JavaScript is disabled in your browser. Please enable JavaScript to view this website.
AB200343

Anti-CCL25 antibody [EPR12388(2)]

Be the first to review this product! Submit a review

|

(5 Publications)

Rabbit Recombinant Monoclonal CCL25 antibody. Suitable for WB, IHC-P and reacts with Human samples. Cited in 5 publications.

View Alternative Names

SCYA25, TECK, CCL25, C-C motif chemokine 25, Chemokine TECK, Small-inducible cytokine A25, Thymus-expressed chemokine

4 Images
Immunohistochemistry (Formalin/PFA-fixed paraffin-embedded sections) - Anti-CCL25 antibody [EPR12388(2)] (AB200343)
  • IHC-P

Supplier Data

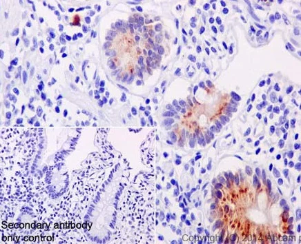
Immunohistochemistry (Formalin/PFA-fixed paraffin-embedded sections) - Anti-CCL25 antibody [EPR12388(2)] (AB200343)

Immunohistochemical analysis of paraffin-embedded human small intestine tissue labeling CCL25 using ab200343 at 1/250 dilution. A Goat Anti-Rabbit IgG H&L (HRP) (ab97051) was used as secondary at 1/500 dilution. Counterstain : Hematoxylin.
Inset image : negative control obtained using PBS instead of ab200343 and secondary antibody only.
Note : Cytoplasm staining on human small intestine tissue was observed.

Perform heat mediated antigen retrieval with Tris/EDTA buffer pH 9.0 before commencing with IHC staining protocol.

Immunohistochemistry (Formalin/PFA-fixed paraffin-embedded sections) - Anti-CCL25 antibody [EPR12388(2)] (AB200343)
  • IHC-P

Supplier Data

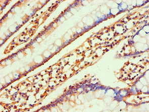
Immunohistochemistry (Formalin/PFA-fixed paraffin-embedded sections) - Anti-CCL25 antibody [EPR12388(2)] (AB200343)

Immunohistochemical analysis of paraffin-embedded human colon tissue labeling CCL25 using ab200343 at 1/250 dilution. A Goat Anti-Rabbit IgG H&L (HRP) (ab97051) was used as secondary at 1/500 dilution. Counterstain : Hematoxylin.
Inset image : negative control obtained using PBS instead of ab200343 and secondary antibody only.
Note : No staining on human colon tissue was observed.

Perform heat mediated antigen retrieval with Tris/EDTA buffer pH 9.0 before commencing with IHC staining protocol.

Immunohistochemistry (Formalin/PFA-fixed paraffin-embedded sections) - Anti-CCL25 antibody [EPR12388(2)] (AB200343)
  • IHC-P

Supplier Data

Immunohistochemistry (Formalin/PFA-fixed paraffin-embedded sections) - Anti-CCL25 antibody [EPR12388(2)] (AB200343)

Immunohistochemical analysis of paraffin-embedded human thymus tissue labeling CCL25 using ab200343 at 1/250 dilution. A Goat Anti-Rabbit IgG H&L (HRP) (ab97051) was used as secondary at 1/500 dilution. Counterstain : Hematoxylin.
Inset image : negative control obtained using PBS instead of ab200343 and secondary antibody only.
Note : Cytoplasm staining on human thymus tissue was observed.

Perform heat mediated antigen retrieval with Tris/EDTA buffer pH 9.0 before commencing with IHC staining protocol.

Western blot - Anti-CCL25 antibody [EPR12388(2)] (AB200343)
  • WB

Supplier Data

Western blot - Anti-CCL25 antibody [EPR12388(2)] (AB200343)

5% NFDM/TBST : Blocking and diluting buffer.

All lanes:

Western blot - Anti-CCL25 antibody [EPR12388(2)] (ab200343) at 1/10000 dilution

Lane 1:

Human thymus tissue lysate at 10 µg

Lane 2:

Human fetal lung tissue lysate at 10 µg

Lane 3:

Human fetal brain tissue lysate at 10 µg

Secondary

All lanes:

Anti-Rabbit IgG (HRP), specific to the non-reduced form of IgG at 1/1000 dilution

Predicted band size: 17 kDa

Observed band size: 17 kDa

false

  • Carrier free

    Anti-CCL25 antibody [EPR12388(2)] - BSA and Azide free

Key facts

Host species

Rabbit

Clonality

Monoclonal

Clone number

EPR12388(2)

Isotype

IgG

Carrier free

No

Reacts with

Human

Applications

WB, IHC-P

applications

Immunogen

The exact immunogen used to generate this antibody is proprietary information.

Reactivity data

{ "title": "Reactivity Data", "filters": { "stats": ["", "Species", "Dilution Info", "Notes"], "tabs": { "all-applications": {"fullname" : "All Applications", "shortname": "All Applications"}, "WB" : {"fullname" : "Western blot", "shortname":"WB"}, "IHCP" : {"fullname" : "Immunohistochemistry (Formalin/PFA-fixed paraffin-embedded sections)", "shortname":"IHC-P"} }, "product-promise": { "all": "all", "testedAndGuaranteed": "tested", "guaranteed": "expected", "predicted": "predicted", "notRecommended": "not-recommended" } }, "values": { "Human": { "WB-species-checked": "testedAndGuaranteed", "WB-species-dilution-info": "1/10000", "WB-species-notes": "<p></p>", "IHCP-species-checked": "testedAndGuaranteed", "IHCP-species-dilution-info": "1/250", "IHCP-species-notes": "<p></p>" } } }

Product details

Patented technology
Our RabMAb® technology is a patented hybridoma-based technology for making rabbit monoclonal antibodies. For details on our patents, please refer to RabMAb® patents.

What are the advantages of a recombinant monoclonal antibody?
This product is a recombinant monoclonal antibody, which offers several advantages including:

  • - High batch-to-batch consistency and reproducibility
  • - Improved sensitivity and specificity
  • - Long-term security of supply
  • - Animal-free batch production

For more information, read more on recombinant antibodies.

Properties and storage information

Form
Liquid
Purification technique
Affinity purification Protein A
Storage buffer
pH: 7.2 - 7.4 Preservative: 0.01% Sodium azide Constituents: PBS, 40% Glycerol (glycerin, glycerine), 0.05% BSA
Shipped at conditions
Blue Ice
Appropriate short-term storage duration
1-2 weeks
Appropriate short-term storage conditions
+4°C
Appropriate long-term storage conditions
-20°C
Aliquoting information
Upon delivery aliquot
Storage information
Avoid freeze / thaw cycle

Supplementary information

This supplementary information is collated from multiple sources and compiled automatically.

CCL25 also known as TECK stands as a chemokine with a central role in immune cell attraction. It weighs approximately 15 kDa and is mainly expressed in the thymus and small intestine. This chemokine's expression is associated with its activity in guiding the movement of various immune cells like lymphocytes. Additionally CCL25 interacts with its receptor CCR9 facilitating important cellular signaling necessary for immune responses.
Biological function summary

This chemokine aids in the migration and homing of T-cell subsets particularly to the gut and small intestine hinting at its role in mucosal immunity. CCL25 does not belong to a larger multiprotein complex but it plays a standalone role in controlling immune surveillance and response. Its involvement contributes to the precise regulation of immune cell localization especially under inflammatory conditions.

Pathways

CCL25 participates significantly in the chemokine signaling pathway and the integrin-mediated adhesion pathway. It cooperates with proteins like CCR9 which is its receptor to activate downstream signaling cascades necessary for immune cell trafficking and adhesion. Through these pathways CCL25 ensures correct immune cell distribution throughout the body supporting effective immune surveillance and response.

CCL25 is associated with inflammatory bowel disease (IBD) and celiac disease. In these conditions CCL25 together with its receptor CCR9 contributes to the recruitment of lymphocytes to the inflamed gut. This recruitment exacerbates inflammation and may also link to other inflammatory proteins like TNF-alpha fostering an environment of sustained inflammation. Understanding CCL25's role in such diseases could inform therapeutic strategies aimed at modulating immune cell trafficking.

Product protocols

For this product, it's our understanding that no specific protocols are required. You can visit:

Target data

Potentially involved in T-cell development. Recombinant protein shows chemotactic activity on thymocytes, macrophages, THP-1 cells, and dendritics cells but is inactive on peripheral blood lymphocytes and neutrophils. Binds to CCR9. Isoform 2 is an antagonist of isoform 1. Binds to atypical chemokine receptor ACKR4 and mediates the recruitment of beta-arrestin (ARRB1/2) to ACKR4.
See full target information CCL25

Publications (5)

Recent publications for all applications. Explore the full list and refine your search

General physiology and biophysics 44:349-361 PubMed40923655

2025

HuR enhances the stability of FGF19 mRNA to suppress Kupffer cell activation and mitigate inflammation and fibrosis in non-alcoholic fatty liver disease.

Applications

Unspecified application

Species

Unspecified reactive species

XiaoQing Mo,SiJun Zhou,XiaoGe Zhou,Chun Huang

Journal of experimental & clinical cancer research : CR 42:319 PubMed38008713

2023

Hsa_circ_0009092/miR-665/NLK signaling axis suppresses colorectal cancer progression via recruiting TAMs in the tumor microenvironment.

Applications

Unspecified application

Species

Unspecified reactive species

Jialin Song,Qing Liu,Lei Han,Tiantian Song,Sihao Huang,Xinyao Zhang,Qiuming He,Chenxi Liang,Shuai Zhu,Bin Xiong

Infection and drug resistance 15:3309-3321 PubMed35782530

2022

CCL25 Inhibition Alleviates Sepsis-Induced Acute Lung Injury and Inflammation.

Applications

Unspecified application

Species

Unspecified reactive species

Demeng Xia,Sheng Wang,Anwei Liu,Lei Li,Panyu Zhou,Shuogui Xu

Cancers 13: PubMed34771505

2021

An Immune-Related Gene Prognostic Index for Triple-Negative Breast Cancer Integrates Multiple Aspects of Tumor-Immune Microenvironment.

Applications

Unspecified application

Species

Unspecified reactive species

Xiaowei Wang,Wenjia Su,Dabei Tang,Jing Jing,Jing Xiong,Yuwei Deng,Huili Liu,Wenjie Ma,Zhaoliang Liu,Qingyuan Zhang

Oncology reports 43:1875-1884 PubMed32323823

2020

Thymus‑expressed chemokine secreted by breast cancer cells promotes metastasis and inhibits apoptosis.

Applications

Unspecified application

Species

Unspecified reactive species

Lu Chen,Shuming Zhang,Yaqian Shen,Linzeng Qi,Zhaolin Zhang,Hua Tian,Zhigeng Zou
View all publications

Product promise

We are committed to supporting your work with high-quality reagents, and we're here for you every step of the way. In the unlikely event that one of our products does not perform as expected, you're protected by our Product Promise.
For full details, please see our Terms & Conditions

Please note: All products are 'FOR RESEARCH USE ONLY. NOT FOR USE IN DIAGNOSTIC OR THERAPEUTIC PROCEDURES'.

For licensing inquiries, please contact partnerships@abcam.com