JavaScript is disabled in your browser. Please enable JavaScript to view this website.
AB224050

Anti-CCDC80 antibody

Be the first to review this product! Submit a review

|

(4 Publications)

Rabbit Polyclonal CCDC80 antibody. Suitable for IHC-P and reacts with Human samples. Cited in 4 publications. Immunogen corresponding to Recombinant Fragment Protein within Human CCDC80 aa 150-300.

View Alternative Names

DRO1, URB, HBE245, CCDC80, Coiled-coil domain-containing protein 80, Down-regulated by oncogenes protein 1, Up-regulated in BRS-3 deficient mouse homolog

1 Images
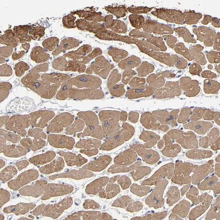
Immunohistochemistry (Formalin/PFA-fixed paraffin-embedded sections) - Anti-CCDC80 antibody (AB224050)
  • IHC-P

Supplier Data

Immunohistochemistry (Formalin/PFA-fixed paraffin-embedded sections) - Anti-CCDC80 antibody (AB224050)

Paraffin-embedded human heart muscle tissue stained for CCDC80 using ab224050 at 1/50 dilution in immunohistochemical analysis.

Key facts

Host species

Rabbit

Clonality

Polyclonal

Isotype

IgG

Carrier free

No

Reacts with

Human

Applications

IHC-P

applications

Immunogen

Recombinant Fragment Protein within Human CCDC80 aa 150-300. The exact immunogen used to generate this antibody is proprietary information.

Q76M96

Reactivity data

{ "title": "Reactivity Data", "filters": { "stats": ["", "Species", "Dilution Info", "Notes"], "tabs": { "all-applications": {"fullname" : "All Applications", "shortname": "All Applications"}, "IHCP" : {"fullname" : "Immunohistochemistry (Formalin/PFA-fixed paraffin-embedded sections)", "shortname":"IHC-P"} }, "product-promise": { "all": "all", "testedAndGuaranteed": "tested", "guaranteed": "expected", "predicted": "predicted", "notRecommended": "not-recommended" } }, "values": { "Human": { "IHCP-species-checked": "testedAndGuaranteed", "IHCP-species-dilution-info": "1/50 - 1/200", "IHCP-species-notes": "<p></p> Perform heat-mediated antigen retrieval with citrate buffer pH 6 before commencing with IHC staining protocol." }, "Mouse": { "IHCP-species-checked": "predicted", "IHCP-species-dilution-info": "", "IHCP-species-notes": "" }, "Rat": { "IHCP-species-checked": "predicted", "IHCP-species-dilution-info": "", "IHCP-species-notes": "" } } }

Properties and storage information

Form
Liquid
Purification technique
Affinity purification Immunogen
Storage buffer
pH: 7.2 Preservative: 0.02% Sodium azide Constituents: PBS, 40% Glycerol (glycerin, glycerine)
Shipped at conditions
Blue Ice
Appropriate short-term storage duration
1-2 weeks
Appropriate short-term storage conditions
+4°C
Appropriate long-term storage conditions
-20°C
Aliquoting information
Upon delivery aliquot
Storage information
Avoid freeze / thaw cycle

Supplementary information

This supplementary information is collated from multiple sources and compiled automatically.

The CCDC80 protein also referred to as Coiled-coil domain-containing protein 80 or DRO1 functions as a secreted protein and may play role in extracellular matrix organization. It has a molecular mass of approximately 100 kDa. You find expression of CCDC80 in various tissues most notably in adipose tissue liver and certain immune cells. The protein interacts with other extracellular matrix components and can influence cellular adhesion properties.
Biological function summary

CCDC80 influences cell differentiation and proliferation. It plays roles in modulating insulin signaling and glucose metabolism suggesting involvement in metabolic regulation. As part of larger protein networks CCDC80 may interact with proteins such as fibronectin and integrin receptors which are key players in cell matrix communication.

Pathways

CCDC80 interacts with metabolic and cell signaling pathways. In the insulin signaling pathway CCDC80 impacts the regulation of glucose uptake and energy metabolism. Through this pathway it interfaces with insulin receptor substrates that are critical for maintaining metabolic homeostasis.

Involvement of CCDC80 connects to metabolic disorders particularly obesity and type 2 diabetes. Dysregulation of CCDC80 may also influence inflammatory responses due to its expression in immune cells. It relates closely with proteins like insulin receptor and adiponectin which are critical in both metabolism and inflammatory pathways linking its function to these health conditions.

Product protocols

For this product, it's our understanding that no specific protocols are required. You can visit:

Target data

Promotes cell adhesion and matrix assembly.
See full target information CCDC80

Publications (4)

Recent publications for all applications. Explore the full list and refine your search

Frontiers in immunology 16:1577781 PubMed40534859

2025

Integrated machine learning and single-cell analysis reveal the prognostic and therapeutic potential of SUMOylation-related genes in ovarian cancer.

Applications

Unspecified application

Species

Unspecified reactive species

Zhengrong Deng,Yicong Xu,Peidong Zhang,Yixiang Peng,Jiaxing Tan,Zihang Chen,Yimei Ma

Journal of Cancer 15:5557-5576 PubMed39308689

2024

Lactate Metabolism Subtypes Analysis Reveals CCDC80 as a Novel Prognostic Biomarker in Gastric Cancer.

Applications

Unspecified application

Species

Unspecified reactive species

Xiang Li,Yaqi Du

Frontiers in cell and developmental biology 9:758339 PubMed34805166

2021

Papillary Thyroid Carcinoma Landscape and Its Immunological Link With Hashimoto Thyroiditis at Single-Cell Resolution.

Applications

Unspecified application

Species

Unspecified reactive species

Jun Pan,Fang Ye,Chengxuan Yu,Qinsheng Zhu,Jiaqi Li,Yaohui Zhang,Hedi Tian,Yunjin Yao,Minjie Zhu,Yibin Shen,Feng Zhu,Yingying Wang,Xinhui Zhou,Guoji Guo,Yijun Wu

Nature communications 12:3970 PubMed34172739

2021

The nanoscale molecular morphology of docked exocytic dense-core vesicles in neuroendocrine cells.

Applications

Unspecified application

Species

Unspecified reactive species

Bijeta Prasai,Gideon J Haber,Marie-Paule Strub,Regina Ahn,John A Ciemniecki,Kem A Sochacki,Justin W Taraska
View all publications

Product promise

We are committed to supporting your work with high-quality reagents, and we're here for you every step of the way. In the unlikely event that one of our products does not perform as expected, you're protected by our Product Promise.
For full details, please see our Terms & Conditions

Please note: All products are 'FOR RESEARCH USE ONLY. NOT FOR USE IN DIAGNOSTIC OR THERAPEUTIC PROCEDURES'.

For licensing inquiries, please contact partnerships@abcam.com