JavaScript is disabled in your browser. Please enable JavaScript to view this website.
AB198828

Anti-CCL1 antibody

Be the first to review this product! Submit a review

|

(1 Publication)

Rabbit Polyclonal CCL1 antibody. Suitable for IHC-P and reacts with Human samples. Cited in 1 publication. Immunogen corresponding to Synthetic Peptide within Human CCL1.

View Alternative Names

SCYA1, CCL1, C-C motif chemokine 1, Small-inducible cytokine A1, T lymphocyte-secreted protein I-309

2 Images
Immunohistochemistry (Formalin/PFA-fixed paraffin-embedded sections) - Anti-CCL1 antibody (AB198828)
  • IHC-P

Supplier Data

Immunohistochemistry (Formalin/PFA-fixed paraffin-embedded sections) - Anti-CCL1 antibody (AB198828)

Immunohistochemical staining of Human cervical cancer tissue labeling CCL1 using ab198828 at 1/50 dilution.

Immunohistochemistry (Formalin/PFA-fixed paraffin-embedded sections) - Anti-CCL1 antibody (AB198828)
  • IHC-P

Supplier Data

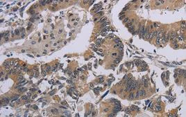
Immunohistochemistry (Formalin/PFA-fixed paraffin-embedded sections) - Anti-CCL1 antibody (AB198828)

Immunohistochemical staining of Human colon cancer tissue labeling CCL1 using ab198828 at 1/50 dilution.

Key facts

Host species

Rabbit

Clonality

Polyclonal

Isotype

IgG

Carrier free

No

Reacts with

Human

Applications

IHC-P

applications

Immunogen

Synthetic Peptide within Human CCL1. The exact immunogen used to generate this antibody is proprietary information.

P22362

Reactivity data

{ "title": "Reactivity Data", "filters": { "stats": ["", "Species", "Dilution Info", "Notes"], "tabs": { "all-applications": {"fullname" : "All Applications", "shortname": "All Applications"}, "IHCP" : {"fullname" : "Immunohistochemistry (Formalin/PFA-fixed paraffin-embedded sections)", "shortname":"IHC-P"} }, "product-promise": { "all": "all", "testedAndGuaranteed": "tested", "guaranteed": "expected", "predicted": "predicted", "notRecommended": "not-recommended" } }, "values": { "Human": { "IHCP-species-checked": "testedAndGuaranteed", "IHCP-species-dilution-info": "1/50 - 1/200", "IHCP-species-notes": "<p></p>" } } }

Properties and storage information

Form
Liquid
Purification technique
Affinity purification Immunogen
Storage buffer
pH: 7.4 Preservative: 0.05% Sodium azide Constituents: PBS, 50% Glycerol (glycerin, glycerine)
Shipped at conditions
Blue Ice
Appropriate short-term storage duration
1-2 weeks
Appropriate short-term storage conditions
+4°C
Appropriate long-term storage conditions
-20°C
Aliquoting information
Upon delivery aliquot
Storage information
Avoid freeze / thaw cycle

Supplementary information

This supplementary information is collated from multiple sources and compiled automatically.

The CCL1 protein also known as I-309 protein is a cytokine that plays a significant role in the immune system. Its molecular mass is approximately 10 kDa. CCL1 is secreted by activated T cells and is found extensively in the thymus. It binds to the CCR8 receptor which suggests its involvement in immune signaling. This protein belongs to the CC chemokine family which is characterized by the presence of two adjacent cysteines near the amino terminus.
Biological function summary

CCL1 influences immune cell trafficking and activation. It attracts monocytes T lymphocytes and some types of dendritic cells to sites of inflammation. Although it is not part of a large protein complex CCL1 works with other chemokines to modulate the immune response contributing to both innate and adaptive immune mechanisms. Its expression may increase or decrease depending on the immune needs of the body.

Pathways

Studies show that CCL1 participates in the chemokine signaling pathway and the effector T-cell pathway. Within the chemokine signaling pathway CCL1 interacts with other chemokines like CCL17 and proteins involved in T-cell migration. This pathway helps coordinate the movement of immune cells to sites of inflammation or injury ensuring an effective immune response.

Research links CCL1 to conditions such as asthma and rheumatoid arthritis. In asthma CCL1 levels influence the recruitment of immune cells to the lungs contributing to inflammation and airway hyper-responsiveness. Similarly in rheumatoid arthritis its interaction with CCR8 has been associated with synovial inflammation. These diseases indicate that CCL1’s role in immune cell migration can have pathological consequences when dysregulated.

Product protocols

For this product, it's our understanding that no specific protocols are required. You can visit:

Target data

Cytokine that is chemotactic for monocytes but not for neutrophils. Binds to CCR8.
See full target information CCL1

Publications (1)

Recent publications for all applications. Explore the full list and refine your search

Molecular medicine reports 31: PubMed39791208

2025

NGR1 reduces neuronal apoptosis through regulation of ITGA11 following subarachnoid hemorrhage.

Applications

Unspecified application

Species

Unspecified reactive species

Yu Hou,Lihan Zhang,Wenzhe Ma,Yong Jiang
View all publications

Product promise

We are committed to supporting your work with high-quality reagents, and we're here for you every step of the way. In the unlikely event that one of our products does not perform as expected, you're protected by our Product Promise.
For full details, please see our Terms & Conditions

Please note: All products are 'FOR RESEARCH USE ONLY. NOT FOR USE IN DIAGNOSTIC OR THERAPEUTIC PROCEDURES'.

For licensing inquiries, please contact partnerships@abcam.com