JavaScript is disabled in your browser. Please enable JavaScript to view this website.
AB269462

Anti-CBX4 antibody [EPR23053-7] - ChIP Grade - BSA and Azide free

Be the first to review this product! Submit a review

|

(0 Publication)

Rabbit Recombinant Monoclonal CBX4 antibody. Carrier free. Suitable for IP, ChIP, WB, Flow Cyt (Intra), IHC-P and reacts with Human, Mouse, Rat samples.

View Alternative Names

E3 SUMO-protein ligase CBX4, Chromobox protein homolog 4, Polycomb 2 homolog, Pc2, hPc2, CBX4

8 Images
Flow Cytometry (Intracellular) - Anti-CBX4 antibody [EPR23053-7] - ChIP Grade - BSA and Azide free (AB269462)
  • Flow Cyt (Intra)

Unknown

Flow Cytometry (Intracellular) - Anti-CBX4 antibody [EPR23053-7] - ChIP Grade - BSA and Azide free (AB269462)

Intracellular flow cytometric analysis of 4% paraformaldehyde fixed, 90% methanol permeabilized NCCIT (Human pluripotent embryonic carcinoma epithelial cell) cells labelling CBX4 with ab242149 at 1/600 dilution (Red) compared with a Rabbit monoclonal IgG (ab172730) (Black) isotype control and an unlabelled control (cells without incubation with primary antibody and secondary antibody) (Blue). A Goat anti rabbit IgG (Alexa Fluor®488, ab150077) at 1/2000 dilution was used as the secondary antibody.

This data was developed using the same antibody clone in a different buffer formulation containing PBS, BSA, glycerol, and sodium azide (ab242149).

Flow Cytometry (Intracellular) - Anti-CBX4 antibody [EPR23053-7] - ChIP Grade - BSA and Azide free (AB269462)
  • Flow Cyt (Intra)

Unknown

Flow Cytometry (Intracellular) - Anti-CBX4 antibody [EPR23053-7] - ChIP Grade - BSA and Azide free (AB269462)

Intracellular flow cytometric analysis of 4% paraformaldehyde fixed, 90% methanol permeabilized HCT 116 (Human colorectal carcinoma epithelial cell) cells labelling CBX4 with ab242149 at 1/600 dilution (Red) compared with a Rabbit monoclonal IgG (ab172730) (Black) isotype control and an unlabelled control (cells without incubation with primary antibody and secondary antibody) (Blue). A Goat anti rabbit IgG (Alexa Fluor®488, ab150077) at 1/2000 dilution was used as the secondary antibody.

This data was developed using the same antibody clone in a different buffer formulation containing PBS, BSA, glycerol, and sodium azide (ab242149).

Immunoprecipitation - Anti-CBX4 antibody [EPR23053-7] - ChIP Grade - BSA and Azide free (AB269462)
  • IP

Unknown

Immunoprecipitation - Anti-CBX4 antibody [EPR23053-7] - ChIP Grade - BSA and Azide free (AB269462)

CBX4 was immunoprecipitated from 0.35 mg HCT 116 (Human colorectal carcinoma epithelial cell) whole cell lysate with ab242149 at 1/30 dilution (2ug in 0.35mg lysates). Western blot was performed on the immunoprecipitate using ab242149 at 1/1000 dilution. VeriBlot for IP Detection Reagent (HRP) (ab131366) was used at 1/5000 dilution.

Lane 1 : HCT 116 (Human colorectal carcinoma epithelial cell) whole cell lysate 10ug

Lane 2 : ab242149 IP in HCT 116 whole cell lysate

Lane 3 : Rabbit monoclonal IgG (ab172730) instead of ab242149 in HCT 116 whole cell lysate

Blocking and dilution buffer and concentration : 5% NFDM/TBST.

Exposure time : 15 seconds.

This data was developed using the same antibody clone in a different buffer formulation containing PBS, BSA, glycerol, and sodium azide (ab242149).

All lanes:

Immunoprecipitation - Anti-CBX4 antibody [EPR23053-7] - ChIP Grade (<a href='/en-us/products/primary-antibodies/cbx4-antibody-epr23053-7-chip-grade-ab242149'>ab242149</a>)

Predicted band size: 52 kDa,61 kDa

Observed band size: 45 kDa,60 kDa,66 kDa,74 kDa

false

ChIP - Anti-CBX4 antibody [EPR23053-7] - ChIP Grade - BSA and Azide free (AB269462)
  • ChIP

Unknown

ChIP - Anti-CBX4 antibody [EPR23053-7] - ChIP Grade - BSA and Azide free (AB269462)

Chromatin was prepared from NCCIT cells according to the Abcam Dual-X-ChIP protocol. Cells were fixed with 1.5 mM EGS for 30mins and then 1% formaldehyde for 10min.

The ChIP was performed with 25 μg of chromatin, 2 μg of ab242149 (red), or 2 μg of rabbit normal IgG ab172730 (gray) and 20 μl of Protein A/G sepharose beads. The immunoprecipitated DNA was quantified by real time PCR (Taqman approach for active and inactive loci, Sybr green approach for heterochromatic loci).

This data was developed using the same antibody clone in a different buffer formulation containing PBS, BSA, glycerol, and sodium azide (ab242149).

Immunohistochemistry (Formalin/PFA-fixed paraffin-embedded sections) - Anti-CBX4 antibody [EPR23053-7] - ChIP Grade - BSA and Azide free (AB269462)
  • IHC-P

Unknown

Immunohistochemistry (Formalin/PFA-fixed paraffin-embedded sections) - Anti-CBX4 antibody [EPR23053-7] - ChIP Grade - BSA and Azide free (AB269462)

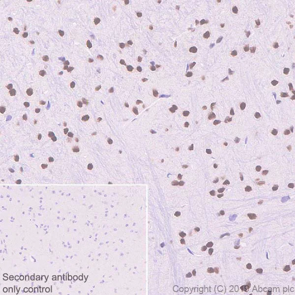
Immunohistochemical analysis of paraffin-embedded Rat hippocampus tissue labeling CBX4 with ab242149 at 1/200 dilution (2.785 ug/ml) followed by a ready to use Goat Anti-Rabbit IgG H&L (HRP Polymer). Nuclear staining on rat hippocampus (PMID : 28283560). The section was incubated with ab242149 for 30 at RT. The immunostaining staining was performed on a Leica Biosystems BOND® RX instrument. Counterstained with Hematoxylin.

Secondary antibody only control : Secondary antibody is a ready to use Goat Anti-Rabbit IgG H&L (HRP Polymer).

Heat mediated antigen retrieval with Tris-EDTA buffer (pH 9.0, epitope retrieval solution 2) for 20 mins.

This data was developed using the same antibody clone in a different buffer formulation containing PBS, BSA, glycerol, and sodium azide (ab242149).

Immunohistochemistry (Formalin/PFA-fixed paraffin-embedded sections) - Anti-CBX4 antibody [EPR23053-7] - ChIP Grade - BSA and Azide free (AB269462)
  • IHC-P

Unknown

Immunohistochemistry (Formalin/PFA-fixed paraffin-embedded sections) - Anti-CBX4 antibody [EPR23053-7] - ChIP Grade - BSA and Azide free (AB269462)

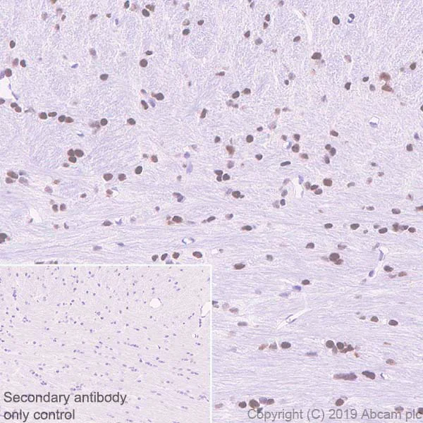
Immunohistochemical analysis of paraffin-embedded Mouse hippocampus tissue labeling CBX4 with ab242149 at 1/200 dilution (2.785 ug/ml) followed by a ready to use Goat Anti-Rabbit IgG H&L (HRP Polymer). Nuclear staining on mouse hippocampus (PMID : 28283560). The section was incubated with ab242149 for 30 at RT. The immunostaining staining was performed on a Leica Biosystems BOND® RX instrument. Counterstained with Hematoxylin.

Secondary antibody only control : Secondary antibody is a ready to use Goat Anti-Rabbit IgG H&L (HRP Polymer).

Heat mediated antigen retrieval with Tris-EDTA buffer (pH 9.0, epitope retrieval solution 2) for 20 mins.

This data was developed using the same antibody clone in a different buffer formulation containing PBS, BSA, glycerol, and sodium azide (ab242149).

Immunohistochemistry (Formalin/PFA-fixed paraffin-embedded sections) - Anti-CBX4 antibody [EPR23053-7] - ChIP Grade - BSA and Azide free (AB269462)
  • IHC-P

Unknown

Immunohistochemistry (Formalin/PFA-fixed paraffin-embedded sections) - Anti-CBX4 antibody [EPR23053-7] - ChIP Grade - BSA and Azide free (AB269462)

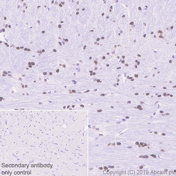
Immunohistochemical analysis of paraffin-embedded Mouse cerebrum tissue labeling CBX4 with ab242149 at 1/200 dilution (2.785 ug/ml) followed by a ready to use Goat Anti-Rabbit IgG H&L (HRP Polymer). Nuclear staining on mouse cerebrum (PMID : 28283560). The section was incubated with ab242149 for 30 mins at RT. The immunostaining staining was performed on a Leica Biosystems BOND® RX instrument. Counterstained with Hematoxylin.

Secondary antibody only control : Secondary antibody is a ready to use Goat Anti-Rabbit IgG H&L (HRP Polymer).

Heat mediated antigen retrieval with Tris-EDTA buffer (pH 9.0, epitope retrieval solution 2) for 20 mins.

This data was developed using the same antibody clone in a different buffer formulation containing PBS, BSA, glycerol, and sodium azide (ab242149).

Western blot - Anti-CBX4 antibody [EPR23053-7] - ChIP Grade - BSA and Azide free (AB269462)
  • WB

Lab

Western blot - Anti-CBX4 antibody [EPR23053-7] - ChIP Grade - BSA and Azide free (AB269462)

False colour image of Western blot : Anti-CBX4 antibody [EPR23053-7] - ChIP Grade staining at 1/1000 dilution, shown in green; Mouse anti-Alpha Tubulin [DM1A] (ab7291) loading control staining at 1/20000 dilution, shown in red. In Western blot, ab242149 was shown to bind specifically to CBX4. A band was observed at 75 kDa in wild-type HEK-293 cell lysates with no signal observed at this size in Cbx4 CRISPR-Cas9 edited cell line ab261723 (CRISPR-Cas9 edited cell lysate ab261666). The band observed in the CRISPR-Cas9 edited lysate lane below 75 kDa is likely to represent a truncated form of CBX4. This has not been investigated further and the functional properties of the gene product have not been determined. To generate this image, wild-type and Cbx4 CRISPR-Cas9 edited HEK-293 cell lysates were analysed. First, samples were run on an SDS-PAGE gel then transferred onto a nitrocellulose membrane. Membranes were blocked in 3 % milk in TBS-0.1 % Tween® 20 (TBS-T) before incubation with primary antibodies overnight at 4 °C. Blots were washed four times in TBS-T, incubated with secondary antibodies for 1 h at room temperature, washed again four times then imaged. Secondary antibodies used were Goat anti-Rabbit IgG H&L (IRDye® 800CW) preabsorbed (ab216773) and Goat anti-Mouse IgG H&L (IRDye® 680RD) preabsorbed (ab216776) at 1/20000 dilution.

This data was developed using the same antibody clone in a different buffer formulation containing PBS, BSA, glycerol, and sodium azide (ab242149).

All lanes:

Western blot - Anti-CBX4 antibody [EPR23053-7] - ChIP Grade (<a href='/en-us/products/primary-antibodies/cbx4-antibody-epr23053-7-chip-grade-ab242149'>ab242149</a>) at 1/1000 dilution

Lane 1:

Wild-type HEK-293 cell lysate at 20 µg

Lane 2:

Cbx4 CRISPR-Cas9 edited HEK-293 cell lysate at 20 µg

Lane 2:

Western blot - Human CBX4 knockout HEK-293 cell line (<a href='/en-us/products/cell-lines/human-cbx4-knockout-hek-293-cell-line-ab261723'>ab261723</a>)

Lane 3:

RAW 264.7 cell lysate at 20 µg

Lane 4:

HUVEC cell lysate at 20 µg

Predicted band size: 61 kDa

Observed band size: 75 kDa

false

Key facts

Host species

Rabbit

Clonality

Monoclonal

Clone number

EPR23053-7

Isotype

IgG

Carrier free

Yes

Reacts with

Mouse, Rat, Human

Applications

WB, IHC-P, IP, Flow Cyt (Intra), ChIP

applications

Immunogen

The exact immunogen used to generate this antibody is proprietary information.

Specificity

The human recommendation is based on the WB results. We do not guarantee IHC-P for human.

Reactivity data

{ "title": "Reactivity Data", "filters": { "stats": ["", "Species", "Dilution Info", "Notes"], "tabs": { "all-applications": {"fullname" : "All Applications", "shortname": "All Applications"}, "IP" : {"fullname" : "Immunoprecipitation", "shortname":"IP"}, "ChIP" : {"fullname" : "ChIP", "shortname":"ChIP"}, "WB" : {"fullname" : "Western blot", "shortname":"WB"}, "ICCIF" : {"fullname" : "Immunocytochemistry/ Immunofluorescence", "shortname":"ICC/IF"}, "FlowCytIntra" : {"fullname" : "Flow Cytometry (Intracellular)", "shortname":"Flow Cyt (Intra)"}, "IHCP" : {"fullname" : "Immunohistochemistry (Formalin/PFA-fixed paraffin-embedded sections)", "shortname":"IHC-P"}, "IHCFr" : {"fullname" : "Immunohistochemistry (Frozen sections)", "shortname":"IHC-Fr"} }, "product-promise": { "all": "all", "testedAndGuaranteed": "tested", "guaranteed": "expected", "predicted": "predicted", "notRecommended": "not-recommended" } }, "values": { "Human": { "IP-species-checked": "testedAndGuaranteed", "IP-species-dilution-info": "", "IP-species-notes": "<p></p>", "ChIP-species-checked": "testedAndGuaranteed", "ChIP-species-dilution-info": "", "ChIP-species-notes": "<p></p>", "WB-species-checked": "testedAndGuaranteed", "WB-species-dilution-info": "", "WB-species-notes": "<p></p>", "ICCIF-species-checked": "notRecommended", "ICCIF-species-dilution-info": "", "ICCIF-species-notes": "<p></p>", "FlowCytIntra-species-checked": "testedAndGuaranteed", "FlowCytIntra-species-dilution-info": "", "FlowCytIntra-species-notes": "<p></p>", "IHCP-species-checked": "notRecommended", "IHCP-species-dilution-info": "", "IHCP-species-notes": "<p></p>", "IHCFr-species-checked": "notRecommended", "IHCFr-species-dilution-info": "", "IHCFr-species-notes": "" }, "Mouse": { "IP-species-checked": "guaranteed", "IP-species-dilution-info": "", "IP-species-notes": "", "ChIP-species-checked": "guaranteed", "ChIP-species-dilution-info": "", "ChIP-species-notes": "", "WB-species-checked": "testedAndGuaranteed", "WB-species-dilution-info": "", "WB-species-notes": "<p></p>", "ICCIF-species-checked": "notRecommended", "ICCIF-species-dilution-info": "", "ICCIF-species-notes": "<p></p>", "FlowCytIntra-species-checked": "guaranteed", "FlowCytIntra-species-dilution-info": "", "FlowCytIntra-species-notes": "", "IHCP-species-checked": "testedAndGuaranteed", "IHCP-species-dilution-info": "", "IHCP-species-notes": "<p></p>", "IHCFr-species-checked": "notRecommended", "IHCFr-species-dilution-info": "", "IHCFr-species-notes": "<p></p>" }, "Rat": { "IP-species-checked": "guaranteed", "IP-species-dilution-info": "", "IP-species-notes": "", "ChIP-species-checked": "guaranteed", "ChIP-species-dilution-info": "", "ChIP-species-notes": "", "WB-species-checked": "testedAndGuaranteed", "WB-species-dilution-info": "", "WB-species-notes": "<p></p>", "ICCIF-species-checked": "notRecommended", "ICCIF-species-dilution-info": "", "ICCIF-species-notes": "", "FlowCytIntra-species-checked": "guaranteed", "FlowCytIntra-species-dilution-info": "", "FlowCytIntra-species-notes": "", "IHCP-species-checked": "testedAndGuaranteed", "IHCP-species-dilution-info": "", "IHCP-species-notes": "<p></p>", "IHCFr-species-checked": "notRecommended", "IHCFr-species-dilution-info": "", "IHCFr-species-notes": "<p></p>" } } }

Product details

ab269462 is the carrier-free version of ab242149.

Patented technology
Our RabMAb® technology is a patented hybridoma-based technology for making rabbit monoclonal antibodies. For details on our patents, please refer to RabMAb® patents.

What are the advantages of a recombinant monoclonal antibody?
This product is a recombinant monoclonal antibody, which offers several advantages including:

  • - High batch-to-batch consistency and reproducibility
  • - Improved sensitivity and specificity
  • - Long-term security of supply
  • - Animal-free batch production

For more information, read more on recombinant antibodies.

Conjugation ready
Our carrier-free antibodies are typically supplied in a PBS-only formulation, purified and free of BSA, sodium azide and glycerol. This conjugation-ready format is designed for use with fluorochromes, metal isotopes, oligonucleotides, and enzymes, which makes them ideal for antibody labelling, functional and cell-based assays, flow-based assays (e.g. mass cytometry) and Multiplex Imaging applications.

Use our conjugation kits for antibody conjugates that are ready-to-use in as little as 20 minutes with 1 minute hands-on-time and 100% antibody recovery: available for fluorescent dyes, HRP, biotin and gold.

Compatibility
This product is compatible with the Maxpar® Antibody Labeling Kit from Fluidigm, without the need for antibody preparation. Maxpar® is a trademark of Fluidigm Canada Inc.

Properties and storage information

Form
Liquid
Purification technique
Affinity purification Protein A
Storage buffer
pH: 7.2 - 7.4 Constituents: PBS
Shipped at conditions
Blue Ice
Appropriate short-term storage conditions
+4°C
Appropriate long-term storage conditions
+4°C
Storage information
Do Not Freeze

Supplementary information

This supplementary information is collated from multiple sources and compiled automatically.

CBX4 also known as Chromobox protein homolog 4 or Polycomb 2 acts mechanically as part of the Polycomb group (PcG) proteins. It weighs approximately 60 kDa and it is found in nuclear matrix where it participates in chromatin remodeling. CBX4 shows significant expression in tissues like liver brain and lung indicating its wide importance to cellular function. By binding to methylated histones especially H3K27me3 CBX4 influences gene silencing and epigenetic regulation important for maintaining cellular identity.
Biological function summary

CBX4 operates as a component of the Polycomb Repressive Complex 1 (PRC1) which plays role in controlling gene expression patterns during development. In this complex CBX4 interacts with other core components such as BMI1 and RING1 to facilitate monoubiquitination of histone H2A leading to transcriptional repression. This ability of CBX4 to modulate epigenetic states highlights its importance in critical developmental processes and differentiation.

Pathways

CBX4 significantly influences gene regulatory networks involved in cell cycle and apoptosis pathways. In the cell cycle regulation CBX4 interacts with important proteins such as Cyclin D1 impacting cell proliferation. In apoptosis CBX4 has roles linked to the p53 pathway by modulating transcriptional activity which influences cellular fate. These pathways underline the significance of CBX4 in maintaining balance between cell growth and death.

The deregulation of CBX4 expression has been associated with cancers like hepatocellular carcinoma and breast cancer. CBX4 potentially interacts with proteins such as p21 and p16 whose pathways play significant roles in cancer development. This underlines its role as a potential biomarker or therapeutic target in cancer treatment strategies. Understanding the function and regulation of CBX4 could offer insights in devising novel treatments for these malignancies.

Product protocols

For this product, it's our understanding that no specific protocols are required. You can visit:

Target data

E3 SUMO-protein ligase which facilitates SUMO1 conjugation by UBE2I (PubMed : 12679040). Involved in the sumoylation of HNRNPK, a p53/TP53 transcriptional coactivator, hence indirectly regulates p53/TP53 transcriptional activation resulting in p21/CDKN1A expression. Monosumoylates ZNF131 (PubMed : 22825850).. Component of a Polycomb group (PcG) multiprotein PRC1-like complex, a complex class required to maintain the transcriptionally repressive state of many genes, including Hox genes, throughout development (PubMed : 12167701, PubMed : 19636380, PubMed : 21282530). PcG PRC1 complex acts via chromatin remodeling and modification of histones; it mediates monoubiquitination of histone H2A 'Lys-119', rendering chromatin heritably changed in its expressibility (PubMed : 12167701, PubMed : 19636380, PubMed : 21282530). Binds to histone H3 trimethylated at 'Lys-9' (H3K9me3) (By similarity). Plays a role in the lineage differentiation of the germ layers in embryonic development (By similarity).
See full target information CBX4

Product promise

We are committed to supporting your work with high-quality reagents, and we're here for you every step of the way. In the unlikely event that one of our products does not perform as expected, you're protected by our Product Promise.
For full details, please see our Terms & Conditions

Please note: All products are 'FOR RESEARCH USE ONLY. NOT FOR USE IN DIAGNOSTIC OR THERAPEUTIC PROCEDURES'.

For licensing inquiries, please contact partnerships@abcam.com