JavaScript is disabled in your browser. Please enable JavaScript to view this website.
AB249653

Anti-CCL23 antibody [EPR11363] - BSA and Azide free

Be the first to review this product! Submit a review

|

(1 Publication)

Rabbit Recombinant Monoclonal CCL23 antibody. Carrier free. Suitable for IHC-P, WB and reacts with Human samples. Cited in 1 publication.

View Alternative Names

MIP3, MPIF1, SCYA23, CCL23, C-C motif chemokine 23, CK-beta-8, Macrophage inflammatory protein 3, Myeloid progenitor inhibitory factor 1, Small-inducible cytokine A23, CKB-8, MIP-3, MPIF-1

3 Images
Immunohistochemistry (Formalin/PFA-fixed paraffin-embedded sections) - Anti-CCL23 antibody [EPR11363] - BSA and Azide free (AB249653)
  • IHC-P

Supplier Data

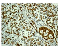
Immunohistochemistry (Formalin/PFA-fixed paraffin-embedded sections) - Anti-CCL23 antibody [EPR11363] - BSA and Azide free (AB249653)

This data was developed using ab171751, the same antibody clone in a different buffer formulation.

Immunohistochemistry of paraffin-embedded Human liver tissue labeling CCL23 using ab171751 at 1/50 dilution.

Perform heat mediated antigen retrieval with citrate buffer pH 6 before commencing with IHC staining protocol.

Immunohistochemistry (Formalin/PFA-fixed paraffin-embedded sections) - Anti-CCL23 antibody [EPR11363] - BSA and Azide free (AB249653)
  • IHC-P

Supplier Data

Immunohistochemistry (Formalin/PFA-fixed paraffin-embedded sections) - Anti-CCL23 antibody [EPR11363] - BSA and Azide free (AB249653)

This data was developed using ab171751, the same antibody clone in a different buffer formulation.

Immunohistochemistry of paraffin-embedded Human pancreas tissue labeling CCL23 using ab171751 at 1/50 dilution.

Perform heat mediated antigen retrieval with citrate buffer pH 6 before commencing with IHC staining protocol.

Western blot - Anti-CCL23 antibody [EPR11363] - BSA and Azide free (AB249653)
  • WB

Supplier Data

Western blot - Anti-CCL23 antibody [EPR11363] - BSA and Azide free (AB249653)

This data was developed using ab171751, the same antibody clone in a different buffer formulation.

Note : Primary antibody diluted in 1% BSA.

All lanes:

Western blot - Anti-CCL23 antibody [EPR11363] (<a href='/en-us/products/primary-antibodies/ccl23-antibody-epr11363-ab171751'>ab171751</a>) at 1/1000 dilution

All lanes:

Human recombinant CCL23 at 0.005 µg

Predicted band size: 13 kDa

false

Key facts

Host species

Rabbit

Clonality

Monoclonal

Clone number

EPR11363

Isotype

IgG

Carrier free

Yes

Reacts with

Human

Applications

WB, IHC-P

applications

Immunogen

The exact immunogen used to generate this antibody is proprietary information.

Reactivity data

{ "title": "Reactivity Data", "filters": { "stats": ["", "Species", "Dilution Info", "Notes"], "tabs": { "all-applications": {"fullname" : "All Applications", "shortname": "All Applications"}, "IHCP" : {"fullname" : "Immunohistochemistry (Formalin/PFA-fixed paraffin-embedded sections)", "shortname":"IHC-P"}, "IP" : {"fullname" : "Immunoprecipitation", "shortname":"IP"}, "WB" : {"fullname" : "Western blot", "shortname":"WB"}, "ICCIF" : {"fullname" : "Immunocytochemistry/ Immunofluorescence", "shortname":"ICC/IF"} }, "product-promise": { "all": "all", "testedAndGuaranteed": "tested", "guaranteed": "expected", "predicted": "predicted", "notRecommended": "not-recommended" } }, "values": { "Human": { "IHCP-species-checked": "testedAndGuaranteed", "IHCP-species-dilution-info": "", "IHCP-species-notes": "<p></p>", "IP-species-checked": "notRecommended", "IP-species-dilution-info": "", "IP-species-notes": "<p></p>", "WB-species-checked": "testedAndGuaranteed", "WB-species-dilution-info": "", "WB-species-notes": "<p></p>", "ICCIF-species-checked": "notRecommended", "ICCIF-species-dilution-info": "", "ICCIF-species-notes": "<p></p>" }, "Mouse": { "IHCP-species-checked": "notRecommended", "IHCP-species-dilution-info": "", "IHCP-species-notes": "<p></p>", "IP-species-checked": "notRecommended", "IP-species-dilution-info": "", "IP-species-notes": "<p></p>", "WB-species-checked": "notRecommended", "WB-species-dilution-info": "", "WB-species-notes": "<p></p>", "ICCIF-species-checked": "notRecommended", "ICCIF-species-dilution-info": "", "ICCIF-species-notes": "<p></p>" }, "Rat": { "IHCP-species-checked": "notRecommended", "IHCP-species-dilution-info": "", "IHCP-species-notes": "<p></p>", "IP-species-checked": "notRecommended", "IP-species-dilution-info": "", "IP-species-notes": "<p></p>", "WB-species-checked": "notRecommended", "WB-species-dilution-info": "", "WB-species-notes": "<p></p>", "ICCIF-species-checked": "notRecommended", "ICCIF-species-dilution-info": "", "ICCIF-species-notes": "<p></p>" } } }

Product details

ab249653 is the carrier-free version of ab171751.

Patented technology
Our RabMAb® technology is a patented hybridoma-based technology for making rabbit monoclonal antibodies. For details on our patents, please refer to RabMAb® patents.

What are the advantages of a recombinant monoclonal antibody?
This product is a recombinant monoclonal antibody, which offers several advantages including:

  • - High batch-to-batch consistency and reproducibility
  • - Improved sensitivity and specificity
  • - Long-term security of supply
  • - Animal-free batch production

For more information, read more on recombinant antibodies.

Conjugation ready
Our carrier-free antibodies are typically supplied in a PBS-only formulation, purified and free of BSA, sodium azide and glycerol. This conjugation-ready format is designed for use with fluorochromes, metal isotopes, oligonucleotides, and enzymes, which makes them ideal for antibody labelling, functional and cell-based assays, flow-based assays (e.g. mass cytometry) and Multiplex Imaging applications.

Use our conjugation kits for antibody conjugates that are ready-to-use in as little as 20 minutes with 1 minute hands-on-time and 100% antibody recovery: available for fluorescent dyes, HRP, biotin and gold.

Compatibility
This product is compatible with the Maxpar® Antibody Labeling Kit from Fluidigm, without the need for antibody preparation. Maxpar® is a trademark of Fluidigm Canada Inc.

Properties and storage information

Form
Liquid
Purification technique
Affinity purification Protein A
Storage buffer
pH: 7.2 - 7.4 Constituents: PBS
Shipped at conditions
Blue Ice
Appropriate short-term storage conditions
+4°C
Appropriate long-term storage conditions
+4°C
Storage information
Do Not Freeze

Supplementary information

This supplementary information is collated from multiple sources and compiled automatically.

CCL23 also known as macrophage inflammatory protein 3 is a chemokine involved in immune response regulation. It has a molecular weight of approximately 15-16 kDa and is secreted by various cells such as macrophages dendritic cells and endothelial cells. CCL23 is expressed mostly in the bone marrow and lymph nodes but it also localizes in tissues like the liver and lungs under certain conditions. It plays an important role in mediating chemotaxis directing the migration of cells toward infection sites.
Biological function summary

CCL23 functions in the recruitment of immune cells especially eosinophils and monocytes to areas where immune responses are necessary. This chemokine is not known to be part of a larger protein complex but its ability to interact with specific receptors on cell surfaces makes it integral to immune signaling. During immune activation CCL23 contributes to the inflammatory cascade influencing both acute and chronic inflammatory responses.

Pathways

The signaling functions of CCL23 integrate within the chemokine signaling pathway and the broader immune response pathway. CCL23 interacts closely with proteins such as CCR1 which acts as its receptor and influences cellular responses via this receptor-mediated signaling. Additionally CCL23 shares mechanistic parallels with other chemokines like CCL22 though they may attract different subsets of cells they participate in coordinated immune activities.

CCL23 has relevance to conditions such as rheumatoid arthritis and allergic reactions. In these diseases elevated levels of CCL23 and its interaction with other proteins such as CCR1 contribute to the recruitment and activation of inflammatory cells. This chemokine's role in immune cell trafficking and inflammation makes it a target for therapeutic interventions aimed at modulating immune responses in such disorders.

Product protocols

For this product, it's our understanding that no specific protocols are required. You can visit:

Target data

Shows chemotactic activity for monocytes, resting T-lymphocytes, and neutrophils, but not for activated lymphocytes. Inhibits proliferation of myeloid progenitor cells in colony formation assays. This protein can bind heparin. Binds CCR1. CCL23(19-99), CCL23(22-99), CCL23(27-99), CCL23(30-99) are more potent chemoattractants than CCL23.
See full target information CCL23

Publications (1)

Recent publications for all applications. Explore the full list and refine your search

Oxidative medicine and cellular longevity 2021:8379962 PubMed34630853

2021

circ_0023461 Silencing Protects Cardiomyocytes from Hypoxia-Induced Dysfunction through Targeting miR-370-3p/PDE4D Signaling.

Applications

Unspecified application

Species

Unspecified reactive species

Kai Ren,Buying Li,Liqing Jiang,Zhiheng Liu,Fan Wu,Yi Zhang,Jincheng Liu,Weixun Duan
View all publications

Product promise

We are committed to supporting your work with high-quality reagents, and we're here for you every step of the way. In the unlikely event that one of our products does not perform as expected, you're protected by our Product Promise.
For full details, please see our Terms & Conditions

Please note: All products are 'FOR RESEARCH USE ONLY. NOT FOR USE IN DIAGNOSTIC OR THERAPEUTIC PROCEDURES'.

For licensing inquiries, please contact partnerships@abcam.com