JavaScript is disabled in your browser. Please enable JavaScript to view this website.
AB308044

Anti-CCL4/MIP-1 beta antibody [RP23040078]

Be the first to review this product! Submit a review

|

(0 Publication)

Rabbit Recombinant Multiclonal CCL4/MIP-1 beta antibody. Suitable for IHC-P, WB and reacts with Human, Mouse samples. Immunogen corresponding to Recombinant Full Length Protein corresponding to Human CCL4.

View Alternative Names

LAG1, MIP1B, SCYA4, CCL4, C-C motif chemokine 4, G-26 T-lymphocyte-secreted protein, HC21, Lymphocyte activation gene 1 protein, MIP-1-beta(1-69), Macrophage inflammatory protein 1-beta, PAT 744, Protein H400, SIS-gamma, Small-inducible cytokine A4, T-cell activation protein 2, LAG-1, MIP-1-beta, ACT-2

3 Images
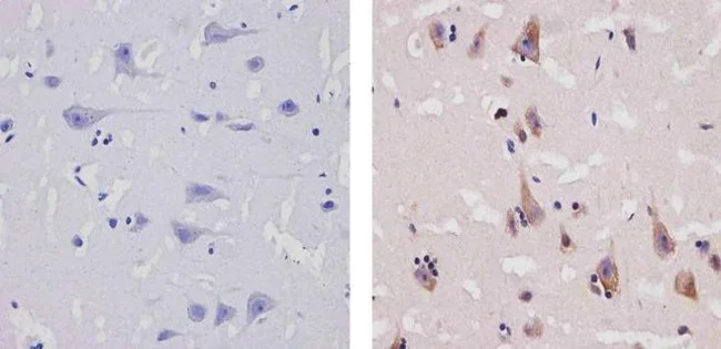
Immunohistochemistry paraffin embedded sections - Anti-CCL4/MIP-1 beta antibody [RP23040078] (AB308044)
  • IHC-P

Supplier Data

Immunohistochemistry paraffin embedded sections - Anti-CCL4/MIP-1 beta antibody [RP23040078] (AB308044)

Immunohistochemical analysis of paraffin-embedded human brain tissue labeling CCL4/MIP-1 beta with ab308044 at 1/20 dilution in 3% BSA-PBS followed by HRP-conjugated secondary antibody followed by colorimetric detection using a DAB kit (right). The section was incubated with ab308044 for 1 hour at 37ºC in a humidified chamber. Counter stained with hematoxylin and dehydrated with ethanol and xylene to prep for mounting. Antigen retrieval was performed using 10mM sodium citrate (pH 6.0), microwaved for 8-15 min. Following antigen retrieval, tissues were blocked in 3% H2O2-methanol for 15 min at room temperature, washed with ddH2O and PBS. Secondary antibody only control (left) : Primary diluent was used instead of primary antibody, followed by HRP-conjugated secondary antibody followed by colorimetric detection using a DAB kit

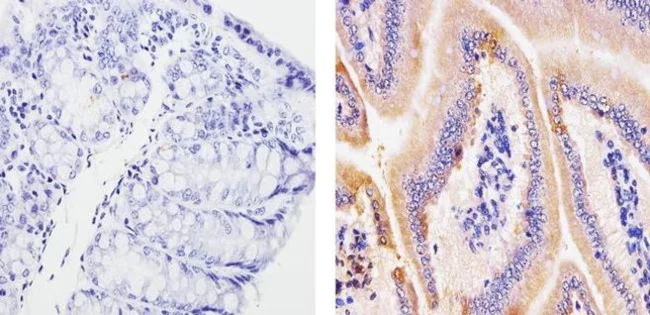
Immunohistochemistry paraffin embedded sections - Anti-CCL4/MIP-1 beta antibody [RP23040078] (AB308044)
  • IHC-P

Supplier Data

Immunohistochemistry paraffin embedded sections - Anti-CCL4/MIP-1 beta antibody [RP23040078] (AB308044)

Immunohistochemical analysis of paraffin-embedded mouse small intestine tissue labeling CCL4/MIP-1 beta with ab308044 at 1/20 dilution in 3% BSA-PBS followed by HRP-conjugated secondary antibody followed by colorimetric detection using a DAB kit (right). The section was incubated with ab308044 for 1 hour at 37ºC in a humidified chamber. Counter stained with hematoxylin and dehydrated with ethanol and xylene to prep for mounting. Antigen retrieval was performed using 10mM sodium citrate (pH 6.0), microwaved for 8-15 min. Following antigen retrieval, tissues were blocked in 3% H2O2-methanol for 15 min at room temperature, washed with ddH2O and PBS. Secondary antibody only control (left) : Primary diluent was used instead of primary antibody, followed by HRP-conjugated secondary antibody followed by colorimetric detection using a DAB kit

Western blot - Anti-CCL4/MIP-1 beta antibody [RP23040078] (AB308044)
  • WB

Supplier Data

Western blot - Anti-CCL4/MIP-1 beta antibody [RP23040078] (AB308044)

Western blot analysis of CCL4/MIP-1-beta in whole cell extracts from Jurkat cells (lane 1), and K562 cells (lane 2) using ab308044 at a dilution of 1 µg/mL. Samples were detected using chemiluminescence (ECL). Results show a band at ~15kDa.

All lanes:

Western blot - Anti-CCL4/MIP-1 beta antibody [RP23040078] (ab308044) at 1 µg/mL

Lane 1:

Jurkat cells whole cell extracts

Lane 2:

K562 cells whole cell extracts

Observed band size: 15 kDa

true

Key facts

Host species

Rabbit

Clonality

Multiclonal

Clone number

RP23040078

Isotype

IgG

Carrier free

No

Reacts with

Human, Mouse

Applications

IHC-P, WB

applications

Immunogen

Recombinant Full Length Protein corresponding to Human CCL4.

P13236

Reactivity data

{ "title": "Reactivity Data", "filters": { "stats": ["", "Species", "Dilution Info", "Notes"], "tabs": { "all-applications": {"fullname" : "All Applications", "shortname": "All Applications"}, "IHCP" : {"fullname" : "Immunohistochemistry (Formalin/PFA-fixed paraffin-embedded sections)", "shortname":"IHC-P"}, "WB" : {"fullname" : "Western blot", "shortname":"WB"} }, "product-promise": { "all": "all", "testedAndGuaranteed": "tested", "guaranteed": "expected", "predicted": "predicted", "notRecommended": "not-recommended" } }, "values": { "Human": { "IHCP-species-checked": "testedAndGuaranteed", "IHCP-species-dilution-info": "1/20", "IHCP-species-notes": "<p></p> Perform heat-mediated antigen retrieval via the microwave method before commencing with IHC staining protocol.", "WB-species-checked": "testedAndGuaranteed", "WB-species-dilution-info": "1 µg/mL", "WB-species-notes": "<p></p>" }, "Mouse": { "IHCP-species-checked": "testedAndGuaranteed", "IHCP-species-dilution-info": "1/20", "IHCP-species-notes": "<p></p> Perform heat-mediated antigen retrieval via the microwave method before commencing with IHC staining protocol.", "WB-species-checked": "guaranteed", "WB-species-dilution-info": "", "WB-species-notes": "" } } }

Product details

What are recombinant multiclonals?
Recombinant multiclonals are a mixture of recombinant antibodies co-expressed from a library of heavy and light chains. They offer several advantages including:

  • - The sensitivity of polyclonal antibodies by recognising multiple epitopes
  • - High batch-to-batch consistency and reproducibility
  • - Improved sensitivity and specificity
  • - Long-term security of supply
  • - Animal-free batch production

View our range of recombinant multiclonal antibodies.

Properties and storage information

Form
Liquid
Storage buffer
Preservative: 0.09% Sodium azide Constituents: PBS
Shipped at conditions
Blue Ice
Appropriate short-term storage duration
1-2 weeks
Appropriate short-term storage conditions
+4°C
Appropriate long-term storage conditions
-20°C
Aliquoting information
Upon delivery aliquot
Storage information
Avoid freeze / thaw cycle

Supplementary information

This supplementary information is collated from multiple sources and compiled automatically.

CCL4 also known as MIP-1 beta or MIP-1b has a mechanical role as a chemokine involved in immune response regulation. The protein has a mass of about 7.8 kDa. It expresses in various tissues including leukocytes where it mainly functions as a chemoattractant. MIP-1 beta helps recruit immune cells like natural killer cells and monocytes to sites of inflammation or injury. Researchers frequently measure its levels using assays like MIP-1 beta ELISA or CCL4 ELISA.
Biological function summary

CCL4 is critical in immune system modulation. It coordinates leukocyte activation and trafficking contributing to inflammation and immune surveillance. It does not function in isolation but rather interacts with other chemokines and receptors. CCL4 alongside its sibling chemokines forms a dynamic network that ensures a balanced immune response. It connects to receptors such as CCR5 playing substantial roles in its activities.

Pathways

CCL4 participates in essential signaling cascades that mediate immune responses. It is notably part of the chemokine signaling pathway which is instrumental in directing cell movement. CCL4 also engages with proteins like CCR5 in the inflammatory and immune response pathways. This interaction enhances communication between cells required for effective pathogen defense.

CCL4 plays roles in immune-related conditions. It is strongly linked to inflammatory diseases such as rheumatoid arthritis and HIV infection. In rheumatoid arthritis CCL4 levels are often elevated correlating with inflammation severity. During HIV infection CCL4 interacts with proteins like CCR5 a co-receptor the virus uses to enter host cells. This involvement makes MIP-1 beta a target for studies seeking therapeutic interventions in these diseases.

Product protocols

For this product, it's our understanding that no specific protocols are required. You can visit:

Target data

Monokine with inflammatory and chemokinetic properties. Binds to CCR5. One of the major HIV-suppressive factors produced by CD8+ T-cells. Recombinant MIP-1-beta induces a dose-dependent inhibition of different strains of HIV-1, HIV-2, and simian immunodeficiency virus (SIV). The processed form MIP-1-beta(3-69) retains the abilities to induce down-modulation of surface expression of the chemokine receptor CCR5 and to inhibit the CCR5-mediated entry of HIV-1 in T-cells. MIP-1-beta(3-69) is also a ligand for CCR1 and CCR2 isoform B.
See full target information CCL4

Product promise

We are committed to supporting your work with high-quality reagents, and we're here for you every step of the way. In the unlikely event that one of our products does not perform as expected, you're protected by our Product Promise.
For full details, please see our Terms & Conditions

Please note: All products are 'FOR RESEARCH USE ONLY. NOT FOR USE IN DIAGNOSTIC OR THERAPEUTIC PROCEDURES'.

For licensing inquiries, please contact partnerships@abcam.com