JavaScript is disabled in your browser. Please enable JavaScript to view this website.
AB259372

Anti-CCL3 / MIP-1 alpha + CCL3L1 antibody [EPR23751-54]

  • BOND RX™ Validated
  • RabMAb
  • Recombinant
  • 20ul selling size
  • What is this?

Be the first to review this product! Submit a review

|

(9 Publications)

Rabbit Recombinant Monoclonal MIP-1 alpha/CCL3 antibody. Suitable for ICC/IF, IP, WB, Flow Cyt (Intra), IHC-P and reacts with Mouse, Human, Recombinant fragment - Human samples. Cited in 9 publications.

View Alternative Names

G0S19-1, MIP1A, SCYA3, CCL3, C-C motif chemokine 3, G0/G1 switch regulatory protein 19-1, Macrophage inflammatory protein 1-alpha, PAT 464.1, SIS-beta, Small-inducible cytokine A3, Tonsillar lymphocyte LD78 alpha protein, MIP-1-alpha

12 Images
Flow Cytometry (Intracellular) - Anti-CCL3 / MIP-1 alpha + CCL3L1 antibody [EPR23751-54] (AB259372)
  • Flow Cyt (Intra)

Supplier Data

Flow Cytometry (Intracellular) - Anti-CCL3 / MIP-1 alpha + CCL3L1 antibody [EPR23751-54] (AB259372)

Intracellular flow cytometric analysis of 5% paraformaldehyde-fixed, 90% methanol-permeabilized THP-1 (Human monocytic leukemia monocyte) (treated with 100nM phorbol 12-myristate 13-acetate (PMA) for 16 hours, then 100ng/ml lipopolysaccharide (LPS) for 4 hours, and add 1ug/ml Brefeldin A (BFA) for another 3 hours) (Red)/ Untreated control (Green) cells labeling Macrophage Inflammatory Protein 1 alpha / CCL3 + CCL3L1 with ab259372 at 1/500 dilution (Red / Green) compared with a Isotype control details (ab172730) (Black) and an unlabelled control (cells without incubation with primary antibody and secondary antibody) (Blue). Goat anti rabbit IgG (Alexa Fluor® 488, ab150077), at 1/2000 dilution was used as the secondary antibody.

Immunocytochemistry/ Immunofluorescence - Anti-CCL3 / MIP-1 alpha + CCL3L1 antibody [EPR23751-54] (AB259372)
  • ICC/IF

Supplier Data

Immunocytochemistry/ Immunofluorescence - Anti-CCL3 / MIP-1 alpha + CCL3L1 antibody [EPR23751-54] (AB259372)

Immunofluorescent analysis of 4% paraformaldehyde-fixed, 0.1% Triton X100 permeabilized THP-1 (human monocytic leukemia monocyte) cells labeling Macrophage Inflammatory Protein 1 alpha / CCL3 + CCL3L1 with ab259372 at 1/100 dilution, followed by ab150077 Goat Anti-Rabbit IgG H&L (Alexa Fluor® 488) secondary antibody at 1/1000 dilution (Green). Confocal image showing cytoplasmic staining in THP-1 cells treated with 12-myristate 13-acetate (100 nM) for 16 hours then with lipopolysaccharide (100 ng/ml) for 4 hours and with brefeldin A (1μg/ml) for another 3 hours. Tubulin is counterstained using ab195889 Anti-alpha Tubulin mouse monoclonal antibody - Microtubule Marker (Alexa Fluor® 594) at 1/200 dilution (Red). The nuclear counterstain is DAPI (Blue).

Secondary antibody only control : Used PBS instead of priary antibody, followed by ab150077 Goat Anti-Rabbit IgG H&L (Alexa Fluor® 488) secondary antibody at 1/1000 dilution.

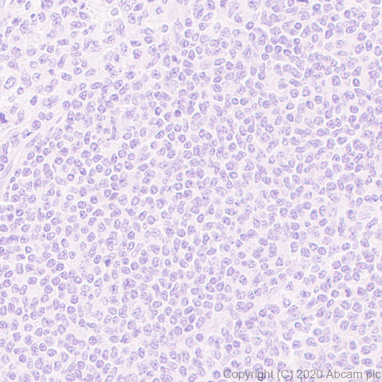
Immunohistochemistry (Formalin/PFA-fixed paraffin-embedded sections) - Anti-CCL3 / MIP-1 alpha + CCL3L1 antibody [EPR23751-54] (AB259372)
  • IHC-P

Supplier Data

Immunohistochemistry (Formalin/PFA-fixed paraffin-embedded sections) - Anti-CCL3 / MIP-1 alpha + CCL3L1 antibody [EPR23751-54] (AB259372)

Immunohistochemical analysis of paraffin-embedded human tonsil tissue labeling Macrophage Inflammatory Protein 1 alpha / CCL3 + CCL3L1 with ab259372 at 1/1000 dilution, followed by a ready to use Rabbit specific IHC polymer detection kit HRP/DAB (ab209101). Negative control : No staining on human tonsil. The section was incubated with ab259372 for 30 mins at room temperature. The immunostaining was performed on a Leica Biosystems BOND® RX instrument. Counter stained with hematoxylin.

Secondary antibody only control : Used PBS instead of primary antibody, secondary antibody is a ready to use Rabbit specific IHC polymer detection kit HRP/DAB (ab209101).

Heat mediated antigen retrieval with Tris-EDTA buffer (pH 9.0, epitope retrieval solution2) for 20 mins.

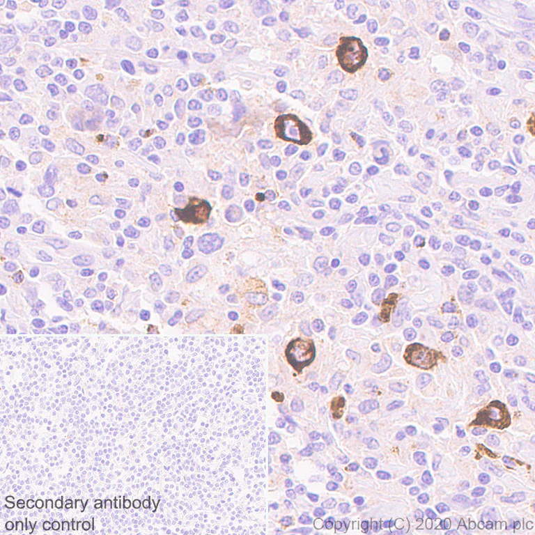
Immunohistochemistry (Formalin/PFA-fixed paraffin-embedded sections) - Anti-CCL3 / MIP-1 alpha + CCL3L1 antibody [EPR23751-54] (AB259372)
  • IHC-P

Supplier Data

Immunohistochemistry (Formalin/PFA-fixed paraffin-embedded sections) - Anti-CCL3 / MIP-1 alpha + CCL3L1 antibody [EPR23751-54] (AB259372)

Immunohistochemical analysis of paraffin-embedded human Hodgkin lymphoma tissue labeling Macrophage Inflammatory Protein 1 alpha / CCL3 + CCL3L1 with ab259372 at 1/1000 dilution, followed by a ready to use Rabbit specific IHC polymer detection kit HRP/DAB (ab209101). Positive staining on human hodgkin Lymphoma (PMID : 31581676). The section was incubated with ab259372 for 30 mins at room temperature. The immunostaining was performed on a Leica Biosystems BOND® RX instrument. Counter stained with hematoxylin.

Secondary antibody only control : Used PBS instead of primary antibody, secondary antibody is a ready to use Rabbit specific IHC polymer detection kit HRP/DAB (ab209101).

Heat mediated antigen retrieval with Tris-EDTA buffer (pH 9.0, epitope retrieval solution2) for 20 mins.

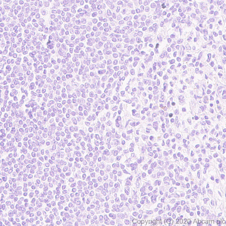
Immunohistochemistry (Formalin/PFA-fixed paraffin-embedded sections) - Anti-CCL3 / MIP-1 alpha + CCL3L1 antibody [EPR23751-54] (AB259372)
  • IHC-P

Supplier Data

Immunohistochemistry (Formalin/PFA-fixed paraffin-embedded sections) - Anti-CCL3 / MIP-1 alpha + CCL3L1 antibody [EPR23751-54] (AB259372)

Immunohistochemical analysis of paraffin-embedded human spleen tissue labeling Macrophage Inflammatory Protein 1 alpha / CCL3 + CCL3L1 with ab259372 at 1/1000 dilution, followed by a ready to use Rabbit specific IHC polymer detection kit HRP/DAB (ab209101). Negative control : No staining on human spleen tissue. The section was incubated with ab259372 for 30 mins at room temperature. The immunostaining was performed on a Leica Biosystems BOND® RX instrument. Counter stained with hematoxylin.

Secondary antibody only control : Used PBS instead of primary antibody, secondary antibody is a ready to use Rabbit specific IHC polymer detection kit HRP/DAB (ab209101).

Heat mediated antigen retrieval with Tris-EDTA buffer (pH 9.0, epitope retrieval solution2) for 20 mins.

Immunohistochemistry (Formalin/PFA-fixed paraffin-embedded sections) - Anti-CCL3 / MIP-1 alpha + CCL3L1 antibody [EPR23751-54] (AB259372)
  • IHC-P

Supplier Data

Immunohistochemistry (Formalin/PFA-fixed paraffin-embedded sections) - Anti-CCL3 / MIP-1 alpha + CCL3L1 antibody [EPR23751-54] (AB259372)

Immunohistochemical analysis of paraffin-embedded THP-1 cells labeling Macrophage Inflammatory Protein 1 alpha / CCL3 + CCL3L1 with ab259372 at 1/1000 dilution, followed by a ready to use Rabbit specific IHC polymer detection kit HRP/DAB (ab209101). Positive staining on THP-1 treated with 100nM PMA, LPS and Brefeldin treatment (image A), and negative staining on untreat THP-1 (image B). The section was incubated with ab259372 for 30 mins at room temperature. The immunostaining was performed on a Leica Biosystems BOND® RX instrument. Counter stained with hematoxylin.

Secondary antibody only control : Used PBS instead of primary antibody, secondary antibody is a ready to use Rabbit specific IHC polymer detection kit HRP/DAB (ab209101).

Heat mediated antigen retrieval with Tris-EDTA buffer (pH 9.0, epitope retrieval solution2) for 20 mins.

Immunoprecipitation - Anti-CCL3 / MIP-1 alpha + CCL3L1 antibody [EPR23751-54] (AB259372)
  • IP

Supplier Data

Immunoprecipitation - Anti-CCL3 / MIP-1 alpha + CCL3L1 antibody [EPR23751-54] (AB259372)

Macrophage Inflammatory Protein 1 alpha / CCL3 + CCL3L1 was immunoprecipitated from 0.35 mg THP-1 (human monocytic leukemia monocyte) (treated with 100nM PMA for 16 hours. And then replace PMA with 100 ng/ml LPS (Lipopolysaccharide) for 7 hours, 1 μg/ml BFA was added for the last 3 hours) whole cell lysate whole cell lysate with ab259372 at 1/30 dilution (2ug in 0.35mg lysates). Western blot was performed on the immunoprecipitate using ab259372 at 1/1000 dilution. VeriBlot for IP Detection Reagent (HRP)(ab131366) was used at 1/5000 dilution.

Lane 1 : THP-1 (treated as above) whole cell lysate 3 ug

Lane 2 : ab259372 IP in THP-1 (treated as above) whole cell lysate

Lane 3 : Rabbit monoclonal IgG (ab172730) instead of ab259372 in THP-1 (treated as above) whole cell lysate

Blocking and dilution buffer and concentration : 5% NFDM/TBST.

Exposure time : 8 seconds.

All lanes:

Immunoprecipitation - Anti-CCL3 / MIP-1 alpha + CCL3L1 antibody [EPR23751-54] (ab259372)

Observed band size: 10 kDa

false

Flow Cytometry (Intracellular) - Anti-CCL3 / MIP-1 alpha + CCL3L1 antibody [EPR23751-54] (AB259372)
  • Flow Cyt (Intra)

Supplier Data

Flow Cytometry (Intracellular) - Anti-CCL3 / MIP-1 alpha + CCL3L1 antibody [EPR23751-54] (AB259372)

Intracellular flow cytometric analysis of5% paraformaldehyde-fixed, 90% methanol-permeabilized RAW264.7 (Mouse Abelson murine leukemia virus-induced tumor macrophage) (treated with 100ng/ml lipopolysaccharide (LPS) for 4 hours, and add Brefeldin A (BFA) for another 3 hours (Red)/ Untreated control (Green)) (Red)/ Untreated control (Green) cells labeling Macrophage Inflammatory Protein 1 alpha / CCL3 + CCL3L1 with ab259372at 1/500 dilution (Red / Green) compared with a Isotype control details (ab172730) (Black) and an unlabelled control (cells without incubation with primary antibody and secondary antibody) (Blue). Goat anti rabbit IgG (Alexa Fluor®488, ab150077), at 1/2000 dilution was used as the secondary antibody.

Immunocytochemistry/ Immunofluorescence - Anti-CCL3 / MIP-1 alpha + CCL3L1 antibody [EPR23751-54] (AB259372)
  • ICC/IF

Supplier Data

Immunocytochemistry/ Immunofluorescence - Anti-CCL3 / MIP-1 alpha + CCL3L1 antibody [EPR23751-54] (AB259372)

Immunofluorescent analysis of 4% paraformaldehyde-fixed, 0.1% Triton X100 permeabilized RAW264.7 (mouse macrophage cell line transformed with Abelson murine leukemia virus) cells labeling Macrophage Inflammatory Protein 1 alpha / CCL3 + CCL3L1 with ab259372 at 1/100 dilution, followed by ab150077 Goat Anti-Rabbit IgG H&L (Alexa Fluor® 488) secondary antibody at 1/1000 dilution (Green). Confocal image showing cytoplasmic staining in RAW 264.7 cells treated with 12-myristate 13-acetate (100 nM) for 16 hours then with lipopolysaccharide (100 ng/ml) for 4 hours and with brefeldin A (1μg/ml) for another 3 hours. Tubulin is counterstained using ab195889 Anti-alpha Tubulin mouse monoclonal antibody - Microtubule Marker (Alexa Fluor® 594) at 1/200 dilution (Red). The nuclear counterstain is DAPI (Blue).

Secondary antibody only control : Used PBS instead of priary antibody, followed by ab150077 Goat Anti-Rabbit IgG H&L (Alexa Fluor® 488) secondary antibody at 1/1000 dilution.

Western blot - Anti-CCL3 / MIP-1 alpha + CCL3L1 antibody [EPR23751-54] (AB259372)
  • WB

Supplier Data

Western blot - Anti-CCL3 / MIP-1 alpha + CCL3L1 antibody [EPR23751-54] (AB259372)

Blocking and dilution buffer : 5% NFDM/TBST.

Exposure time : 8 seconds.

All lanes:

Western blot - Anti-CCL3 / MIP-1 alpha + CCL3L1 antibody [EPR23751-54] (ab259372) at 1/1000 dilution

Lane 1:

Untreated THP-1 (human monocytic leukemia monocyte) whole cell lysate at 20 µg

Lane 2:

THP-1 (treated with 100nM PMA for 16 hours. And then replace PMA with 100 ng/ml LPS (Lipopolysaccharide) for 4 hours, and then 1 μg/ml Brefeldin A was added for the last 3 hours), whole cell lysate at 20 µg

Secondary

All lanes:

Goat Anti-Rabbit IgG, (H+L), Peroxidase conjugated (<a href='/en-us/products/secondary-antibodies/goat-rabbit-igg-h-l-hrp-ab97051'>ab97051</a>) at 1/50000 dilution

Observed band size: 12 kDa

false

Western blot - Anti-CCL3 / MIP-1 alpha + CCL3L1 antibody [EPR23751-54] (AB259372)
  • WB

Supplier Data

Western blot - Anti-CCL3 / MIP-1 alpha + CCL3L1 antibody [EPR23751-54] (AB259372)

Blocking and dilution buffer : 5% NFDM/TBST.

Exposure time : 3 seconds.

All lanes:

Western blot - Anti-CCL3 / MIP-1 alpha + CCL3L1 antibody [EPR23751-54] (ab259372) at 1/5000 dilution

Lane 1:

Untreated RAW 264.7 (mouse macrophage cell line transformed with Abelson murine leukemia virus) whole cell lysate at 10 µg

Lane 2:

RAW 264.7 (treated with 100 ng/ml LPS(Lipopolysaccharide) for 4 hours and then 1 μg/ml Brefeldin A was added for the last 3 hours), whole cell lysate at 10 µg

Secondary

All lanes:

Western blot - Goat Anti-Rabbit IgG H&L (HRP) (<a href='/en-us/products/secondary-antibodies/goat-rabbit-igg-h-l-hrp-ab97051'>ab97051</a>) at 1/20000 dilution

Observed band size: 12 kDa

false

Western blot - Anti-CCL3 / MIP-1 alpha + CCL3L1 antibody [EPR23751-54] (AB259372)
  • WB

Supplier Data

Western blot - Anti-CCL3 / MIP-1 alpha + CCL3L1 antibody [EPR23751-54] (AB259372)

Blocking and dilution buffer : 5% NFDM/TBST.

Exposire time : 10 seconds.

All lanes:

Western blot - Anti-CCL3 / MIP-1 alpha + CCL3L1 antibody [EPR23751-54] (ab259372) at 1/1000 dilution

Lane 1:

His-tagged mouse CCL3 recombinant protein (aa24-92) * 2 ,10 ng

Lane 2:

GST/His-tagged human CCL3L1 recombinant protein (aa24-93), 10 ng

Lane 3:

LIF/His-tagged human CCL4 recombinant protein (aa24-92)*2, 10 ng

Lane 4:

His-tagged human CCL18 recombinant protein (aa21-89),10 ng

Secondary

All lanes:

Goat Anti-Rabbit IgG, (H+L), Peroxidase conjugated (<a href='/en-us/products/secondary-antibodies/goat-rabbit-igg-h-l-hrp-ab97051'>ab97051</a>) at 1/50000 dilution

Observed band size: 12 kDa

false

  • Carrier free

    Anti-CCL3 / MIP-1 alpha + CCL3L1 antibody [EPR23751-54] - BSA and Azide

Key facts

Host species

Rabbit

Clonality

Monoclonal

Clone number

EPR23751-54

Isotype

IgG

Carrier free

No

Reacts with

Mouse, Human

Applications

IP, Flow Cyt (Intra), ICC/IF, IHC-P, WB

applications

Immunogen

The exact immunogen used to generate this antibody is proprietary information.

Reactivity data

{ "title": "Reactivity Data", "filters": { "stats": ["", "Species", "Dilution Info", "Notes"], "tabs": { "all-applications": {"fullname" : "All Applications", "shortname": "All Applications"}, "ICCIF" : {"fullname" : "Immunocytochemistry/ Immunofluorescence", "shortname":"ICC/IF"}, "IP" : {"fullname" : "Immunoprecipitation", "shortname":"IP"}, "WB" : {"fullname" : "Western blot", "shortname":"WB"}, "FlowCytIntra" : {"fullname" : "Flow Cytometry (Intracellular)", "shortname":"Flow Cyt (Intra)"}, "IHCP" : {"fullname" : "Immunohistochemistry (Formalin/PFA-fixed paraffin-embedded sections)", "shortname":"IHC-P"} }, "product-promise": { "all": "all", "testedAndGuaranteed": "tested", "guaranteed": "expected", "predicted": "predicted", "notRecommended": "not-recommended" } }, "values": { "Human": { "ICCIF-species-checked": "testedAndGuaranteed", "ICCIF-species-dilution-info": "1/50", "ICCIF-species-notes": "<p></p>", "IP-species-checked": "testedAndGuaranteed", "IP-species-dilution-info": "1/30", "IP-species-notes": "<p></p>", "WB-species-checked": "testedAndGuaranteed", "WB-species-dilution-info": "1/1000", "WB-species-notes": "<p></p>", "FlowCytIntra-species-checked": "testedAndGuaranteed", "FlowCytIntra-species-dilution-info": "1/500", "FlowCytIntra-species-notes": "<p></p>", "IHCP-species-checked": "testedAndGuaranteed", "IHCP-species-dilution-info": "1/1000", "IHCP-species-notes": "<p></p> Perform heat-mediated antigen retrieval with Tris/EDTA buffer pH 9.0 before commencing with IHC staining protocol." }, "Mouse": { "ICCIF-species-checked": "testedAndGuaranteed", "ICCIF-species-dilution-info": "1/50", "ICCIF-species-notes": "<p></p>", "IP-species-checked": "notRecommended", "IP-species-dilution-info": "1/30", "IP-species-notes": "<p></p>", "WB-species-checked": "testedAndGuaranteed", "WB-species-dilution-info": "1/1000", "WB-species-notes": "<p></p>", "FlowCytIntra-species-checked": "testedAndGuaranteed", "FlowCytIntra-species-dilution-info": "1/500", "FlowCytIntra-species-notes": "<p></p>", "IHCP-species-checked": "notRecommended", "IHCP-species-dilution-info": "1/1000", "IHCP-species-notes": "<p></p> Perform heat-mediated antigen retrieval with Tris/EDTA buffer pH 9.0 before commencing with IHC staining protocol." }, "Rat": { "ICCIF-species-checked": "notRecommended", "ICCIF-species-dilution-info": "", "ICCIF-species-notes": "", "IP-species-checked": "notRecommended", "IP-species-dilution-info": "", "IP-species-notes": "", "WB-species-checked": "notRecommended", "WB-species-dilution-info": "1/1000", "WB-species-notes": "<p></p>", "FlowCytIntra-species-checked": "notRecommended", "FlowCytIntra-species-dilution-info": "", "FlowCytIntra-species-notes": "", "IHCP-species-checked": "notRecommended", "IHCP-species-dilution-info": "1/1000", "IHCP-species-notes": "<p></p> Perform heat-mediated antigen retrieval with Tris/EDTA buffer pH 9.0 before commencing with IHC staining protocol." }, "Recombinant fragment - Human": { "ICCIF-species-checked": "notRecommended", "ICCIF-species-dilution-info": "", "ICCIF-species-notes": "", "IP-species-checked": "notRecommended", "IP-species-dilution-info": "", "IP-species-notes": "", "WB-species-checked": "testedAndGuaranteed", "WB-species-dilution-info": "1/1000", "WB-species-notes": "<p></p>", "FlowCytIntra-species-checked": "notRecommended", "FlowCytIntra-species-dilution-info": "", "FlowCytIntra-species-notes": "", "IHCP-species-checked": "notRecommended", "IHCP-species-dilution-info": "", "IHCP-species-notes": "" } } }

Product details

Patented technology
Our RabMAb® technology is a patented hybridoma-based technology for making rabbit monoclonal antibodies. For details on our patents, please refer to RabMAb® patents.

What are the advantages of a recombinant monoclonal antibody?
This product is a recombinant monoclonal antibody, which offers several advantages including:

  • - High batch-to-batch consistency and reproducibility
  • - Improved sensitivity and specificity
  • - Long-term security of supply
  • - Animal-free batch production

For more information, read more on recombinant antibodies.

Properties and storage information

Form
Liquid
Purification technique
Affinity purification Protein A
Storage buffer
Preservative: 0.01% Sodium azide Constituents: PBS, 40% Glycerol (glycerin, glycerine), 0.05% BSA
Shipped at conditions
Blue Ice
Appropriate short-term storage duration
1-2 weeks
Appropriate short-term storage conditions
+4°C
Appropriate long-term storage conditions
-20°C
Aliquoting information
Upon delivery aliquot
Storage information
Avoid freeze / thaw cycle

Supplementary information

This supplementary information is collated from multiple sources and compiled automatically.

MIP-1 alpha also known as CCL3 or CCL3L1 is a chemokine with important roles in immune regulation. It has a molecular mass of approximately 7.8 kDa. This protein is expressed mainly in immune cells like macrophages T cells and natural killer (NK) cells. The expression of MIP-1 alpha occurs in response to inflammatory signals and it acts to recruit other immune cells to the site of infection or injury. Its function is essential for orchestrating the cellular movements during immune surveillance and defensive responses.
Biological function summary

The MIP-1 alpha functions as a chemotactic cytokine. It binds to receptors like CCR1 and CCR5 on the surface of target cells resulting in activation and migration toward areas of inflammation. MIP-1 alpha does not form a complex with other proteins; however its interactions with its receptors are vital for signal transduction. It also promotes the production of additional inflammatory cytokines contributing to amplifying immune responses. The chemotactic properties of MIP-1 alpha make it an important player in the body's defense against pathogens.

Pathways

MIP-1 alpha is involved in important immune pathways like the NF-kB signaling pathway. This pathway plays a significant role in immune cell activation and the inflammatory response. MIP-1 alpha interacts with other chemokines like CCL4 (MIP-1 beta) which shares similar functions and binds to CCR5. The coordinated activities of these chemokines enhance the recruitment and activation of various leukocyte populations facilitating an effective immune response.

MIP-1 alpha exhibits a connection to inflammatory diseases such as rheumatoid arthritis and HIV infection. In rheumatoid arthritis MIP-1 alpha contributes to joint inflammation and damage by attracting immune cells to synovial joints. In the context of HIV it interacts with the CCR5 receptor affecting viral entry into CD4+ T cells. The inhibition of MIP-1 alpha and its interaction with CCR5 provides a therapeutic strategy in controlling HIV progression. These associations highlight the chemokine's impact on both autoimmune disorders and infectious diseases.

Product protocols

For this product, it's our understanding that no specific protocols are required. You can visit:

Target data

Monokine with inflammatory and chemokinetic properties. Binds to CCR1, CCR4 and CCR5. One of the major HIV-suppressive factors produced by CD8+ T-cells. Recombinant MIP-1-alpha induces a dose-dependent inhibition of different strains of HIV-1, HIV-2, and simian immunodeficiency virus (SIV).
See full target information CCL3

Additional targets

CCL3L1

Publications (9)

Recent publications for all applications. Explore the full list and refine your search

Frontiers in molecular biosciences 12:1571593 PubMed40656894

2025

Inhibition of USP11 attenuates sepsis-associated acute kidney injury by downregulating TGFBR2/Smad3 signaling.

Applications

Unspecified application

Species

Unspecified reactive species

Lu Wang,Wen Tang,Long Jiang,Daquan Zhang,Zhigao Wang,Rennan Guo,Jingjing Wang,Dong Xiao

Cell biology and toxicology 41:47 PubMed39976849

2025

Therapeutic implications of endoplasmic reticulum stress gene CCL3 in cervical squamous cell carcinoma.

Applications

Unspecified application

Species

Unspecified reactive species

Yingping Zhu,Wei Xu,Yuanfang He,Wenjuan Yang,Siyue Song,Chengping Wen

Nature communications 15:47 PubMed38167807

2024

Serglycin secreted by late-stage nucleus pulposus cells is a biomarker of intervertebral disc degeneration.

Applications

Unspecified application

Species

Unspecified reactive species

Fan Chen,Linchuan Lei,Shunlun Chen,Zhuoyang Zhao,Yuming Huang,Guowei Jiang,Xingyu Guo,Zemin Li,Zhaomin Zheng,Jianru Wang

Advanced science (Weinheim, Baden-Wurttemberg, Germany) 10:e2302527 PubMed37867250

2023

Enabling Survival of Transplanted Neural Precursor Cells in the Ischemic Brain.

Applications

Unspecified application

Species

Unspecified reactive species

Zhifu Wang,Danyi Zheng,Ye Sing Tan,Qiang Yuan,Fang Yuan,Su-Chun Zhang

Fundamental research 5:1804-1821 PubMed40777809

2023

Stem cell-derived small extracellular vesicles containing miR-27b-3p attenuated osteoarthritis through inhibition of leukaemia inhibitory factor.

Applications

Unspecified application

Species

Unspecified reactive species

Xiaoguang Zhang,Wei Chen,Shenghui Lan,Yuxiang Hu,Hongxin Pei,Zhili He,Zhipeng Dai,Yulong Wei,Zhenxing Wang,Qinyu Ma,Fenfei Zhao,Juan Wang,Zengwu Shao,Yong Liu,Shuhua Yang,Hongtao Tian,Wei Tong

Scientific reports 13:2864 PubMed36806315

2023

Prostate cancer cell-platelet bidirectional signaling promotes calcium mobilization, invasion and apoptotic resistance via distinct receptor-ligand pairs.

Applications

Unspecified application

Species

Unspecified reactive species

Kaitlin Garofano,Kameron Rashid,Michael Smith,Christine Brantner,Sumanun Suwunnakorn,David Diemert,Olivia Gordon,Anelia Horvath,Sikandar Khan,Anastas Popratiloff,Johng Rhim,Alfateh Sidahmed,Sanjay B Maggirwar,Travis J O'Brien,Minoli A Perera,Norman H Lee

International journal of molecular sciences 24: PubMed36768133

2023

Irisin Modulates Inflammatory, Angiogenic, and Osteogenic Factors during Fracture Healing.

Applications

Unspecified application

Species

Unspecified reactive species

Angela Oranger,Roberta Zerlotin,Cinzia Buccoliero,Lorenzo Sanesi,Giuseppina Storlino,Ernestina Schipani,Kenneth Michael Kozloff,Giorgio Mori,Graziana Colaianni,Silvia Colucci,Maria Grano

Nature chemical biology 19:275-283 PubMed36175661

2022

Targeted protein S-nitrosylation of ACE2 inhibits SARS-CoV-2 infection.

Applications

Unspecified application

Species

Unspecified reactive species

Chang-Ki Oh,Tomohiro Nakamura,Nathan Beutler,Xu Zhang,Juan Piña-Crespo,Maria Talantova,Swagata Ghatak,Dorit Trudler,Lauren N Carnevale,Scott R McKercher,Malina A Bakowski,Jolene K Diedrich,Amanda J Roberts,Ashley K Woods,Victor Chi,Anil K Gupta,Mia A Rosenfeld,Fiona L Kearns,Lorenzo Casalino,Namir Shaabani,Hejun Liu,Ian A Wilson,Rommie E Amaro,Dennis R Burton,John R Yates,Cyrus Becker,Thomas F Rogers,Arnab K Chatterjee,Stuart A Lipton

Journal of experimental & clinical cancer research : CR 41:60 PubMed35148799

2022

Colorectal cancer development is affected by the ECM molecule EMILIN-2 hinging on macrophage polarization via the TLR-4/MyD88 pathway.

Applications

Unspecified application

Species

Unspecified reactive species

Eva Andreuzzi,Albina Fejza,Maurizio Polano,Evelina Poletto,Lucrezia Camicia,Greta Carobolante,Giulia Tarticchio,Federico Todaro,Emma Di Carlo,Melania Scarpa,Marco Scarpa,Alice Paulitti,Alessandra Capuano,Vincenzo Canzonieri,Stefania Maiero,Mara Fornasarig,Renato Cannizzaro,Roberto Doliana,Alfonso Colombatti,Paola Spessotto,Maurizio Mongiat
View all publications

Product promise

We are committed to supporting your work with high-quality reagents, and we're here for you every step of the way. In the unlikely event that one of our products does not perform as expected, you're protected by our Product Promise.
For full details, please see our Terms & Conditions

Please note: All products are 'FOR RESEARCH USE ONLY. NOT FOR USE IN DIAGNOSTIC OR THERAPEUTIC PROCEDURES'.

For licensing inquiries, please contact partnerships@abcam.com