JavaScript is disabled in your browser. Please enable JavaScript to view this website.
AB300058

Anti-CCL18 antibody [EPR24781-84] (BSA and Azide free)

Be the first to review this product! Submit a review

|

(0 Publication)

Rabbit Recombinant Monoclonal CCL18 antibody. Carrier free. Suitable for WB, Dot, IHC-P and reacts with Human, Synthetic peptide, Transfected cell line - Human samples.

View Alternative Names

AMAC1, DCCK1, MIP4, PARC, SCYA18, CCL18, C-C motif chemokine 18, Alternative macrophage activation-associated CC chemokine 1, CC chemokine PARC, Dendritic cell chemokine 1, Macrophage inflammatory protein 4, Pulmonary and activation-regulated chemokine, Small-inducible cytokine A18, AMAC-1, DC-CK1, MIP-4

11 Images
Immunohistochemistry (Formalin/PFA-fixed paraffin-embedded sections) - Anti-CCL18 antibody [EPR24781-84] (BSA and Azide free) (AB300058)
  • IHC-P

Supplier Data

Immunohistochemistry (Formalin/PFA-fixed paraffin-embedded sections) - Anti-CCL18 antibody [EPR24781-84] (BSA and Azide free) (AB300058)

This data was developed using ab300057, the same antibody clone in a different buffer formulation.

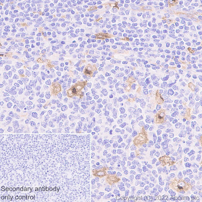
Immunohistochemical analysis of paraffin-embedded Human tonsil tissue labelling CCL18 with ab300057 at 1/500 (0.982 μg/ml) followed by a ready to use Goat Anti-Rabbit IgG H&L (HRP polymer). Positive staining on human tonsil. The section was incubated with ab300057 at 4°C overnight. Counterstained with Hematoxylin.

Secondary antibody only control : Secondary antibody is a ready to use Goat Anti-Rabbit IgG H&L (HRP polymer).

Heat mediated antigen retrieval with Tris-EDTA buffer (pH 9.0, epitope retrieval solution2) for 20 mins

Immunohistochemistry (Formalin/PFA-fixed paraffin-embedded sections) - Anti-CCL18 antibody [EPR24781-84] (BSA and Azide free) (AB300058)
  • IHC-P

Supplier Data

Immunohistochemistry (Formalin/PFA-fixed paraffin-embedded sections) - Anti-CCL18 antibody [EPR24781-84] (BSA and Azide free) (AB300058)

This data was developed using ab300057, the same antibody clone in a different buffer formulation.

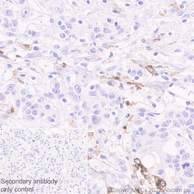
Immunohistochemical analysis of paraffin-embedded Human stomach cancer tissue labelling CCL18 with ab300057 at 1/500 (0.982 μ/ml) followed by a ready to use Goat Anti-Rabbit IgG H&L (HRP polymer). Positive staining on human stomach cancer. The section was incubated with ab300057 at 4°C overnight. Counterstained with Hematoxylin.

Secondary antibody only control : Secondary antibody is a ready to use Goat Anti-Rabbit IgG H&L (HRP polymer).

Heat mediated antigen retrieval with Tris-EDTA buffer (pH 9.0, epitope retrieval solution2) for 20 mins

Immunohistochemistry (Formalin/PFA-fixed paraffin-embedded sections) - Anti-CCL18 antibody [EPR24781-84] (BSA and Azide free) (AB300058)
  • IHC-P

Supplier Data

Immunohistochemistry (Formalin/PFA-fixed paraffin-embedded sections) - Anti-CCL18 antibody [EPR24781-84] (BSA and Azide free) (AB300058)

This data was developed using ab300057, the same antibody clone in a different buffer formulation. Immunohistochemical analysis of paraffin-embedded A) HEK-293T cells transfected with human C-C motif chemokine 18 expression vector containing a myc-his tag, B) HEK-293T cells untreated labelling CCL18 with ab300057 at 1/200 (2.455 µg/ml) followed by a ready to use Goat Anti-Rabbit IgG H&L (HRP polymer). Cytoplasmic staining on HEK-293T cells transfected with a human C-C motif chemokine 18 expression vector containing a myc-His tag (image A). No staining on HEK-293T cells untreated (image B). The section was incubated with ab300057 at 4°C overnight. Counterstained with Hematoxylin. Secondary antibody only control : Secondary antibody is a ready to use Goat Anti-Rabbit IgG H&L (HRP polymer). Heat mediated antigen retrieval with Tris-EDTA buffer (pH 9.0, epitope retrieval solution2) for 20 mins

Immunohistochemistry (Formalin/PFA-fixed paraffin-embedded sections) - Anti-CCL18 antibody [EPR24781-84] (BSA and Azide free) (AB300058)
  • IHC-P

Supplier Data

Immunohistochemistry (Formalin/PFA-fixed paraffin-embedded sections) - Anti-CCL18 antibody [EPR24781-84] (BSA and Azide free) (AB300058)

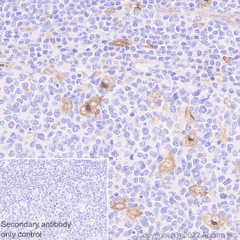
This data was developed using ab300057, the same antibody clone in a different buffer formulation. Immunohistochemical analysis of paraffin-embedded Human tonsil tissue labelling CCL18 with ab300057 at 1/500 (0.982 µg/ml) followed by a ready to use Goat Anti-Rabbit IgG H&L (HRP polymer). Positive staining on human tonsil. The section was incubated with ab300057 at 4°C overnight. Counterstained with Hematoxylin. Secondary antibody only control : Secondary antibody is a ready to use Goat Anti-Rabbit IgG H&L (HRP polymer). Heat mediated antigen retrieval with Tris-EDTA buffer (pH 9.0, epitope retrieval solution2) for 20 mins

Western blot - Anti-CCL18 antibody [EPR24781-84] (BSA and Azide free) (AB300058)
  • WB

Supplier Data

Western blot - Anti-CCL18 antibody [EPR24781-84] (BSA and Azide free) (AB300058)

This data was developed using ab300057, the same antibody clone in a different buffer formulation.  5% NFDM/TBST was used as blocking and diluting buffer and concentration.  THP-1 cells after PMA and IL-4 treatment secrete high levels of CCL18. (PMID : 25502147).

All lanes:

Western blot - Anti-CCL18 antibody [EPR24781-84] (<a href='/en-us/products/primary-antibodies/ccl18-antibody-epr24781-84-ab300057'>ab300057</a>) at 1/1000 dilution

Lane 1:

THP-1( Human monocytic leukemia monocyte) treated with 0.1µg/ml PMA for 48 hours whole cell lysate at 50 µg

Lane 2:

THP-1 treated with 0.1µg/ml PMA for 48 hours, then with 0.045 µg/ml IL-4 added for 72 hours, whole cell lysate at 50 µg

Secondary

All lanes:

Western blot - Goat Anti-Rabbit IgG H&L (HRP) (<a href='/en-us/products/secondary-antibodies/goat-rabbit-igg-h-l-hrp-ab97051'>ab97051</a>) at 1/20000 dilution

Predicted band size: 9 kDa

Observed band size: 10 kDa

false

Exposure time: 103s

Western blot - Anti-CCL18 antibody [EPR24781-84] (BSA and Azide free) (AB300058)
  • WB

Supplier Data

Western blot - Anti-CCL18 antibody [EPR24781-84] (BSA and Azide free) (AB300058)

This data was developed using ab300057, the same antibody clone in a different buffer formulation.

5% NFDM/TBST was used as blocking and diluting buffer and concentration.

THP-1 cells after PMA and IL-4 treatment secrete high levels of CCL18. (PMID : 25502147).

All lanes:

Western blot - Anti-CCL18 antibody [EPR24781-84] (<a href='/en-us/products/primary-antibodies/ccl18-antibody-epr24781-84-ab300057'>ab300057</a>) at 1/1000 dilution

Lane 1:

THP-1( Human monocytic leukemia monocyte) treated with 0.1µg/ml PMA for 48 hours whole cell lysate at 50 µg

Lane 2:

THP-1 treated with 0.1µg/ml PMA for 48 hours, then with 0.045 µg/ml IL-4 added for 72 hours, whole cell lysate at 50 µg

Secondary

All lanes:

Western blot - Goat Anti-Rabbit IgG H&L (HRP) (<a href='/en-us/products/secondary-antibodies/goat-rabbit-igg-h-l-hrp-ab97051'>ab97051</a>) at 1/20000 dilution

Predicted band size: 10 kDa

Observed band size: 10 kDa

false

Exposure time: 103s

Dot Blot - Anti-CCL18 antibody [EPR24781-84] (BSA and Azide free) (AB300058)
  • Dot

Supplier Data

Dot Blot - Anti-CCL18 antibody [EPR24781-84] (BSA and Azide free) (AB300058)

This data was developed using ab300057, the same antibody clone in a different buffer formulation. Dot blot analysis of CCL18 using ab300057 at 1 : 1000 (0.491 µg/ml) followed by a Goat Anti-Rabbit IgG, (H+L), Peroxidase conjugated (ab97051) at 1 : 100,000 dilution. Exposure time : 5.5 seconds Blocking and diluting buffer and concentration : 5% NFDM/TBST

Dot Blot - Anti-CCL18 antibody [EPR24781-84] (BSA and Azide free) (AB300058)
  • Dot

Supplier Data

Dot Blot - Anti-CCL18 antibody [EPR24781-84] (BSA and Azide free) (AB300058)

This data was developed using ab300057, the same antibody clone in a different buffer formulation. Dot blot analysis of CCL18 using ab300057 at 1 : 1000 (0.491 µg/ml) followed by a Goat Anti-Rabbit IgG, (H+L), Peroxidase conjugated (ab97051) at 1 : 100,000 dilution. Exposure time : 3 minutes Blocking and diluting buffer and concentration : 5% NFDM/TBST

Immunohistochemistry (Formalin/PFA-fixed paraffin-embedded sections) - Anti-CCL18 antibody [EPR24781-84] (BSA and Azide free) (AB300058)
  • IHC-P

Supplier Data

Immunohistochemistry (Formalin/PFA-fixed paraffin-embedded sections) - Anti-CCL18 antibody [EPR24781-84] (BSA and Azide free) (AB300058)

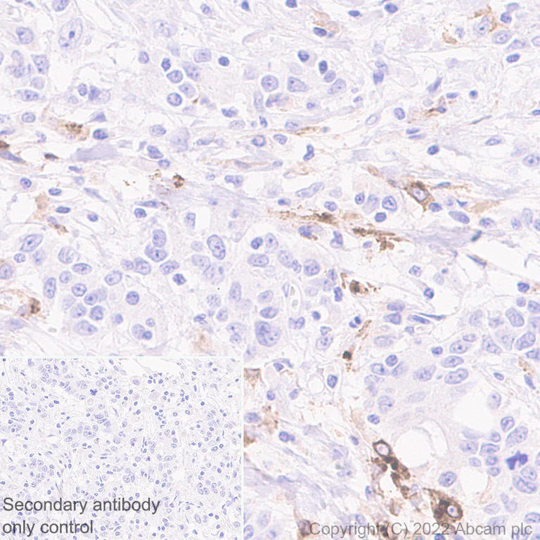
This data was developed using ab300057, the same antibody clone in a different buffer formulation. Immunohistochemical analysis of paraffin-embedded Human stomach cancer tissue labelling CCL18 with ab300057 at 1/500 (0.982 µ/ml) followed by a ready to use Goat Anti-Rabbit IgG H&L (HRP polymer). Positive staining on human stomach cancer. The section was incubated with ab300057 at 4°C overnight. Counterstained with Hematoxylin. Secondary antibody only control : Secondary antibody is a ready to use Goat Anti-Rabbit IgG H&L (HRP polymer). Heat mediated antigen retrieval with Tris-EDTA buffer (pH 9.0, epitope retrieval solution2) for 20 mins

Dot Blot - Anti-CCL18 antibody [EPR24781-84] (BSA and Azide free) (AB300058)
  • Dot

Supplier Data

Dot Blot - Anti-CCL18 antibody [EPR24781-84] (BSA and Azide free) (AB300058)

This data was developed using ab300057, the same antibody clone in a different buffer formulation.

Dot blot analysis of CCL18 using ab300057 at 1 : 1000 (0.491 μg/ml) followed by a Goat Anti-Rabbit IgG, (H+L), Peroxidase conjugated (ab97051) at 1 : 100,000 dilution.

Exposuse time : 3 minutes

Blocking and diluting buffer and concentration : 5% NFDM/TBST

Dot Blot - Anti-CCL18 antibody [EPR24781-84] (BSA and Azide free) (AB300058)
  • Dot

Supplier Data

Dot Blot - Anti-CCL18 antibody [EPR24781-84] (BSA and Azide free) (AB300058)

This data was developed using ab300057, the same antibody clone in a different buffer formulation.

Dot blot analysis of CCL18 using ab300057 at 1 : 1000 (0.491 μg/ml) followed by a Goat Anti-Rabbit IgG, (H+L), Peroxidase conjugated (ab97051) at 1 : 100,000 dilution.

Exposure time : 5.5 seconds

Blocking and diluting buffer and concentration : 5% NFDM/TBST

Key facts

Host species

Rabbit

Clonality

Monoclonal

Clone number

EPR24781-84

Isotype

IgG

Carrier free

Yes

Reacts with

Human

Applications

IHC-P, WB, Dot

applications

Immunogen

The exact immunogen used to generate this antibody is proprietary information.

Reactivity data

{ "title": "Reactivity Data", "filters": { "stats": ["", "Species", "Dilution Info", "Notes"], "tabs": { "all-applications": {"fullname" : "All Applications", "shortname": "All Applications"}, "WB" : {"fullname" : "Western blot", "shortname":"WB"}, "Dot" : {"fullname" : "Dot Blot", "shortname":"Dot"}, "IHCP" : {"fullname" : "Immunohistochemistry (Formalin/PFA-fixed paraffin-embedded sections)", "shortname":"IHC-P"}, "ICCIF" : {"fullname" : "Immunocytochemistry/ Immunofluorescence", "shortname":"ICC/IF"}, "FlowCytIntra" : {"fullname" : "Flow Cytometry (Intracellular)", "shortname":"Flow Cyt (Intra)"}, "IP" : {"fullname" : "Immunoprecipitation", "shortname":"IP"} }, "product-promise": { "all": "all", "testedAndGuaranteed": "tested", "guaranteed": "expected", "predicted": "predicted", "notRecommended": "not-recommended" } }, "values": { "Human": { "WB-species-checked": "testedAndGuaranteed", "WB-species-dilution-info": "", "WB-species-notes": "<p></p>", "Dot-species-checked": "guaranteed", "Dot-species-dilution-info": "", "Dot-species-notes": "", "IHCP-species-checked": "testedAndGuaranteed", "IHCP-species-dilution-info": "", "IHCP-species-notes": "<p></p>", "ICCIF-species-checked": "notRecommended", "ICCIF-species-dilution-info": "", "ICCIF-species-notes": "<p></p>", "FlowCytIntra-species-checked": "notRecommended", "FlowCytIntra-species-dilution-info": "", "FlowCytIntra-species-notes": "<p></p>", "IP-species-checked": "notRecommended", "IP-species-dilution-info": "", "IP-species-notes": "<p></p>" }, "Mouse": { "WB-species-checked": "notRecommended", "WB-species-dilution-info": "", "WB-species-notes": "", "Dot-species-checked": "notRecommended", "Dot-species-dilution-info": "", "Dot-species-notes": "", "IHCP-species-checked": "notRecommended", "IHCP-species-dilution-info": "", "IHCP-species-notes": "<p></p>", "ICCIF-species-checked": "notRecommended", "ICCIF-species-dilution-info": "", "ICCIF-species-notes": "", "FlowCytIntra-species-checked": "notRecommended", "FlowCytIntra-species-dilution-info": "", "FlowCytIntra-species-notes": "", "IP-species-checked": "notRecommended", "IP-species-dilution-info": "", "IP-species-notes": "" }, "Rat": { "WB-species-checked": "notRecommended", "WB-species-dilution-info": "", "WB-species-notes": "", "Dot-species-checked": "notRecommended", "Dot-species-dilution-info": "", "Dot-species-notes": "", "IHCP-species-checked": "notRecommended", "IHCP-species-dilution-info": "", "IHCP-species-notes": "<p></p>", "ICCIF-species-checked": "notRecommended", "ICCIF-species-dilution-info": "", "ICCIF-species-notes": "", "FlowCytIntra-species-checked": "notRecommended", "FlowCytIntra-species-dilution-info": "", "FlowCytIntra-species-notes": "", "IP-species-checked": "notRecommended", "IP-species-dilution-info": "", "IP-species-notes": "" }, "Synthetic peptide": { "WB-species-checked": "notRecommended", "WB-species-dilution-info": "", "WB-species-notes": "", "Dot-species-checked": "testedAndGuaranteed", "Dot-species-dilution-info": "", "Dot-species-notes": "<p></p>", "IHCP-species-checked": "notRecommended", "IHCP-species-dilution-info": "", "IHCP-species-notes": "", "ICCIF-species-checked": "notRecommended", "ICCIF-species-dilution-info": "", "ICCIF-species-notes": "", "FlowCytIntra-species-checked": "notRecommended", "FlowCytIntra-species-dilution-info": "", "FlowCytIntra-species-notes": "", "IP-species-checked": "notRecommended", "IP-species-dilution-info": "", "IP-species-notes": "" }, "Transfected cell line - Human": { "WB-species-checked": "notRecommended", "WB-species-dilution-info": "", "WB-species-notes": "", "Dot-species-checked": "notRecommended", "Dot-species-dilution-info": "", "Dot-species-notes": "", "IHCP-species-checked": "testedAndGuaranteed", "IHCP-species-dilution-info": "", "IHCP-species-notes": "<p></p>", "ICCIF-species-checked": "notRecommended", "ICCIF-species-dilution-info": "", "ICCIF-species-notes": "", "FlowCytIntra-species-checked": "notRecommended", "FlowCytIntra-species-dilution-info": "", "FlowCytIntra-species-notes": "", "IP-species-checked": "notRecommended", "IP-species-dilution-info": "", "IP-species-notes": "" } } }

Product details

Patented technology
Our RabMAb® technology is a patented hybridoma-based technology for making rabbit monoclonal antibodies. For details on our patents, please refer to RabMAb® patents.

Conjugation ready
Our carrier-free antibodies are typically supplied in a PBS-only formulation, purified and free of BSA, sodium azide and glycerol. This conjugation-ready format is designed for use with fluorochromes, metal isotopes, oligonucleotides, and enzymes, which makes them ideal for antibody labelling, functional and cell-based assays, flow-based assays (e.g. mass cytometry) and Multiplex Imaging applications.

Use our conjugation kits for antibody conjugates that are ready-to-use in as little as 20 minutes with 1 minute hands-on-time and 100% antibody recovery: available for fluorescent dyes, HRP, biotin and gold.

Compatibility
This product is compatible with the Maxpar® Antibody Labeling Kit from Fluidigm, without the need for antibody preparation. Maxpar® is a trademark of Fluidigm Canada Inc.

What are the advantages of a recombinant monoclonal antibody?
This product is a recombinant monoclonal antibody, which offers several advantages including:

  • - High batch-to-batch consistency and reproducibility
  • - Improved sensitivity and specificity
  • - Long-term security of supply
  • - Animal-free batch production

For more information, read more on recombinant antibodies.

Properties and storage information

Form
Liquid
Purification technique
Affinity purification Protein A
Storage buffer
pH: 7.2 - 7.4 Constituents: PBS
Shipped at conditions
Blue Ice
Appropriate short-term storage conditions
+4°C
Appropriate long-term storage conditions
+4°C
Aliquoting information
Upon delivery aliquot

Supplementary information

This supplementary information is collated from multiple sources and compiled automatically.

CCL18 also known as pulmonary and activation-regulated chemokine (PARC) is a chemokine protein with a molecular weight of about 8.8 kDa. It is mainly expressed in the lung but also found in lymph nodes and placenta. CCL18 is secreted by activated macrophages and dendritic cells. As a chemokine it plays a role in immune system signaling where it attracts immune cells like T lymphocytes. Researchers utilize CCL18 ELISA kits to accurately measure its levels in biological samples providing insight into its functions.
Biological function summary

CCL18 plays an important role in modulating immune responses and recruiting immune cells to sites of inflammation. It is not part of a larger complex but works closely with other components of the immune system. CCL18 influences the activity of monocytes and the differentiation of T cells which are essential for mounting effective defense against pathogens. In inflammatory conditions increased CCL18 levels suggest its importance in controlling the magnitude and duration of immune responses.

Pathways

CCL18 is involved in the immune response and inflammatory pathways. It works particularly in chemokine signaling pathways and shares functional relations with proteins like CCR3 and CCR6 which act as receptors for various chemokines. The binding of CCL18 to these receptors on targeted cells facilitates the chemotaxis of immune cells steering the immune response to appropriate areas in the body where they are needed.

CCL18 has known associations with pulmonary fibrosis and various cancers. In pulmonary fibrosis CCL18 levels correlate with disease severity and progression indicating its potential role as a biomarker. The protein interacts with other signaling molecules including collagen and matrix metalloproteinases driving the fibrotic process. In cancers especially breast cancer high CCL18 expression often corresponds to tumor progression and metastasis. These interactions highlight its relevance not only in disease progression but also as a target for therapeutic interventions.

Product protocols

For this product, it's our understanding that no specific protocols are required. You can visit:

Target data

Chemotactic factor that attracts lymphocytes but not monocytes or granulocytes. May be involved in B-cell migration into B-cell follicles in lymph nodes. Attracts naive T-lymphocytes toward dendritic cells and activated macrophages in lymph nodes, has chemotactic activity for naive T-cells, CD4+ and CD8+ T-cells and thus may play a role in both humoral and cell-mediated immunity responses.
See full target information CCL18

Product promise

We are committed to supporting your work with high-quality reagents, and we're here for you every step of the way. In the unlikely event that one of our products does not perform as expected, you're protected by our Product Promise.
For full details, please see our Terms & Conditions

Please note: All products are 'FOR RESEARCH USE ONLY. NOT FOR USE IN DIAGNOSTIC OR THERAPEUTIC PROCEDURES'.

For licensing inquiries, please contact partnerships@abcam.com