JavaScript is disabled in your browser. Please enable JavaScript to view this website.
AB197760

Anti-CCL21 antibody

Be the first to review this product! Submit a review

|

(0 Publication)

Rabbit Polyclonal CCL21 antibody. Suitable for IHC-P and reacts with Human samples. Immunogen corresponding to Recombinant Fragment Protein within Human CCL21.

View Alternative Names

SCYA21, UNQ784/PRO1600, CCL21, C-C motif chemokine 21, 6Ckine, Beta-chemokine exodus-2, Secondary lymphoid-tissue chemokine, Small-inducible cytokine A21, SLC

2 Images
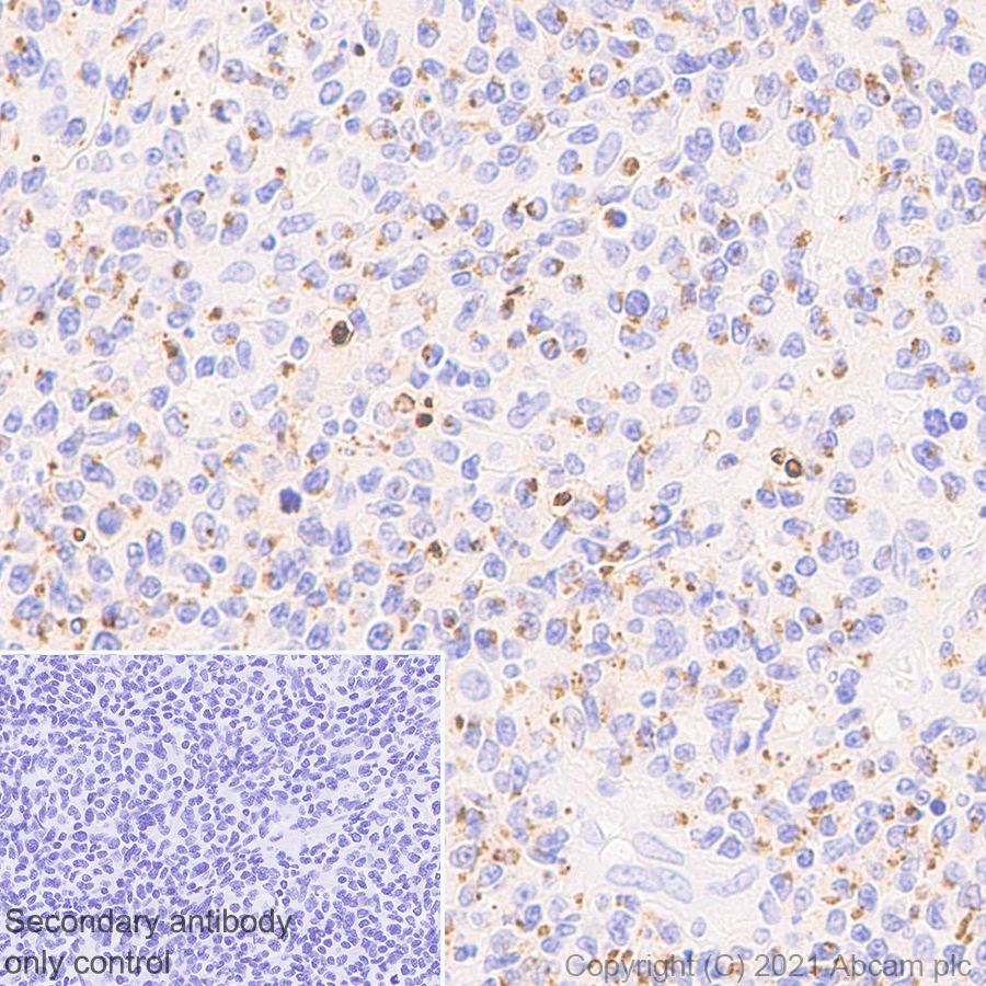
Immunohistochemistry (Formalin/PFA-fixed paraffin-embedded sections) - Anti-CCL21 antibody (AB197760)
  • IHC-P

Supplier Data

Immunohistochemistry (Formalin/PFA-fixed paraffin-embedded sections) - Anti-CCL21 antibody (AB197760)

Immunohistochemical analysis of paraffin-embedded Human cervical cancer tissue labeling CCL21 with ab197760 at 1/40 dilution.

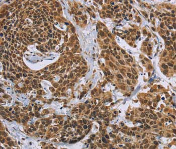
Immunohistochemistry (Formalin/PFA-fixed paraffin-embedded sections) - Anti-CCL21 antibody (AB197760)
  • IHC-P

Supplier Data

Immunohistochemistry (Formalin/PFA-fixed paraffin-embedded sections) - Anti-CCL21 antibody (AB197760)

Immunohistochemical analysis of paraffin-embedded Human colon cancer tissue labeling CCL21 with ab197760 at 1/40 dilution.

Key facts

Host species

Rabbit

Clonality

Polyclonal

Isotype

IgG

Carrier free

No

Reacts with

Human

Applications

IHC-P

applications

Immunogen

Recombinant Fragment Protein within Human CCL21. The exact immunogen used to generate this antibody is proprietary information.

O00585

Reactivity data

{ "title": "Reactivity Data", "filters": { "stats": ["", "Species", "Dilution Info", "Notes"], "tabs": { "all-applications": {"fullname" : "All Applications", "shortname": "All Applications"}, "IHCP" : {"fullname" : "Immunohistochemistry (Formalin/PFA-fixed paraffin-embedded sections)", "shortname":"IHC-P"} }, "product-promise": { "all": "all", "testedAndGuaranteed": "tested", "guaranteed": "expected", "predicted": "predicted", "notRecommended": "not-recommended" } }, "values": { "Human": { "IHCP-species-checked": "testedAndGuaranteed", "IHCP-species-dilution-info": "1/40 - 1/200", "IHCP-species-notes": "<p></p>" } } }

Properties and storage information

Form
Liquid
Purification technique
Affinity purification Immunogen
Storage buffer
pH: 7.4 Preservative: 0.05% Sodium azide Constituents: 50% Glycerol (glycerin, glycerine), 49% PBS
Shipped at conditions
Blue Ice
Appropriate short-term storage duration
1-2 weeks
Appropriate short-term storage conditions
+4°C
Appropriate long-term storage conditions
-20°C
Aliquoting information
Upon delivery aliquot
Storage information
Avoid freeze / thaw cycle

Supplementary information

This supplementary information is collated from multiple sources and compiled automatically.

CCL21 also known as Exodus 2 or 2H26 is a chemokine with significant roles in the immune system. It is a small protein with a molecular mass of approximately 12 kDa. CCL21 is expressed in high concentrations in secondary lymphoid organs such as the spleen lymph nodes and Peyer's patches. It serves as a chemoattractant particularly for lymphocytes and dendritic cells facilitating their migration towards lymphoid organs.
Biological function summary

CCL21 is essential for guiding immune cells to areas where they are needed for initiating immune responses. It forms a non-covalent complex with its receptor CCR7 a primary mechanism through which it exerts its biological effects. CCL21 coordinates the positioning of immune cells within the lymphoid organs ensuring a functional and effective immune response to pathogens or injuries. Its expression pattern aids in the organization of lymphoid tissue architecture and contributes to efficient trafficking of T-cells and dendritic cells.

Pathways

CCL21 plays an important role in the chemokine signaling pathway and the leukocyte transendothelial migration pathway. Within these pathways CCL21 works closely with its receptor CCR7 to guide immune cell navigation and localization. This collaboration is essential for directing cells to appropriate sites in the immune system aligning CCL21 with similar proteins like CCL19 another chemokine that also interacts with CCR7.

CCL21 is associated with several immune-related conditions including rheumatoid arthritis and chronic lymphocytic leukemia. In rheumatoid arthritis CCL21 contributes to the infiltration and retention of immune cells in the synovial tissue while in chronic lymphocytic leukemia it aids in the homing of malignant cells to lymphoid organs. CCL21’s interaction with CCR7 in these diseases highlights its importance not only in immune surveillance but also in the pathology of these disorders.

Product protocols

For this product, it's our understanding that no specific protocols are required. You can visit:

Target data

Inhibits hemopoiesis and stimulates chemotaxis. Chemotactic in vitro for thymocytes and activated T-cells, but not for B-cells, macrophages, or neutrophils. Shows preferential activity towards naive T-cells. May play a role in mediating homing of lymphocytes to secondary lymphoid organs. Binds to atypical chemokine receptor ACKR4 and mediates the recruitment of beta-arrestin (ARRB1/2) to ACKR4.
See full target information CCL21

Product promise

We are committed to supporting your work with high-quality reagents, and we're here for you every step of the way. In the unlikely event that one of our products does not perform as expected, you're protected by our Product Promise.
For full details, please see our Terms & Conditions

Please note: All products are 'FOR RESEARCH USE ONLY. NOT FOR USE IN DIAGNOSTIC OR THERAPEUTIC PROCEDURES'.

For licensing inquiries, please contact partnerships@abcam.com