JavaScript is disabled in your browser. Please enable JavaScript to view this website.
AB314187

Anti-CBX2 antibody [24A2]

Be the first to review this product! Submit a review

|

(0 Publication)

Rabbit Monoclonal CBX2 antibody. Suitable for WB and reacts with Human, Rat samples. Immunogen corresponding to Synthetic Peptide within Human CBX2.

View Alternative Names

Chromobox protein homolog 2, CBX2

1 Images
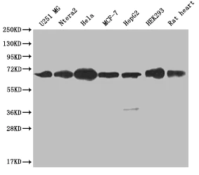
Western blot - Anti-CBX2 antibody [24A2] (AB314187)
  • WB

Supplier Data

Western blot - Anti-CBX2 antibody [24A2] (AB314187)

Western Blot
Positive WB detected in : U251 whole cell lysate, Ntera-2 whole cell lysate, Hela whole cell lysate, MCF-7 whole cell lysate, HepG2 whole cell lysate, HEK293 whole cell lysate, Rat heart tissue
All lanes : CBX2 antibody at 1 : 2000
Secondary
Goat polyclonal to rabbit IgG at 1/50000 dilution
Predicted band size : 57, 24 kDa
Observed band size : 60-72 kDa

All lanes:

Western blot - Anti-CBX2 antibody [24A2] (ab314187) at 1/2000 dilution

Lane 1:

U251 MG whole cell lysate

Lane 2:

Ntera-2 whole cell lysate

Lane 3:

HeLa whole cell lysate

Lane 4:

MCF7 whole cell lysate

Lane 5:

HepG2 whole cell lysate

Lane 6:

HEK293 whole cell lysate

Lane 7:

Rat heart tissue lysate

Secondary

All lanes:

Goat polyclonal to rabbit IgG at 1/50000 dilution

Predicted band size: 60-72 kDa

false

Key facts

Host species

Rabbit

Clonality

Monoclonal

Clone number

24A2

Isotype

IgG

Carrier free

No

Reacts with

Human, Rat

Applications

WB

applications

Immunogen

Synthetic Peptide within Human CBX2.

Q14781

Reactivity data

{ "title": "Reactivity Data", "filters": { "stats": ["", "Species", "Dilution Info", "Notes"], "tabs": { "all-applications": {"fullname" : "All Applications", "shortname": "All Applications"}, "WB" : {"fullname" : "Western blot", "shortname":"WB"} }, "product-promise": { "all": "all", "testedAndGuaranteed": "tested", "guaranteed": "expected", "predicted": "predicted", "notRecommended": "not-recommended" } }, "values": { "Human": { "WB-species-checked": "testedAndGuaranteed", "WB-species-dilution-info": "1/500 - 1/2000", "WB-species-notes": "<p></p>" }, "Rat": { "WB-species-checked": "testedAndGuaranteed", "WB-species-dilution-info": "1/500 - 1/2000", "WB-species-notes": "<p></p>" } } }

Product details

What are the advantages of a recombinant monoclonal antibody?
This product is a recombinant monoclonal antibody, which offers several advantages including:

  • - High batch-to-batch consistency and reproducibility
  • - Improved sensitivity and specificity
  • - Long-term security of supply
  • - Animal-free batch production

For more information, read more on recombinant antibodies.

Properties and storage information

Form
Liquid
Purification technique
Affinity purification
Storage buffer
pH: 7.4 Preservative: 0.02% Sodium azide Constituents: PBS, 50% Glycerol (glycerin, glycerine), 0.88% Sodium chloride
Shipped at conditions
Blue Ice
Appropriate short-term storage duration
1-2 weeks
Appropriate short-term storage conditions
+4°C
Appropriate long-term storage conditions
-20°C
Aliquoting information
Upon delivery aliquot
Storage information
Avoid freeze / thaw cycle

Supplementary information

This supplementary information is collated from multiple sources and compiled automatically.

The 'CBX2' protein also known as chromobox homolog 2 is an important component of the genetic regulation machinery. It weighs approximately 64 kDa and is mainly expressed in the nucleus of cells. CBX2 belongs to the Polycomb group (PcG) proteins specifically forming a part of the Polycomb repressive complex 1 (PRC1). Through its interaction with chromatin CBX2 induces transcriptional repression an important function for maintaining cellular identity and pluripotency.
Biological function summary

The effects of this protein extend to important roles in embryogenesis and cell cycle regulation. CBX2 serves as a part of PRC1 where it acts to mark chromatin for activation or repression. This complex allows CBX2 to recruit additional enzymes and proteins that modify chromatin structure ensuring tight regulation of gene expression. Cell differentiation depends heavily on the epigenetic control mediated by such proteins highlighting the importance of CBX2 in developmental biology.

Pathways

CBX2 plays integral roles in both the Wnt and the Hedgehog signaling pathways impacting cellular growth and differentiation. In these pathways CBX2 interacts with proteins like β-catenin in the Wnt pathway and GLI proteins in the Hedgehog pathway influencing gene transcription. These interactions highlight CBX2’s importance in switching genetic programs on or off in response to cellular signaling.

Researchers have associated CBX2 with cancer and sexual development disorders. Abnormal expression patterns of CBX2 are often found in various cancer types where it can interact with proteins like BMI1 to alter chromatin states. Additionally mutations in CBX2 have been linked to disorders of sex development (DSD) where it influences genes critical for sexual differentiation. Understanding CBX2’s role could cast light on pathologies related to these diseases and provide potential therapeutic targets.

Product protocols

For this product, it's our understanding that no specific protocols are required. You can visit:

Target data

Component of a Polycomb group (PcG) multiprotein PRC1-like complex, a complex class required to maintain the transcriptionally repressive state of many genes, including Hox genes, throughout development (PubMed : 21282530). PcG PRC1 complex acts via chromatin remodeling and modification of histones; it mediates monoubiquitination of histone H2A 'Lys-119', rendering chromatin heritably changed in its expressibility (PubMed : 21282530). Binds to histone H3 trimethylated at 'Lys-9' (H3K9me3) or at 'Lys-27' (H3K27me3) (By similarity). Plays a role in the lineage differentiation of the germ layers in embryonic development (By similarity). Involved in sexual development, acting as activator of NR5A1 expression (PubMed : 19361780).
See full target information CBX2

Product promise

We are committed to supporting your work with high-quality reagents, and we're here for you every step of the way. In the unlikely event that one of our products does not perform as expected, you're protected by our Product Promise.
For full details, please see our Terms & Conditions

Please note: All products are 'FOR RESEARCH USE ONLY. NOT FOR USE IN DIAGNOSTIC OR THERAPEUTIC PROCEDURES'.

For licensing inquiries, please contact partnerships@abcam.com