JavaScript is disabled in your browser. Please enable JavaScript to view this website.
AB122451

Anti-CCDC75 antibody

Be the first to review this product! Submit a review

|

(2 Publications)

Rabbit Polyclonal CCDC75 antibody. Suitable for IHC-P, WB, ICC/IF and reacts with Human samples. Cited in 2 publications. Immunogen corresponding to Recombinant Fragment Protein within Human GPATCH11 aa 100-200.

View Alternative Names

CCDC75, CENP-Y, GPATCH11, G patch domain-containing protein 11, Coiled-coil domain-containing protein 75

3 Images
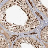
Immunohistochemistry (Formalin/PFA-fixed paraffin-embedded sections) - Anti-CCDC75 antibody (AB122451)
  • IHC-P

Unknown

Immunohistochemistry (Formalin/PFA-fixed paraffin-embedded sections) - Anti-CCDC75 antibody (AB122451)

ab122451, at 1/200, staining CCDC75 in paraffin embedded Human testis tissue by immunohistochemistry.

Immunocytochemistry/ Immunofluorescence - Anti-CCDC75 antibody (AB122451)
  • ICC/IF

Unknown

Immunocytochemistry/ Immunofluorescence - Anti-CCDC75 antibody (AB122451)

Immunofluorescent staining of Human cell line U-2 OS shows positivity in nucleus. Recommended concentration of ab122451 1-4 µg/ml. Cells treated with PFA/Triton X-100.

Western blot - Anti-CCDC75 antibody (AB122451)
  • WB

Unknown

Western blot - Anti-CCDC75 antibody (AB122451)

All lanes:

Western blot - Anti-CCDC75 antibody (ab122451) at 1/250 dilution

Lane 1:

RT4 lysate

Lane 2:

U251 MG lysate

Lane 3:

Human plasma lysate

Lane 4:

Liver lysate

Lane 5:

Tonsil lysate

Predicted band size: 30 kDa

false

Key facts

Host species

Rabbit

Clonality

Polyclonal

Isotype

IgG

Carrier free

No

Reacts with

Human

Applications

ICC/IF, WB, IHC-P

applications

Immunogen

Recombinant Fragment Protein within Human GPATCH11 aa 100-200. The exact immunogen used to generate this antibody is proprietary information.

Q8N954

Reactivity data

{ "title": "Reactivity Data", "filters": { "stats": ["", "Species", "Dilution Info", "Notes"], "tabs": { "all-applications": {"fullname" : "All Applications", "shortname": "All Applications"}, "IHCP" : {"fullname" : "Immunohistochemistry (Formalin/PFA-fixed paraffin-embedded sections)", "shortname":"IHC-P"}, "WB" : {"fullname" : "Western blot", "shortname":"WB"}, "ICCIF" : {"fullname" : "Immunocytochemistry/ Immunofluorescence", "shortname":"ICC/IF"} }, "product-promise": { "all": "all", "testedAndGuaranteed": "tested", "guaranteed": "expected", "predicted": "predicted", "notRecommended": "not-recommended" } }, "values": { "Human": { "IHCP-species-checked": "testedAndGuaranteed", "IHCP-species-dilution-info": "1/200 - 1/500", "IHCP-species-notes": "<p></p> Perform heat-mediated antigen retrieval with citrate buffer pH 6 before commencing with IHC staining protocol.", "WB-species-checked": "testedAndGuaranteed", "WB-species-dilution-info": "0.04-0.4 µg/mL", "WB-species-notes": "<p></p>", "ICCIF-species-checked": "testedAndGuaranteed", "ICCIF-species-dilution-info": "0.25-2 µg/mL", "ICCIF-species-notes": "<p></p>" } } }

Properties and storage information

Form
Liquid
Purification technique
Affinity purification Immunogen
Storage buffer
pH: 7.2 Preservative: 0.02% Sodium azide Constituents: PBS, 40% Glycerol (glycerin, glycerine)
Shipped at conditions
Blue Ice
Appropriate short-term storage conditions
+4°C
Appropriate long-term storage conditions
-20°C
Aliquoting information
Upon delivery aliquot
Storage information
Avoid freeze / thaw cycle

Supplementary information

This supplementary information is collated from multiple sources and compiled automatically.

CCDC75 also known as coiled-coil domain containing 75 is a protein involved in cellular mechanics. Structurally it has a molecular mass of approximately 71 kDa and is expressed in various tissues including the brain and testis. CCDC75 plays a role in the formation of protein complexes within the cell. This protein has a structural composition that enables it to facilitate interactions with other proteins contributing to cellular processes that require spatial organization.
Biological function summary

CCDC75 interacts with multiple cellular structures contributing to the regulation of mitosis. It often functions as part of larger protein complexes such as those associated with the centrosome. These complexes are critical during cell division ensuring proper chromosome segregation. CCDC75's involvement in centrosome function indicates its importance in maintaining genomic stability during cell replication.

Pathways

CCDC75 interacts in the regulation of the cell cycle particularly in the mitotic spindle assembly pathway. It is associated with proteins like CENP-E and CENP-N which are required for accurate chromosome movement. The proper function of CCDC75 in these pathways helps maintain cell integrity and prevents abnormalities during cell division important for healthy cell reproduction.

CCDC75 associates with conditions related to aberrant cell division like cancer and certain types of infertility. Mistakes in its function can connect to genomic instability seen in cancer where cells divide uncontrollably. Moreover CCDC75 interactions with proteins like CENP-Y can influence its stability in pathways that when disrupted may contribute to the development of these disorders. Studies regularly examine its role to understand how misregulation contributes to such diseases.

Product protocols

For this product, it's our understanding that no specific protocols are required. You can visit:

Publications (2)

Recent publications for all applications. Explore the full list and refine your search

Nature communications 15:10096 PubMed39572588

2024

GPATCH11 variants cause mis-splicing and early-onset retinal dystrophy with neurological impairment.

Applications

Unspecified application

Species

Unspecified reactive species

Andrea Zanetti,Gwendal Dujardin,Lucas Fares-Taie,Jeanne Amiel,Jérôme E Roger,Isabelle Audo,Matthieu P Robert,Pierre David,Vincent Jung,Nicolas Goudin,Ida Chiara Guerrera,Stéphanie Moriceau,Danielle Amana,Nurit Assia Batzir,Anat Bachar-Zipori,Lina Basel Salmon,Nathalie Boddaert,Sylvain Briault,Ange-Line Bruel,Christine Costet-Fighiera,Luisa Coutinho Santos,Cyril Gitiaux,Karolina Kaminska,Paul Kuentz,Naama Orenstein,Nicole Philip-Sarles,Morgane Plutino,Mathieu Quinodoz,Cristina Santos,Sabine Sigaudy,Mariana Soeiro E Sá,Efrat Sofrin,Ana Berta Sousa,Rui Sousa-Luis,Christel Thauvin-Robinet,Erwin L van Dijk,Khaoula Zaafrane-Khachnaoui,Dinah Zur,Josseline Kaplan,Carlo Rivolta,Jean-Michel Rozet,Isabelle Perrault

Virologica Sinica 35:143-155 PubMed31429011

2019

Proteomic Profiling of Purified Rabies Virus Particles.

Applications

Unspecified application

Species

Unspecified reactive species

Yan Zhang,Yuyang Wang,Ye Feng,Zhongzhong Tu,Zhiyong Lou,Changchun Tu
View all publications

Product promise

We are committed to supporting your work with high-quality reagents, and we're here for you every step of the way. In the unlikely event that one of our products does not perform as expected, you're protected by our Product Promise.
For full details, please see our Terms & Conditions

Please note: All products are 'FOR RESEARCH USE ONLY. NOT FOR USE IN DIAGNOSTIC OR THERAPEUTIC PROCEDURES'.

For licensing inquiries, please contact partnerships@abcam.com