JavaScript is disabled in your browser. Please enable JavaScript to view this website.
AB259848

Anti-Cbx6 antibody [EPR23828-108]

Be the first to review this product! Submit a review

|

(1 Publication)

Rabbit Recombinant Monoclonal CBX6 antibody. Suitable for WB, IHC-P and reacts with Mouse, Human, Rat samples. Cited in 1 publication.

View Alternative Names

Chromobox protein homolog 6, CBX6

6 Images
Immunohistochemistry (Formalin/PFA-fixed paraffin-embedded sections) - Anti-Cbx6 antibody [EPR23828-108] (AB259848)
  • IHC-P

Supplier Data

Immunohistochemistry (Formalin/PFA-fixed paraffin-embedded sections) - Anti-Cbx6 antibody [EPR23828-108] (AB259848)

Immunohistochemical analysis of paraffin-embedded human cerebrum tissue labeling Cbx6 with ab259848 at 1/100 dilution followed by a ready to use Goat Anti-Rabbit IgG H&L (HRP polymer). Nuclear staining on human cerebrum (PMID : 24260522). Counterstained with Hematoxylin.

Secondary antibody only control : Secondary antibody is a ready to use Goat Anti-Rabbit IgG H&L (HRP polymer).

Heat mediated antigen retrieval using ab93684 (Tris/EDTA buffer, pH 9.0).

Immunohistochemistry (Formalin/PFA-fixed paraffin-embedded sections) - Anti-Cbx6 antibody [EPR23828-108] (AB259848)
  • IHC-P

Supplier Data

Immunohistochemistry (Formalin/PFA-fixed paraffin-embedded sections) - Anti-Cbx6 antibody [EPR23828-108] (AB259848)

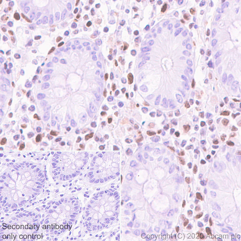
Immunohistochemical analysis of paraffin-embedded human colon tissue labeling Cbx6 with ab259848 at 1/100 dilution followed by a ready to use Goat Anti-Rabbit IgG H&L (HRP polymer). Nuclear staining on the immune cells of human colon. Counterstained with Hematoxylin.

Secondary antibody only control : Secondary antibody is a ready to use Goat Anti-Rabbit IgG H&L (HRP polymer).

Heat mediated antigen retrieval using ab93684 (Tris/EDTA buffer, pH 9.0).

Immunohistochemistry (Formalin/PFA-fixed paraffin-embedded sections) - Anti-Cbx6 antibody [EPR23828-108] (AB259848)
  • IHC-P

Supplier Data

Immunohistochemistry (Formalin/PFA-fixed paraffin-embedded sections) - Anti-Cbx6 antibody [EPR23828-108] (AB259848)

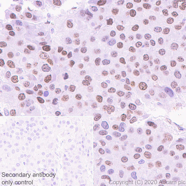
Immunohistochemical analysis of paraffin-embedded human hepatocellular carcinoma tissue labeling Cbx6 with ab259848 at 1/100 dilution followed by a ready to use Goat Anti-Rabbit IgG H&L (HRP polymer). Nuclear staining on human hepatocellular carcinoma (PMID : 28122351). Counterstained with Hematoxylin.

Secondary antibody only control : Secondary antibody is a ready to use Goat Anti-Rabbit IgG H&L (HRP polymer).

Heat mediated antigen retrieval using ab93684 (Tris/EDTA buffer, pH 9.0).

Immunohistochemistry (Formalin/PFA-fixed paraffin-embedded sections) - Anti-Cbx6 antibody [EPR23828-108] (AB259848)
  • IHC-P

Supplier Data

Immunohistochemistry (Formalin/PFA-fixed paraffin-embedded sections) - Anti-Cbx6 antibody [EPR23828-108] (AB259848)

Immunohistochemical analysis of paraffin-embedded rat cerebrum tissue labeling Cbx6 with ab259848 at 1/100 dilution followed by a ready to use Goat Anti-Rabbit IgG H&L (HRP polymer). Nuclear staining on rat cerebrum. Counterstained with Hematoxylin.

Secondary antibody only control : Secondary antibody is a ready to use Goat Anti-Rabbit IgG H&L (HRP polymer).

Heat mediated antigen retrieval using ab93684 (Tris/EDTA buffer, pH 9.0).

Immunohistochemistry (Formalin/PFA-fixed paraffin-embedded sections) - Anti-Cbx6 antibody [EPR23828-108] (AB259848)
  • IHC-P

Supplier Data

Immunohistochemistry (Formalin/PFA-fixed paraffin-embedded sections) - Anti-Cbx6 antibody [EPR23828-108] (AB259848)

Immunohistochemical analysis of paraffin-embedded mouse cerebrum tissue labeling Cbx6 with ab259848 at 1/100 dilution followed by a ready to use Goat Anti-Rabbit IgG H&L (HRP polymer). Nuclear staining on mouse cerebrum. Counterstained with Hematoxylin.

Secondary antibody only control : Secondary antibody is a ready to use Goat Anti-Rabbit IgG H&L (HRP polymer).

Heat mediated antigen retrieval using ab93684 (Tris/EDTA buffer, pH 9.0).

Western blot - Anti-Cbx6 antibody [EPR23828-108] (AB259848)
  • WB

Lab

Western blot - Anti-Cbx6 antibody [EPR23828-108] (AB259848)

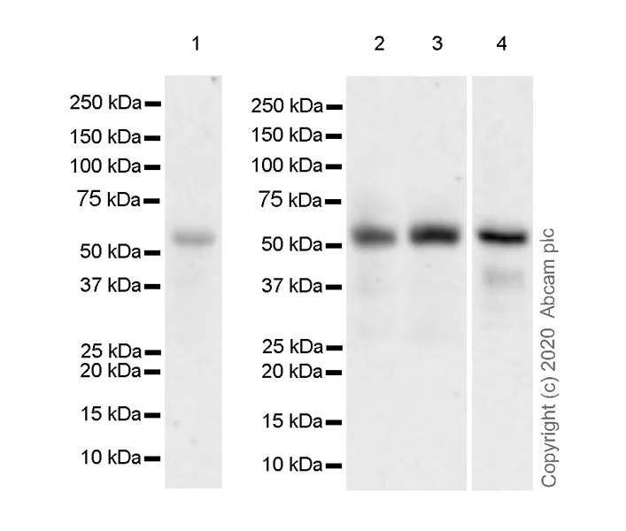
Blocking and diluting buffer and concentration : 5% NFDM/TBST

Exposure time : 3 minutes

All lanes:

Western blot - Anti-Cbx6 antibody [EPR23828-108] (ab259848) at 1/1000 dilution

Lane 1:

HEK-293T (human embryonic kidney epithelial cell) whole cell lysate at 40 µg

Lane 2:

Human colon tissue lysate at 40 µg

Lane 3:

Human testis tissue lysate at 40 µg

Lane 4:

NIH/3T3 (mouse embryonic fibroblast) whole cell lysate at 40 µg

Secondary

All lanes:

Western blot - Goat Anti-Rabbit IgG H&L (HRP) (<a href='/en-us/products/secondary-antibodies/goat-rabbit-igg-h-l-hrp-ab97051'>ab97051</a>) at 1/50000 dilution

Predicted band size: 44 kDa

Observed band size: 55 kDa

false

  • Carrier free

    Anti-Cbx6 antibody [EPR23828-108] - BSA and Azide free

Key facts

Host species

Rabbit

Clonality

Monoclonal

Clone number

EPR23828-108

Isotype

IgG

Carrier free

No

Reacts with

Mouse, Rat, Human

Applications

IHC-P, WB

applications

Immunogen

The exact immunogen used to generate this antibody is proprietary information.

Reactivity data

{ "title": "Reactivity Data", "filters": { "stats": ["", "Species", "Dilution Info", "Notes"], "tabs": { "all-applications": {"fullname" : "All Applications", "shortname": "All Applications"}, "ICCIF" : {"fullname" : "Immunocytochemistry/ Immunofluorescence", "shortname":"ICC/IF"}, "IP" : {"fullname" : "Immunoprecipitation", "shortname":"IP"}, "ChIP" : {"fullname" : "ChIP", "shortname":"ChIP"}, "WB" : {"fullname" : "Western blot", "shortname":"WB"}, "FlowCytIntra" : {"fullname" : "Flow Cytometry (Intracellular)", "shortname":"Flow Cyt (Intra)"}, "IHCP" : {"fullname" : "Immunohistochemistry (Formalin/PFA-fixed paraffin-embedded sections)", "shortname":"IHC-P"} }, "product-promise": { "all": "all", "testedAndGuaranteed": "tested", "guaranteed": "expected", "predicted": "predicted", "notRecommended": "not-recommended" } }, "values": { "Human": { "ICCIF-species-checked": "notRecommended", "ICCIF-species-dilution-info": "", "ICCIF-species-notes": "<p></p>", "IP-species-checked": "notRecommended", "IP-species-dilution-info": "", "IP-species-notes": "<p></p>", "ChIP-species-checked": "notRecommended", "ChIP-species-dilution-info": "", "ChIP-species-notes": "<p></p>", "WB-species-checked": "testedAndGuaranteed", "WB-species-dilution-info": "1/1000", "WB-species-notes": "<p></p>", "FlowCytIntra-species-checked": "notRecommended", "FlowCytIntra-species-dilution-info": "", "FlowCytIntra-species-notes": "<p></p>", "IHCP-species-checked": "testedAndGuaranteed", "IHCP-species-dilution-info": "1/100", "IHCP-species-notes": "<p></p>" }, "Mouse": { "ICCIF-species-checked": "notRecommended", "ICCIF-species-dilution-info": "", "ICCIF-species-notes": "<p></p>", "IP-species-checked": "notRecommended", "IP-species-dilution-info": "", "IP-species-notes": "<p></p>", "ChIP-species-checked": "notRecommended", "ChIP-species-dilution-info": "", "ChIP-species-notes": "<p></p>", "WB-species-checked": "testedAndGuaranteed", "WB-species-dilution-info": "1/1000", "WB-species-notes": "<p></p>", "FlowCytIntra-species-checked": "notRecommended", "FlowCytIntra-species-dilution-info": "", "FlowCytIntra-species-notes": "<p></p>", "IHCP-species-checked": "testedAndGuaranteed", "IHCP-species-dilution-info": "1/100", "IHCP-species-notes": "<p></p>" }, "Rat": { "ICCIF-species-checked": "notRecommended", "ICCIF-species-dilution-info": "", "ICCIF-species-notes": "<p></p>", "IP-species-checked": "notRecommended", "IP-species-dilution-info": "", "IP-species-notes": "<p></p>", "ChIP-species-checked": "notRecommended", "ChIP-species-dilution-info": "", "ChIP-species-notes": "<p></p>", "WB-species-checked": "notRecommended", "WB-species-dilution-info": "1/1000", "WB-species-notes": "<p></p>", "FlowCytIntra-species-checked": "notRecommended", "FlowCytIntra-species-dilution-info": "", "FlowCytIntra-species-notes": "<p></p>", "IHCP-species-checked": "testedAndGuaranteed", "IHCP-species-dilution-info": "1/100", "IHCP-species-notes": "<p></p>" } } }

Product details

Patented technology
Our RabMAb® technology is a patented hybridoma-based technology for making rabbit monoclonal antibodies. For details on our patents, please refer to RabMAb® patents.

What are the advantages of a recombinant monoclonal antibody?
This product is a recombinant monoclonal antibody, which offers several advantages including:

  • - High batch-to-batch consistency and reproducibility
  • - Improved sensitivity and specificity
  • - Long-term security of supply
  • - Animal-free batch production

For more information, read more on recombinant antibodies.

Properties and storage information

Form
Liquid
Purification technique
Affinity purification Protein A
Storage buffer
Preservative: 0.01% Sodium azide Constituents: PBS, 40% Glycerol (glycerin, glycerine), 0.05% BSA
Shipped at conditions
Blue Ice
Appropriate short-term storage duration
1-2 weeks
Appropriate short-term storage conditions
+4°C
Appropriate long-term storage conditions
-20°C
Aliquoting information
Upon delivery aliquot
Storage information
Avoid freeze / thaw cycle

Supplementary information

This supplementary information is collated from multiple sources and compiled automatically.

Cbx6 also known as Chromobox Protein Homolog 6 is a component of the Polycomb Group (PcG) proteins with a core function in transcriptional repression. It has a molecular mass of approximately 51 kDa. The primary expression of Cbx6 occurs in stem and progenitor cells but it is also present in various tissues during embryogenesis. The protein contains a chromodomain that facilitates its interaction with histones and contributes to chromatin structure alteration impacting gene expression regulation.
Biological function summary

Cbx6 plays a significant role in maintaining cellular pluripotency and regulating differentiation processes. As part of the Polycomb Repressive Complex 1 (PRC1) Cbx6 participates in modifying chromatin to silence target genes. This complex works synergistically with other PcG proteins to ensure correct temporal and spatial expression of developmentally important genes. The association with histone H3 lysine 27 trimethylation (H3K27me3) is fundamental to its repressive function.

Pathways

Cbx6 functions integrally within the epigenetic regulation pathway and impacts the Wnt signaling pathway. By interacting with other PRC1 members Cbx6 facilitates transcriptional silencing required for the maintenance of stem cell identity. Its activities are closely linked to the modulation of canonical Wnt signaling and in doing so it affects proteins such as β-catenin as well as interacting with other PcG components like Cbx7 and Bmi1.

Cbx6 shows associations with various cancers and developmental disorders. Its dysregulation is observed in malignancies like colorectal cancer where abnormal Cbx6 expression affects the Wnt signaling pathway leading to enhanced proliferation. Furthermore disorders in embryonic development can arise from improper Cbx6 function in Polycomb-mediated gene silencing. Within the context of these conditions Cbx6 works alongside other regulators such as EZH2 in the PRC2 complex highlighting its multifaceted role in disease states.

Product protocols

For this product, it's our understanding that no specific protocols are required. You can visit:

Target data

Component of a Polycomb group (PcG) multiprotein PRC1-like complex, a complex class required to maintain the transcriptionally repressive state of many genes, including Hox genes, throughout development (PubMed : 21282530). PcG PRC1 complex acts via chromatin remodeling and modification of histones; it mediates monoubiquitination of histone H2A 'Lys-119', rendering chromatin heritably changed in its expressibility. Possibly contributes to the target selectivity of the PRC1 complex by binding specific regions of chromatin (PubMed : 18927235). Recruitment to chromatin might occur in an H3K27me3-independent fashion (By similarity). May have a PRC1-independent function in embryonic stem cells (By similarity).
See full target information CBX6

Publications (1)

Recent publications for all applications. Explore the full list and refine your search

BMC cancer 23:641 PubMed37430195

2023

An integrative bioinformatics investigation and experimental validation of chromobox family in diffuse large B-cell lymphoma.

Applications

Unspecified application

Species

Unspecified reactive species

Fenling Zhou,Lu Chen,Peng Lu,Yuli Cao,Cuilan Deng,Gexiu Liu
View all publications

Product promise

We are committed to supporting your work with high-quality reagents, and we're here for you every step of the way. In the unlikely event that one of our products does not perform as expected, you're protected by our Product Promise.
For full details, please see our Terms & Conditions

Please note: All products are 'FOR RESEARCH USE ONLY. NOT FOR USE IN DIAGNOSTIC OR THERAPEUTIC PROCEDURES'.

For licensing inquiries, please contact partnerships@abcam.com