DIAGNOSTIC OR THERAPEUTIC PROCEDURES'.

For licensing inquiries, please contact partnerships@abcam.com