JavaScript is disabled in your browser. Please enable JavaScript to view this website.
AB203656

Anti-CCDC12 antibody

Be the first to review this product! Submit a review

|

(1 Publication)

Rabbit Polyclonal CCDC12 antibody. Suitable for IHC-P and reacts with Rat samples. Cited in 1 publication. Immunogen corresponding to Synthetic Peptide within Human CCDC12 aa 1-50 conjugated to Keyhole Limpet Haemocyanin.

View Alternative Names

Coiled-coil domain-containing protein 12, CCDC12

2 Images
Immunohistochemistry (Formalin/PFA-fixed paraffin-embedded sections) - Anti-CCDC12 antibody (AB203656)
  • IHC-P

Supplier Data

Immunohistochemistry (Formalin/PFA-fixed paraffin-embedded sections) - Anti-CCDC12 antibody (AB203656)

Immunohistochemical analysis of formalin-fixed and paraffin-embedded rat brain tissue labeling CCDC12 with ab203656 at 1/200 dilution followed by Goat Anti-Rabbit IgG, Cy3 conjugated secondary at 1/200 dilution.

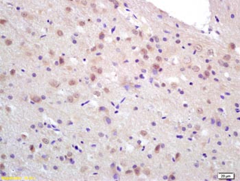
Immunohistochemistry (Formalin/PFA-fixed paraffin-embedded sections) - Anti-CCDC12 antibody (AB203656)
  • IHC-P

Supplier Data

Immunohistochemistry (Formalin/PFA-fixed paraffin-embedded sections) - Anti-CCDC12 antibody (AB203656)

Immunohistochemical analysis of formalin-fixed, paraffin-embedded rat brain tissue labeling CCDC12 with ab203656 at 1/200 dilution followed by conjugation to the secondary antibody and DAB staining.

Key facts

Host species

Rabbit

Clonality

Polyclonal

Isotype

IgG

Carrier free

No

Reacts with

Rat

Applications

IHC-P

applications

Immunogen

Synthetic Peptide within Human CCDC12 aa 1-50 conjugated to Keyhole Limpet Haemocyanin. The exact immunogen used to generate this antibody is proprietary information.

Q8WUD4

Reactivity data

{ "title": "Reactivity Data", "filters": { "stats": ["", "Species", "Dilution Info", "Notes"], "tabs": { "all-applications": {"fullname" : "All Applications", "shortname": "All Applications"}, "IHCP" : {"fullname" : "Immunohistochemistry (Formalin/PFA-fixed paraffin-embedded sections)", "shortname":"IHC-P"} }, "product-promise": { "all": "all", "testedAndGuaranteed": "tested", "guaranteed": "expected", "predicted": "predicted", "notRecommended": "not-recommended" } }, "values": { "Rat": { "IHCP-species-checked": "testedAndGuaranteed", "IHCP-species-dilution-info": "1/100 - 1/500", "IHCP-species-notes": "<p>When using a fluorescent probe the recommended dilution is 1/50 – 1/200.</p>" } } }

Properties and storage information

Form
Liquid
Purification technique
Affinity purification Protein A
Storage buffer
pH: 7.4 Preservative: 0.02% Proclin 300 Constituents: 50% Glycerol (glycerin, glycerine), 48.98% TBS, 1X, 1% BSA
Shipped at conditions
Blue Ice
Appropriate short-term storage duration
1-2 weeks
Appropriate short-term storage conditions
+4°C
Appropriate long-term storage conditions
-20°C
Aliquoting information
Upon delivery aliquot
Storage information
Avoid freeze / thaw cycle

Product protocols

For this product, it's our understanding that no specific protocols are required. You can visit:

Publications (1)

Recent publications for all applications. Explore the full list and refine your search

Oncology letters 17:365-371 PubMed30655776

2019

MicroRNA-24-3p regulates Hodgkin's lymphoma cell proliferation, migration and invasion by targeting DEDD.

Applications

Unspecified application

Species

Unspecified reactive species

Jing Wang,Kai Yin,Xianping Lv,Qiankun Yang,Ming Shao,Xin Liu,Hui Sun
View all publications

Product promise

We are committed to supporting your work with high-quality reagents, and we're here for you every step of the way. In the unlikely event that one of our products does not perform as expected, you're protected by our Product Promise.
For full details, please see our Terms & Conditions

Please note: All products are 'FOR RESEARCH USE ONLY. NOT FOR USE IN DIAGNOSTIC OR THERAPEUTIC PROCEDURES'.

For licensing inquiries, please contact partnerships@abcam.com