JavaScript is disabled in your browser. Please enable JavaScript to view this website.
AB242149

Anti-CBX4 antibody [EPR23053-7] - ChIP Grade

4

(1 Review)

|

(8 Publications)

Rabbit Recombinant Monoclonal CBX4 antibody. Suitable for IP, ChIP, WB, Flow Cyt (Intra), IHC-P and reacts with Human, Mouse, Rat samples. Cited in 8 publications.

View Alternative Names

E3 SUMO-protein ligase CBX4, Chromobox protein homolog 4, Polycomb 2 homolog, Pc2, hPc2, CBX4

11 Images
Flow Cytometry (Intracellular) - Anti-CBX4 antibody [EPR23053-7] - ChIP Grade (AB242149)
  • Flow Cyt (Intra)

Unknown

Flow Cytometry (Intracellular) - Anti-CBX4 antibody [EPR23053-7] - ChIP Grade (AB242149)

Intracellular flow cytometric analysis of 4% paraformaldehyde fixed, 90% methanol permeabilized HCT 116 (Human colorectal carcinoma epithelial cell) cells labelling CBX4 with ab242149 at 1/600 dilution (Red) compared with a Rabbit monoclonal IgG (ab172730) (Black) isotype control and an unlabelled control (cells without incubation with primary antibody and secondary antibody) (Blue). A Goat anti rabbit IgG (Alexa Fluor® 488, ab150077) at 1/2000 dilution was used as the secondary antibody.

Flow Cytometry (Intracellular) - Anti-CBX4 antibody [EPR23053-7] - ChIP Grade (AB242149)
  • Flow Cyt (Intra)

Unknown

Flow Cytometry (Intracellular) - Anti-CBX4 antibody [EPR23053-7] - ChIP Grade (AB242149)

Intracellular flow cytometric analysis of 4% paraformaldehyde fixed, 90% methanol permeabilized NCCIT (Human pluripotent embryonic carcinoma epithelial cell) cells labelling CBX4 with ab242149 at 1/600 dilution (Red) compared with a Rabbit monoclonal IgG (ab172730) (Black) isotype control and an unlabelled control (cells without incubation with primary antibody and secondary antibody) (Blue). A Goat anti rabbit IgG (Alexa Fluor® 488, ab150077) at 1/2000 dilution was used as the secondary antibody.

Immunoprecipitation - Anti-CBX4 antibody [EPR23053-7] - ChIP Grade (AB242149)
  • IP

Unknown

Immunoprecipitation - Anti-CBX4 antibody [EPR23053-7] - ChIP Grade (AB242149)

CBX4 was immunoprecipitated from 0.35 mg HCT 116 (Human colorectal carcinoma epithelial cell) whole cell lysate with ab242149 at 1/30 dilution (2ug in 0.35mg lysates). Western blot was performed on the immunoprecipitate using ab242149 at 1/1000 dilution. VeriBlot for IP Detection Reagent (HRP) (ab131366) was used at 1/5000 dilution.

Lane 1 : HCT 116 (Human colorectal carcinoma epithelial cell) whole cell lysate 10ug

Lane 2 : ab242149 IP in HCT 116 whole cell lysate

Lane 3 : Rabbit monoclonal IgG (ab172730) instead of ab242149 in HCT 116 whole cell lysate

Blocking and dilution buffer and concentration : 5% NFDM/TBST.

Exposure time : 15 seconds.

All lanes:

Immunoprecipitation - Anti-CBX4 antibody [EPR23053-7] - ChIP Grade (ab242149)

Predicted band size: 52 kDa,61 kDa

Observed band size: 45 kDa,60 kDa,66 kDa,74 kDa

false

ChIP - Anti-CBX4 antibody [EPR23053-7] - ChIP Grade (AB242149)
  • ChIP

Unknown

ChIP - Anti-CBX4 antibody [EPR23053-7] - ChIP Grade (AB242149)

Chromatin was prepared from human NCCIT cells according to the Abcam Dual-X-ChIP protocol. Cells were fixed with 1.5 mM EGS for 30mins and then 1% formaldehyde for 10min.

The ChIP was performed with 25 μg of chromatin, 2 μg of ab242149 (red), or 2 μg of rabbit normal IgG ab172730 (gray) and 20 μl of Protein A/G sepharose beads. The immunoprecipitated DNA was quantified by real time PCR (Taqman approach for active and inactive loci, Sybr green approach for heterochromatic loci).

Immunohistochemistry (Formalin/PFA-fixed paraffin-embedded sections) - Anti-CBX4 antibody [EPR23053-7] - ChIP Grade (AB242149)
  • IHC-P

Unknown

Immunohistochemistry (Formalin/PFA-fixed paraffin-embedded sections) - Anti-CBX4 antibody [EPR23053-7] - ChIP Grade (AB242149)

Immunohistochemical analysis of paraffin-embedded rat hippocampus tissue labeling CBX4 with ab242149 at 1/200 dilution (2.785 ug/ml) followed by a ready to use Goat Anti-Rabbit IgG H&L (HRP Polymer). Nuclear staining on rat hippocampus (PMID : 28283560). The section was incubated with ab242149 for 30 at RT. The immunostaining staining was performed on a Leica Biosystems BOND® RX instrument. Counterstained with Hematoxylin.

Secondary antibody only control : Secondary antibody is a ready to use Goat Anti-Rabbit IgG H&L (HRP Polymer).

Heat mediated antigen retrieval with Tris-EDTA buffer (pH 9.0, epitope retrieval solution 2) for 20 mins.

Immunohistochemistry (Formalin/PFA-fixed paraffin-embedded sections) - Anti-CBX4 antibody [EPR23053-7] - ChIP Grade (AB242149)
  • IHC-P

Unknown

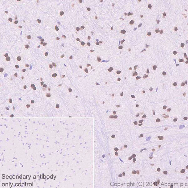
Immunohistochemistry (Formalin/PFA-fixed paraffin-embedded sections) - Anti-CBX4 antibody [EPR23053-7] - ChIP Grade (AB242149)

Immunohistochemical analysis of paraffin-embedded Mouse hippocampus tissue labeling CBX4 with ab242149 at 1/200 dilution (2.785 ug/ml) followed by a ready to use Goat Anti-Rabbit IgG H&L (HRP Polymer). Nuclear staining on mouse hippocampus (PMID : 28283560). The section was incubated with ab242149 for 30 at RT. The immunostaining staining was performed on a Leica Biosystems BOND® RX instrument. Counterstained with Hematoxylin.

Secondary antibody only control : Secondary antibody is a ready to use Goat Anti-Rabbit IgG H&L (HRP Polymer).

Heat mediated antigen retrieval with Tris-EDTA buffer (pH 9.0, epitope retrieval solution 2) for 20 mins.

Immunohistochemistry (Formalin/PFA-fixed paraffin-embedded sections) - Anti-CBX4 antibody [EPR23053-7] - ChIP Grade (AB242149)
  • IHC-P

Unknown

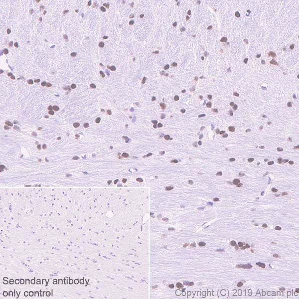
Immunohistochemistry (Formalin/PFA-fixed paraffin-embedded sections) - Anti-CBX4 antibody [EPR23053-7] - ChIP Grade (AB242149)

Immunohistochemical analysis of paraffin-embedded Mouse cerebrum tissue labeling CBX4 with ab242149 at 1/200 dilution (2.785 ug/ml) followed by a ready to use Goat Anti-Rabbit IgG H&L (HRP Polymer). Nuclear staining on mouse cerebrum (PMID : 28283560). The section was incubated with ab242149 for 30 mins at RT. The immunostaining staining was performed on a Leica Biosystems BOND® RX instrument. Counterstained with Hematoxylin.

Secondary antibody only control : Secondary antibody is a ready to use Goat Anti-Rabbit IgG H&L (HRP Polymer).

Heat mediated antigen retrieval with Tris-EDTA buffer (pH 9.0, epitope retrieval solution 2) for 20 mins.

Western blot - Anti-CBX4 antibody [EPR23053-7] - ChIP Grade (AB242149)
  • WB

Unknown

Western blot - Anti-CBX4 antibody [EPR23053-7] - ChIP Grade (AB242149)

Blocking and dilution buffer : 5% NFDM/TBST.

Exposure time : 3 minutes.

The molecular weight observed is consistent with what has been described in the literature (PMID : 27864346).

All lanes:

Western blot - Anti-CBX4 antibody [EPR23053-7] - ChIP Grade (ab242149) at 1/1000 dilution

Lane 1:

HDLM-2 (human Hodgkin lymphoma) whole cell lysate at 20 µg

Lane 2:

NCCIT (human pluripotent embryonic carcinoma epithelial cell), whole cell lysate at 20 µg

Lane 3:

Mouse thymus tissue lysate at 20 µg

Lane 4:

Rat thymus tissue lysate at 20 µg

Secondary

All lanes:

Western blot - Goat Anti-Rabbit IgG H&L (HRP) (<a href='/en-us/products/secondary-antibodies/goat-rabbit-igg-h-l-hrp-ab97051'>ab97051</a>) at 1/100000 dilution

Predicted band size: 61 kDa

Observed band size: 74 kDa

false

Western blot - Anti-CBX4 antibody [EPR23053-7] - ChIP Grade (AB242149)
  • WB

Unknown

Western blot - Anti-CBX4 antibody [EPR23053-7] - ChIP Grade (AB242149)

Blocking and dilution buffer : 5% NFDM/TBST.

Exposure time : 26 seconds.

The molecular weight observed is consistent with what has been described in the literature (PMID : 27864346).

All lanes:

Western blot - Anti-CBX4 antibody [EPR23053-7] - ChIP Grade (ab242149) at 1/1000 dilution

Lane 1:

HCT 116 (human colorectal carcinoma epithelial cell), whole cell lysate at 20 µg

Lane 2:

RAW 264.7 (mouse Abelson murine leukemia virus-induced tumor macrophage), whole cell lysate at 20 µg

Lane 3:

C6 (rat glial tumor glial cell), whole cell lysate at 20 µg

Secondary

All lanes:

Western blot - Goat Anti-Rabbit IgG H&L (HRP) (<a href='/en-us/products/secondary-antibodies/goat-rabbit-igg-h-l-hrp-ab97051'>ab97051</a>) at 1/100000 dilution

Predicted band size: 61 kDa

Observed band size: 74 kDa

false

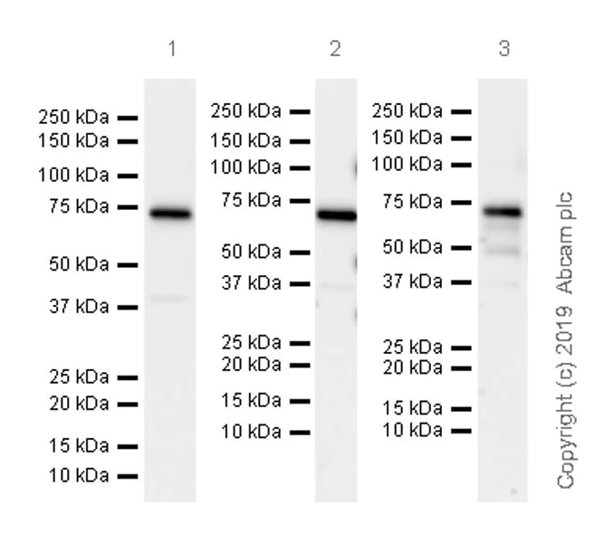
Western blot - Anti-CBX4 antibody [EPR23053-7] - ChIP Grade (AB242149)
  • WB

Lab

Western blot - Anti-CBX4 antibody [EPR23053-7] - ChIP Grade (AB242149)

False colour image of Western blot : Anti-CBX4 antibody [EPR23053-7] - ChIP Grade staining at 1/1000 dilution, shown in green; Mouse anti-Alpha Tubulin [DM1A] (ab7291) loading control staining at 1/20000 dilution, shown in red. In Western blot, ab242149 was shown to bind specifically to CBX4. A band was observed at 75 kDa in wild-type HEK-293 cell lysates with no signal observed at this size in Cbx4 knockout cell line ab261723 (knockout cell lysate ab261666). The band observed in the knockout lysate lane below 75 kDa is likely to represent a truncated form of CBX4. This has not been investigated further and the functional properties of the gene product have not been determined. To generate this image, wild-type and Cbx4 knockout HEK-293 cell lysates were analysed.First, samples were run on an SDS-PAGE gel then transferred onto a nitrocellulose membrane. Membranes were blocked in 3% milk in TBS-0.1 % Tween® 20 (TBS-T) before incubation with primary antibodies overnight at 4°C. Blots were washed four times in TBS-T, incubated with secondary antibodies for 1 h at room temperature, washed again four times then imaged. Secondary antibodies used were Goat anti-Rabbit IgG H&L (IRDye® 800CW) preabsorbed (ab216773) and Goat anti-Mouse IgG H&L (IRDye® 680RD) preabsorbed (ab216776) at 1/20000 dilution.

All lanes:

Western blot - Anti-CBX4 antibody [EPR23053-7] - ChIP Grade (ab242149) at 1/1000 dilution

Lane 1:

Wild-type HEK-293 cell lysate at 20 µg

Lane 2:

Cbx4 knockout HEK-293 cell lysate at 20 µg

Lane 3:

RAW 264.7 cell lysate at 20 µg

Lane 4:

HUVEC cell lysate at 20 µg

false

Western blot - Anti-CBX4 antibody [EPR23053-7] - ChIP Grade (AB242149)
  • WB

Lab

Western blot - Anti-CBX4 antibody [EPR23053-7] - ChIP Grade (AB242149)

False colour image of Western blot : Anti-CBX4 antibody [EPR23053-7] - ChIP Grade staining at 1/1000 dilution, shown in green; Mouse anti-Alpha Tubulin [DM1A] (ab7291) loading control staining at 1/20000 dilution, shown in red. In Western blot, ab242149 was shown to bind specifically to CBX4. A band was observed at 75 kDa in wild-type HEK-293 cell lysates with no signal observed at this size in Cbx4 CRISPR-Cas9 edited cell line ab261723 (CRISPR-Cas9 edited cell lysate ab261666). The band observed in the CRISPR-Cas9 edited lysate lane below 75 kDa is likely to represent a truncated form of CBX4. This has not been investigated further and the functional properties of the gene product have not been determined. To generate this image, wild-type and Cbx4 CRISPR-Cas9 edited HEK-293 cell lysates were analysed. First, samples were run on an SDS-PAGE gel then transferred onto a nitrocellulose membrane. Membranes were blocked in 3% milk in TBS-0.1 % Tween® 20 (TBS-T) before incubation with primary antibodies overnight at 4°C. Blots were washed four times in TBS-T, incubated with secondary antibodies for 1 h at room temperature, washed again four times then imaged. Secondary antibodies used were Goat anti-Rabbit IgG H&L (IRDye® 800CW) preabsorbed (ab216773) and Goat anti-Mouse IgG H&L (IRDye® 680RD) preabsorbed (ab216776) at 1/20000 dilution.

All lanes:

Western blot - Anti-CBX4 antibody [EPR23053-7] - ChIP Grade (ab242149) at 1/1000 dilution

Lane 1:

Wild-type HEK-293 cell lysate at 20 µg

Lane 2:

Cbx4 CRISPR-Cas9 edited HEK-293 cell lysate at 20 µg

Lane 2:

Western blot - Human CBX4 knockout HEK-293 cell line (<a href='/en-us/products/cell-lines/human-cbx4-knockout-hek-293-cell-line-ab261723'>ab261723</a>)

Lane 3:

RAW 264.7 cell lysate at 20 µg

Lane 4:

HUVEC cell lysate at 20 µg

Predicted band size: 61 kDa

Observed band size: 75 kDa

false

  • Carrier free

    Anti-CBX4 antibody [EPR23053-7] - ChIP Grade - BSA and Azide free

Key facts

Host species

Rabbit

Clonality

Monoclonal

Clone number

EPR23053-7

Isotype

IgG

Carrier free

No

Reacts with

Mouse, Rat, Human

Applications

IHC-P, WB, Flow Cyt (Intra), IP, ChIP

applications

Immunogen

The exact immunogen used to generate this antibody is proprietary information.

Specificity

The human recommendation is based on the WB results. We do not guarantee IHC-P for human.

Reactivity data

{ "title": "Reactivity Data", "filters": { "stats": ["", "Species", "Dilution Info", "Notes"], "tabs": { "all-applications": {"fullname" : "All Applications", "shortname": "All Applications"}, "IP" : {"fullname" : "Immunoprecipitation", "shortname":"IP"}, "ChIP" : {"fullname" : "ChIP", "shortname":"ChIP"}, "WB" : {"fullname" : "Western blot", "shortname":"WB"}, "ICCIF" : {"fullname" : "Immunocytochemistry/ Immunofluorescence", "shortname":"ICC/IF"}, "FlowCytIntra" : {"fullname" : "Flow Cytometry (Intracellular)", "shortname":"Flow Cyt (Intra)"}, "IHCP" : {"fullname" : "Immunohistochemistry (Formalin/PFA-fixed paraffin-embedded sections)", "shortname":"IHC-P"}, "IHCFr" : {"fullname" : "Immunohistochemistry (Frozen sections)", "shortname":"IHC-Fr"} }, "product-promise": { "all": "all", "testedAndGuaranteed": "tested", "guaranteed": "expected", "predicted": "predicted", "notRecommended": "not-recommended" } }, "values": { "Human": { "IP-species-checked": "testedAndGuaranteed", "IP-species-dilution-info": "1/30", "IP-species-notes": "<p></p>", "ChIP-species-checked": "testedAndGuaranteed", "ChIP-species-dilution-info": "2 µg for 25 µg chromatin", "ChIP-species-notes": "<p></p>", "WB-species-checked": "testedAndGuaranteed", "WB-species-dilution-info": "1/1000", "WB-species-notes": "<p></p>", "ICCIF-species-checked": "notRecommended", "ICCIF-species-dilution-info": "1/200", "ICCIF-species-notes": "<p></p>", "FlowCytIntra-species-checked": "testedAndGuaranteed", "FlowCytIntra-species-dilution-info": "1/600", "FlowCytIntra-species-notes": "<p></p>", "IHCP-species-checked": "notRecommended", "IHCP-species-dilution-info": "", "IHCP-species-notes": "<p></p> Perform heat-mediated antigen retrieval with Tris/EDTA buffer pH 9.0 before commencing with IHC staining protocol.", "IHCFr-species-checked": "notRecommended", "IHCFr-species-dilution-info": "", "IHCFr-species-notes": "" }, "Mouse": { "IP-species-checked": "guaranteed", "IP-species-dilution-info": "", "IP-species-notes": "", "ChIP-species-checked": "guaranteed", "ChIP-species-dilution-info": "", "ChIP-species-notes": "", "WB-species-checked": "testedAndGuaranteed", "WB-species-dilution-info": "1/1000", "WB-species-notes": "<p></p>", "ICCIF-species-checked": "notRecommended", "ICCIF-species-dilution-info": "", "ICCIF-species-notes": "<p></p>", "FlowCytIntra-species-checked": "guaranteed", "FlowCytIntra-species-dilution-info": "", "FlowCytIntra-species-notes": "", "IHCP-species-checked": "testedAndGuaranteed", "IHCP-species-dilution-info": "1/200", "IHCP-species-notes": "<p></p> Perform heat-mediated antigen retrieval with Tris/EDTA buffer pH 9.0 before commencing with IHC staining protocol.", "IHCFr-species-checked": "notRecommended", "IHCFr-species-dilution-info": "", "IHCFr-species-notes": "<p></p>" }, "Rat": { "IP-species-checked": "guaranteed", "IP-species-dilution-info": "", "IP-species-notes": "", "ChIP-species-checked": "guaranteed", "ChIP-species-dilution-info": "", "ChIP-species-notes": "", "WB-species-checked": "testedAndGuaranteed", "WB-species-dilution-info": "1/1000", "WB-species-notes": "<p></p>", "ICCIF-species-checked": "notRecommended", "ICCIF-species-dilution-info": "", "ICCIF-species-notes": "", "FlowCytIntra-species-checked": "guaranteed", "FlowCytIntra-species-dilution-info": "", "FlowCytIntra-species-notes": "", "IHCP-species-checked": "testedAndGuaranteed", "IHCP-species-dilution-info": "1/200", "IHCP-species-notes": "<p></p> Perform heat-mediated antigen retrieval with Tris/EDTA buffer pH 9.0 before commencing with IHC staining protocol.", "IHCFr-species-checked": "notRecommended", "IHCFr-species-dilution-info": "", "IHCFr-species-notes": "<p></p>" } } }

Product details

Patented technology
Our RabMAb® technology is a patented hybridoma-based technology for making rabbit monoclonal antibodies. For details on our patents, please refer to RabMAb® patents.

What are the advantages of a recombinant monoclonal antibody?
This product is a recombinant monoclonal antibody, which offers several advantages including:

  • - High batch-to-batch consistency and reproducibility
  • - Improved sensitivity and specificity
  • - Long-term security of supply
  • - Animal-free batch production

For more information, read more on recombinant antibodies.

Properties and storage information

Form
Liquid
Purification technique
Affinity purification Protein A
Storage buffer
pH: 7.2 - 7.4 Preservative: 0.01% Sodium azide Constituents: PBS, 40% Glycerol (glycerin, glycerine), 0.05% BSA
Shipped at conditions
Blue Ice
Appropriate short-term storage duration
1-2 weeks
Appropriate short-term storage conditions
+4°C
Appropriate long-term storage conditions
-20°C
Aliquoting information
Upon delivery aliquot
Storage information
Avoid freeze / thaw cycle

Supplementary information

This supplementary information is collated from multiple sources and compiled automatically.

CBX4 also known as Chromobox protein homolog 4 or Polycomb 2 acts mechanically as part of the Polycomb group (PcG) proteins. It weighs approximately 60 kDa and it is found in nuclear matrix where it participates in chromatin remodeling. CBX4 shows significant expression in tissues like liver brain and lung indicating its wide importance to cellular function. By binding to methylated histones especially H3K27me3 CBX4 influences gene silencing and epigenetic regulation important for maintaining cellular identity.
Biological function summary

CBX4 operates as a component of the Polycomb Repressive Complex 1 (PRC1) which plays role in controlling gene expression patterns during development. In this complex CBX4 interacts with other core components such as BMI1 and RING1 to facilitate monoubiquitination of histone H2A leading to transcriptional repression. This ability of CBX4 to modulate epigenetic states highlights its importance in critical developmental processes and differentiation.

Pathways

CBX4 significantly influences gene regulatory networks involved in cell cycle and apoptosis pathways. In the cell cycle regulation CBX4 interacts with important proteins such as Cyclin D1 impacting cell proliferation. In apoptosis CBX4 has roles linked to the p53 pathway by modulating transcriptional activity which influences cellular fate. These pathways underline the significance of CBX4 in maintaining balance between cell growth and death.

The deregulation of CBX4 expression has been associated with cancers like hepatocellular carcinoma and breast cancer. CBX4 potentially interacts with proteins such as p21 and p16 whose pathways play significant roles in cancer development. This underlines its role as a potential biomarker or therapeutic target in cancer treatment strategies. Understanding the function and regulation of CBX4 could offer insights in devising novel treatments for these malignancies.

Product protocols

For this product, it's our understanding that no specific protocols are required. You can visit:

Target data

E3 SUMO-protein ligase which facilitates SUMO1 conjugation by UBE2I (PubMed : 12679040). Involved in the sumoylation of HNRNPK, a p53/TP53 transcriptional coactivator, hence indirectly regulates p53/TP53 transcriptional activation resulting in p21/CDKN1A expression. Monosumoylates ZNF131 (PubMed : 22825850).. Component of a Polycomb group (PcG) multiprotein PRC1-like complex, a complex class required to maintain the transcriptionally repressive state of many genes, including Hox genes, throughout development (PubMed : 12167701, PubMed : 19636380, PubMed : 21282530). PcG PRC1 complex acts via chromatin remodeling and modification of histones; it mediates monoubiquitination of histone H2A 'Lys-119', rendering chromatin heritably changed in its expressibility (PubMed : 12167701, PubMed : 19636380, PubMed : 21282530). Binds to histone H3 trimethylated at 'Lys-9' (H3K9me3) (By similarity). Plays a role in the lineage differentiation of the germ layers in embryonic development (By similarity).
See full target information CBX4

Publications (8)

Recent publications for all applications. Explore the full list and refine your search

Journal of virology 99:e0117324 PubMed39692477

2024

Tannic acid reactivates HIV-1 latency by mediating CBX4 degradation.

Applications

Unspecified application

Species

Unspecified reactive species

Cancan Chen,Zhihan Zhong,Wanying Zhang,Baijin Xia,Liyang Wu,Liting Liang,Yiwen Zhang,Hui Zhang,Xu Zhang,Ting Pan,Linghua Li,Bingfeng Liu

Histology and histopathology 40:721-732 PubMed39376051

2024

ABRACL upregulated by transcription factor CBX4 promotes proliferation and migration and inhibits the apoptosis of gastric cancer cells.

Applications

Unspecified application

Species

Unspecified reactive species

Kai Guo,Xiao Gao

Theranostics 14:3793-3809 PubMed38994031

2024

CBX4 suppresses CD8 T cell antitumor immunity by reprogramming glycolytic metabolism.

Applications

Unspecified application

Species

Unspecified reactive species

Jingzeng Wang,Wenlong Jia,Xi Zhou,Zhibo Ma,Jing Liu,Peixiang Lan

Frontiers in molecular biosciences 10:1178439 PubMed37426420

2023

Sequence- and structure-specific RNA oligonucleotide binding attenuates heterogeneous nuclear ribonucleoprotein A1 dysfunction.

Applications

Unspecified application

Species

Unspecified reactive species

Joseph P Clarke,Patricia A Thibault,Sakina Fatima,Hannah E Salapa,Subha Kalyaanamoorthy,Aravindhan Ganesan,Michael C Levin

Journal of gastrointestinal oncology 13:1058-1072 PubMed35837165

2022

Chromobox 4 (CBX4) promotes tumor progression and stemness via activating CDC20 in gastric cancer.

Applications

Unspecified application

Species

Unspecified reactive species

Wen Li,Honghui Chen,Zhenggen Wang,Jingjing Liu,Xinan Lei,Wen Chen

EMBO reports 23:e53855 PubMed35642598

2022

CBX4 contributes to HIV-1 latency by forming phase-separated nuclear bodies and SUMOylating EZH2.

Applications

Unspecified application

Species

Unspecified reactive species

Liyang Wu,Ting Pan,Mo Zhou,Tao Chen,Shiyu Wu,Xi Lv,Jun Liu,Fei Yu,Yuanjun Guan,Bingfeng Liu,Wanying Zhang,Xiaohui Deng,Qianyu Chen,Anqi Liang,Yingtong Lin,Lilin Wang,Xiaoping Tang,Weiping Cai,Linghua Li,Xin He,Hui Zhang,Xiancai Ma

Environmental toxicology 37:637-649 PubMed34894065

2021

β-Amyrin ameliorates diabetic nephropathy in mice and regulates the miR-181b-5p/HMGB2 axis in high glucose-stimulated HK-2 cells.

Applications

Unspecified application

Species

Unspecified reactive species

Wenhua Xu,Hongwu Zhang,Qinfeng Zhang,Jialan Xu

Genes & diseases 8:827-837 PubMed34522711

2021

The SUMO E3 ligase CBX4 is identified as a poor prognostic marker of gastric cancer through multipronged OMIC analyses.

Applications

Unspecified application

Species

Unspecified reactive species

Yi Pan,Qingshang Li,Zhijun Cao,Shuliang Zhao
View all publications

Product promise

We are committed to supporting your work with high-quality reagents, and we're here for you every step of the way. In the unlikely event that one of our products does not perform as expected, you're protected by our Product Promise.
For full details, please see our Terms & Conditions

Please note: All products are 'FOR RESEARCH USE ONLY. NOT FOR USE IN DIAGNOSTIC OR THERAPEUTIC PROCEDURES'.

For licensing inquiries, please contact partnerships@abcam.com