JavaScript is disabled in your browser. Please enable JavaScript to view this website.
AB121727

Anti-CCDC40 antibody

Be the first to review this product! Submit a review

|

(1 Publication)

Rabbit Polyclonal CCDC40 antibody. Suitable for IHC-P, WB, ICC/IF and reacts with Human samples. Cited in 1 publication. Immunogen corresponding to Synthetic Peptide within Human CCDC40 aa 1-150.

View Alternative Names

KIAA1640, CCDC40, Coiled-coil domain-containing protein 40

3 Images
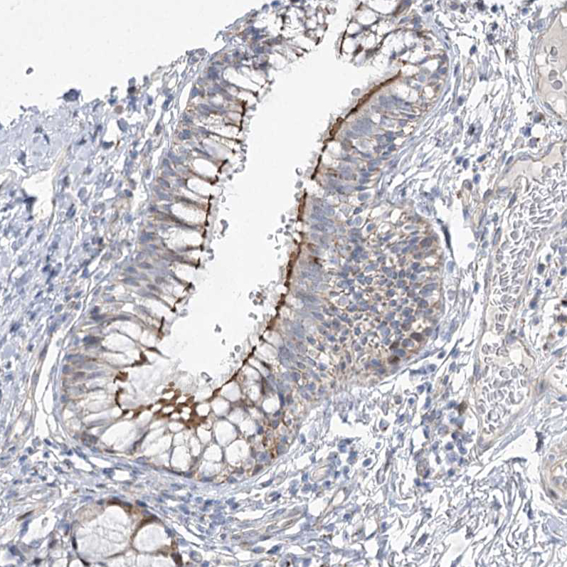
Immunohistochemistry (Formalin/PFA-fixed paraffin-embedded sections) - Anti-CCDC40 antibody (AB121727)
  • IHC-P

Unknown

Immunohistochemistry (Formalin/PFA-fixed paraffin-embedded sections) - Anti-CCDC40 antibody (AB121727)

ab121727 at 1/500 dilution staining CCDC40 in Paraffin-embedded Human urinary bladder tissue by Immunohistochemistry.

Immunocytochemistry/ Immunofluorescence - Anti-CCDC40 antibody (AB121727)
  • ICC/IF

Unknown

Immunocytochemistry/ Immunofluorescence - Anti-CCDC40 antibody (AB121727)

Immunofluorescent staining of Human cell line U-251MG shows positivity in cytoskeleton (microtubules). Recommended concentration of ab121727 1-4 µg/ml. Cells treated with PFA/Triton X-100.

Western blot - Anti-CCDC40 antibody (AB121727)
  • WB

Unknown

Western blot - Anti-CCDC40 antibody (AB121727)

All lanes:

Western blot - Anti-CCDC40 antibody (ab121727) at 1/250 dilution

Lane 1:

RT4 cell lysate

Lane 2:

U251 MG cell lysate

Lane 3:

Human Plasma

Lane 4:

Human Liver tissue lysate

Lane 5:

Human Tonsil tissue lysate

Predicted band size: 130 kDa

true

Key facts

Host species

Rabbit

Clonality

Polyclonal

Isotype

IgG

Carrier free

No

Reacts with

Human

Applications

WB, IHC-P, ICC/IF

applications

Immunogen

Synthetic Peptide within Human CCDC40 aa 1-150. The exact immunogen used to generate this antibody is proprietary information.

Q4G0X9

Reactivity data

{ "title": "Reactivity Data", "filters": { "stats": ["", "Species", "Dilution Info", "Notes"], "tabs": { "all-applications": {"fullname" : "All Applications", "shortname": "All Applications"}, "IHCP" : {"fullname" : "Immunohistochemistry (Formalin/PFA-fixed paraffin-embedded sections)", "shortname":"IHC-P"}, "WB" : {"fullname" : "Western blot", "shortname":"WB"}, "ICCIF" : {"fullname" : "Immunocytochemistry/ Immunofluorescence", "shortname":"ICC/IF"} }, "product-promise": { "all": "all", "testedAndGuaranteed": "tested", "guaranteed": "expected", "predicted": "predicted", "notRecommended": "not-recommended" } }, "values": { "Human": { "IHCP-species-checked": "testedAndGuaranteed", "IHCP-species-dilution-info": "1/200 - 1/500", "IHCP-species-notes": "<p></p> Perform heat-mediated antigen retrieval with citrate buffer pH 6 before commencing with IHC staining protocol.", "WB-species-checked": "testedAndGuaranteed", "WB-species-dilution-info": "0.04-0.4 µg/mL", "WB-species-notes": "<p></p>", "ICCIF-species-checked": "testedAndGuaranteed", "ICCIF-species-dilution-info": "0.25-2 µg/mL", "ICCIF-species-notes": "<p></p>" } } }

Properties and storage information

Form
Liquid
Purification technique
Affinity purification Immunogen
Storage buffer
pH: 7.2 Preservative: 0.02% Sodium azide Constituents: PBS, 40% Glycerol (glycerin, glycerine)
Shipped at conditions
Blue Ice
Appropriate short-term storage conditions
+4°C
Appropriate long-term storage conditions
-20°C
Aliquoting information
Upon delivery aliquot
Storage information
Avoid freeze / thaw cycle

Product protocols

For this product, it's our understanding that no specific protocols are required. You can visit:

Target data

Required for assembly of dynein regulatory complex (DRC) and inner dynein arm (IDA) complexes, which are responsible for ciliary beat regulation, thereby playing a central role in motility in cilia and flagella (PubMed : 21131974). Probably acts together with CCDC39 to form a molecular ruler that determines the 96 nanometer (nm) repeat length and arrangements of components in cilia and flagella (By similarity). Not required for outer dynein arm complexes assembly. Required for axonemal recruitment of CCDC39 (PubMed : 21131974).
See full target information CCDC40

Publications (1)

Recent publications for all applications. Explore the full list and refine your search

Life science alliance 1:e201800070 PubMed30456350

2018

Proteomics and neuropathology identify ribosomes as poly-GR/PR interactors driving toxicity.

Applications

Unspecified application

Species

Unspecified reactive species

Hannelore Hartmann,Daniel Hornburg,Mareike Czuppa,Jakob Bader,Meike Michaelsen,Daniel Farny,Thomas Arzberger,Matthias Mann,Felix Meissner,Dieter Edbauer
View all publications

Product promise

We are committed to supporting your work with high-quality reagents, and we're here for you every step of the way. In the unlikely event that one of our products does not perform as expected, you're protected by our Product Promise.
For full details, please see our Terms & Conditions

Please note: All products are 'FOR RESEARCH USE ONLY. NOT FOR USE IN DIAGNOSTIC OR THERAPEUTIC PROCEDURES'.

For licensing inquiries, please contact partnerships@abcam.com