JavaScript is disabled in your browser. Please enable JavaScript to view this website.
AB183124

Anti-CCK2-R antibody

1

(1 Review)

|

(2 Publications)

Rabbit Polyclonal CCK2-R antibody. Suitable for WB, IHC-P and reacts with Human samples. Cited in 2 publications. Immunogen corresponding to Synthetic Peptide within Human CCKBR aa 1-100.

View Alternative Names

CCKRB, CCKBR, Gastrin/cholecystokinin type B receptor, CCK-B receptor, CCK-BR, Cholecystokinin-2 receptor, CCK2-R

2 Images
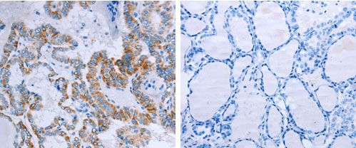
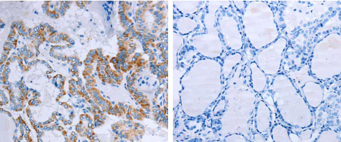
Immunohistochemistry (Formalin/PFA-fixed paraffin-embedded sections) - Anti-CCK2-R antibody (AB183124)
  • IHC-P

Supplier Data

Immunohistochemistry (Formalin/PFA-fixed paraffin-embedded sections) - Anti-CCK2-R antibody (AB183124)

Immunohistochemical analysis of paraffin-embedded Human thyroid cancer tissue labeling CCK2-R with ab183124 at 1/75 dilution. The image on the right is treated with the synthesized peptide. (Original magnification : X 200)

Western blot - Anti-CCK2-R antibody (AB183124)
  • WB

Supplier Data

Western blot - Anti-CCK2-R antibody (AB183124)

10%SDS-PAGE

All lanes:

Western blot - Anti-CCK2-R antibody (ab183124) at 1/1600 dilution

All lanes:

Human gastric cancer tissue at 40 µg

Secondary

All lanes:

Goat anti Rabbit IgG - H&L (HRP) at 1/10000 dilution

Predicted band size: 48 kDa

true

Exposure time: 10s

Key facts

Host species

Rabbit

Clonality

Polyclonal

Isotype

IgG

Carrier free

No

Reacts with

Human

Applications

IHC-P, WB

applications

Immunogen

Synthetic Peptide within Human CCKBR aa 1-100. The exact immunogen used to generate this antibody is proprietary information.

P32239

Reactivity data

{ "title": "Reactivity Data", "filters": { "stats": ["", "Species", "Dilution Info", "Notes"], "tabs": { "all-applications": {"fullname" : "All Applications", "shortname": "All Applications"}, "WB" : {"fullname" : "Western blot", "shortname":"WB"}, "IHCP" : {"fullname" : "Immunohistochemistry (Formalin/PFA-fixed paraffin-embedded sections)", "shortname":"IHC-P"} }, "product-promise": { "all": "all", "testedAndGuaranteed": "tested", "guaranteed": "expected", "predicted": "predicted", "notRecommended": "not-recommended" } }, "values": { "Human": { "WB-species-checked": "testedAndGuaranteed", "WB-species-dilution-info": "1/2000 - 1/5000", "WB-species-notes": "<p></p>", "IHCP-species-checked": "testedAndGuaranteed", "IHCP-species-dilution-info": "1/50 - 1/150", "IHCP-species-notes": "<p></p>" }, "Mouse": { "WB-species-checked": "predicted", "WB-species-dilution-info": "", "WB-species-notes": "", "IHCP-species-checked": "predicted", "IHCP-species-dilution-info": "", "IHCP-species-notes": "" }, "Rat": { "WB-species-checked": "predicted", "WB-species-dilution-info": "", "WB-species-notes": "", "IHCP-species-checked": "predicted", "IHCP-species-dilution-info": "", "IHCP-species-notes": "" } } }

Properties and storage information

Form
Liquid
Purification technique
Affinity purification Immunogen
Storage buffer
pH: 7.4 Preservative: 0.05% Sodium azide Constituents: PBS, 50% Glycerol (glycerin, glycerine)
Shipped at conditions
Blue Ice
Appropriate short-term storage duration
1-2 weeks
Appropriate short-term storage conditions
+4°C
Appropriate long-term storage conditions
-20°C
Aliquoting information
Upon delivery aliquot
Storage information
Avoid freeze / thaw cycle

Supplementary information

This supplementary information is collated from multiple sources and compiled automatically.

CCK2 receptors also known as cholecystokinin B receptors play important roles in the body. These receptors are part of the G protein-coupled receptor family. They have a molecular mass of approximately 48 kDa. CCK2 receptors mainly express in the brain and gastric mucosa. In the brain they regulate neurotransmission while in the stomach they influence gastric acid secretion.
Biological function summary

CCK2 receptors interact with cholecystokinin and gastrin hormones. They are essential components of signaling complexes that mediate their effects. Interaction with these hormones leads to increased cellular calcium levels. This receptor also plays a role in modulating anxiety and pain perception in addition to its role in digestive processes.

Pathways

CCK2 receptors are key in the gastrin signaling pathway and influence the phosphoinositide pathway. These pathways involve interaction with other proteins like CCK1 receptors and tyrosine kinases. The interplay with these pathways contributes to the activation of intracellular signaling cascades that affect cell growth and digestive enzyme secretion.

CCK2 receptors have links to anxiety disorders and gastric cancers. Alterations in receptor function can influence the brain's response to stress linking it to anxiety. For gastric cancers overexpression of CCK2 receptors can lead to increased cell proliferation. Their interaction with phosphoinositide 3-kinase also plays a role in the progression of gastric cancers.

Product protocols

For this product, it's our understanding that no specific protocols are required. You can visit:

Target data

Receptor for gastrin and cholecystokinin. The CCK-B receptors occur throughout the central nervous system where they modulate anxiety, analgesia, arousal, and neuroleptic activity. This receptor mediates its action by association with G proteins that activate a phosphatidylinositol-calcium second messenger system.. Isoform 2 is constitutively activated and may regulate cancer cell proliferation via a gastrin-independent mechanism.
See full target information CCKBR

Publications (2)

Recent publications for all applications. Explore the full list and refine your search

Irish journal of medical science 186:883-888 PubMed28470351

2017

CCK1 receptor is involved in the regulation of protein lysine acetylation in GBC-SD cells and gallbladder carcinoma.

Applications

WB

Species

Human

W Wu,B Ouyang,Z Lu,H Liu,Y Tan,P Cui

Reproduction (Cambridge, England) 150:257-68 PubMed26175429

2015

Cholecystokinin receptors regulate sperm protein tyrosine phosphorylation via uptake of HCO3-.

Applications

Unspecified application

Species

Unspecified reactive species

Yuchuan Zhou,Yanfei Ru,Huijuan Shi,Yanjiao Wang,Bin Wu,Halmurat Upur,Yonglian Zhang
View all publications

Product promise

We are committed to supporting your work with high-quality reagents, and we're here for you every step of the way. In the unlikely event that one of our products does not perform as expected, you're protected by our Product Promise.
For full details, please see our Terms & Conditions

Please note: All products are 'FOR RESEARCH USE ONLY. NOT FOR USE IN DIAGNOSTIC OR THERAPEUTIC PROCEDURES'.

For licensing inquiries, please contact partnerships@abcam.com